Charles Leduc, MD Profile
Charles Leduc, MD

@thoracicpath

Followers
836
Following
118
Media
50
Statuses
317

Thoracic pathologist, University of Montreal Health Center

Joined October 2019
Don't wanna be here? Send us removal request.
@angelpanizo1
Angel Panizo MD, PhD 🇪🇸 🔬
4 years
@ariella8 @nucleololailo @RunjanChetty @DraEosina @Mvgs1706 @drtimbracey @SingJamieD @GIJamesMD @Vik_deshpandeMD @CArnold_GI @DrMarkOng @vi_monappa The history of Congo red‐stained amyloid is an example of how an erroneous belief can become widely established even when it is contradicted by simple experience: "Congo red‐stained amyloid just shows “apple‐green birefringence" (PMID: 31515863) https://t.co/HdxXJ8QTPC
4
6
14
@thoracicpath
Charles Leduc, MD
4 years
Hi all! So we all know about constrictive bronchiolitis, but can it happen in large airways? Below is post-SBRT obliterative bronchitis of LLL with secondary necrotizing granulomatous consolidation - awaiting stains but betting on NTM. A sort of (non) middle lobe syndrome!
0
4
16
@yro854
Yale Rosen
4 years
Do you recognize these seed-derived storage cells (images courtesy of @oreoimc)? See the latest publication on these cells and the lesions they produce co-authored by me, @Histopatolomon. and @navale_pooja at https://t.co/0ZsIaDfI5F. A Twitter inspired collaboration.
8
29
84
@thoracicpath
Charles Leduc, MD
4 years
Bag of worms. Hydrophilic polymer embolisation with secondary thrombosis. This is a thrombectomy specimen from the right femoral artery in a patient undergoing peripheral vascular surgery. The guidewires are coated in this material that can occasionally embolize. Yikes!
1
14
34
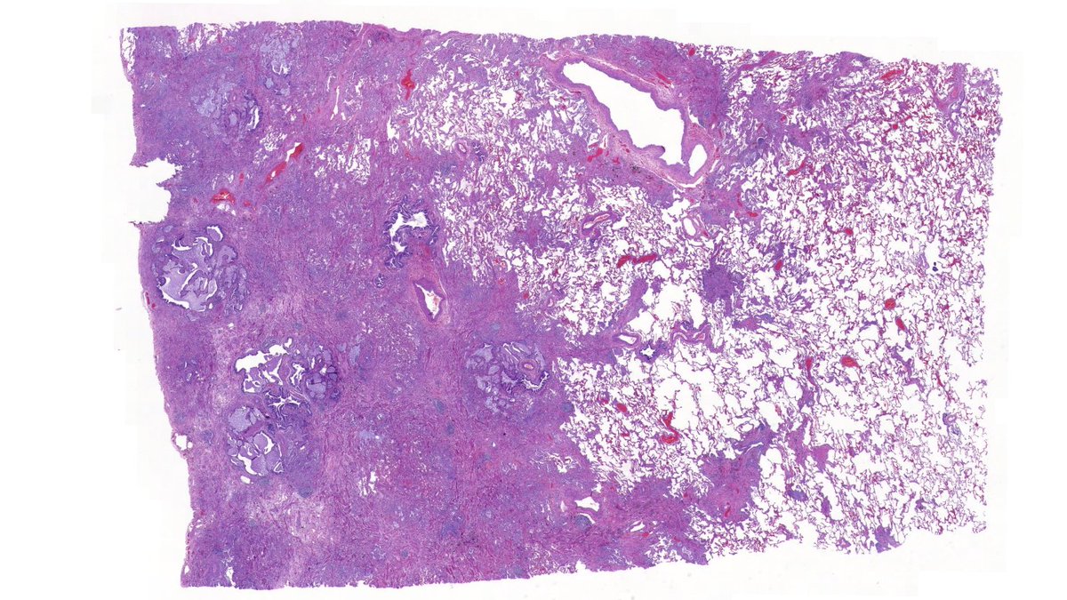
@thoracicpath
Charles Leduc, MD
4 years
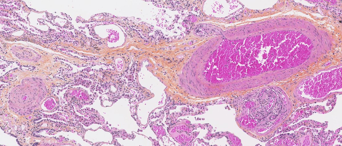
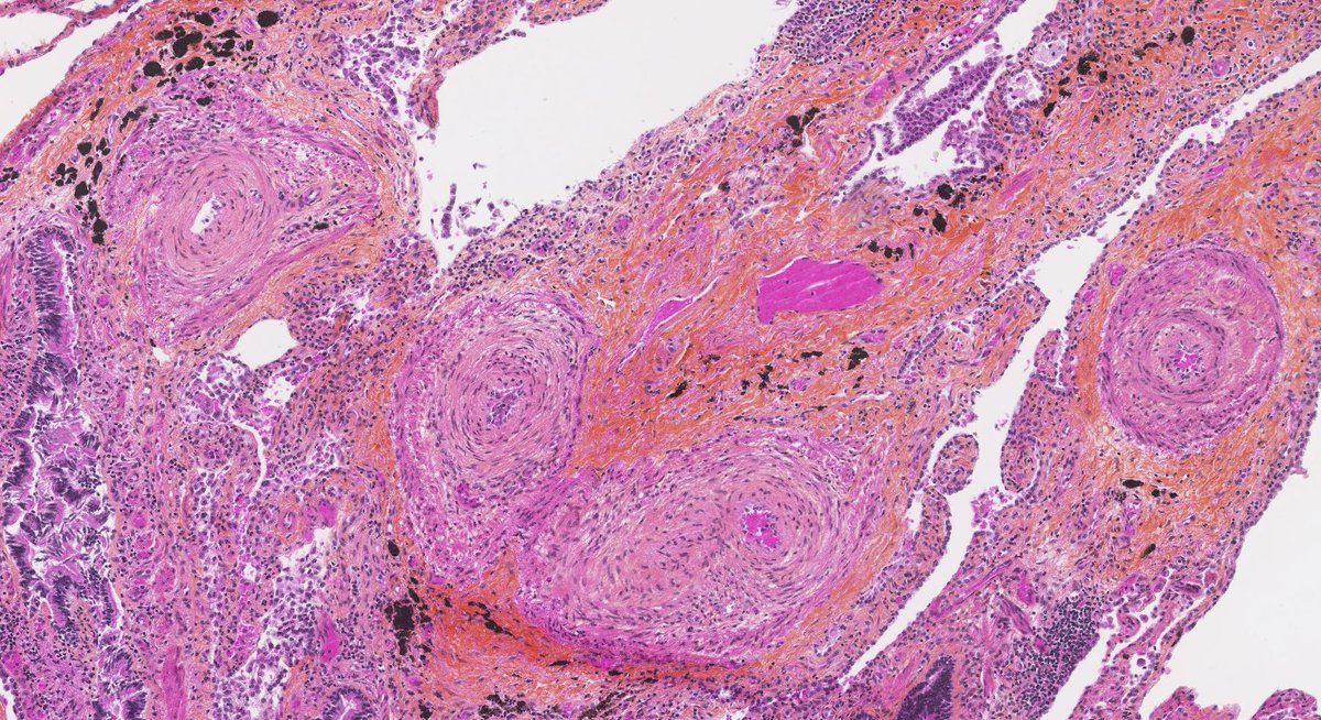
Thanks to all who engaged! Although uncommon, chronic LCH can lead to severe secondary pulmonary HTN which is what we see here. A spectrum of arterial lesions, including plexiform, dilatation, and medial hypertrophy. Wishing the patient a new lease on life with new lungs!
0
1
3
@thoracicpath
Charles Leduc, MD
4 years
!
