
Hansini Laharwani
@HansiniMD
Followers
3K
Following
25K
Media
105
Statuses
5K
๐ฌPath #Cellsatwork #WomenInMedicine Past fellow #GynPath & #breastpath @WUSTL RFEC @CAP (21-22) @CAP Council & EAC @USCAP Ambassador #AMA IMG committee
๐ฎ๐ณ ๐บ๐ธ
Joined December 2019
Overwhelmed with gratitude to receive the #CAP23 Resident of the Year award. This journey has been a team effort, and I'm thankful to my incredible mentors, colleagues, friends and family who've shaped my path #grateful
@Pathologists ๐๐ผ๐๐ผ๐
28
8
148
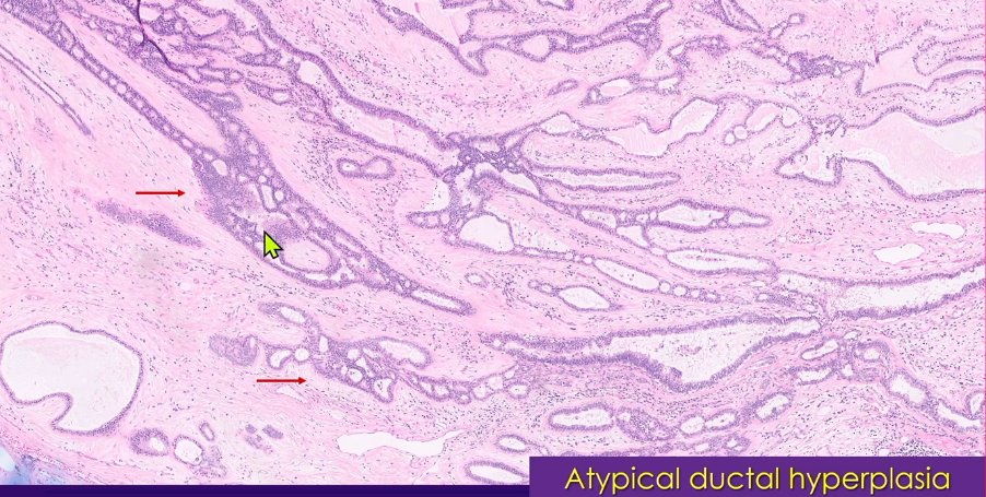
Less common features seen in fibroadenomas - Irregular borders/fat entrapment - Stromal multinucleated cells - Chondroid metaplasia - Pregnancy secretory changes - Columnar cell changes - Atypical ductal hyperplasia - Intraductal papilloma - Sclerosing adenosis - Radial scar -
1
23
73
Happy Friday everyone! Let's tackle our Breast Consult Case of the Week 5 #BCCW #breastpath This one is a bit of a head scratcher because of incongruous cytology and architecture. First of all, we have what appears to be a proliferative lesion with a population of uniform
6
15
58
๐ซ Lobectomy. ๐ฌ Lung Adenocarcinoma. ๐ Signet ring cells. โ TTF1. #LungPath #LungCancer #PathX
0
12
51
Serous tubal intraepithelial carcinoma (STIC) - High grade cytology with sharp transition from normal epithelium -p53 mutant- some can be null (don't scan at low mag only) -Ki67>10% (often >70%) Dr. Bell-A Practical Approach to a Range of Fallopian Tube Pathology #ISGyP
3
22
86
Two most significant morphologic features to differentiate mesonephric-like adenocarcinoma (MLA) from endometrioid carcinoma -Cuboidal morphology with scant cytoplasm (MLA) -Low power blue look (MLA) The vast majority of MLA are microsatellite stable, lack POLE mutations and
