kriyer68 Profile Banner
Kalyani Bambal Profile
Kalyani Bambal

@kriyer68

Followers
14K
Following
158K
Media
1K
Statuses
130K

M.D.Path. Interests in #Oncopath #bstpath #Gynpath #breastpath #Molpath #molgen.Trained at University of Illinois at Chicago,Tata Memorial Hospital.

Chicago, IL/Mumbai India
Joined October 2014
Don't wanna be here? Send us removal request.
@kriyer68
Kalyani Bambal
10 years
28
669
1K
@deniswirtz
Denis Wirtz
2 days
Still my favorite 3D reconstruction of a pancreatic tissue. Using the CODA workflow, we mapped a billion individual cells in 3D. Red: pre-cancer lesions Navy blue: ducts Light blue: islets of Langerhans Purple: acini Green: blood vessels More here: https://t.co/RsB0RYoPIy
9
105
480
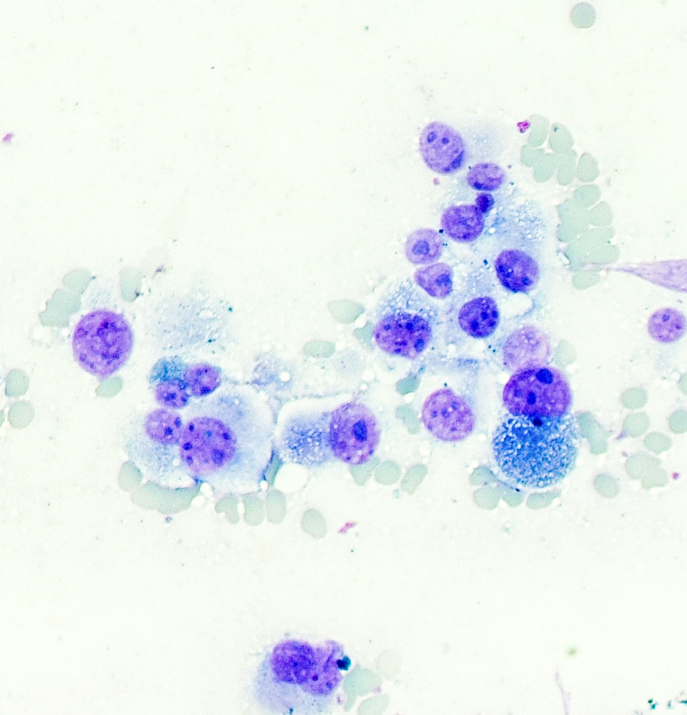
