cbsirini Profile Banner
carolinebsirini, MD Profile
carolinebsirini, MD

@cbsirini

Followers
902
Following
974
Media
38
Statuses
405

Cytopathology fellow @Emorypathology/ former GI path fellow and resident at @pathology_URMC

Joined November 2017
Don't wanna be here? Send us removal request.
@cbsirini
carolinebsirini, MD
5 years
My beautiful CNSET case!
@LiverPath_HPHS
Hans Popper Hepatopathology Society
6 years
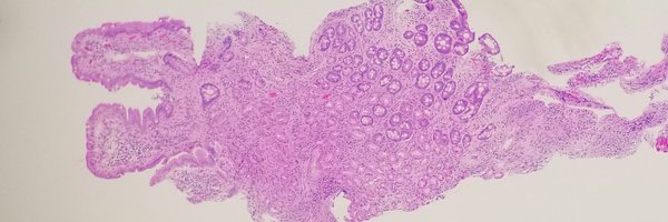
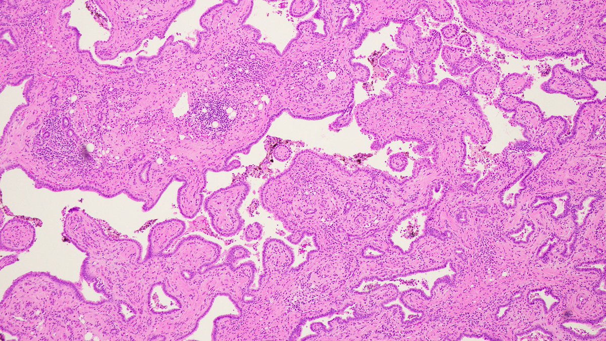
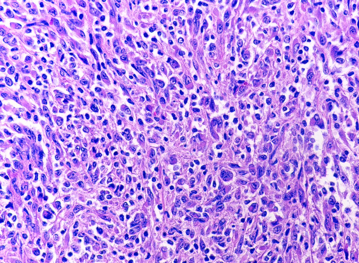
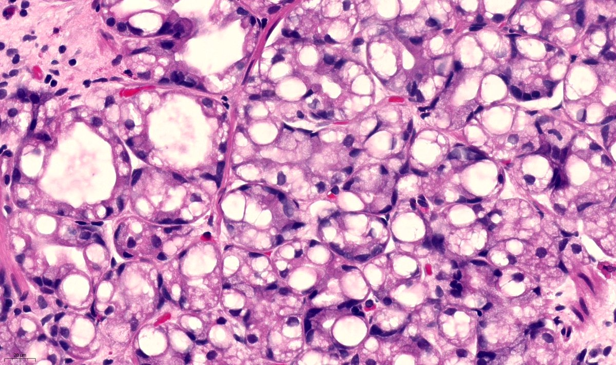
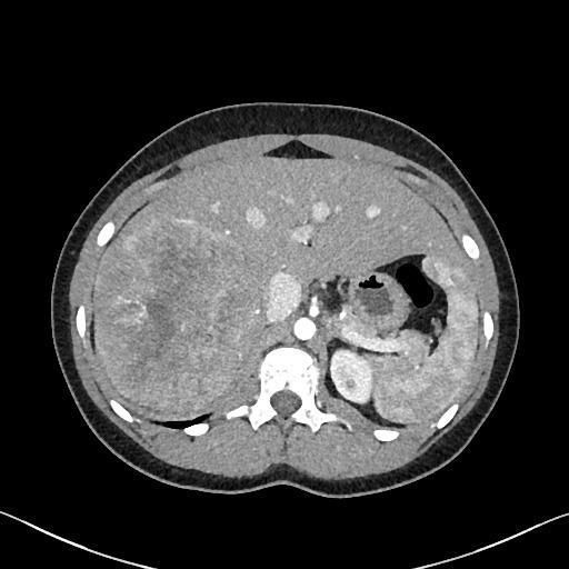
15 yo f presented to ED w/acute onset of RLQ abd pain. CT scan revealed an incidental 14 cm heterogenous mass in the right lobe of the liver. Case by Caroline Bsirini MD, Karen Vanderbilt BS, Lee Ann Hellman PA (ASCP), Michael G. Drage MD, PhD, #Liverpath https://t.co/NSd6y4drwk
2
8
17
@Vik_deshpandeMD
Vikram Deshpande
3 years
Basic medical liver pathology! wanna explore the histological features of chronic cholestasis? Look no further - 3 minutes and 30 seconds. #GIpath
3
61
135
@drtimbracey
Tim Bracey
3 years
PPI-induced clear cell change in gastric parietal cells. Note sparing of the foveolar epithelium. Previously described in detail by @RunjanChetty and colleagues. Don’t mistake for signet ring cells!#GIpath @DraEosina @ariella8 @kriyer68 @SingJamieD @Pathmath1 @jansen_marnix
12
128
275
@Greg_Charville
Greg Charville
3 years
Inflammatory rhabdomyoblastic tumor, initially thought to be a smooth muscle neoplasm in part because myogenin expression is limited - PAX7 is typically diffuse #BSTPath
4
64
162
@Vik_deshpandeMD
Vikram Deshpande
4 years
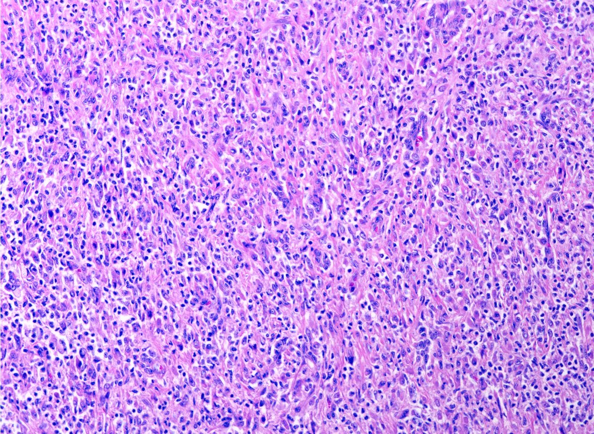
Liver lesion. Adult. Diagnosis anyone? #GIpath @MGHPathology
11
62
140
@EletrebiMohamed
Mohamed Eletrebi
4 years
