Sujata_path Profile Banner
Sujata Profile
Sujata

@Sujata_path

Followers
74
Following
142
Media
3
Statuses
66

pathologist

Joined May 2020
Don't wanna be here? Send us removal request.
@SibaElHussein
Siba El Hussein, MD
4 years
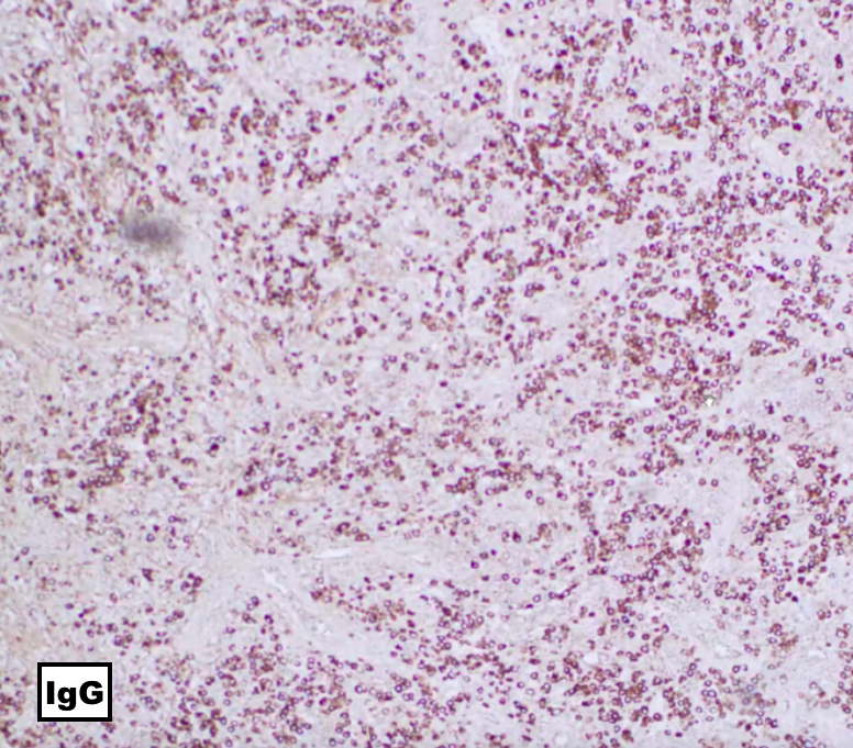
5 DDX in the setting of small LN bx with plasmacytosis: -Castleman -IgG4-related (example below) -Plasmacytoma -Syphillis -Rosai Dorfman, as suggested by @sanamloghavi Notes https://t.co/apdf1mBQFs | revisit slides https://t.co/XRYYkuQPQm (case 2) #hemepath #pathtwitter
@Xiaoqiong_Wang
Xiaoqiong Wang
4 years
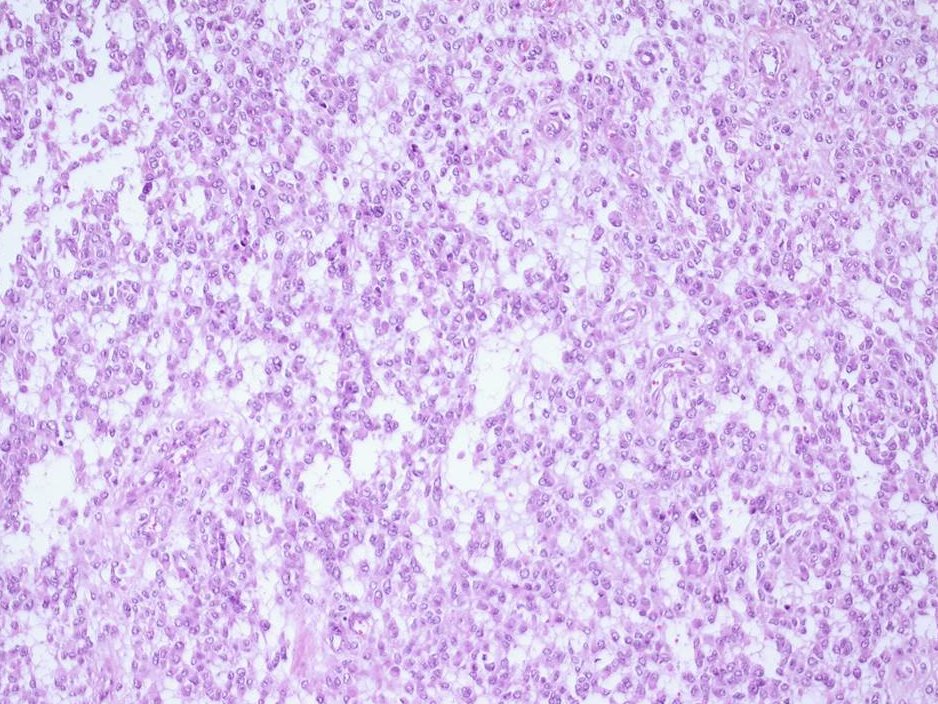
Answers to unknown: 1. DLBCL in sclerosing background 2. Polytypic plasma cell proliferation with increased IgG4 3. Splenic MZL 4. Castleman 5. Thymoma, B1 #PathTwitter #lymsm @SibaElHussein @LianqunQiu @KirillLyapichev @sanamloghavi
0
18
28
@JMGardnerMD
Jerad Gardner, MD
4 years
Nasal mucosal mass. Your diagnosis? Answer & more pics here: https://t.co/1mrs23l3PX. Many thanks to @sadiqamer for these incredible images! #pathology #pathologists #pathTwitter #dermpath #dermatology #dermatologia #dermtwitter #ENTpath #microbiology
19
35
168
@Sujata_path
Sujata
4 years
Variant hairy cell leukemia
0
0
2
@GaryKeeneyMD
Gary L. Keeney, M.D.