@Saroja_DeviG
Saroja Devi Geetha
2 days
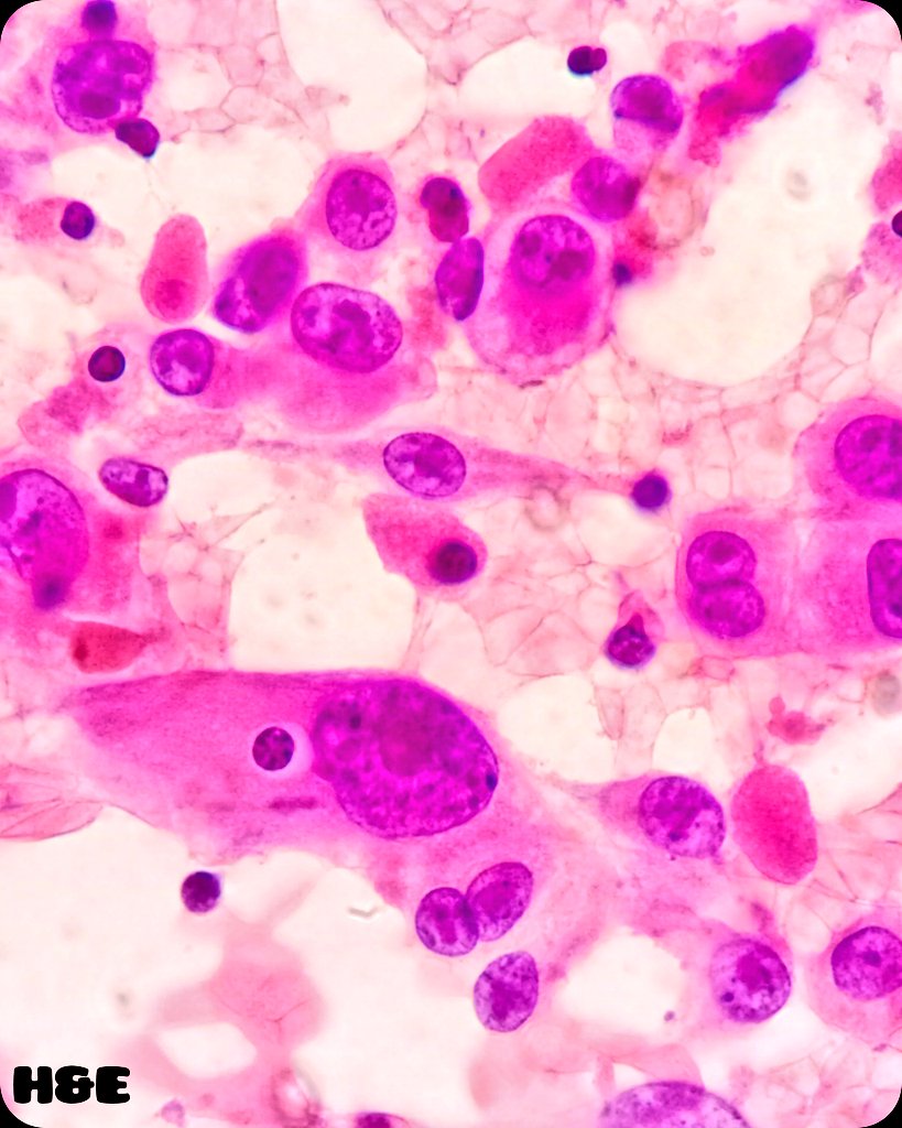
Liver FNA: Metastatic melanoma Both hepatocytes & melanoma can show prominent nucleoli/binucleation, but melanoma smears are more cellular with larger discohesive cells & if lucky, melanin pigment: blue-black on DQ, yellow-brown on Pap #PathTwitter #MedTwitter #CytoPath
1
9
27
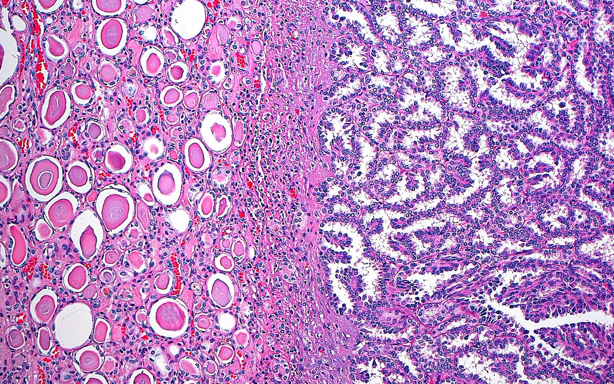
@ziad_zaatari
Ziad El-Zaatari
2 days
๐Ÿ”ฌ๐Ÿ“ท "Papillary and Thyroidized" ~ At the edge of a papillary renal cell carcinoma (right half of image) next to background renal parenchyma (left half of image) in an end stage kidney ~ #GUpath #RenalPath #Kidney #Pathology #PathArt
0
18
76
@duckhuca
Hรฉctor-Enrique Torres-Rivas, MD
2 days
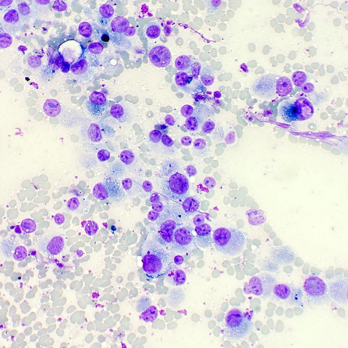