A stomach resection.. what do you think? 😃 #PathTwitter
24
54
175
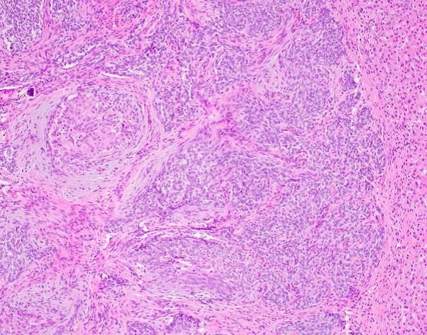
@kkuanMD
Kevin Kuan
4 years
9
67
134
@BinXu16
Bin Xu
4 years
An interesting #ENTpath #oralpath case. a 1 cm lesion at the Stensens duct.
10
46
120
@EmoryPathology
Emory University Department of Pathology
4 years
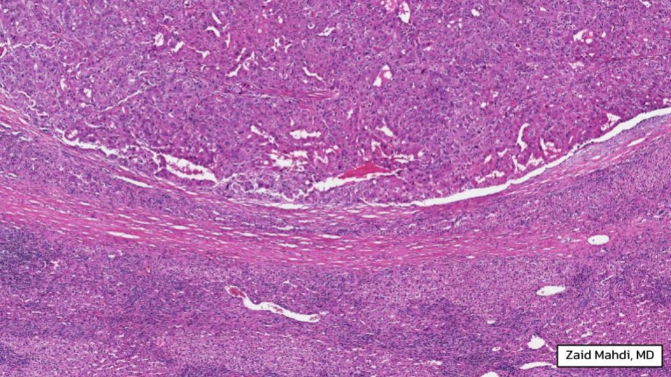
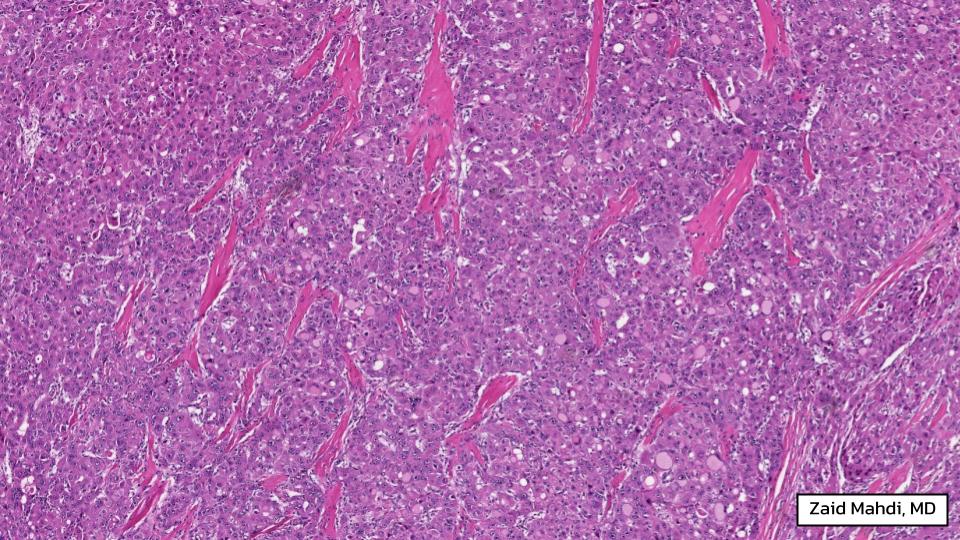
🔬EMORY CASE OF THE WEEK #53: 23F w/ no significant medical history with 12 cm mass in left lobe of liver. Answer the question below! Contributor: Zaid Mahdi, MD (@zaid_mahdi) & Melanie Bourgeau, MD (@MELanocyteMD) #gipath #liverpath #pathresidents #Emorypathres #EmoryCoTW
7
25
72
@VandaTorousMD
Vanda Torous MD
4 years
Side by side comparison of what I would consider "typical parakeratosis" versus "atypical parakeratosis" 🔅In typical, you have nice small bland pyknotic nuclei 🔅In atypical, the nuclei are relatively enlarged with irregular contours #CytoPath #PathTwitter
9
76
199
@smlungpathguy
Sanjay Mukhopadhyay
5 years
A tutorial on eosinophils and a tutorial on adenosarcoma. Both excellent but which one did you learn more from? Please vote. 👇🏾🙏🏾
@drchristineyu
Christine Yu, MD
5 years
Seed 3
0
4
8
@MELanocyteMD
Melanie Bourgeau, MD
5 years
#Pathologists ♥️ eosinophils. We love scanning for them in a skin rash, admiring them when they infiltrate a tumor, & even counting them in esophageal biopsy. 🔬 But what do you know about eosinophils in the blood? 🤔 1/ #pathbracket #hemepath #pathtweetorial @EmoryPathology
4
71
141
@sza_jhcyto
Syed Z. Ali
5 years
"Standing Tall" - The aggressive Tall Cell Variant (TCV) of Papillary Thyroid CA. I don't routinely give "variant dx" in my practice. However, in cases, I may put a note "Focal features suggest a TCV", which maybe helpful to the surgeon to decide on the extent of nodal resection.
