Runjan Chetty Profile
Runjan Chetty

@RunjanChetty

Followers
4K
Following
5K
Media
458
Statuses
14K

Anatomic Pathologist, Emeritus Professor, Alumnus St John’s College, Oxford, Chief Medical Officer @Deciphex @Diagnexia. The Arsenal.

Reading, United Kingdom
Joined January 2011
Don't wanna be here? Send us removal request.
@RunjanChetty
Runjan Chetty
4 days
HHV8
1
0
5
@RunjanChetty
Runjan Chetty
4 days
6
17
48
@diagnexia
Diagnexia
7 days
Tickets are now live for the 2026 Histopathology Symposium! Join leading experts, researchers, and pathologists from August 20-21 2026 at the Queens College,Oxford. Use code EARLYBIRD to secure £40 off all tickets. https://t.co/Ob28mT0SNS #PathologyEducation #Diagnexia
0
1
3
@RunjanChetty
Runjan Chetty
7 days
Images 2/..
1
1
6
@RunjanChetty
Runjan Chetty
7 days
Adult with skin nodules. NOT a NF patient. Images 1/…
6
4
26
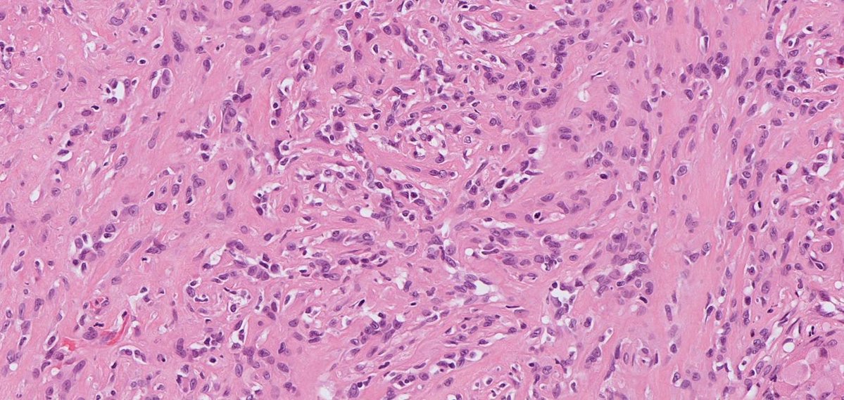
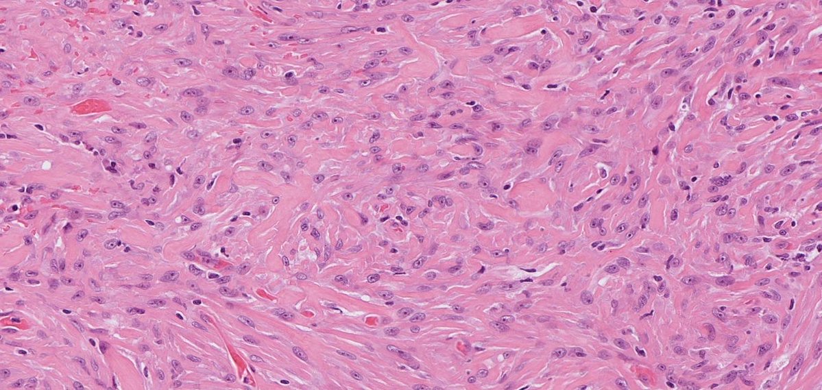
@RunjanChetty
Runjan Chetty
11 days
In addition to panCK positivity, the tumour was positive for CD31, CD34, ERG and FVIIIRag. So a primary angiosarcoma (epithelioid variety). Object of this case: don’t forget angiosarcoma when confronted by an epithelioid tumour and don’t be foxed by CK +vity
2
3
31
@RunjanChetty
Runjan Chetty
11 days
Additional images
1
1
15
@RunjanChetty
Runjan Chetty
11 days
0
0
1
@RunjanChetty
Runjan Chetty
11 days
PS: it’s not melanoma!
1
0
2
@RunjanChetty
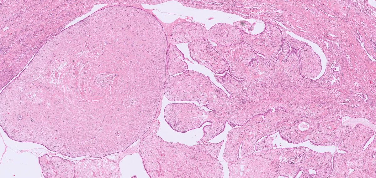
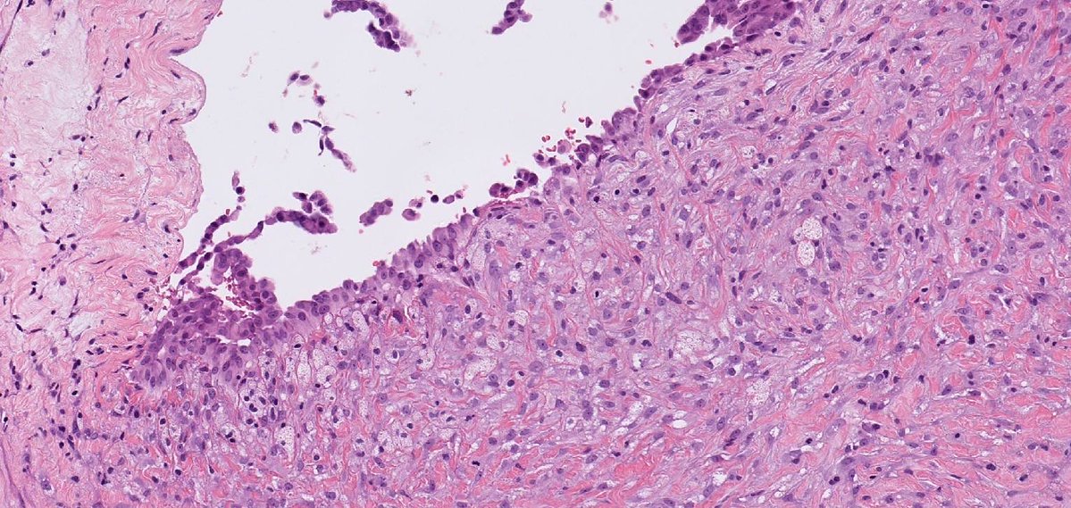
Runjan Chetty
11 days
Primary thyroid tumour. Unusual tumour for this location!
17
26
84
@diagnexia
Diagnexia
12 days
We’re pleased to announce our CEO, @OSheaDonal, will be presenting at #DPAICongress next week in London. His session ‘Faster, Better Diagnostics: Practical AI Applications in Pathology Services’ will explore real-world AI improving efficiency & turnaround times in pathology.
