Dr_Brian_Cox Profile Banner
Brian Cox, MD, MAS Profile
Brian Cox, MD, MAS

@Dr_Brian_Cox

Followers
11K
Following
18K
Media
715
Statuses
8K

GI/Liver Pathologist @SharpHealthcare | Director of Research at Pacific Rim Pathology | Central Reader: MASH, IBD | Dad, Husband, Surfer, Statistics guy.

San Diego, CA
Joined May 2012
Don't wanna be here? Send us removal request.
@LiangChengMD
Liang Cheng, MD
1 month
Do you know how to FISH? I am delighted to share our 20+ years of experience with FISH, just published in @Human_Pathology (PMID: 40782985) -  Everything You Need to Know About FISH! This comprehensive review covers the full spectrum of fluorescence in situ hybridization (FISH)
6
69
242
@TobyASchmitt
Toby Schmitt, MD
1 month
A case of a rare nasopharyngeal tumor: This slide and more were just added to https://t.co/iJqFUSnnfj, bringing us to > 1300 cases total
3
15
83
@TingZhaoPathdoc
Ting Zhao, MD
1 month
20s M, renal biopsy. What is your diagnosis? #PathTwitter @MGBpathology @MGHPathology
23
59
161
@MeredithKHerman
Meredith Herman, DO
3 months
Day 2 of the @MatchToPath Residency Bootcamp 🚀 Nearly 100 participants daily—thank you for making this community thrive! Grateful to @slusagar, @Aberry_Med, and Dr. Lockhart for today’s thoughtful discussion. #PathX #Match2026
1
10
31
@ariella8
Celina Stayerman MD
3 months
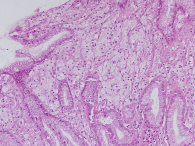
How not to share this #beautyinB9 #GIPath #Pathresidents #PathOutPic Gastric xanthomas appear as pale or yellowish plaques or nodules, typically less than 3 mm in size, located in the gastric mucosa. They are often found in clusters, more frequently along the lesser curvature
2
12
43
@ariella8
Celina Stayerman MD
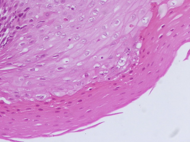
4 months
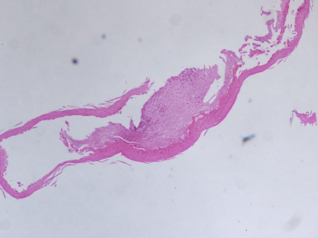
#GIPath #Diagnosethis #Pathresidents 1/2 Look what crossed my my microscope ? The key is in the bitonal hue of this esophagus with sharply demarcated layers ,strong pink superficial ,intraepithelial cleft ,partially detached ,other fragments with just strips of superficial
6
24
69
@GIJamesMD
GI James
5 months
🚨🚨🚨#GIpath pitfall. Beware 👀! 🚨🚨🚨 #pathology #pathX #PathTwitter #PathResEd #pathmatch2025 #pathmatch2026
4
17
64
@capath
Ca Pathologists
5 months
Partner with CSP! Sponsorships are open for the CSP 2025 Annual Meeting – Dec. 4-6, 2025 in Long Beach! Connect with top pathologists, elevate your brand, and support pathology. 🔗 https://t.co/xRQBXnYXup 📧 meetings@calpath.org #CSP2025 #Pathology #MedTwitter #HealthcareIndustry
0
2
5
@capath
Ca Pathologists
5 months
There are countless reasons to exhibit at #CSP2025 Learn more and purchase your exhibit booth today: https://t.co/xRQBXnYXup #CSP2025
0
1
10
@Sohayla_Yaseen
Sohayla Y. Dababseh
6 months
0
2
16
@Dr_Brian_Cox
Brian Cox, MD, MAS
6 months
"Someone has a case of The Mondays." - Amoebas, probably.