1
27
105
@roula_katerji
Roula Katerji
5 years
Look who’s visiting this appendix! Enterobius Vermicularis (pinworms), they belong to nematodes. Note the eggs, lateral ala and intestine! Diagnosis by identifying the eggs using cellulose tape slide test, morning collection is better @cbsirini @GIPathologyURMC #GIpath
0
9
28
@JBennMD
Jenny Bennett, MD
5 years
Challenging on frozen section, but still one of my favorites. 54 yo F with postmenopausal bleeding and ovarian mass. 1) Diagnosis? 2) Mutation? 3) What are the vacuoles?
9
56
116
@cjvand
Chris VandenBussche
5 years
Pleural fluid specimen from a patient with catamenial pneumothorax. #cytology #cytopath
9
48
105
@sza_jhcyto
Syed Z. Ali
5 years
I call this a “Slam Dunk Melanoma”, no IHCs needed. Pigment and macronucleoli are there but I consider the cytoplasmic tails (arrow) as one of the most characteristic feature on Cyto.
10
62
208
@DrDimitrios
Dimitrios Tsatiris MD
5 years
Medicine has limitations We don’t have all the answers Just because we cannot see or diagnose one’s health concern, this does NOT mean that they are not suffering Lets not dismiss a human being’s concerns This only amplifies their suffering #mondaythoughts #MedTwitter
1
8
54
@cjvand
Chris VandenBussche
5 years
Voided urine specimen. High grade urothelial carcinoma cell with an interesting morphology. #cytology #cytopath #WALLE
2
37
136
@susanshyu
Susan Shyu, MD
5 years
A bit degenerated, but nice case of HGUC with 'umbrella cell-like' morphology. Tumor cells have more abundant cytoplasm, but nuclei are obviously malignant with enlargement (over 10x the size of a RBC), hyperchromasia, and extremely irregular contours. #cytology #cytopath
4
42
107
@sza_jhcyto
Syed Z. Ali
5 years
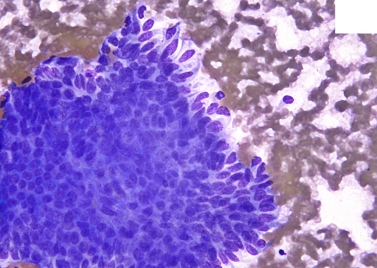
Pancreatic Cytopathology and Nature. Another gorgeous “SPN”.
5
42
146