3
8
58
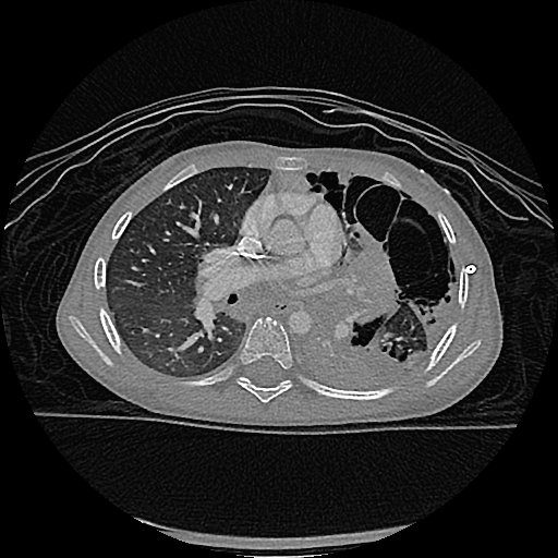
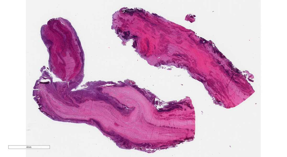
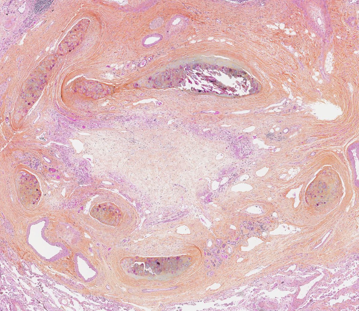
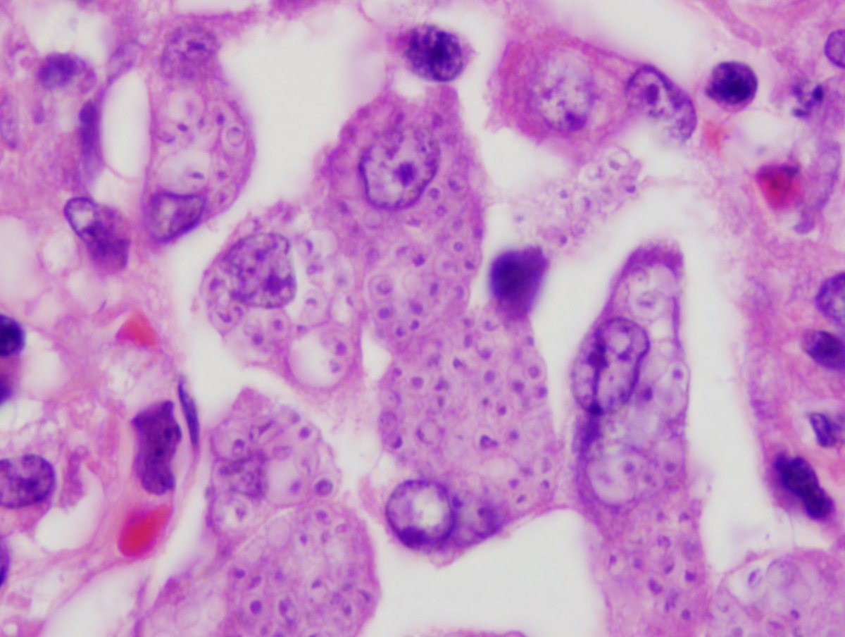
@thoracicpath
Charles Leduc, MD
4 years
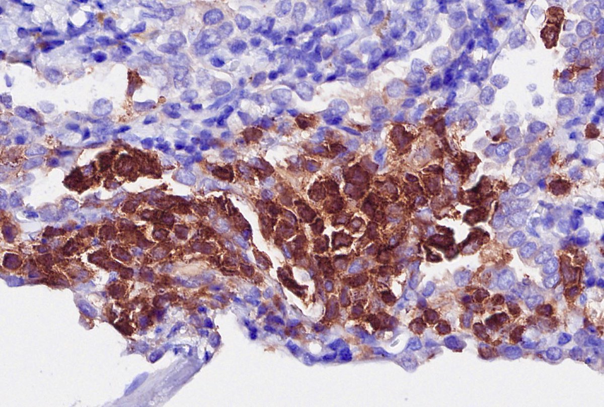
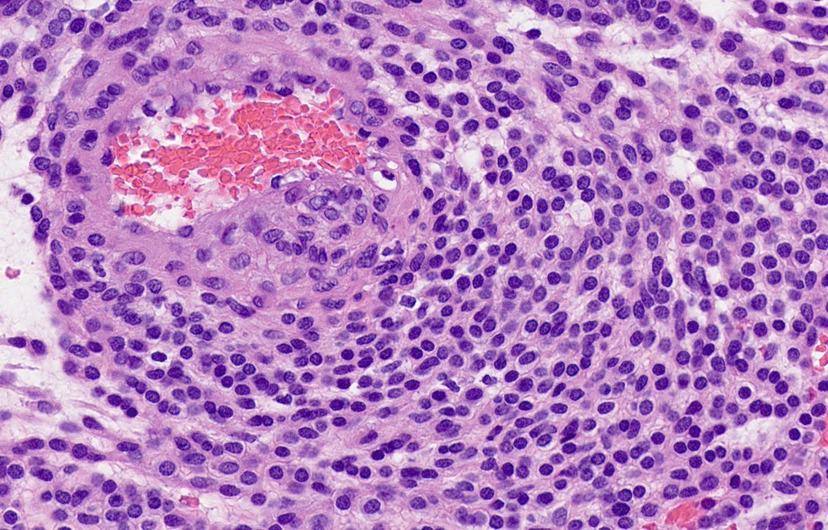
Explants from woman in her mid 40s. Clinical history on req: pulmonary hypertension. IHC is CD1a. Unifying diagnosis?