1
17
54
Spectrum of mesonephric lesions in the female genital tract Mesonephric hyperplasia: Proliferation of mesonephric tubules measuring >6 mm in single dimension Mesonephric hyperplasia vs carcinoma: There is no back to back tubular proliferation or architectural complexity in
0
27
80
Happy Friday Denizens of X! Letโs tackle our Breast Consult Case of the Week 4 #BCCW #breastpath You were, of course, right on the money. I believe this is pleomorphic LCIS involving UDH. I do not think it matters much to specify which process is at play here, one would be
1
10
47
It feels like looking down at a billiard table ๐ง ๐ฑ. Submandibular mass, FNA: Malignant (The Milan System); adenoid cystic carcinoma. Donโt miss @MarcPusztaszeriโs webinar tomorrow: https://t.co/dz0prkL2gF
#IACwebinar
@IACytology
@CytologyEFCS
@DianaEstherossi
@bfaquin
2
17
66
Vaginal Adenosis types 1. Mucinous - Endocervical (Pic 2) - Gastric type (Pic 3) 2. Tubo-endometrioid (Pic 2) Dr. Talia- Vaginal Epithelial Neoplasia: An Update-May 2025 #ISGyP #pathology #Gynpath
0
23
75
Happy Saturday everyone! Let's discuss our Breast Consult Case of the Week 3 #BCCW #breastpath #PathTwitter Like everyone astutely pointed out, the diagnosis is adenomyoepithelioma (AME). Adenomyoepitheliomas are biphasic tumors of the breast, and they may encompass a variety
1
15
54
@TataMemorial @TMC_Varanasi @HBCHRCVIZAG @HBCHRC_Punjab @CceTmc @ACTREC_TMC entire TMC family deeply saddened by untimely demise of our alumnus, Indiaโs most illustrious pathologist, Dr Anita Borges. Huge loss to oncology fraternity & patients. Family & friends in our prayers
