sohn_aaron Profile Banner
Aaron J Sohn, MD 🔬 Profile
Aaron J Sohn, MD 🔬

@sohn_aaron

Followers
376
Following
449
Media
0
Statuses
228

Surgical Pathologist

Joined April 2017
Don't wanna be here? Send us removal request.
@Anarkhuu
Gunt A.B
1 year
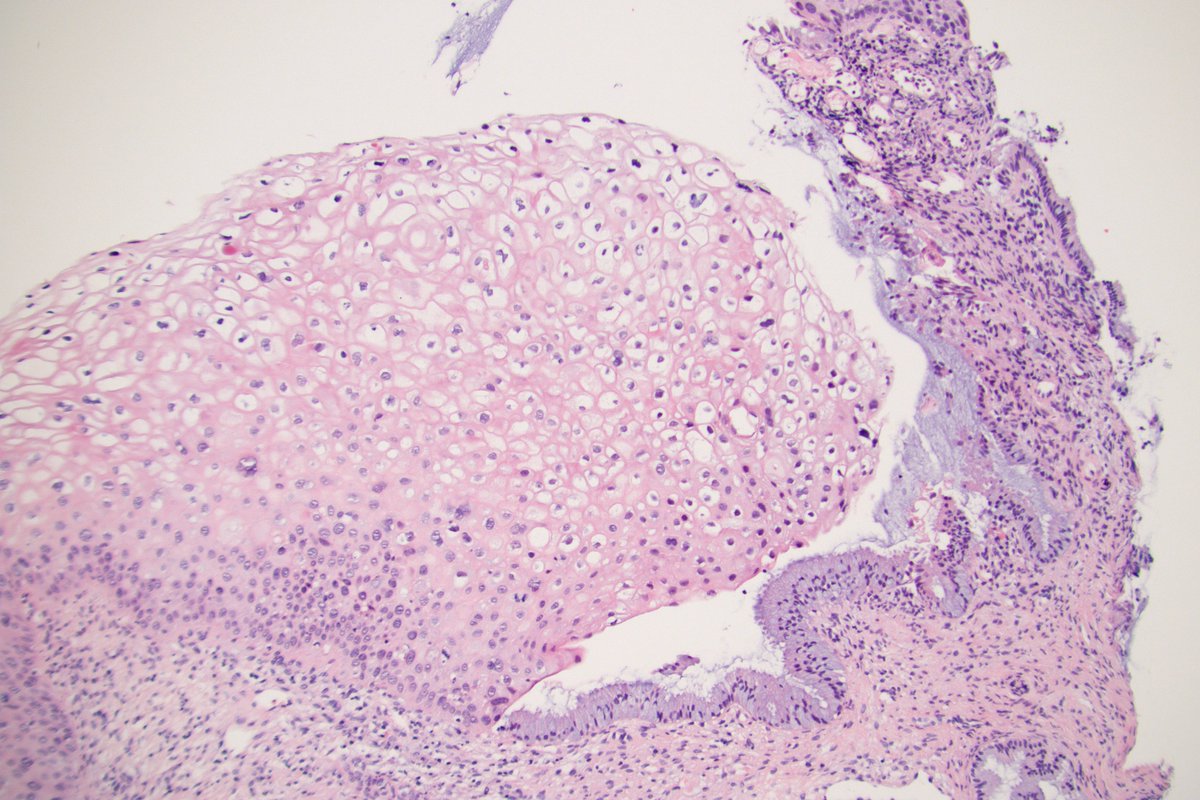
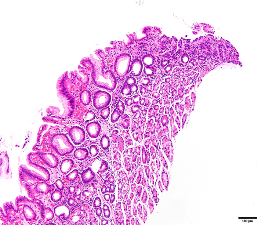
Stomach biopsy, what is your diagnosis? #GIpath #PathX #PathTwitter
7
7
41
@DanGrahamMD
Dan Graham
1 year
60s M h/o cutaneous leiomyosarcoma ~10yrs prior. Now with 6 cm lung mass and hilar adenopathy. Dx? #PathX #PathTwitter #ThoracicPath
11
11
37
@katcollmd
Katrina Collins, MD || Pathologist
1 year
#gupath #prostatepath grade or not to grade? finasteride 5 mg daily ~2 years for BPH/LUTS 🗳️ poll below, comments welcome 🤗