6
18
50
@ariella8
Celina Stayerman MD
5 years
#Pulmpath #Thoracicpath #Pathbugs Excited to share unusual case ,Male 60s ,3.8 cm lung mass ,Bx sent as suspected malignancy ,look at the first set ,try to make the Dx ,then go to second set
18
81
155
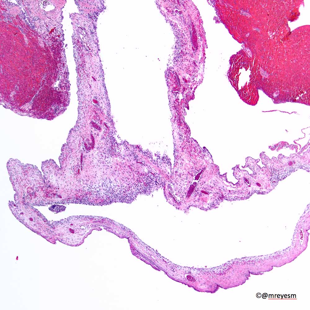
@mreyesm
Miguel Reyes-Múgica
4 years
We have lost a giant of #Pathology and #LungPath #PulmonaryPath. Dr. Sam Yousem, an admired colleague and friend died yesterday. He will be missed and remembered.
21
16
76
@Al_Jauregui_HVH
Albert Jauregui
4 years
Barcelona hospital performs first successful transplant on patient with Covid-ravaged lungs in Spain https://t.co/qrMVSui3fT vía @catalannews @vallhebron @ThoracicSurgHVH
catalannews.com
51-year-old with no underlying conditions had been on life support for four months
0
7
44
@VHNguyenMD
Van-Hung Nguyen MD 🇺🇦🌻
4 years
- Lung development stage? Canalicular Lung (16-25 WGA) - Is it perinatal pneumonia? Aspirated amniotic exudate - What are placental findings? Acute Necrotizing Chorioamnionitis with Funisitis #placenta #perinatal (😬 I forgot @basophil_brett) 🥇@leon_metlay 🥈@grenierkarlMD
0
1
3
@VHNguyenMD
Van-Hung Nguyen MD 🇺🇦🌻
4 years
For #PathResident Lung section 20WGA - premature labor, APGAR 1-1-1, no resuscitation: - Lung development stage? - Is it perinatal pneumonia? - What are placental findings? #PediPath @grenierkarlMD
2
25
50
@SansanoValero
Irene Sansano, MD Phd
5 years
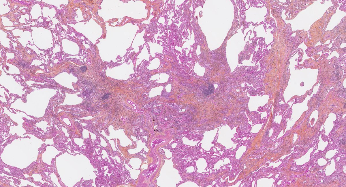
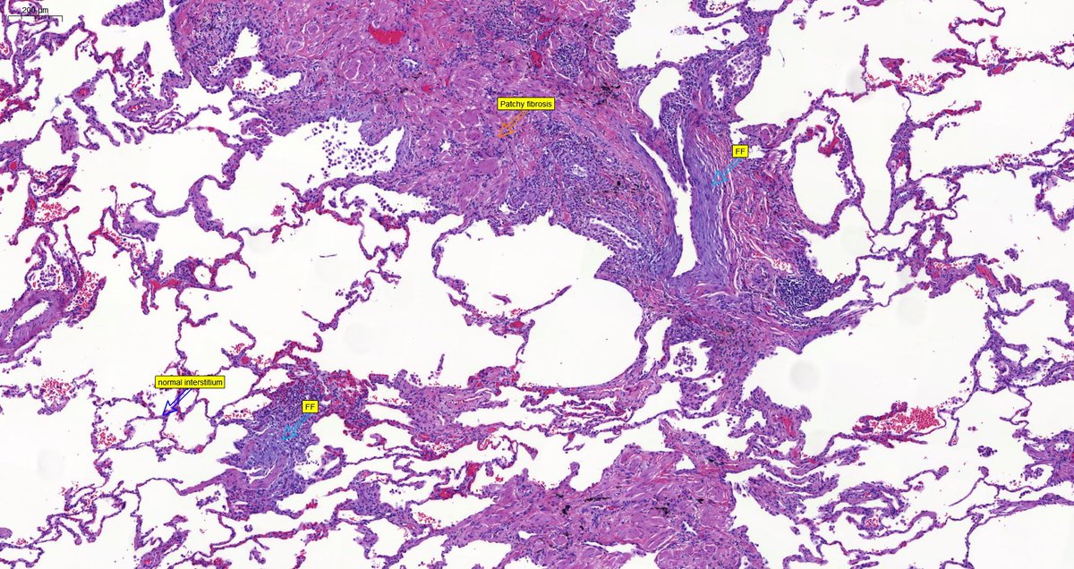
