Explore tweets tagged as #BSTpath
@KonstantinosLin
Konstantinos LinosMD
10 days
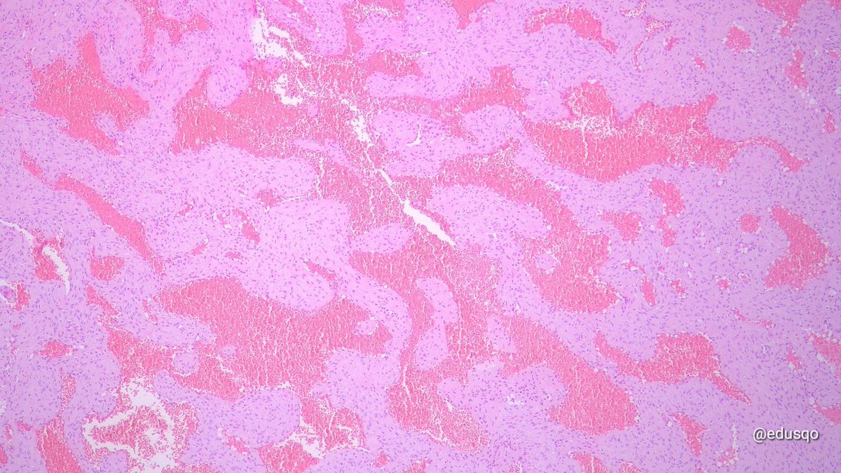
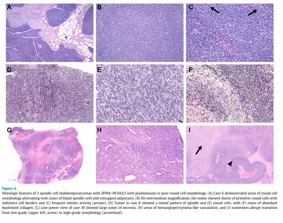
I am sure this rarity will find its own home in the not too distant future! The article here: https://t.co/j3i4SdmCTn #BSTpath #oncology #pathology
5
10
30
@JLHornick
Jason L. Hornick, M.D., Ph.D.
2 months
Congratulations Rex Hung! Wonderful collection of reviews. #PathTwitter #bstpath #pathology #surgpath @clinicsinpath @MGBpathology
3
17
92
@ziad_zaatari
Ziad El-Zaatari
8 months
🔬 Extraskeletal Myxoid Chondrosarcoma ~ #BSTpath #Pathology
0
21
96
@SumantaDas_7
Sumanta Das
18 days
4
28
71
@edusqo
Eduardo Alcaraz, MD PhD
5 months
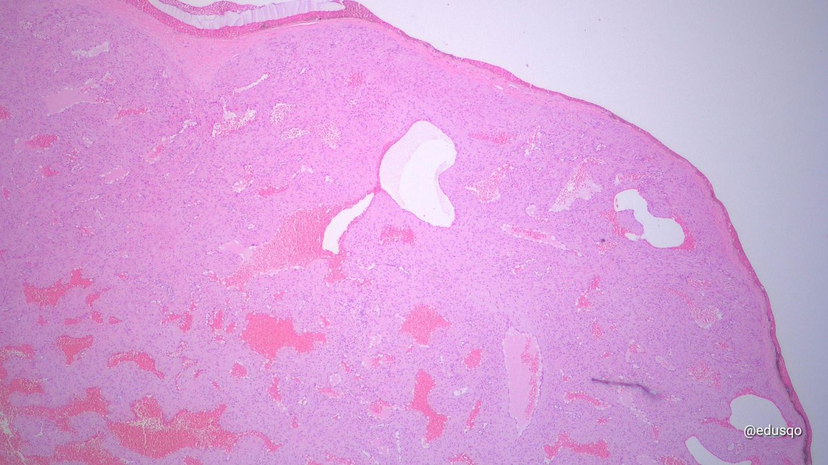
Angioleiomyoma, cavernous type: ▫️Benign, painful (50%), solitary ▫️Well circumscribed/encapsulated ▫️Dilated vascular channels whose walls are difficult to distinguish from the intervascular smooth muscle ▫️"Staghorn" vessels ▫️DDx myopericytoma, cavernous hemangioma... #BSTPath
1
24
76
@JMGardnerMD
Jerad Gardner, MD
2 days
Can you make the diagnosis from one pic, or is it #TooCloseToDiagnose? Answer ✅ https://t.co/qQmDxkm1PF More pics: https://t.co/jmIg2mLHox WSI digital slide 🔬 https://t.co/UAgSoTBEoT #BSTpath #pathologists #pathology #pathTwitter
0
5
11
@JLHornick
Jason L. Hornick, M.D., Ph.D.