1
14
38
@LizMontgomeryMD
Elizabeth Montgomery, MD
1 year
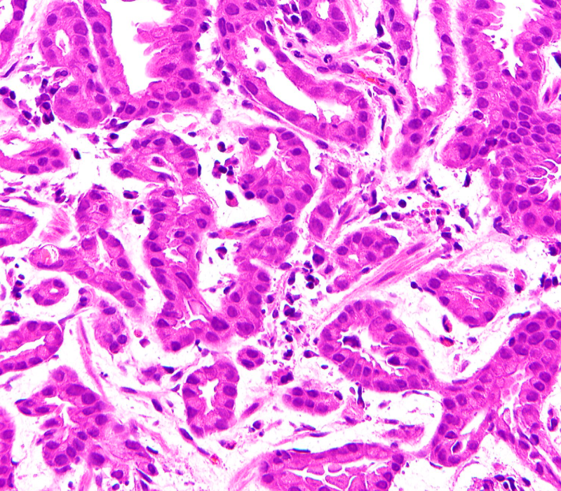
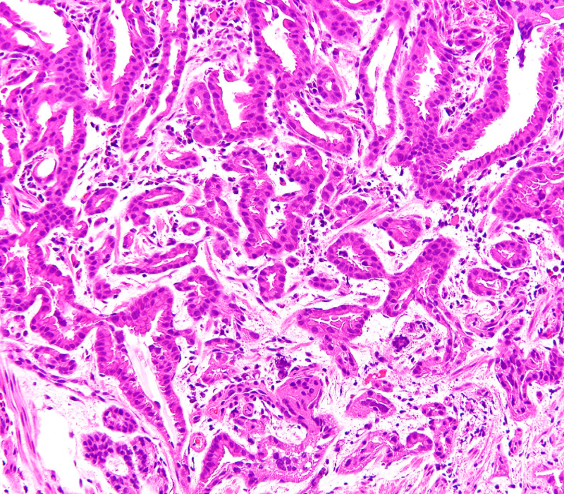
An unusual case - a rectal somatostatin-positive neuroendocrine tumor. Note the psammomatous calcification (arrow), a characteristic feature of somatostatinomas, like their proclivity to form tubules to mimic adenocarcinoma, all described years ago. PMID: 6139028 #UMiamiPath
8
57
173
@oncopathmmb
Mahfooz Basha Mohamed
1 year
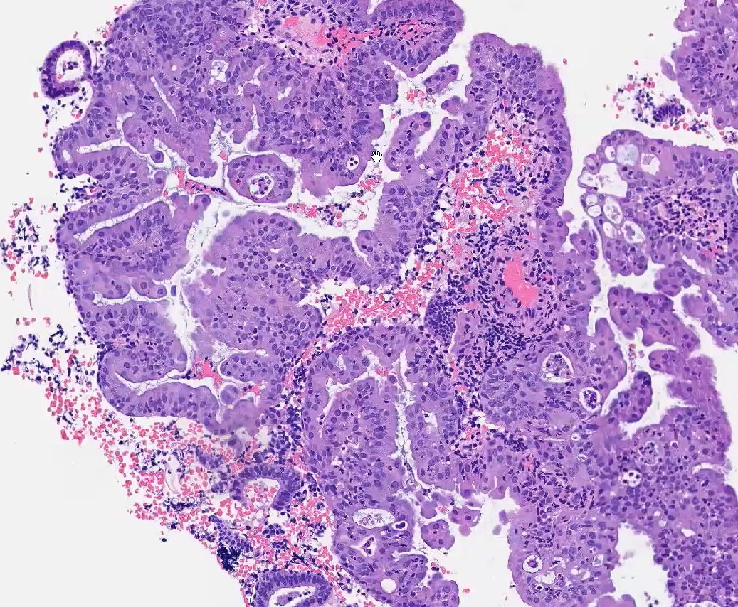
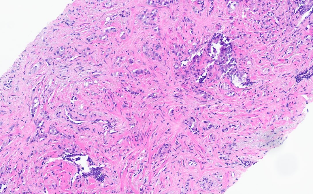
#gynpath #surgpath #PathTwitter small nodule located in ovarian hilus - can you guess the 2 findings shown in the pics and diagnosis?