Usual Interstitial Pneumonia shows peripheral, lower predominant fibrosis in the #grosspath by @_Romo_Navarro Microscopically you can appreciate patchy fibrosis, fibroblastic foci & honeycomb #pulmpath #explantsRawesome #transplantpath #ILD
4
25
71
@SansanoValero
Irene Sansano, MD Phd
5 years
True Thymic Hyperplasia in a 30 yo. Enlargement of normal thymus. Thymic cortices & medullae are well defined. Interstitial connective tissue is delicate with fat cells #pulmpath
6
39
88
@smlungpathguy
Sanjay Mukhopadhyay
5 years
39
137
306
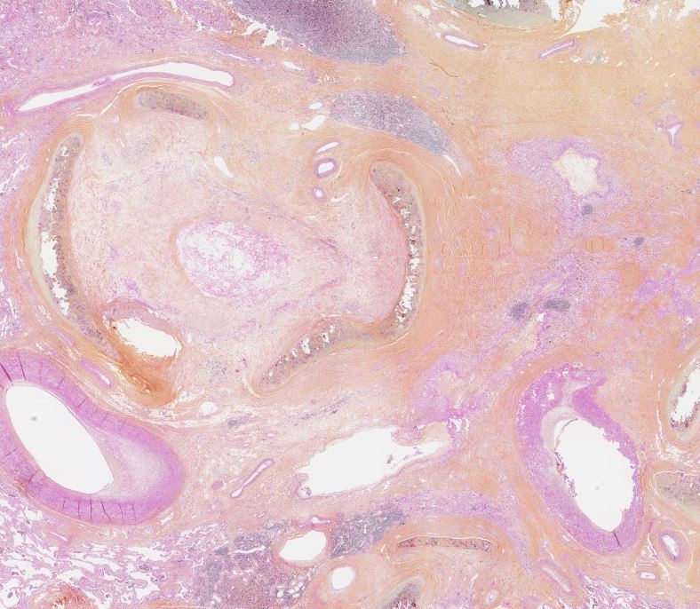
@thoracicpath
Charles Leduc, MD
5 years
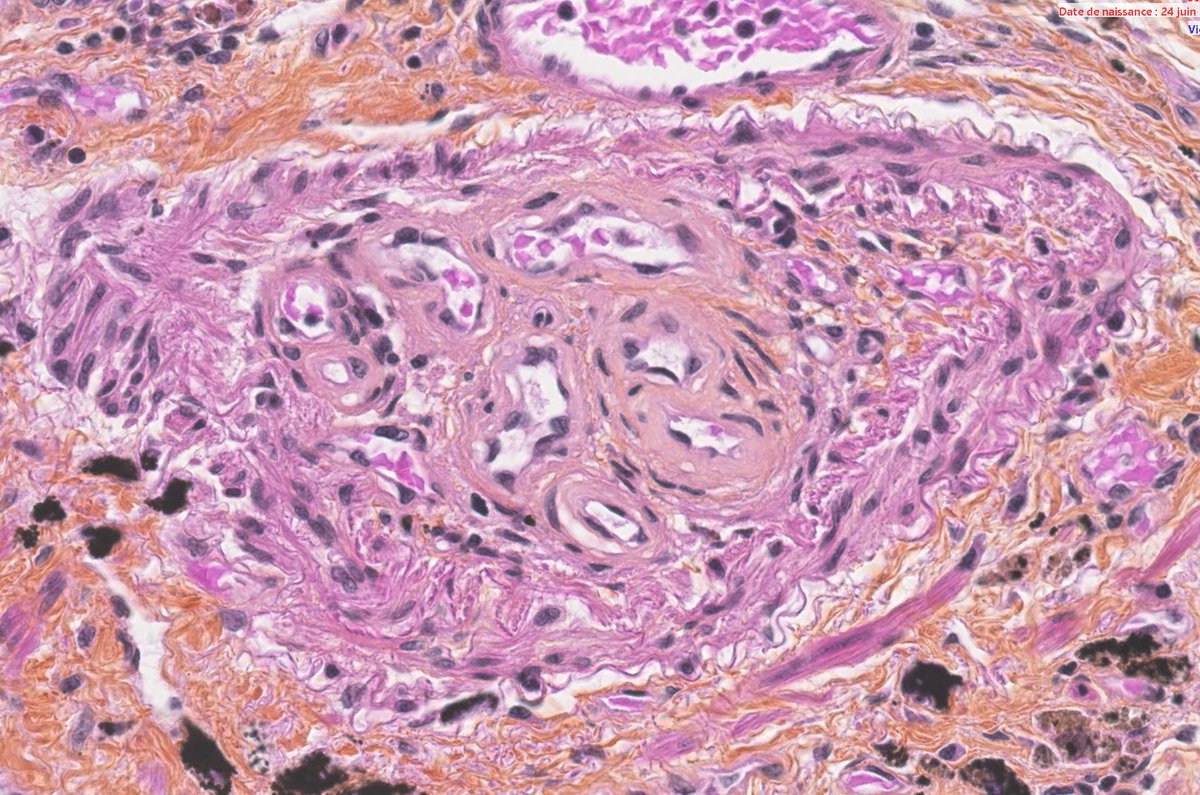
A huge thank you to all who engaged! As most of you surmised - this is a glomus tumor. As @RessChimes stated "round