๐Ÿฆถ๐Ÿฝ Medical record: Acral Melanoma. ๐Ÿ“ Enlarged deep inguinal lymph node. 23mm. ๐Ÿ’‰ Ultrasound guided fine needle aspiration performed by Interventional Pathologist. 1๏ธโƒฃ Pass. 25g. ๐Ÿ”ฌ Metastatic Melanoma. Category 5๏ธโƒฃ The Sydney System. #FNAfriday #Cytology #CytoPath
0
8
28
@Rommiemicologia
Dra. Rommie Merino-Alado, DDM๐Ÿ‡ป๐Ÿ‡ช๐Ÿ„
1 day
Intracelular yeasts in a BAL specimen of a patient with pulmonary Histoplasmosis
0
3
11
@DrBuiPathology
Dr. Bui Pathologist๐ŸŒผ
3 days
๐ŸŽคWe just published this - The AI-powered pathologist: A global survey mapping initial trends in ... https://t.co/rbiaJ88l0D #AI #Pathology #Survey @MoffittNews @ml4onco @USFpathology @UMich @MeredithKHerman @KMirza
0
19
52
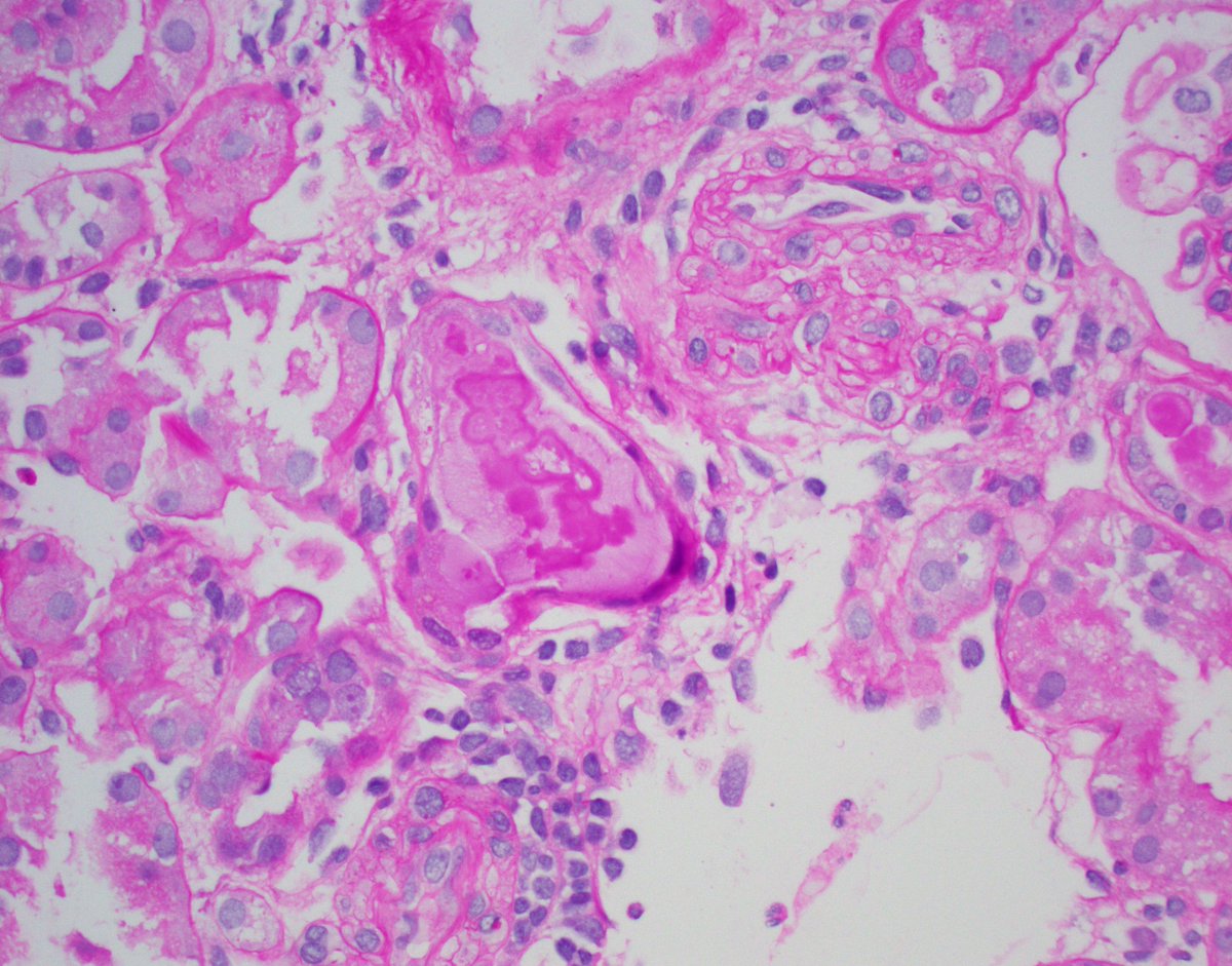