1 year
Remarkable story! A 40-year history of cytogenetics and molecular genetics in the pathogenesis and diagnosis of soft tissue tumors. Professor Paola Dal Cin. Diagnostic Histopathology of Bone and Soft Tissue Tumors. Padua, Italy #bstpath #surgpath @BWHPath
2
12
58
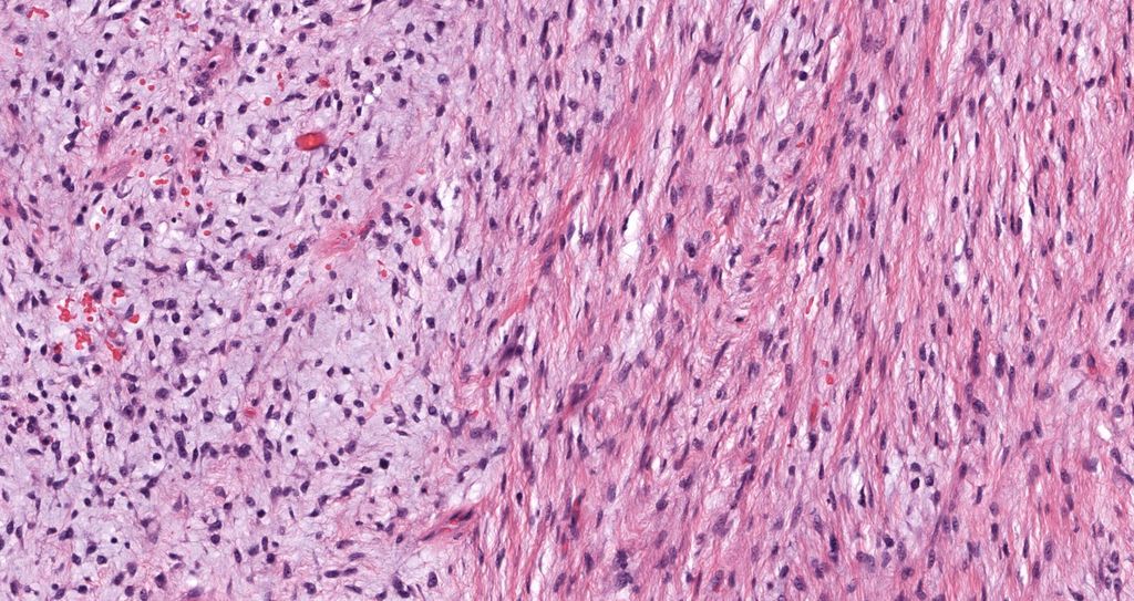
@MdSuster
DavidSusterMD
11 months
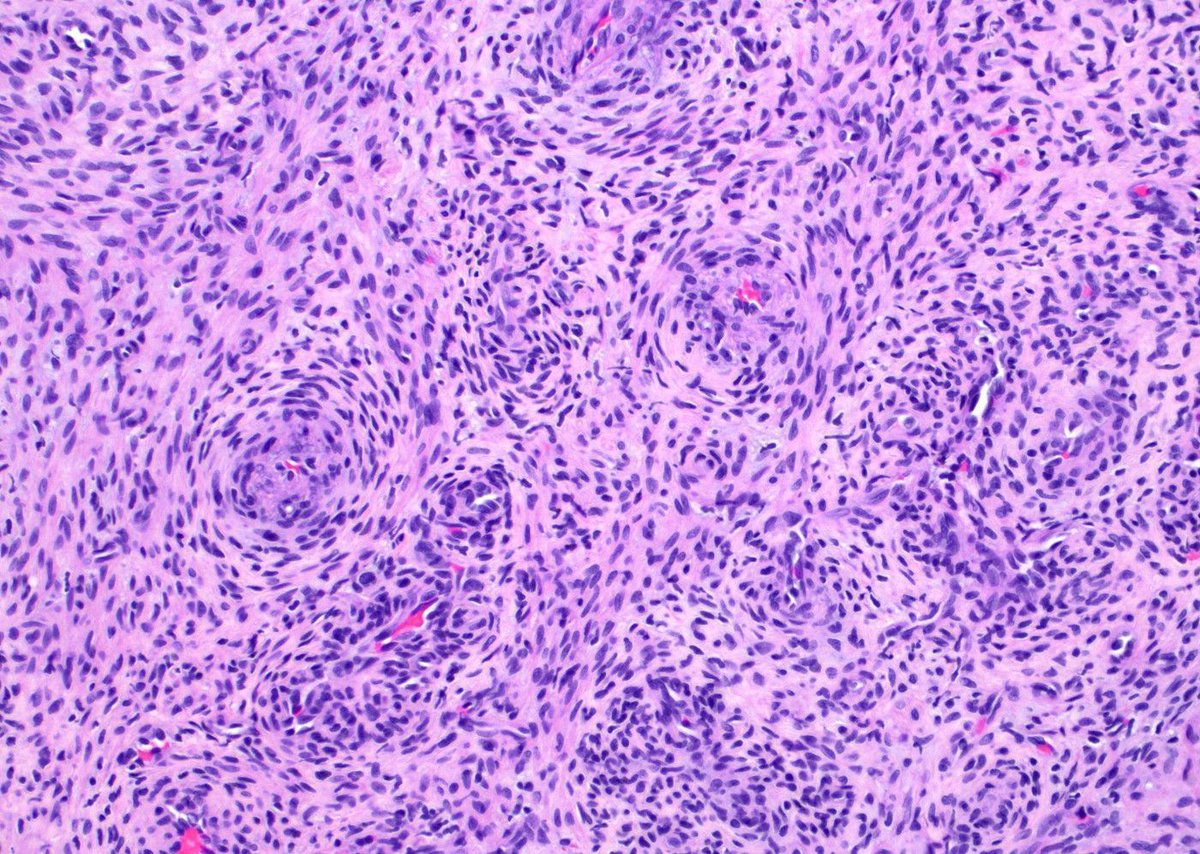
Classic morphology for sclerosing epithelioid fibrosarcoma (SEF): #pathtwitter #surgpath #BSTpath
0
32
110
@JMGardnerMD
Jerad Gardner, MD
21 hours
8yo M SubQ nodule arm. Can you diagnose on one pic, or #TooLOWToDiagnose? Answer ✅ https://t.co/xSRzhSnpHl WSI digital slide 🔬 https://t.co/yDCGVY2u6e More info https://t.co/KkaKkgcMVV #pathology #pathTwitter #dermpath #dermatology #BSTpath #dermtwitter
0
1
5
@JMGardnerMD
Jerad Gardner, MD
16 hours
Deep thigh mass. Can you make diagnosis from one pic, or #TooCloseToDiagnose? Answer ✅ https://t.co/IfEvVaUEsD If you could only get ONE immunostain, what would it be?👉 https://t.co/io7WsRFKdA #pathology #pathologists #pathTwitter #dermpath #dermatology #dermtwitter #BSTpath
