MdSuster Profile Banner
DavidSusterMD Profile
DavidSusterMD

@MdSuster

Followers
3K
Following
1K
Media
229
Statuses
1K

Associate Prof. @Rutgers_NJMS, trained @BIDMCpath @MGHpathology @MountSinai_Path, Certified in Anatomic, Clinical, Molecular Genetic Pathology, T/RT= my own

New Jersey
Joined August 2020
Don't wanna be here? Send us removal request.
@JClinPath_BMJ
JClinPath_BMJ
4 days
ERG remains a highly sensitive & specific marker for vascular neoplasms - However, this study on 489 soft tissue neoplasms tells you just which pitfalls to watch out for! Watch the video for a quick sneak peak and then go ahead and read it right here - https://t.co/SqUbiv4EgU
0
2
3
@JMcMahonG
John Gross, MD
1 month
This Updates in Bone and Soft Tissue Course will be ๐Ÿ”ฅ ๐Ÿ”ฅ ๐Ÿ”ฅ ๐Ÿ”ฅ ๐Ÿ”ฅ Rome ๐Ÿ‡ฎ๐Ÿ‡น February 6-7, 2026 Come for the ๐Ÿ• ๐Ÿ ๐Ÿท or the ๐Ÿ’€ ๐Ÿฉป ๐Ÿ– ๐Ÿฆด #BSTPath #sarcoma #MSKRad #orthopaedics #pathology #surgpath #surgicalpathology #bonepath #softtissue
2
35
66
@MdSuster
DavidSusterMD
25 days
Hot off the press in Modern Pathology!! #surgpath #pathtwitter #BSTpath #sarcoma
@Greg_Charville
Greg Charville
25 days
What happens when EWSR1 and SSX join forces? A broad clinicopathologic spectrum of sarcomas, including fusion-driven osteosarcomas. Surprises at every turn with @JMcMahonG , @MdSuster, and a great team of collaborators. Check it out! https://t.co/LGHtT2PHHA #BSTpath
0
3
11
@JClinPath_BMJ
JClinPath_BMJ
1 month
ERG remains a highly sensitive & specific marker for vascular neoplasms - However, this study on 489 soft tissue neoplasms tells you just which pitfalls to watch out for! Watch the video for a quick sneak peak and then go ahead and read it right here - https://t.co/SqUbiv4EgU
0
4
6
@IHC_guy
Andrew Bellizzi ๐Ÿ‡บ๐Ÿ‡ฆ
1 month
Shameless self promotion? You be the judge๐Ÿ˜‚ I'm writing to welcome everyone to our @ISIMMweb webinar, Wednesday, October 15 at 11 am ET in which yours truly will present "IHC in Difficult Hepatobiliary Lesions: What Can Brown Do For You?" Register here: https://t.co/G0OlACSKcO