5
49
209
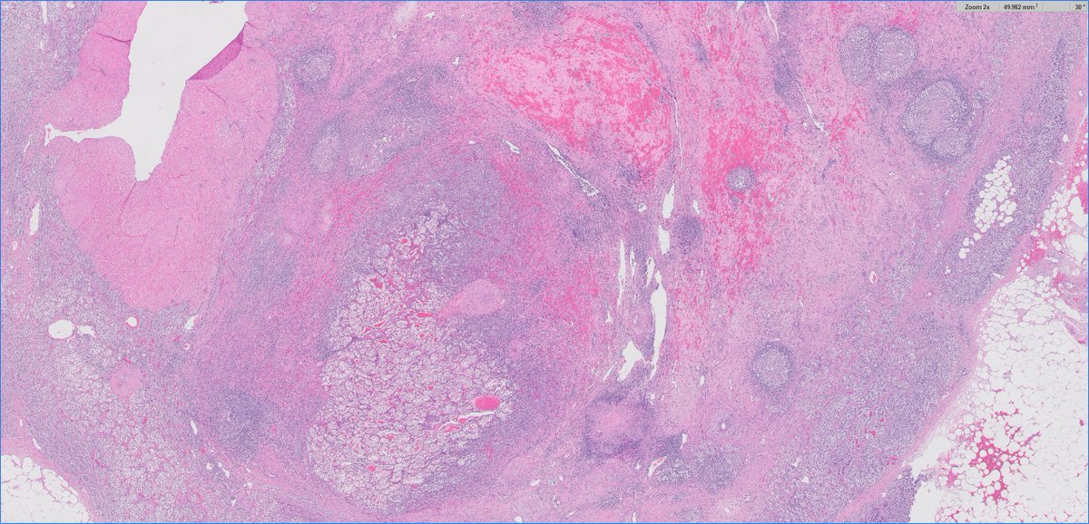
@GladellPaner
Gladell Paner, MD
6 months
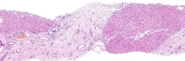
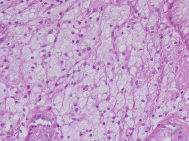
Uniquely intricate morphological pattern in #renal tumor! Catchy for #OnePicDx! 🔍 What is your diagnosis on this #nephrectomy #GUPath tweeps? Answer in comment👇👇👇
6
62
191
@capath
Ca Pathologists
6 months
CSPEI 25-6: 63-year-old female with postmenopausal bleeding and total hysterectomy with bilateral salpingo-oophorectomy. ❓ Question: What is the origin of the tubulo-glandular abnormalities? ✍️ Author: Maryam Sharifian, MD Please follow, like, comment, & repost! 🙌
1
2
7
@Dr_Brian_Cox
Brian Cox, MD, MAS
7 months
Please help us raise money for the CSP! Anything helps! The CSP is actively advocating and fighting to protect pathology reimbursement and remote sign out in California. Please retweet/repost for visibility.
@capath
Ca Pathologists
7 months
We have an 11:00 AM update for the CSP Day of Contributing Challenge! So far, we have raised $6,741! Is your name on the list? Help us reach our goal of $100,000. Thank you to those who have contributed. Learn more and contribute here: https://t.co/X1rffkEaNQ.
0
5
9
@Dr_Brian_Cox
Brian Cox, MD, MAS
7 months
Please help us raise money for the CSP! Anything helps! The CSP is actively advocating and fighting to protect pathology reimbursement and remote sign out in California. Please retweet/repost for visibility.
@capath
Ca Pathologists
7 months
We have an 11:00 AM update for the CSP Day of Contributing Challenge! So far, we have raised $6,741! Is your name on the list? Help us reach our goal of $100,000. Thank you to those who have contributed. Learn more and contribute here: https://t.co/X1rffkEaNQ.
0
5
9
@capath
Ca Pathologists
7 months
We have an 11:00 AM update for the CSP Day of Contributing Challenge! So far, we have raised $6,741! Is your name on the list? Help us reach our goal of $100,000. Thank you to those who have contributed. Learn more and contribute here: https://t.co/X1rffkEaNQ.