0
0
4
@TristanRutland7
Tristan Rutland MBBS FRCPA IFCAP
10 months
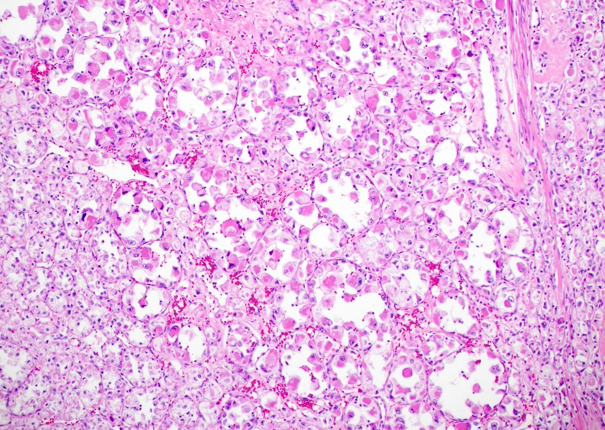
What is this crystal called? Which tumour is it associated with? #pathtwitter #pathresidents #dermpath #BSTpath #GIpath #ENTpath
6
41
136
@mreyesm
Miguel Reyes-Múgica
12 days
Dr. @JLHornick delivering a masterful conference on #IHC on #sarcomas incorporating classic and contemporary advances. #Pathology #BSTPath #PediPath
0
5
21
@byrk_bsr
Busra YAPRAK BAYRAK
8 days
Our work with @dokemal on renal synovial sarcomas, presented at the 34th National Pathology Congress — with remarkable mentors Dr. Abbas Agaimy, Dr. @NielsenPetur and Dr. Mahmut Akgul #gupath #BSTpath @GU_Path_Society @IntSocUropath
2
4
28
@JMGardnerMD
Jerad Gardner, MD
17 hours
45 yo man. Lower leg subcutaneous nodule. Clinical: "rule out cyst" (nope!). Answer ✅ https://t.co/Xg9PjckvP3 More pics: https://t.co/t4Nl34fY8r #BSTpath #pathology #pathologists #pathTwitter #dermpath #dermatology #dermatologia #dermtwitter