24
58
190
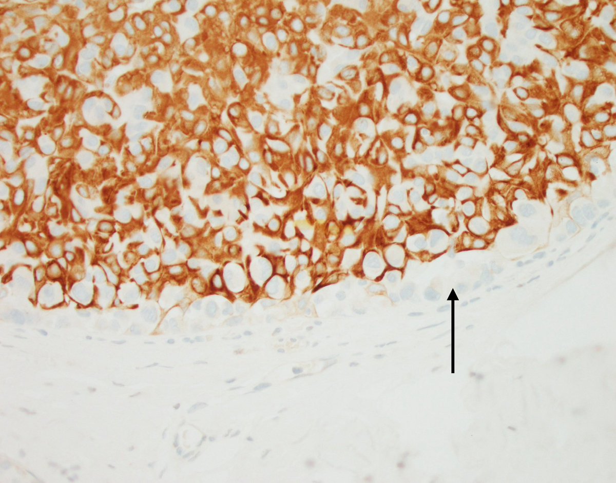
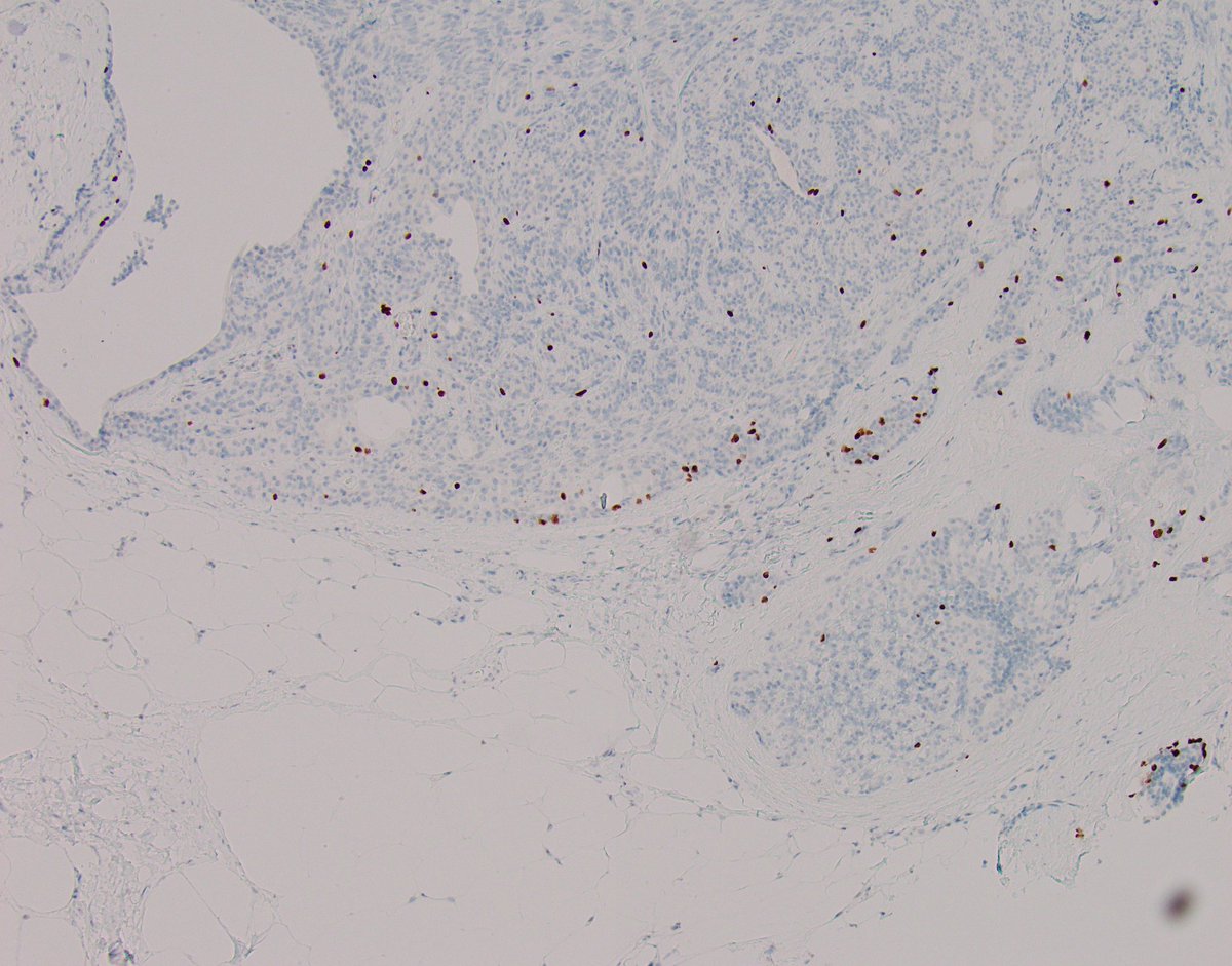
Happy Monday everyone! Time for our Breast Consult Case of the Week 3 #BCCW. This is a 65-year-old woman with an 8 mm breast mass. The last image is an immunohistochemical stain for p63. What is your diagnosis? #breastpath #PathTwitter @washupathedu @washu_pathology
8
11
41
3 days at @Pathologists have been nothing short of inspiring โ filled with meaningful discussions, reconnecting with old friends, meeting new colleagues, and learning from some of the brightest minds in pathology #CAP2025 #Pathology #Pathtwitter #Pathfamily
3
4
39
A pleasure to reconnect with friends at #CAP25. Glad to see you all thriving and successful ๐๐๐ #pathology #pathologists #PathX
2
2
45
It was so wonderful reconnecting with dear friends like @Janiranavarro @MeredithKHerman and @HansiniMD Already looking forward to the next time we meet! โฅ๏ธ we stay in touch ๐ฅฐ
A pleasure to reconnect with friends at #CAP25. Glad to see you all thriving and successful ๐๐๐ #pathology #pathologists #PathX
2
1
15
Large serous cystadenoma (the patient became symptomatic, necessitating surgical resection). These large #SCAs (and those with accelerated growth) often acquire not only VHL alterations, but mutations in TP53, hTERT, and IDH1/2. #Pathology #GIPathology #Pancreas #PancreaticCysts
1
29
86
Workforce Shortages in Pathology, RevisitedโWhat Is the Solution? First panel of the morning. Standing room only! @sangwumd @Pathologists
0
2
16
Congratulations to Dr. Singh for the Pathology Advancement Award ๐๐ผ๐๐ผ@Pathologists @CAPDCAdvocacy @CAPFndn
2
5
35