0
1
2
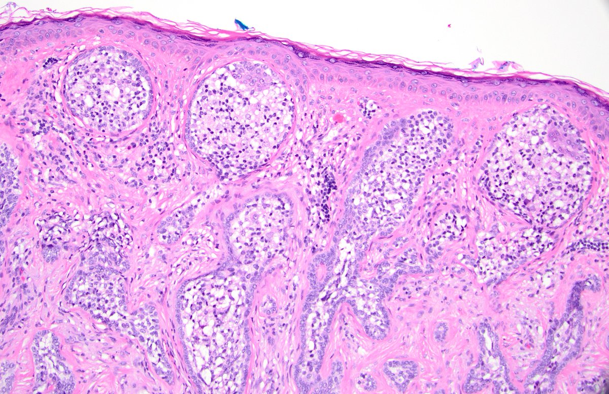
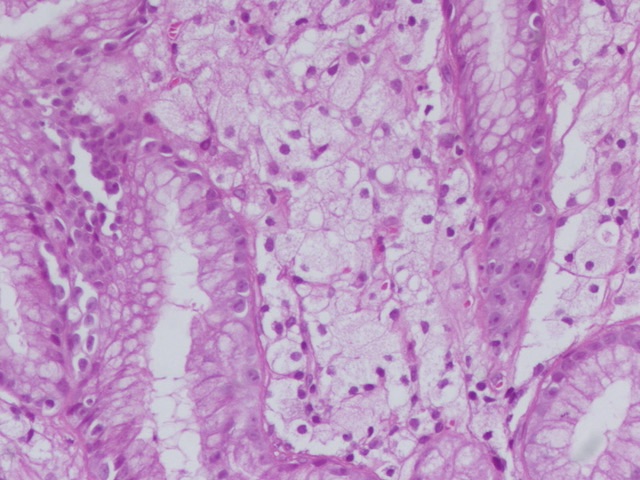
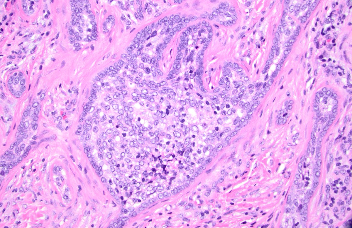
@dgbrackett
Diane Brackett, MD
7 months
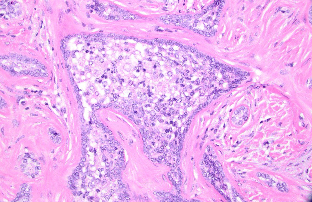
One of those "it's very distinctive and it has a name but I don't know what it is" cases Could it be a cutaneous lymphadenoma? (AKA adamantinoid trichoblastoma) I've never made the Dx before #dermpath
7
22
82
@slusagar
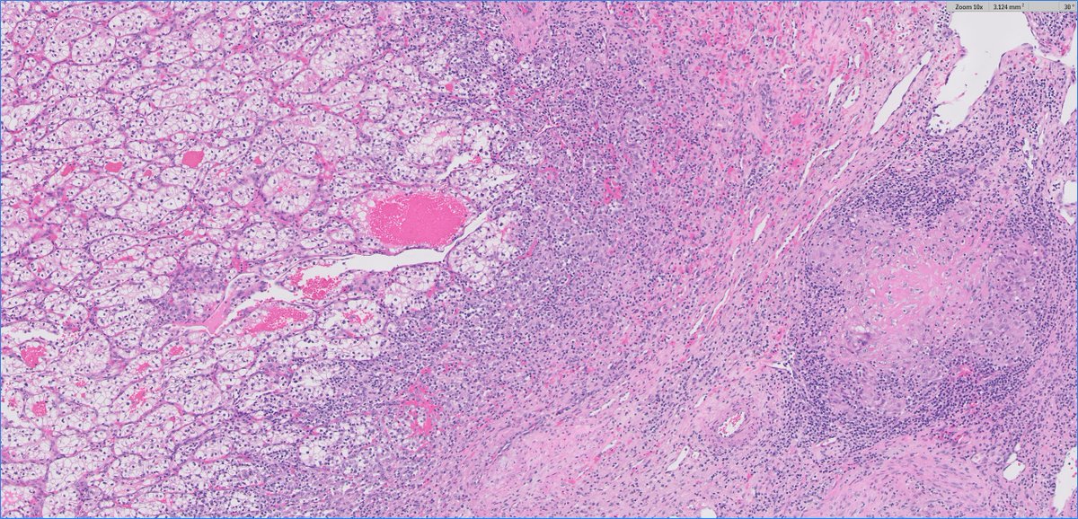
Ankur Sangoi
7 months
#GUpath 60s M, h/o clear cell RCC with met to LN, now presents with adrenal gland mass, adrenalectomy performed can you provide explanation for🔬? #pathstories
5
13
43
@IHC_guy
Andrew Bellizzi 🇺🇦
7 months
ISIMM (@ISIMMweb) is THRILLED to announce a new Trainee Membership category. Registration is FREE for trainees. This thread will provide step-by-step instructions for Regular (aka Founder) and Trainee Membership. Step 1: Go here😊 https://t.co/VKHj37Wtuo Looks like this:
4
28
40
@Dr_Brian_Cox
Brian Cox, MD, MAS
7 months
I did this in my PGY4 year with the @AceMyPath team and it really helped me solidify some very hard CP concepts. Also got my name on the book, so that was also pretty cool. Highly recommended.
@AceMyPath
Ace My Path
7 months
#PathTwitter #Pathologists #OpportunityAlert We need a couple of creative pathologists who can use BioRender and / or Adobe Illustrator to make illustrations for our books. Since you will be creating content, you will be given author and illustrator credits. This is a good
0
6
20