smlungpathguy Profile Banner
Sanjay Mukhopadhyay Profile
Sanjay Mukhopadhyay

@smlungpathguy

Followers
35K
Following
160K
Media
5K
Statuses
111K

Skeptic, Pathologist

Cleveland, OH
Joined March 2016
Don't wanna be here? Send us removal request.
@smlungpathguy
Sanjay Mukhopadhyay
1 year
1. Introducing a new thread: super basic lung pathology for PGY1s, with arrows. If you are a PGY1, leave a comment and I will tag you in a future post. A hamartoma is a disorganized mix of overgrown normal tissues (in their normal location) that creates a mass. Good news: they
82
228
629
@drHTBlungpath
Humberto Trejo Bittar, MD, FCAP
8 hours
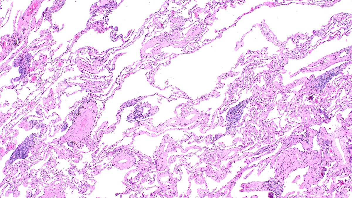
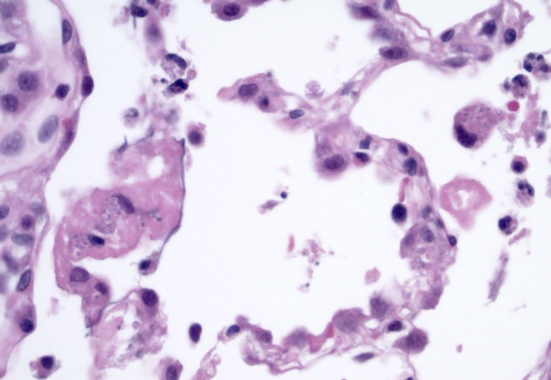
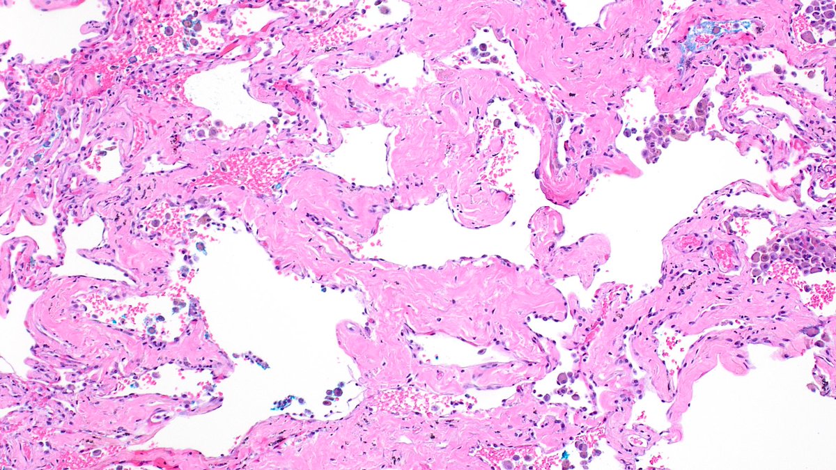
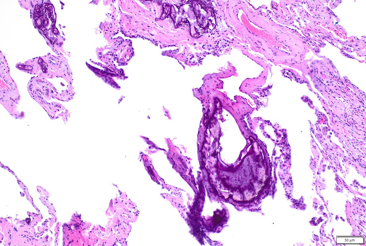
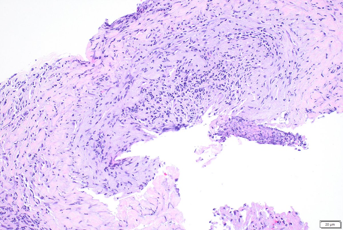
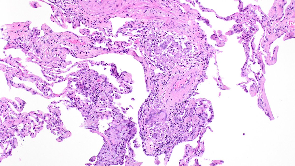
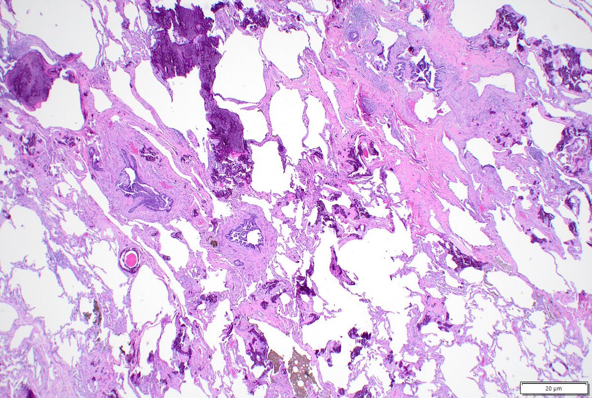
Incidental finding. Resection for met CA + CHF hx. Anything striking in alveolar septae imgs? Consider thoracic path training @MoffittNews "to contribute to the prevention and cure of cancer, focusing on groundbreaking research, expert patient care, and comprehensive education"
0
5
6
@smlungpathguy
Sanjay Mukhopadhyay
7 hours
The most beautiful pictures ever published in a pathology paper! (Just kidding but fruiting bodies are truly beautiful)
Tweet card summary image
journals.sagepub.com
In pathology (surgical pathology/cytopathology) specimens, Aspergillus species can be challenging to differentiate from other fungi that produce hyaline septate...