0
0
5
@hematogones
Chandra Krishnan, MD
2 years
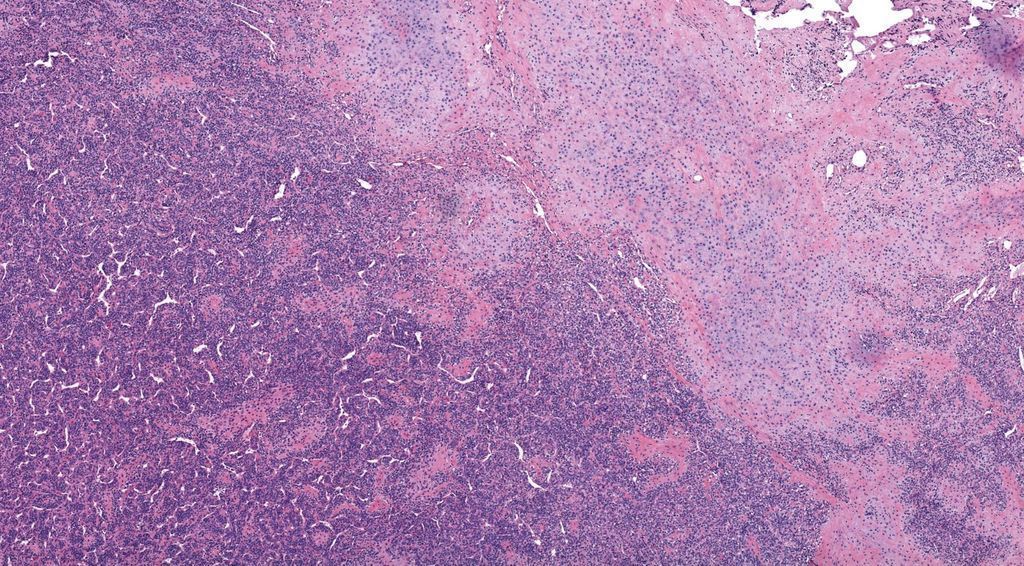
Orbital mass, young child. Bland spindle cells with distinctive collagen islands. Ideas? @pathobot #bstpath #pedipath
13
81
185
@JMGardnerMD
Jerad Gardner, MD
1 day
30 yo F with intramuscular thigh mass. No connection to bone on imaging. Answer ✅ https://t.co/FsA8MF9rxw WSI digital slide: https://t.co/EAgcL1SP5q. #BSTpath #pathologists #pathology #pathTwitter
1
3
9
@KonstantinosLin
Konstantinos LinosMD
2 months
Hot off the press! 📷 Our new article on PRRX1-rearranged fibroblastic tumors. https://t.co/3ZsH7pfAEC #pathology #BSTPath #oncology
2
17
42
@Janiranavarro
Janira Navarro
2 months
Top 4 mistakes in frozen sections for pediatric BSTpath 1. Bone marrow margin for Ewing Sarcoma: Normal erythroid precursors (see pic below)and Ewing sarcoma cells overlap cytomorphology 2. Soft tissue margin for sinonasal angiofibroma: Normal sinonasal mucosa can have
0
20
55
@TristanRutland7
Tristan Rutland MBBS FRCPA IFCAP
10 months
4
51
158