0
1
2
@diagnexia
Diagnexia
12 days
🚨 Next #CooperConference – December 17, 1 PM EST! Join Dr. Kumarasen Cooper for an interactive session with digital slides on soft tissue pathology & more. A must-attend for pathologists! Register here: https://t.co/TdOuBLbl0U #Pathology #Diagnexia #KumCooper #PathologyWebinar
1
2
7
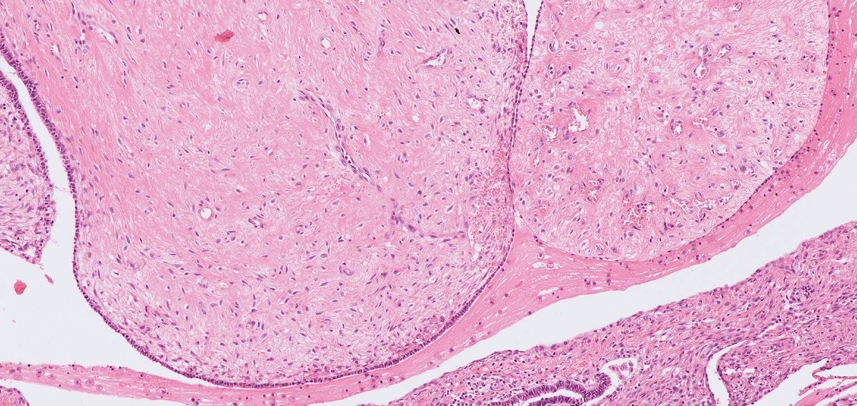
@RunjanChetty
Runjan Chetty
14 days
And here is the low power
0
0
4
@RunjanChetty
Runjan Chetty
14 days
This is a MALE patient with a solitary nodule on CXR
6
24
66
@gonzadetoro
Gonzalo De Toro
16 days
Appendiceal diverticula are rare, prone to perforation, and strongly linked to mucinous neoplasia. Always assess for mucin leakage or dysplasia. A small finding with major implications. #GIPath #PathTwitter #Pathology
2
11
36
@RunjanChetty
Runjan Chetty
18 days
Here is a nice reference https://t.co/cTjZJtInif
0
1
6
@gonzadetoro
Gonzalo De Toro
18 days
Today at 1 PM Chile time (GMT -3), i will be speaking about the path we have begun to follow in LATAM with computational pathology. (Talk in spanish). Thanks to @diagnexia for the invitation. Here’s the registration link to share it with your network: https://t.co/4SuBGuciHH
0
3
4
@RunjanChetty
Runjan Chetty
19 days
I am particularly interested in the potential role of bias when using AI diagnostic tools (computer aided diagnostics). I would be ever so grateful if pathologists could fill this out. Please pass onto colleagues https://t.co/DNYdiCP2ik
Tweet card summary image
docs.google.com
Dear colleagues, As you are all aware the real time implementation and use of AI diagnostic tools/aids is upon us. An issue that has regulatory and medicolegal implications is around diagnostic bias....
0
3
4
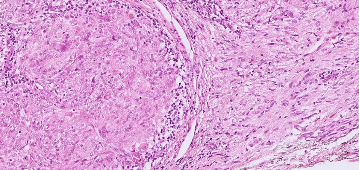
@RunjanChetty
Runjan Chetty
19 days
Patient with pneumothorax. @smlungpathguy will correct me, if I got this wrong 🫣
8
16
48