4 years
Frozen section Friday for trainees. Your staff goes to lunch. Bilateral cystic/solid ovarian tumors 35 YO/F. You make a call. H&E’s out today. Did you make the right call? My surg path fellow rocked it! #mayoclinicpathology
11
16
73
@Sujata_path
Sujata
5 years
Mastocytoma
@KMirza
Kamran Mirza MD PhD - کامران مرزا
5 years
Pelvic mass. Elderly patient. Any guesses what this is? #pathology poll below:
0
0
0
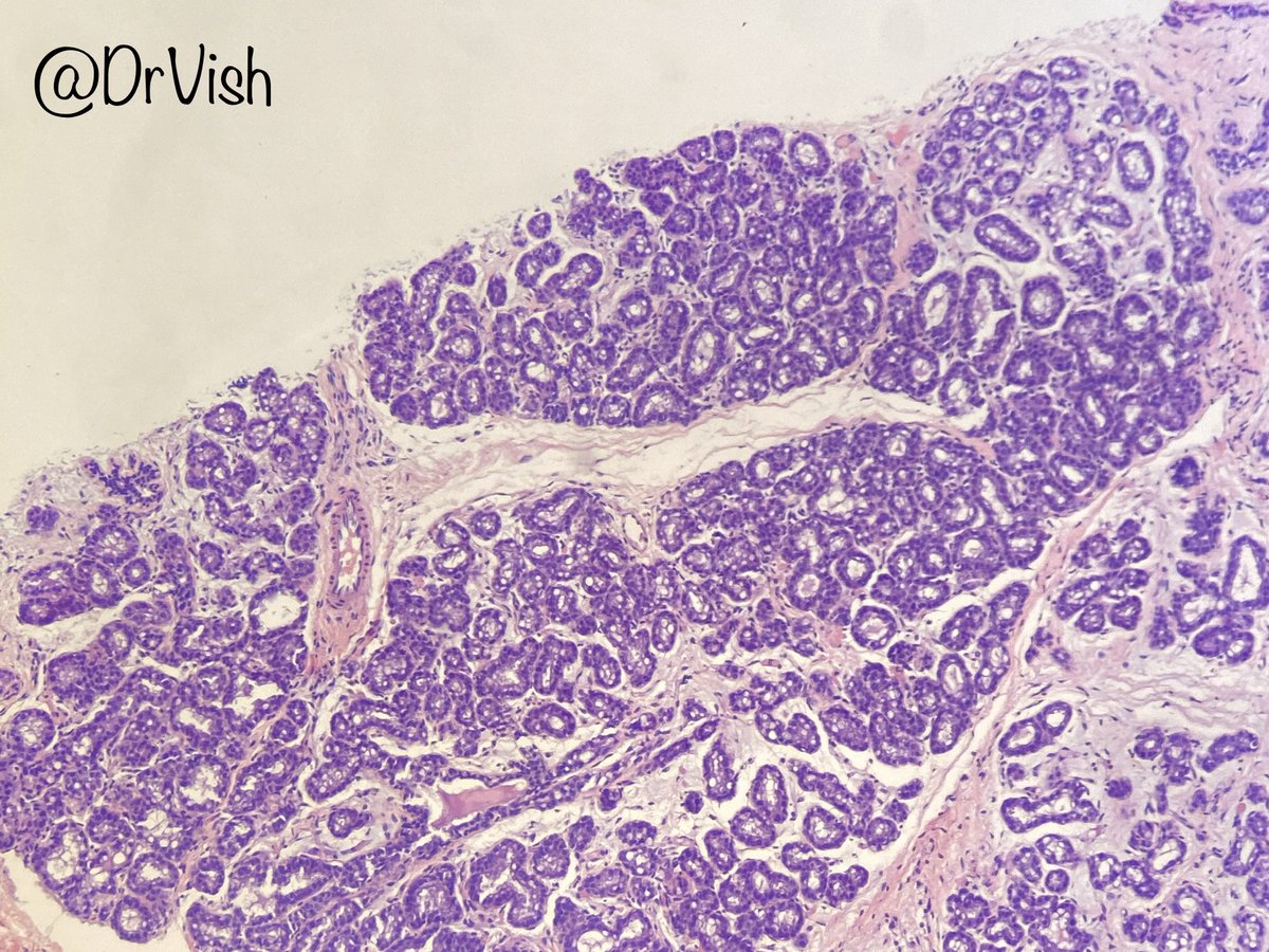
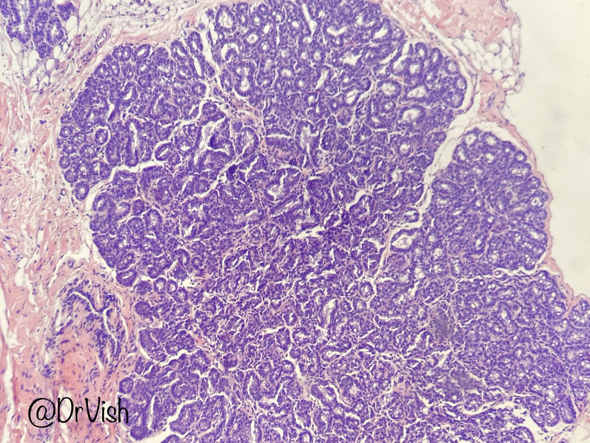
@Sujata_path
Sujata
5 years
Ectopic pancreatic tissue
@GaryKeeneyMD
Gary L. Keeney, M.D.