2
4
18
@MeredithKHerman
Meredith Herman, DO
1 year
Gallbladder, cholecystectomy:_______ No prior history of cancer. How would you sign this out? Which stains would you order? #GIpath #PathX #COTW #2for1
9
35
137
@Janiranavarro
Janira Navarro
1 year
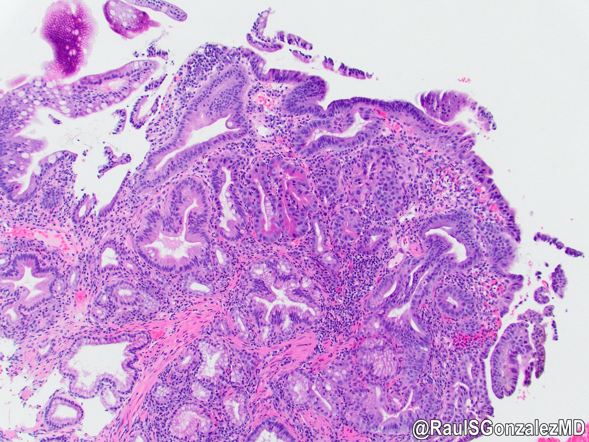
Mucinous lesions of the endometrium -Branching glandular structures with intraepithelial neutrophils and watery blue cytoplasm How would you sign out this case? See next post👇 Dr. Wong #isgyp #PathTwitter #pathX #pathologists #pathresidents #pathfellow #NIPPathX
2
46
124
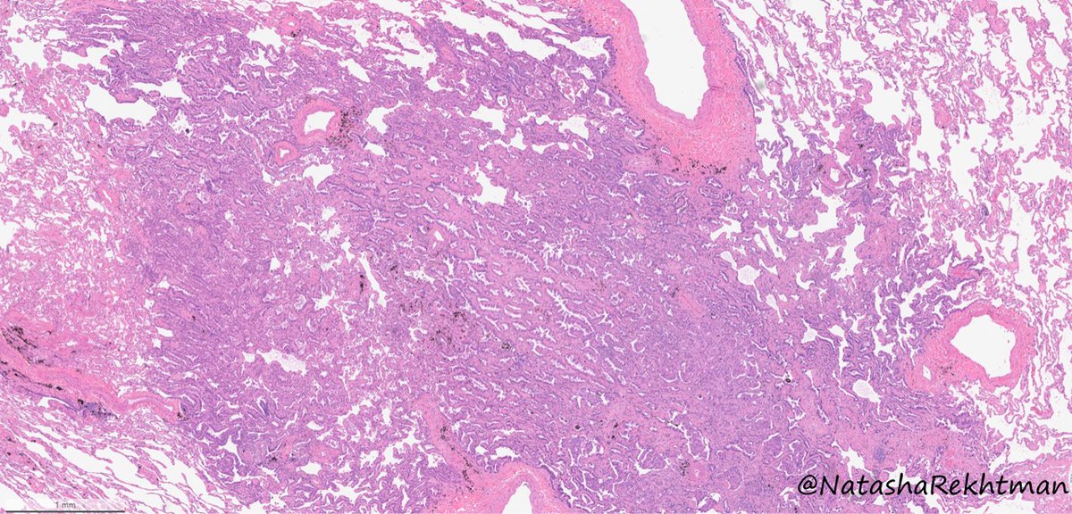
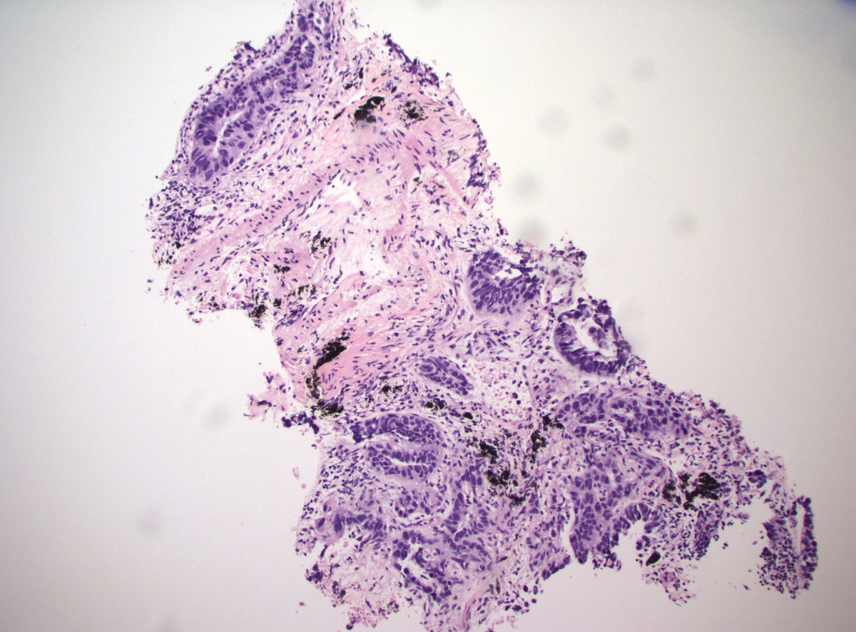
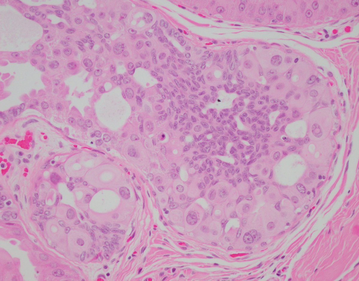
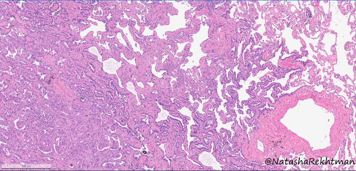
@natasharekhtman