0
0
4
@drHTBlungpath
Humberto Trejo Bittar, MD, FCAP
11 hours
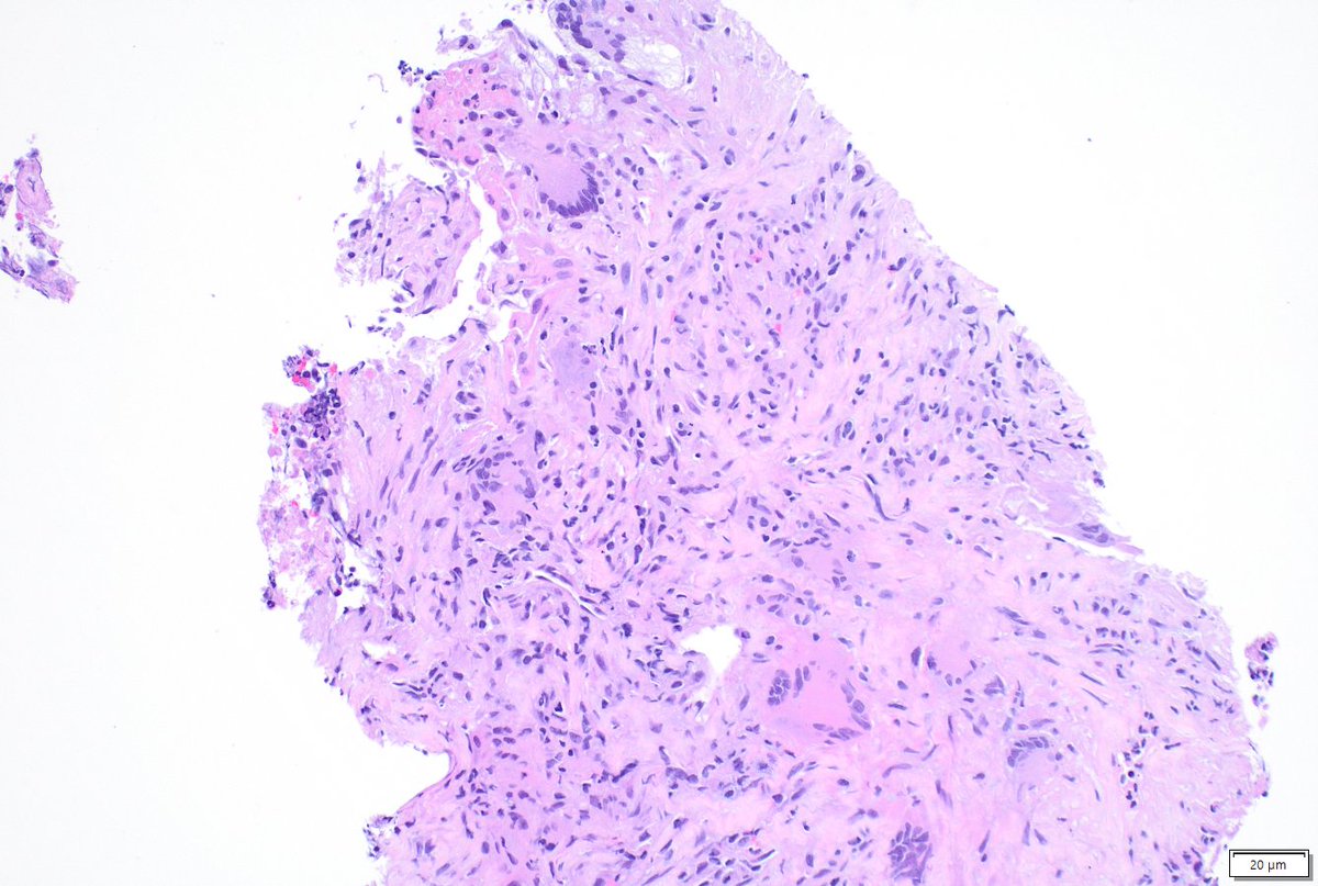
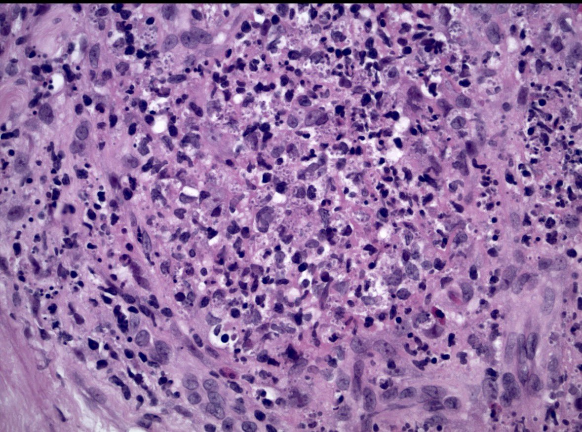
Diagnosing granulomatosis with polyangiitis on small biopsies (especially if not considering it) is very challenging. ANCA serologies, negative cultures, and pathologic suspicion were crucial in this case. Not everything is cancer at a cancer center. #lungpath #pathology #moffitt
1
5
20
@caffeineai
caffeine
1 day
No dev team? No problem. Caffeine turns your ideas into launch-ready apps — just by chatting. Start for free →
0
0
13
@drHTBlungpath
Humberto Trejo Bittar, MD, FCAP
1 day
Non-neoplastic lung pathology is a major part of my work at @MoffittNews. Consider training in thoracic pathology with us! We are still accepting fellows for 2026-2027. Today’s case: metastatic pulmonary calcification in a patient after massive transfusion #lung #pathology #MedEd
0
11
36
@SahilBloom
Sahil Bloom
2 days
Bandwagon Fallacy: Everyone’s Doing It
4
21
185
@smlungpathguy
Sanjay Mukhopadhyay
2 days
Very sorry to hear this! 🙏🏾
@MerceJorda1
Merce Jorda
2 days
It is with deep sadness that we share the passing of our cherished colleague, mentor, and friend, Dr. Parvin Ganjei-Azar, who died on December 1, 2025. Parvin dedicated more than 35 years to our Department of Pathology and Laboratory Medicine, beginning as a resident at Jackson
0
1
3
@smlungpathguy
Sanjay Mukhopadhyay
2 days
Congrats @LaurenGroner !!
@LaurenGroner
Lauren Kriger Groner
2 days
💥BIG NEWS: Pleased to share I’m joining @SylvesterCancer @UMiamiHealth @umiamimedicine as Associate Director of #LungCancerScreening + Associate Professor of Radiology (🫀🫁 division)! Stepping into my new role in early 2026 with immense gratitude and a collaborative spirit 🙏
1
1
12
@nunchuk_io
nunchuk_io
3 days
We just published "The Definitive Guide to Bitcoin Inheritance." We break down everything you need to know about securing your legacy: from Custodial and DIY solutions to the new standard of Autonomous Inheritance, leveraging on-chain timelocks. Read the full guide:
Tweet card summary image
nunchuk.io
The Sovereignty Paradox Bitcoin introduced the world to true digital sovereignty. For the first time, individuals can hold wealth securely without relying on banks, governments, or custodians. This...