5 years
Frozen section Friday for trainees. 65 YO/M with 3 cm gastric mass. Clinically thought to be GIST. Your dx to surgeon? #notsofast
0
0
0
@Sujata_path
Sujata
5 years
Wow! So beautiful. You are very creative
0
0
1
@Sujata_path
Sujata
5 years
Lipoblast
@JMGardnerMD
Jerad Gardner, MD
5 years
What is this cell? Reply below then check your answer here: https://t.co/tqtYJ8K0ql. Video explains how to identify this cell & distinguish it from its look-alike (and vice versa). #pathologists #pathology #pathTwitter #BSTpath
0
0
0
@Emmadon53528883
Dongling Wu MD
5 years
Feeling good for finishing Frozen Section work early today. Feeling even better to get the vaccine done. Special thx to the employee health department for accommodating appointment time with different working schedules.
0
1
3
@Sujata_path
Sujata
5 years
Very good review
@AbhijitSurgPath
Abhijit Das, MD
5 years
Hematology: Basic Facts 3 pages to have a brief overview about various types of anemias: Key words: impaired production, excessive destruction, blood loss, sideroblastic, PRCA, CDA, myelophthisic, aplastic, innocent bystander #BasicFactsForResidents #AnemiaTypes #Hematology
0
0
1
@Sujata_path
Sujata
5 years
Brunner tumor
@DrVish
Vish Killari MD MPH
5 years
Differentials first nuclei with grooves. Please add to the list: solid pseudopapillary neoplasm #RandomPath @5_3shivani @DrAKumarPath @KMirza @Miryousufkhan3 @MitulModiMD @Gagandeepk5MD @ariella8 @EviAbadaMD @TheKarenPinto @kkuanMD @KusafukaK @padmapathology1 @debpratik
0
0
0
@AmeetRKini
Ameet Kini, MD, PhD
5 years
Check out these beautiful cells from a bone marrow aspirate smear! What are they? 📸by @AlessaAragaoMD
39
70
264
@Sujata_path
Sujata
5 years
Cellular angiofibroma/angiomyofibroblastoma
0
0
0
@Sujata_path
Sujata
5 years
Florid adenoids with sclerosing adenosis
0
0
0
@Sujata_path
Sujata
5 years
Amyloidoma
@MdSuster
DavidSusterMD
5 years
43 year old female with a retroperitoneal mass, relatively well circumscribed firm tumor, no other significant medical history, thoughts?
0
0
0
@Sujata_path
Sujata
5 years
MPNST in the background of neurofibromatosis
@celestrinmd
Celestine Trinidad, MD
5 years
Would anyone like to venture a diagnosis, with H&E alone? What other clinical information would you like to ask? Answers tomorrow (or when my schedule permits me to haha)! #BSTPath #PathTwitter
0
0
0
@Sujata_path
Sujata
5 years
Tumor with rabdoid cell morphology. Could be rabdomyosarcoma, midline NUT carcinoma, tumor arising from myoepithelium, medullary carcinoma
@RunjanChetty
Runjan Chetty
5 years
No IHC Friday! This a metastasis that caused large bowel obstruction. No stains/history: just guess! For all correct guesses:@Vik_deshpandeMD will add you to his list of coffee winners!! Including @smlungpathguy: let's see if he can extend his metastasis guess streak!!!
0
0
1
@Sujata_path
Sujata
5 years
Thyroid
@Sara_Jiang
Xiaoyin "Sara" Jiang, MD (She/Her)
5 years
#FNAFriday #MysteryCase: Back to Basics. Identify this organ! (Really! No tricks.) #CytoPath
0
0
0