Natasha Rekhtman MD PhD
1 year
Hi friends! Anyone up for a long overdue #NatPathPuzzler 🔬🧩? Well… ready or not, here it comes. Lung nodule in a patient with history for breast carcinoma. Are you team H&E or team IHC - is IHC needed here? #PulmPath @PulmPathSoc @MSKPathology
14
33
88
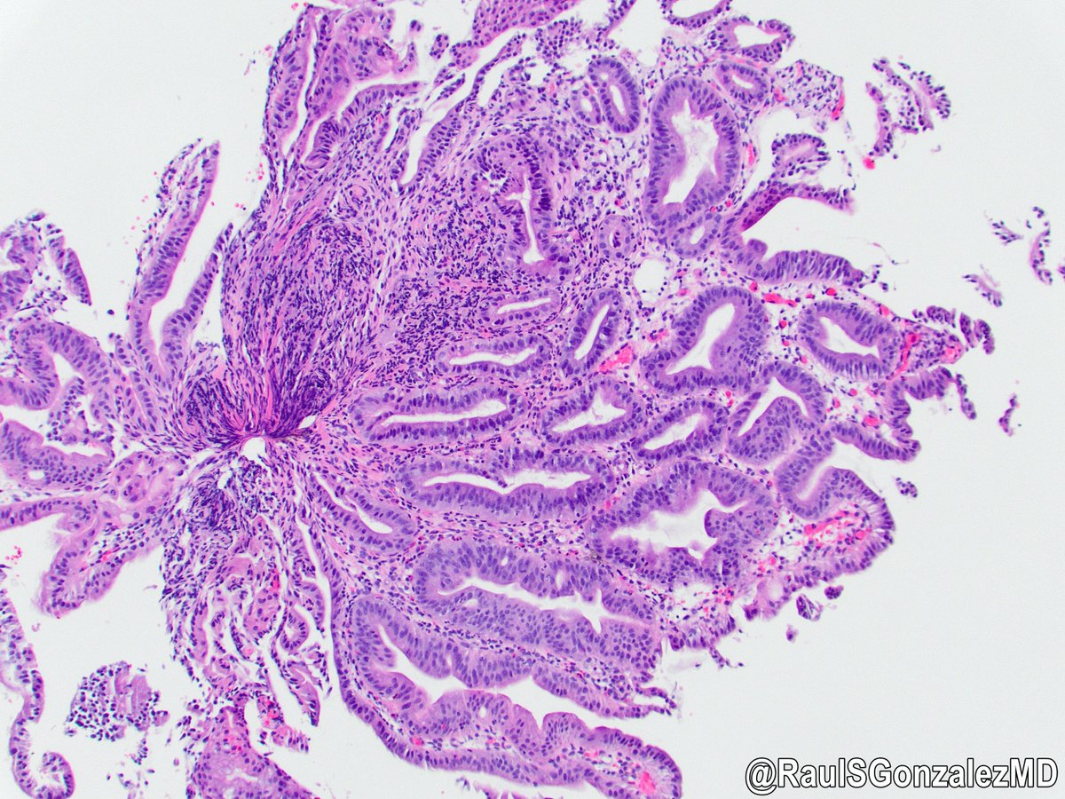
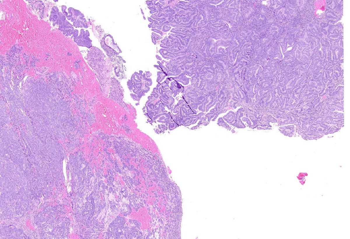
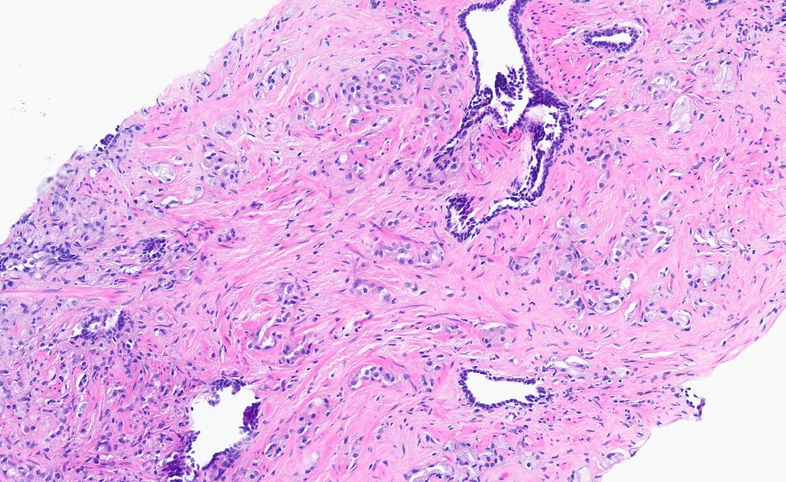
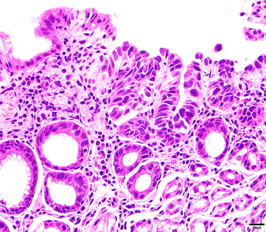
@RaulSGonzalezMD
Raul S. Gonzalez, MD
1 year
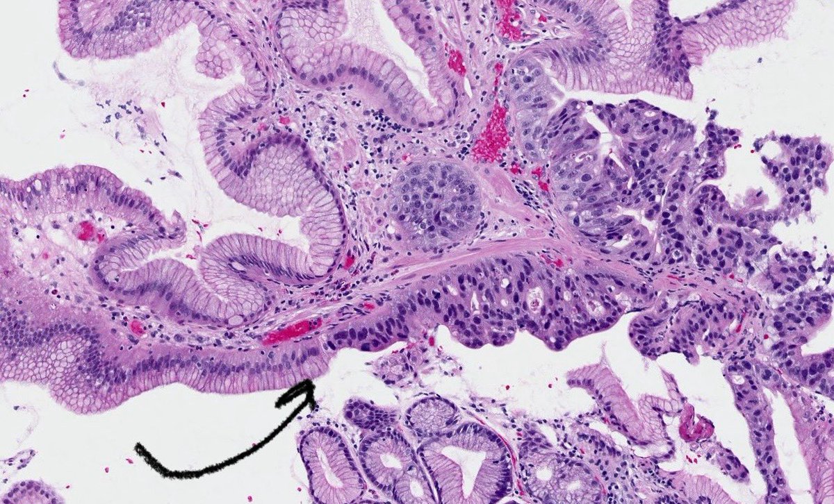
Ampulla biopsy. What do you think? Benign, dysplastic, malignant? Poll in thread. #pathology #gipath #PathTwitter #PathX
14
26
89
@Anarkhuu
Gunt A.B
2 years
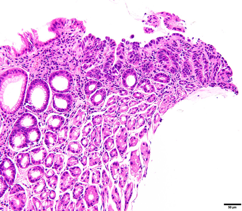