@JZRenalPath
Jonathan Zuckerman MD PhD
2 days
Unusual granular casts with annular appearance. Light chain, hemoglobin, myoglobin, chromogranin casts excluded. Patient on IV vancomycin. Suspicious for vancomycin cast nephropathy. https://t.co/WUG0cLnawH #renalpath #pathtwitter #nephrology
3
21
55
@sza_jhcyto
Syed Z. Ali
2 days
The "Ripples" - an artistic appearance of granular mucin.
2
10
99
@ariella8
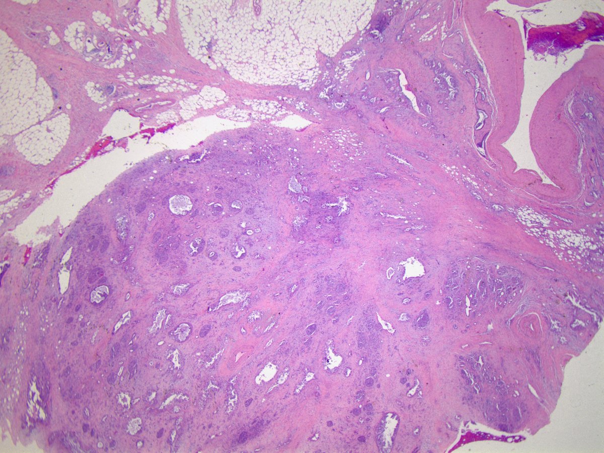
Celina Stayerman MD
2 days
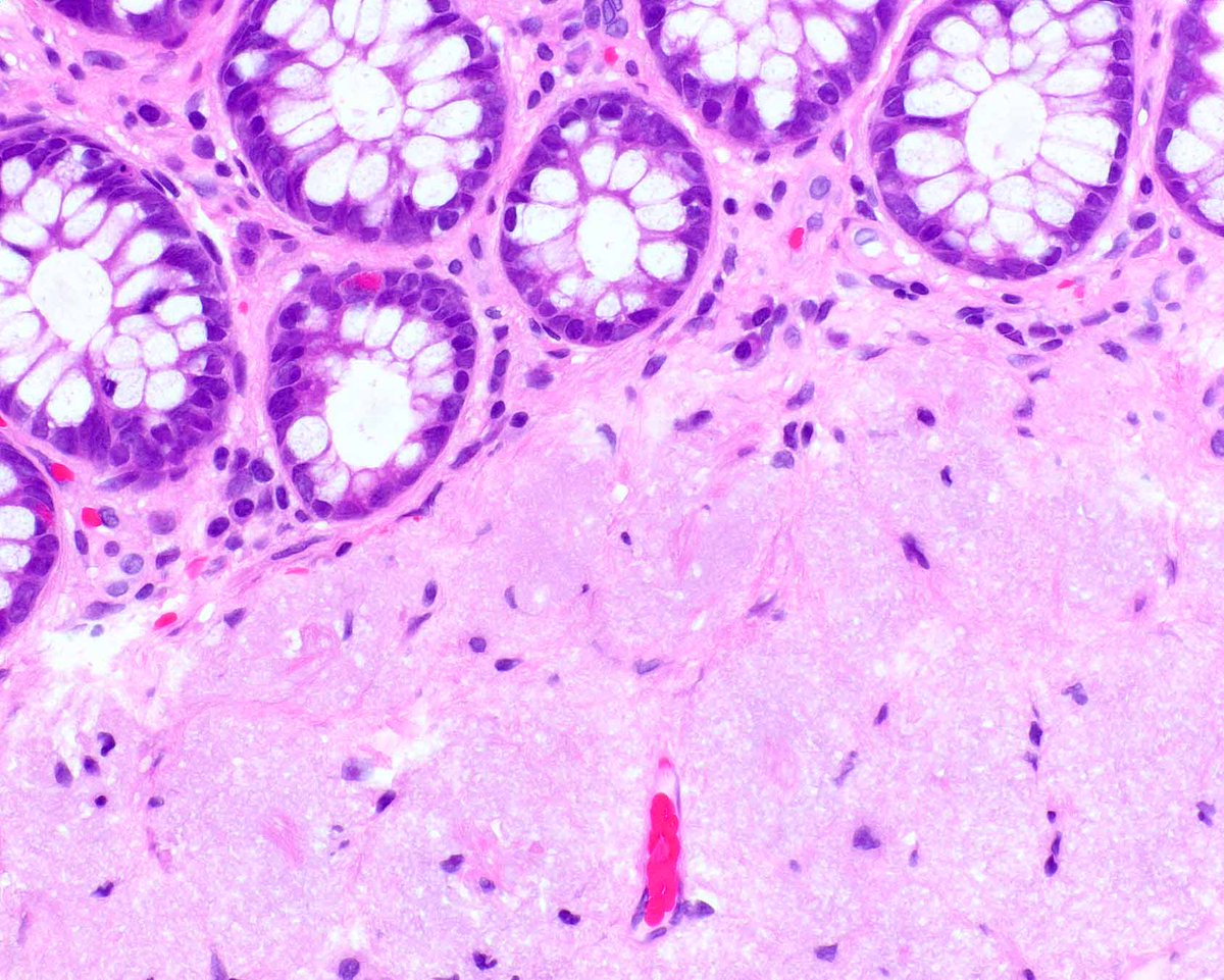
#GIPath #Pathresidents A mimicker of amyloidosis โ†˜๏ธ
@UMiamiPathology
UMiami Pathology
4 days
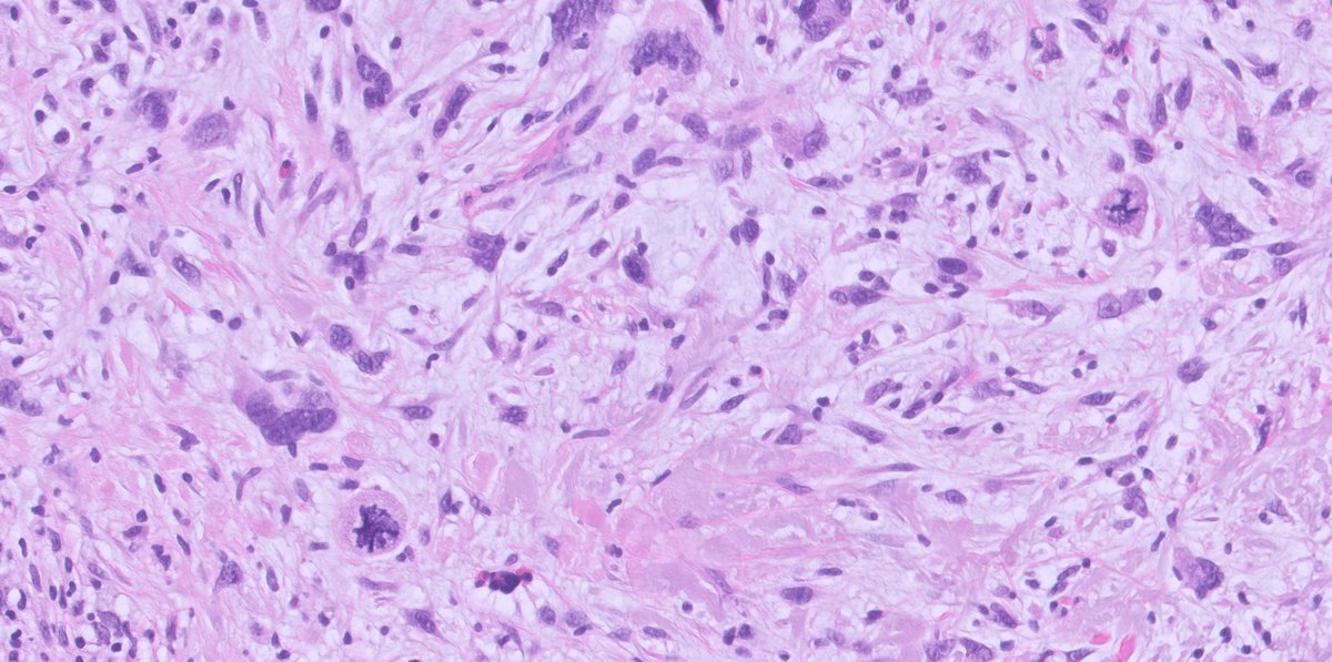
Intestinal elastosis/elastofibromatous change produces a polyp and probably reflects a damaged submucosal blood vessel.