14
53
168
@MdSuster
DavidSusterMD
1 month
@JMcMahonG
John Gross, MD
1 month
This Updates in Bone and Soft Tissue Course will be ๐Ÿ”ฅ ๐Ÿ”ฅ ๐Ÿ”ฅ ๐Ÿ”ฅ ๐Ÿ”ฅ Rome ๐Ÿ‡ฎ๐Ÿ‡น February 6-7, 2026 Come for the ๐Ÿ• ๐Ÿ ๐Ÿท or the ๐Ÿ’€ ๐Ÿฉป ๐Ÿ– ๐Ÿฆด #BSTPath #sarcoma #MSKRad #orthopaedics #pathology #surgpath #surgicalpathology #bonepath #softtissue
1
6
13
@MdSuster
DavidSusterMD
2 months
Hot off the press :) Biopsy interpretation of the lung 3rd Edition! #surgpath #pathtwitter #pulmpath
9
12
74
@MdSuster
DavidSusterMD
3 months
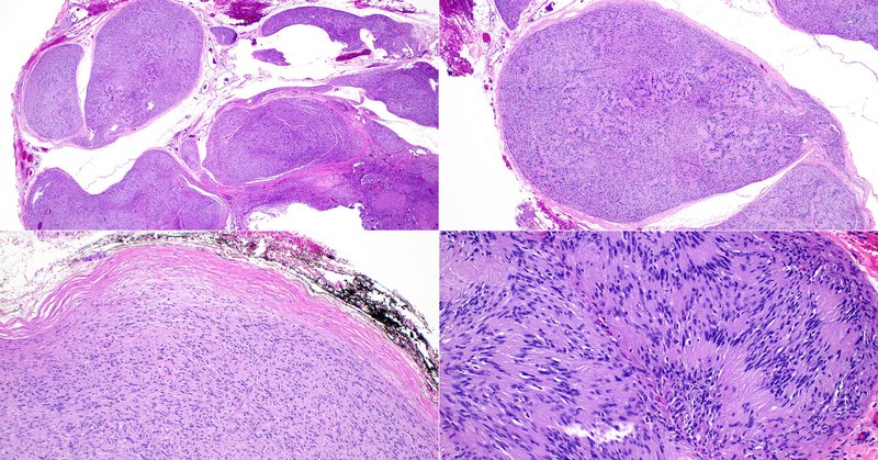
New Article out in Histopathology: Largest series on cutaneous plexiform schwannomas to date! https://t.co/19J0MR11Qa @Histo_Journal #pathtwitter #surgpath #bstpath @JMcMahonG
1
10
39
@MdSuster
DavidSusterMD
3 months
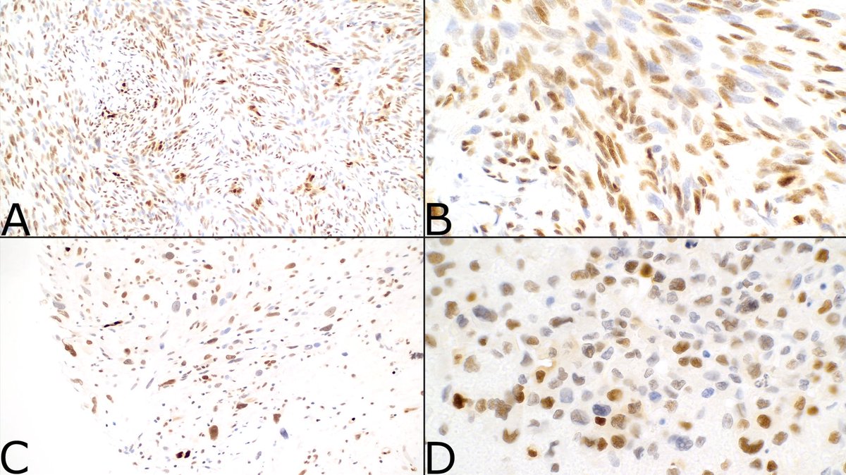
New Article examining ERG IHC across a wide spectrum of soft tissue tumors out at Journal of Clinical Pathology! https://t.co/9tzvFXZDfR #surgpath #pathtwitter #BSTpath @IHC_guy @JClinPath_BMJ
0
8
31
@MdSuster
DavidSusterMD
3 months
Did you know you can rarely encounter lipoblastomas in adult patients? Now available in Genes, Chromosomes and Cancer: https://t.co/iooGWG33cO #surgpath #pathtwitter #BSTpath
2
10
30
@MdSuster
DavidSusterMD
3 months
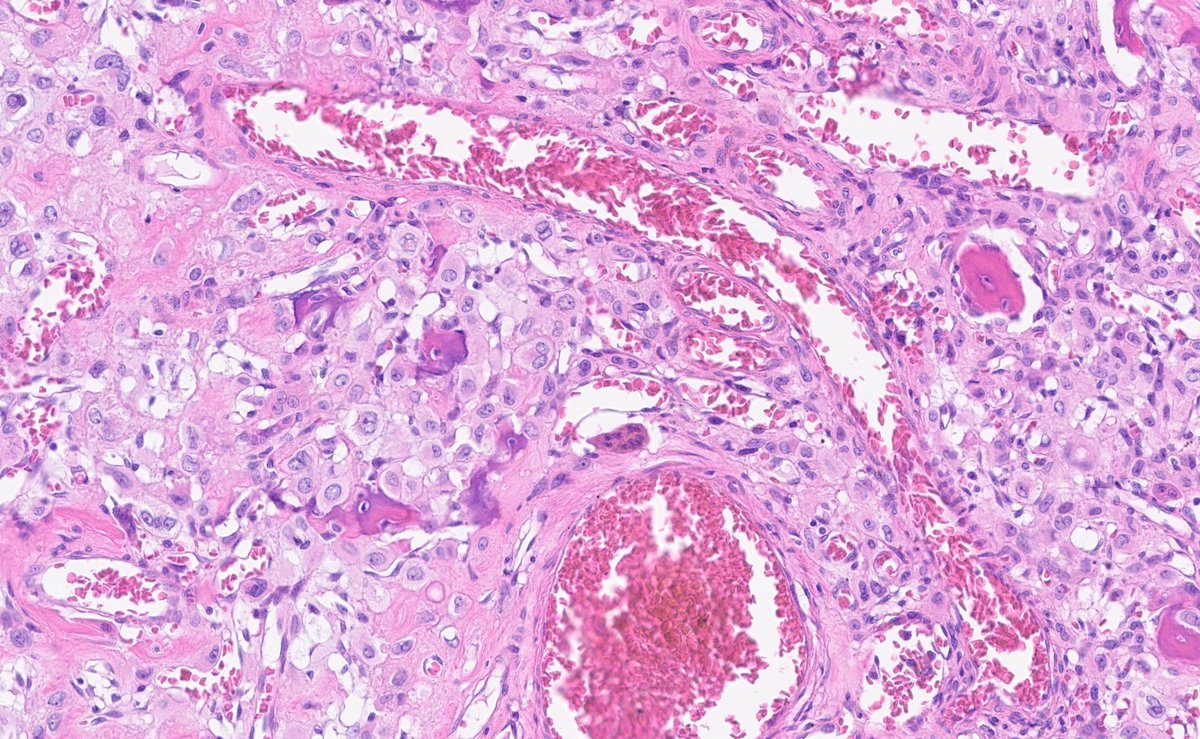
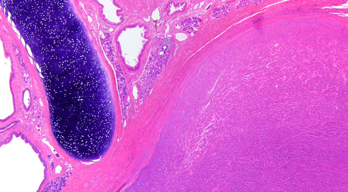
Patient presented with a cough and a 2cm endobronchial mass- very rare tumor in this location- very striking histology #pathtwitter #pulmpath #surgpath
10
30
118
@Nooshin_Dashti
Nooshin Dashti MD
4 months
Beautiful case of Clear cell chondrosarcoma. Note the round to polygonal cells with abundant eosinophilic to clear cytoplasm, and trabeculae of woven bone. #ISBSTP #BST
4
19
43
@JHUPath
Johns Hopkins Pathology
4 months