9
46
221
@drHTBlungpath
Humberto Trejo Bittar, MD, FCAP
3 days
I am thankful for the privilege of teaching the next generation of pathologists at @MoffittNews. We are still looking to fill Moffitt’s Thoracic Pathology fellowship. Check us out #MedEd #lungpath #pathologyfellowship #fellowship #thoracic @NushaniMD https://t.co/ALLp8iYyGp
1
8
16
@drHTBlungpath
Humberto Trejo Bittar, MD, FCAP
3 days
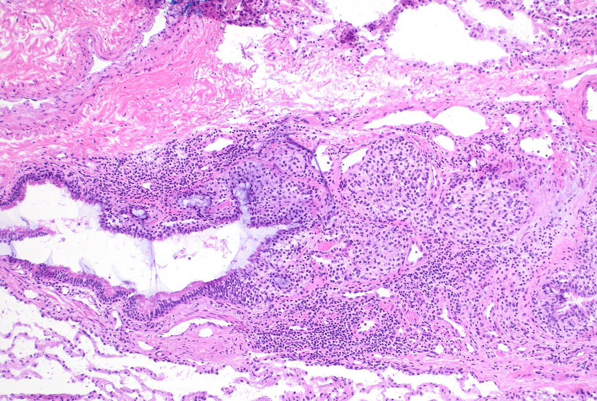
At frozen section, what do you do with tumorlets at a parenchymal margin in a resection for carcinoid tumor? The best approach is to discuss with the surgeon. #lungpath #frozensection #pathology #thoracicpath
0
3
14
@fabiotavora
Fábio Tavora, MD, PhD
6 months
A great example of grossing technique in thyroid pathology — clean, precise, and educational. 🧠🧬 #ENTpath #HeadAndNeckPathology #PathTwitter 9/
1
2
11
@fabiotavora
Fábio Tavora, MD, PhD
6 months
Even simple specimens can showcase photographic mastery — like this gallbladder with stones. 🫙💎 #PathTwitter #GIpath 8/
1
6
16
@SuperiorSource
Superior Source
5 days
Vitamins can help boost the immune system and lessen the effects of seasonal affective disorder.*
0
0
3
@fabiotavora
Fábio Tavora, MD, PhD
6 months
This #GIpath specimen looks like it’s floating in space 🌌🧫 — a stunning display of anatomical accuracy. #PathTwitter 7/
1
4
16
@fabiotavora
Fábio Tavora, MD, PhD
6 months
#GUpathology at its best 🔬🧠 — combining sectioning, grossing, anatomy, and pathology in a single image. #PathTwitter
1
2
14
@fabiotavora
Fábio Tavora, MD, PhD
6 months
And finally… 🥁 let the drums play! 1st place goes to a masterpiece of lighting, flawless execution, and perfect documentation — a #GUpath specimen that sets the standard. 🏆📸 #PathTwitter 19/
1
2
13
@drHTBlungpath
Humberto Trejo Bittar, MD, FCAP
3 days
If you're looking to refine your skills or stay updated on the latest developments in surgical pathology, consider attending the ASCP Pathology Updates course! I'll be bringing some lung pathology excitement! #lungpath #pathology #thoracicpathology #MedEd #ASCP @ASCP_Chicago
0
1
3
@FragmentsOrg
Fragments
3 days
Bitcoin Junior can take your $cbBTC further. Be like Alice, take a more ambitious path for your growth. Join the BTC-Jr waitlist.
260
186
373
@DrKamleshDarji1
Dr Kamlesh Darji
6 days
Most students study, but very few learn. If you want strong memory, deep understanding, and top performance, stop passive reading and switch to ACTIVE STUDY. Here are 20 powerful methods to upgrade your learning. Thread below. #Academic #Study #Learning (1/21)
31
549
2K
@drHTBlungpath
Humberto Trejo Bittar, MD, FCAP
4 days
Smoking-related interstitial fibrosis, but if the patient has clinically and radiologically evident interstitial lung disease, clinicians would call this respiratory bronchiolitis with fibrosis interstitial lung disease... so confusing :-0
1
5
20
@drHTBlungpath
Humberto Trejo Bittar, MD, FCAP
4 days
Interstitial lung diseases are challenging to diagnose. Recently, some terminologies were updated. Read more here: https://t.co/2jHs00zuVz Notably, DIP (now alveolar macrophage pneumonia) and AIP (now idiopathic DAD) are no longer used. #lungpath #lung #moffitt #lungILD
0
2
5
@smlungpathguy
Sanjay Mukhopadhyay
4 days
Please follow my friend and awesome lung pathologist @drHTBlungpath and welcome him to Twitter/X!