0
1
6
@smlungpathguy
Sanjay Mukhopadhyay
2 days
Diagnose by morphology (on surgical pathology) or give a differential diagnosis and defer to cultures? See the answer here: https://t.co/55BEDmVvHn
4
5
25
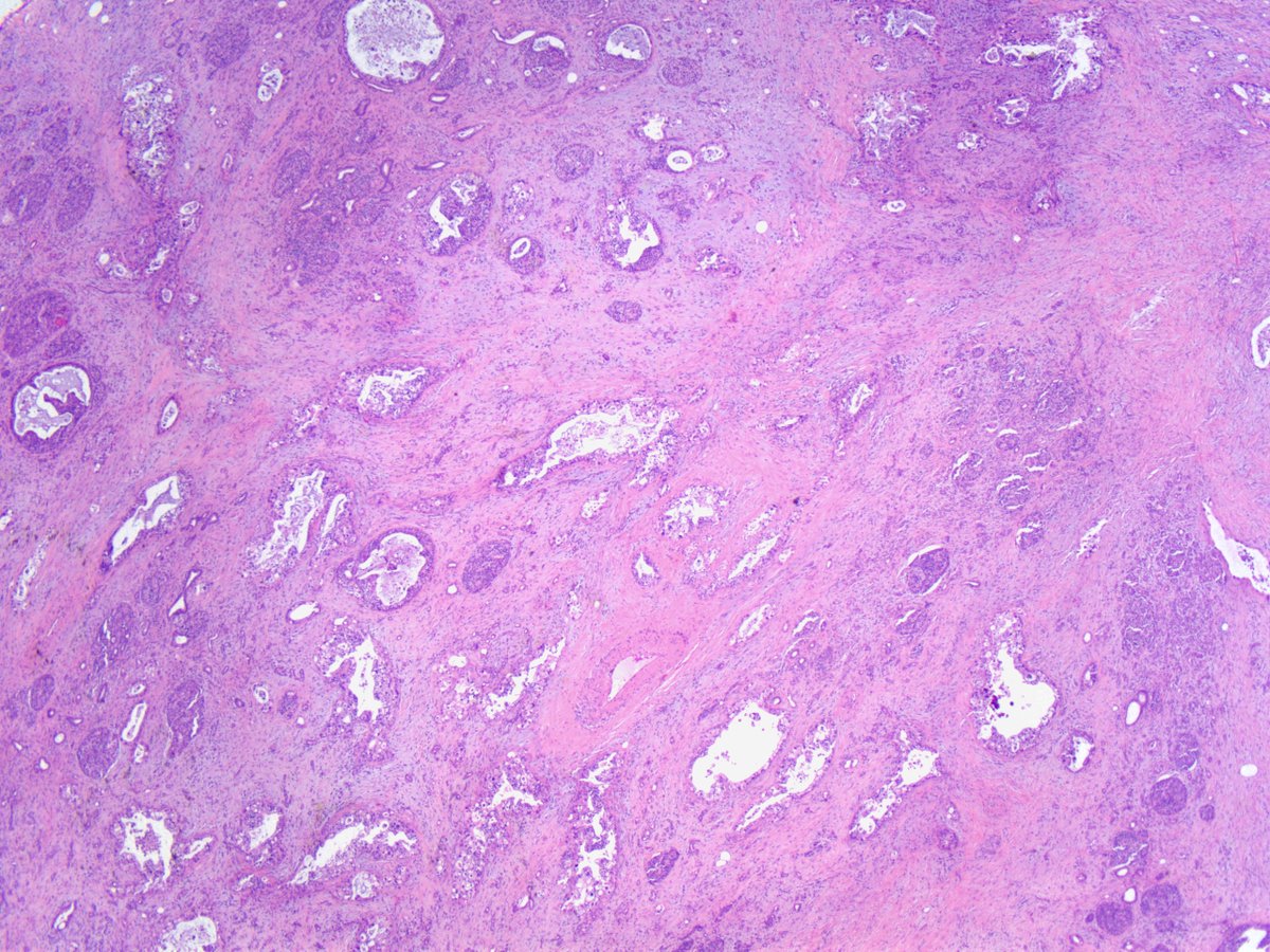
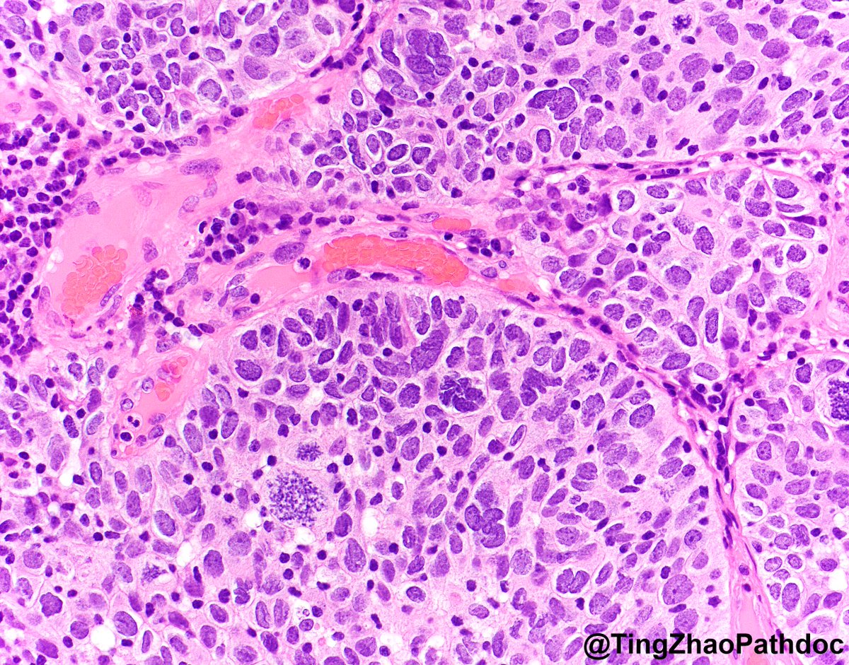
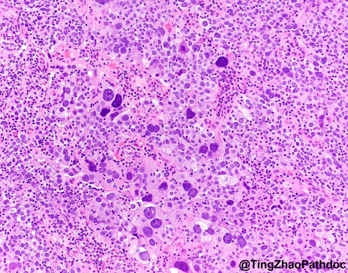
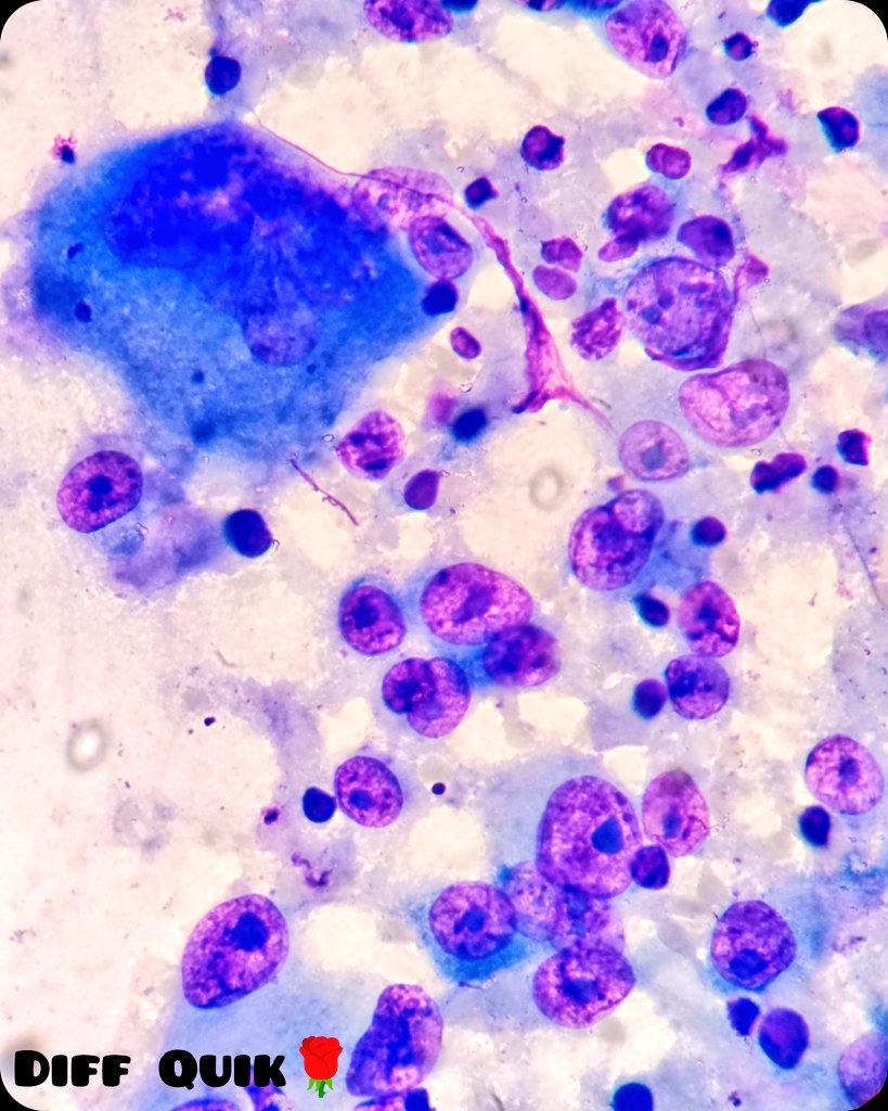
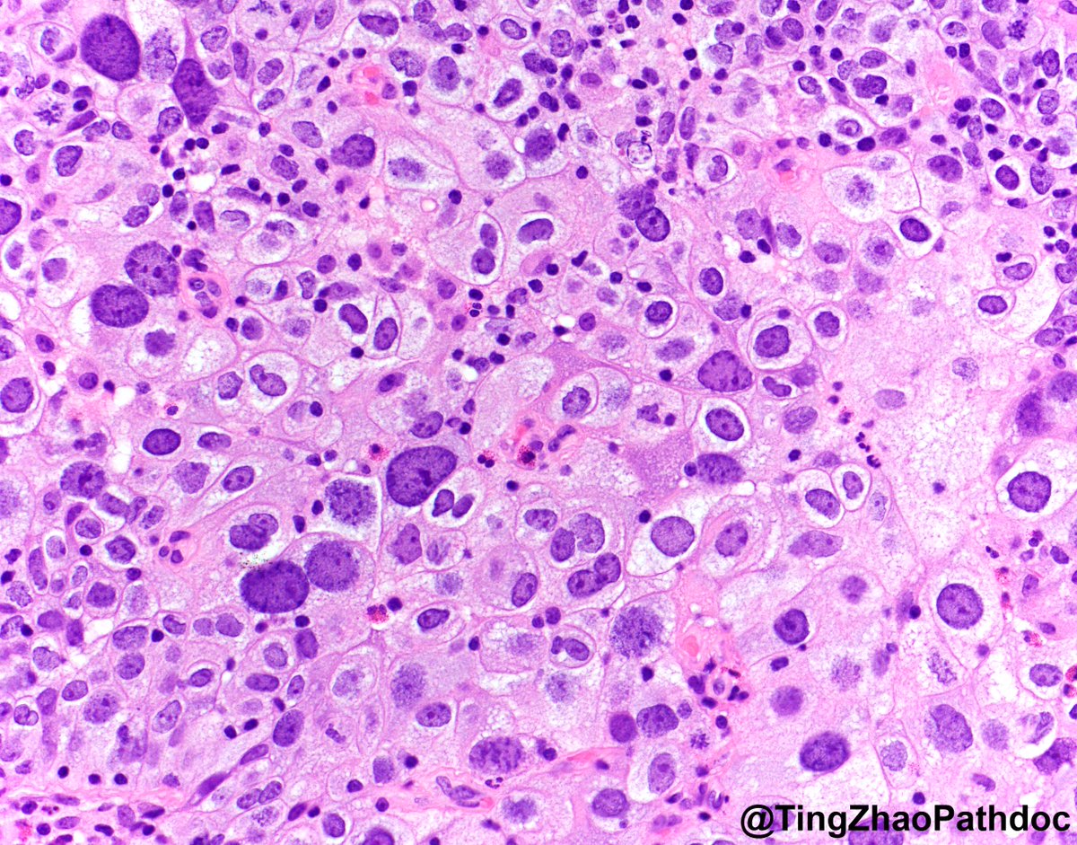
@TingZhaoPathdoc
Ting Zhao, MD
1 day
60s F, bladder transurethral resection. What is your diagnosis? #PathTwitter @MGBpathology @MGHPathology
10
23
80
@SumantaDas_7
Sumanta Das
2 days
"Know where they sit, and half your differential is written". #PathX #PathTwitter #NeuroPath #Basics While modern CNS tumor diagnosis