Ossifying Spindled and Epithelioid Tumor: A Novel Soft Tissue Tumor | @ModernPathology @JMcMahonG @jonathandudley @LisaRooperMD @PeterArgani https://t.co/Fy1PHmMu83
1
12
34
@MdSuster
DavidSusterMD
4 months
Digital slides of every case can be viewed for free as well courtesy of Biopticka Laboratory! (click continue as guest) https://t.co/h64mSGhUtF
1
9
17
@MdSuster
DavidSusterMD
4 months
We recently held the 13th Arkadi M. Ryvlin International Surg Path Symposium in Pilsen, Czech Republic. The *ENTIRE* 3 day course is now available for FREE. World experts present various surgical pathology topics in an "unknowns" format https://t.co/mkti1xBAL0 #PathTwitter
Tweet card summary image
youtube.com
13th Arkadi M. Rywlin International Pathology Slide Symposium in Anatomic Pathology Bioptickรก laboratoล™, Pilsen, Czech Republic June 16 - 18, 2025
8
27
68
@StephanieGross_
Stephanie Gross
4 months
@JHUPath
Johns Hopkins Pathology
4 months
Ossifying Spindled and Epithelioid Tumor: A Novel Soft Tissue Tumor | @ModernPathology @JMcMahonG @jonathandudley @LisaRooperMD @PeterArgani https://t.co/Fy1PHmMu83
0
3
6
@JMcMahonG
John Gross, MD
4 months
This was a fun project - OSET is a novel soft tissue tumor we discovered recently via careful raddiolgy, histologic and IHC correlation - only much later did we discover its molecular signature - most harbor recurrent SRSF7::NFATC3 fusions and OSET has a unique epigenetic
@JHUPath
Johns Hopkins Pathology
4 months
Ossifying Spindled and Epithelioid Tumor: A Novel Soft Tissue Tumor | @ModernPathology @JMcMahonG @jonathandudley @LisaRooperMD @PeterArgani https://t.co/Fy1PHmMu83
0
16
47
@MdSuster
DavidSusterMD
5 months
Large Cell Neuroendocrine Carcinoma of the Lung: In Search for a Better Definition https://t.co/T8Wg5suTCI #surgpath #pathtwitter #pulmpath
4
23
86
@MdSuster
DavidSusterMD
5 months
Malignant Phyllodes Tumor of the Breast With Multiple Cutaneous Metastasis Resembling Pleomorphic Rhabdomyosarcoma https://t.co/vEtLnT514I
0
19
66