Stomach biopsy, what is your diagnosis? #GIpath #Pathtweet
19
17
73
@LibraryPath
Library Path
2 years
15 Deep Philosophy and Psychology Quotes that Will Make you Think: 1.
253
6K
46K
@drtimbracey
Tim Bracey
2 years
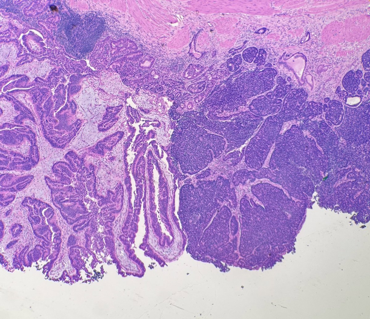
@abobbyandrews @edinpath @pathkids @DraEosina @RunjanChetty @SingJamieD @GIJamesMD @ariella8 @LizMontgomeryMD @Vik_deshpandeMD @TristanRutland7 @RaulSGonzalezMD @DrMarkOng We usually associate abrupt morphological transitions with neoplasia in Histopathology like this one in a gastric dysplasia I just picked up. “If Carlsberg did abrupt transitions”!
1
3
7
@lauradelongwood
Laura DeLong Wood
2 years
It's out! We report 3D mapping of human pancreatic precancer and associated genetic alterations. With the brilliant @AshleyKiemen and @deniswirtz . Tweetorial to follow soon.
Tweet card summary image
nature.com
Nature - Quantitative multimodal 3D reconstruction of human pancreatic tissue at single-cell resolution reveals a high burden of multifocal, genetically heterogeneous pancreatic intraepithelial...
21
108
346
@kis_lorand
Lorand Kis
7 years
What would you call this lesion in the cervical biopsy?? #pathology
22
94
170
@TristanRutland7
Tristan Rutland MBBS FRCPA IFCAP
2 years
6
54
135
@Mvgs1706
Monika Vyas
6 years
Can you guess the theme here? There may be more than one 😉 #GIpath #pathboards
12
51
114
@Mvgs1706
Monika Vyas
4 years