increasingly depends on molecular signatures and DNA methylation based classifiers, leading to many newly defined WHO entities - this graphic
3
7
17
@kis_lorand
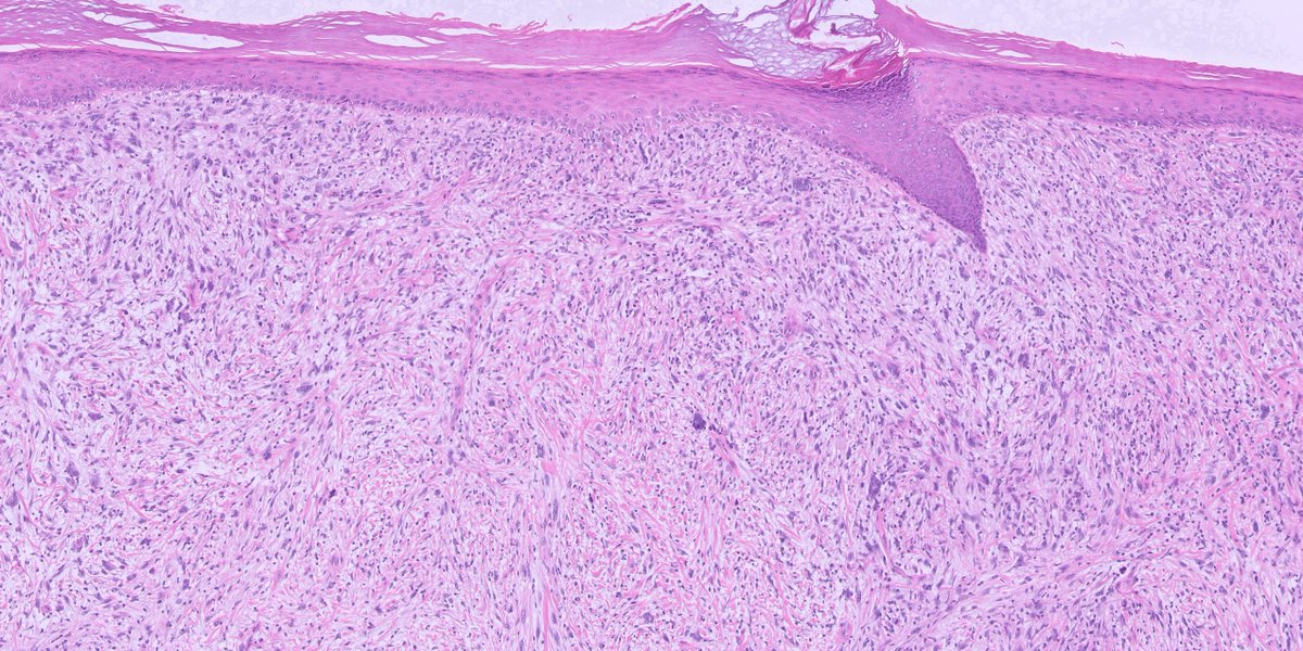
Lorand Kis
2 days
1/ A skin tumor on the forehead of an elderly male with the following histology ๐Ÿ‘‡๐Ÿ‘‡ IHCs as follows in the thread... I would love to see the result of your vote for the diagnosis ๐Ÿ˜„๐Ÿ™ #dermpath #pathology #PathTwitter
5
6
27
@Janiranavarro
Janira Navarro
2 days
Breast - "occlusive" LVI Lymphatic and/or vascular invasion may be seen in stroma between uninvolved lobules and can sometimes be mistaken for DCIS if the cells completely fill the lymphatic space Dr. Brogi- 2025 Contemporary Issues in Breast Pathology #USCAP #pathology #PathX