round, same same!" Those features + intimate relationship with vessel walls + smooth muscle markers = GT! Unusual in the trachea!
0
0
7
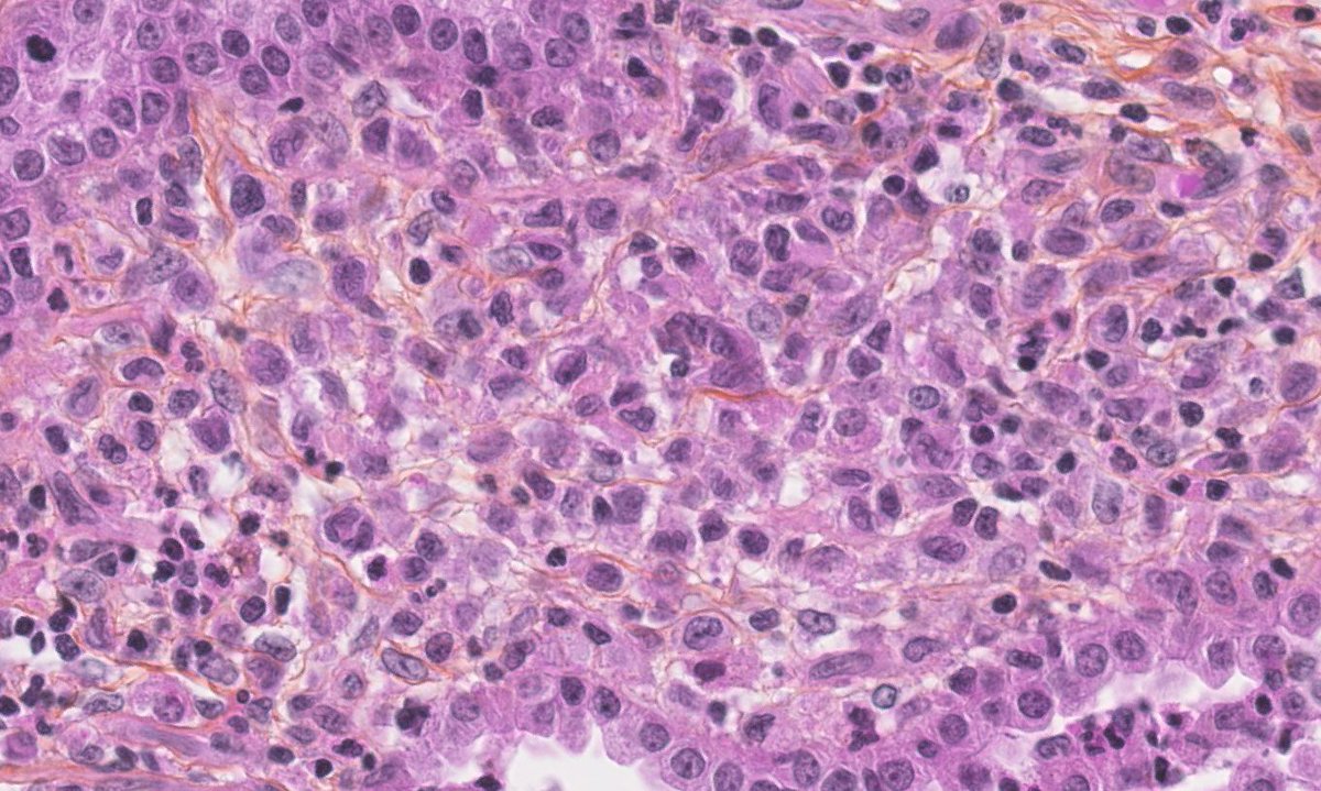
@thoracicpath
Charles Leduc, MD
5 years
The pictures in the previous tweet are most suggestive of :
1
0
5
@thoracicpath
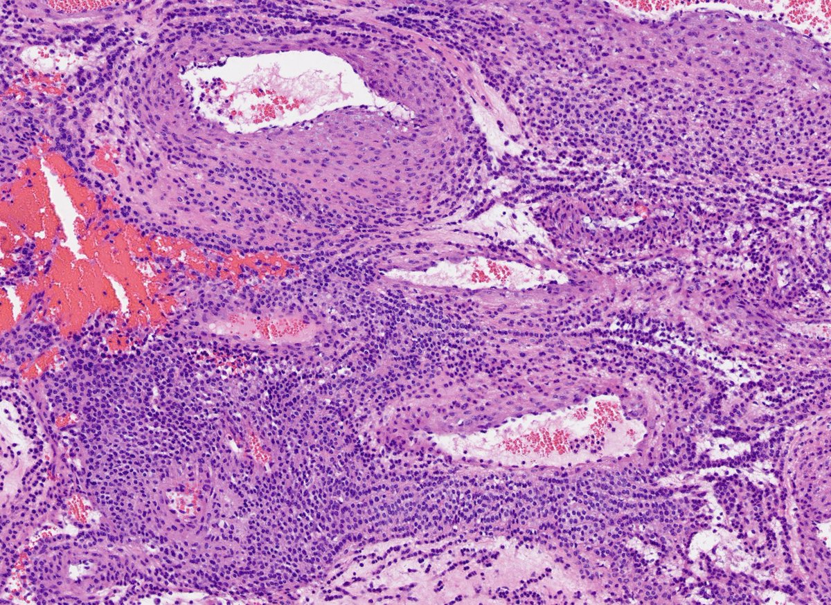
Charles Leduc, MD
5 years
Young woman, endo tracheal lesion. What's your vote?
8
25
70
@mreyesm
Miguel Reyes-Múgica
9 years
#PediPath #pulmpath 4 YO. Differential diagnosis? IHC you would suggest? #pathboards
4
40
36
@smlungpathguy
Sanjay Mukhopadhyay
5 years
This material was removed from a bronchus. Can you answer this in one word? This finding is nearly always seen in patients with ....? #pathology #pulmpath
26
45
137