Hello #GIpath friends! What criteria do you use for dx of GI GVHD? Poll below Here's a nice example of gastric involvement by GVHD. Differentials include; 1. Infections - CMV, adenovirus, cryptosporidium 2. Medications - MMF, NSAIDS, PPIs, 5-FU etc 3. Sadly, bowel prep
6
59
135
@JojoPathAdvntrs
Elizabeth Kertowidjojo, MD, PhD, MPH
2 years
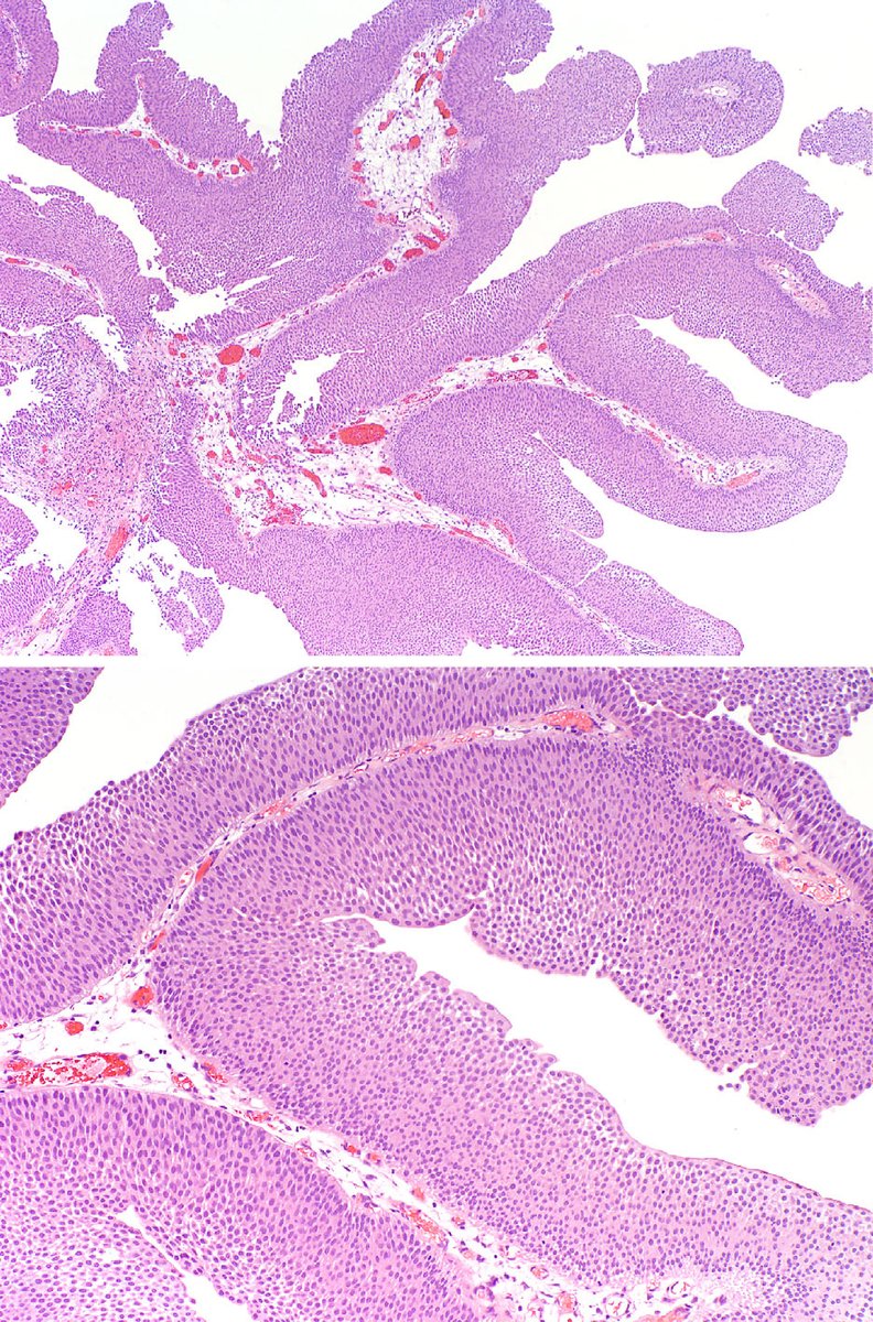
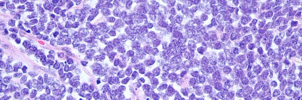
Back from #USCAP2024 to bring you a #gynfrozensection on this 60yo F with a 12 cm pelvic mass. #gynpath #gynepath #pathtwitter #pathx
15
59
125
@LiangChengMD
Liang Cheng, MD
5 years
Bladder tumor from a 56 year old man. Your diagnosis? - PUNLMP or Ta Low-grade Urothelial Carcinoma? - Does it make a treatment difference? #gupath #pathology
34
61
164
@fouad_boulos
Fouad Boulos
2 years
17
17
88