2
16
50
@Janiranavarro
Janira Navarro
3 days
Inflammatory Breast Carcinoma - NCCN Guidelines 3.2025 It is a clinical diagnosis defined by 1. Rapid onset (โ‰ค6 months) of erythema, edema, peau d'orange occupying โ‰ฅ1/3 of the breast, with or without a palpable mass 2. Pathologic confirmation of invasive breast carcinoma 3. It
1
23
46
@rashmitondon
Rashmi Tondon
2 days
Know your patient, and not just what is on the slide. Metastatic HPV associated adenocarcinoma to pancreas, closely mimicking a PDAC. History helped us! CK7 +, PAX-8 + (not shown), p16, HR-HPV-ISH +ve (shown). PMID: 31857682. #pathology #pathX #GI #pathresident @PennPathLabMed
1
7
35
@JMGardnerMD
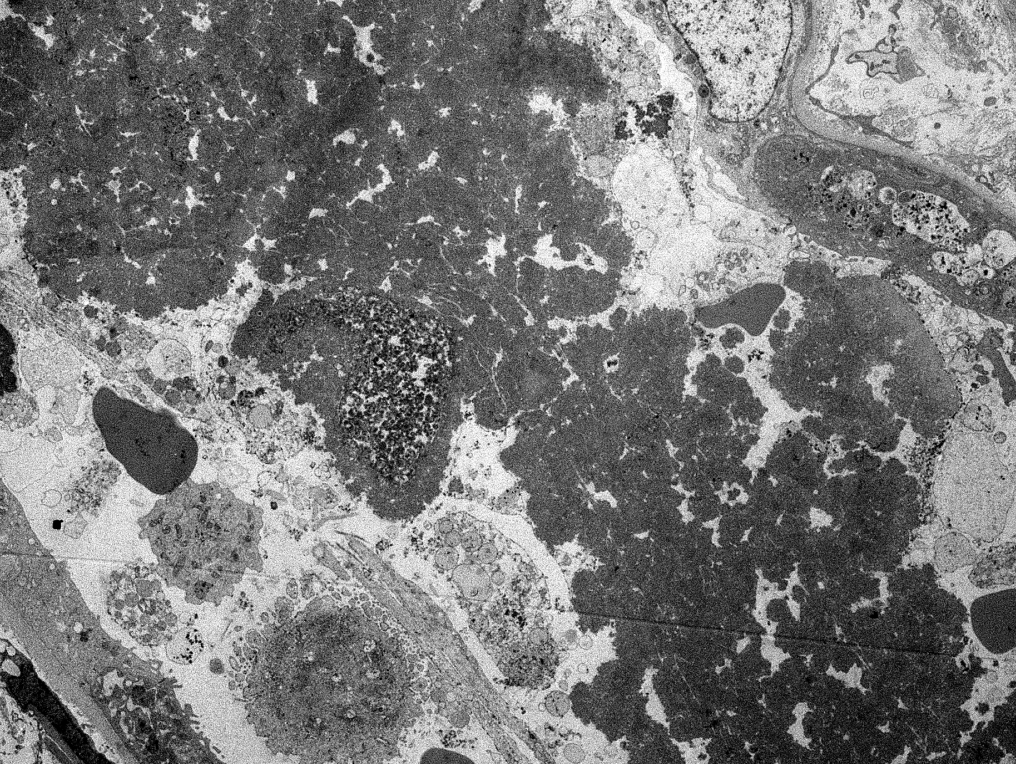
Jerad Gardner, MD
3 days
Incidental finding in the dermis beneath a BCC. What are these cells? Answer โœ… https://t.co/Yy5UM6RjPk #pathology #pathologists #pathTwitter #dermpath #dermatology #dermatologia #dermtwitter
3
7
45
@DrKamleshDarji1
Dr Kamlesh Darji
3 days
Today's learning! #PathX
3
8
97
@path_girl88
Vivi (traveling_pathologist) D.O. ๐Ÿˆ๐Ÿˆโ€โฌ›๐ŸŒˆ๐Ÿ‡จ๐Ÿ‡บ
3 days
Invasive micropapillary carcinoma, in watercolor! Finally had the time and energy to complete this lovely piece. #pathx #pathology #pathart #breastpath
1
9
38
@NicoloVianini
Nicolรฒ Vianini, MD
3 days
Signet ring cell carcinoma of the pancreas. EUS-FNA from a 65 years old women with a longstanding pancreatic mass. https://t.co/hSLgOmIdD0
0
3
19