@drHTBlungpath
Humberto Trejo Bittar, MD, FCAP
4 days
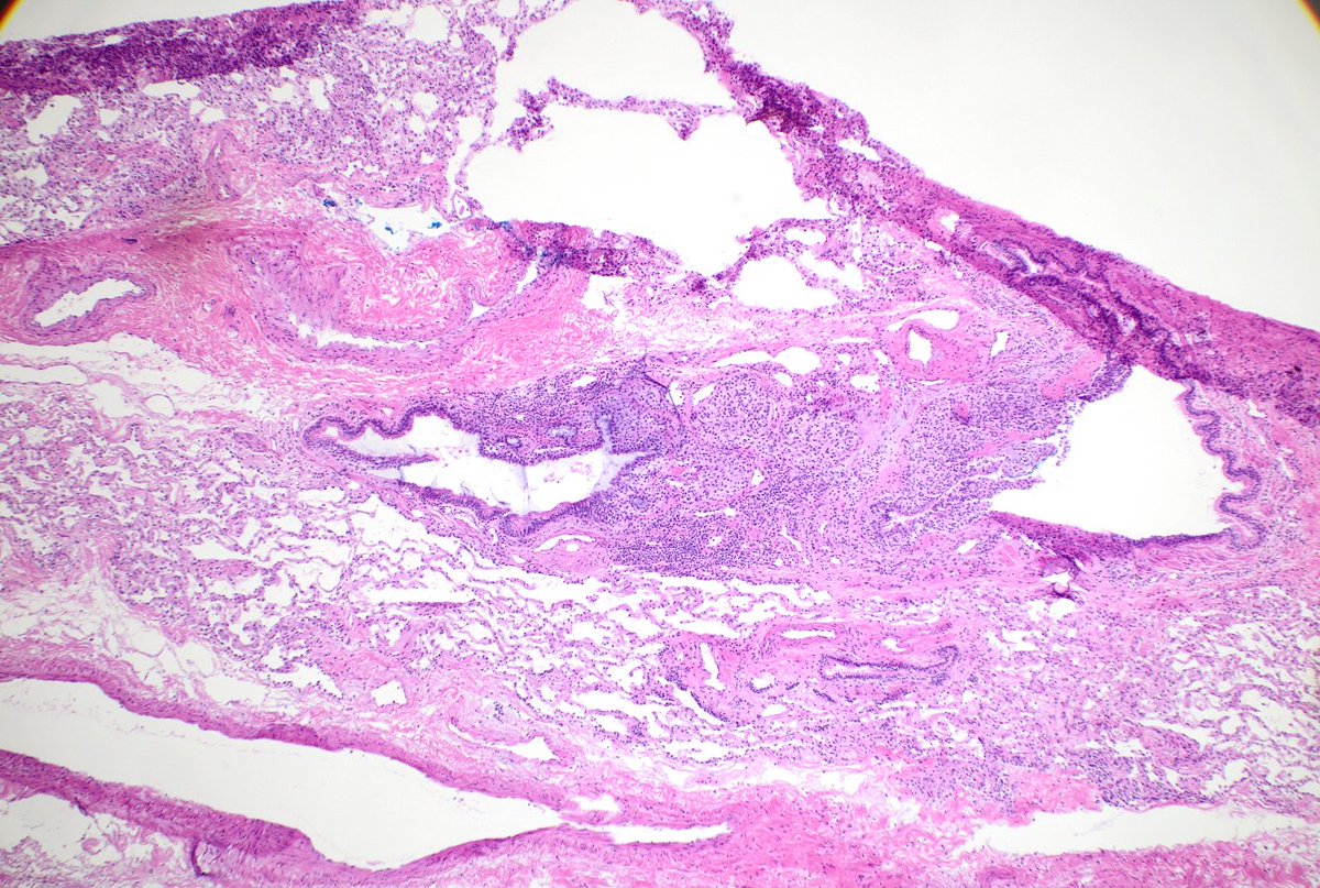
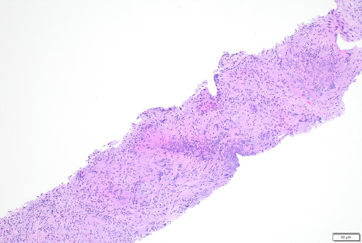
What to do with ill-formed interstitial granulomas on lung resections for malignancy? When are interstitial mononuclear inflammatory cells too numerous? (Same case, away from tumor) #moffitt #moffittpath #lungpath #moffittpathology
3
4
23
@HAProxy
HAProxy Technologies
7 days
HAProxy is confirmed as the unshakeable standard for enterprise load balancing in the G2 Winter 2026 Reports! CEO of HAProxy Technologies, Dujko Radovnikovic, notes that these rankings reflect a clear industry shift: organizations are moving away from complex, opaque security
0
6
6