Jerad Gardner, MD
@JMGardnerMD
Followers
51K
Following
61K
Media
23K
Statuses
81K
Dermpath/Sarcoma Pathologist @GeisingerPath. Co-founder @Kiko4docs. Deputy Editor @ArchivesPath. TEDx Speaker. Book Author: Survival Guide to Dermatopathology.
Danville, PA
Joined June 2009
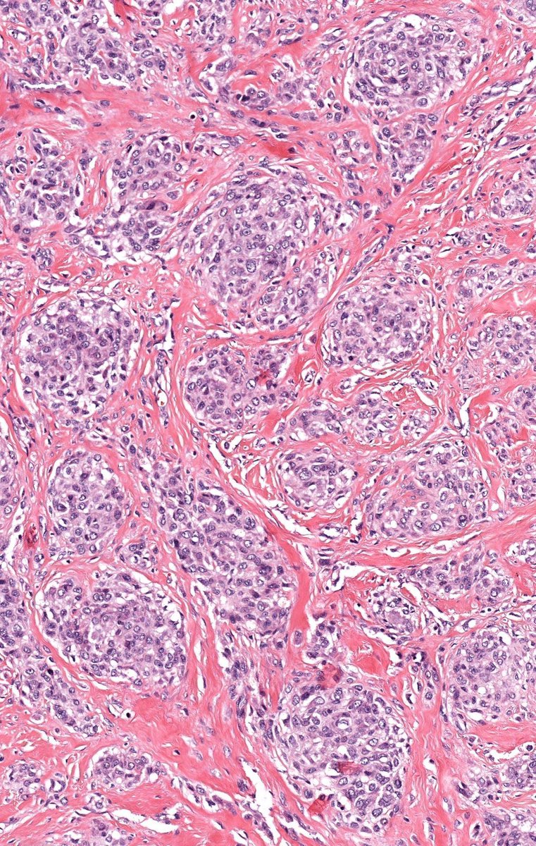
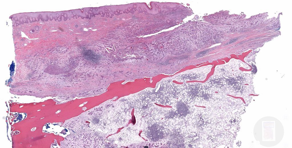
75 yo M. Big dorsal hand SCC with BONE invasion & multiple lymph node metastases. Why is this SCC acting so aggressively?!? Answer ✅ https://t.co/nVA7OgXMzh Digital slides: https://t.co/AMhtDEQjqA
#pathology #pathologists #pathTwitter #dermpath #dermatology #dermtwitter
0
0
2
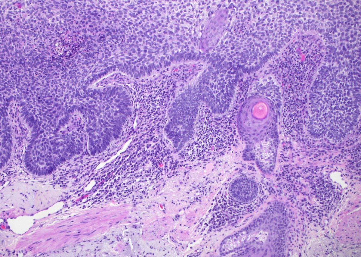
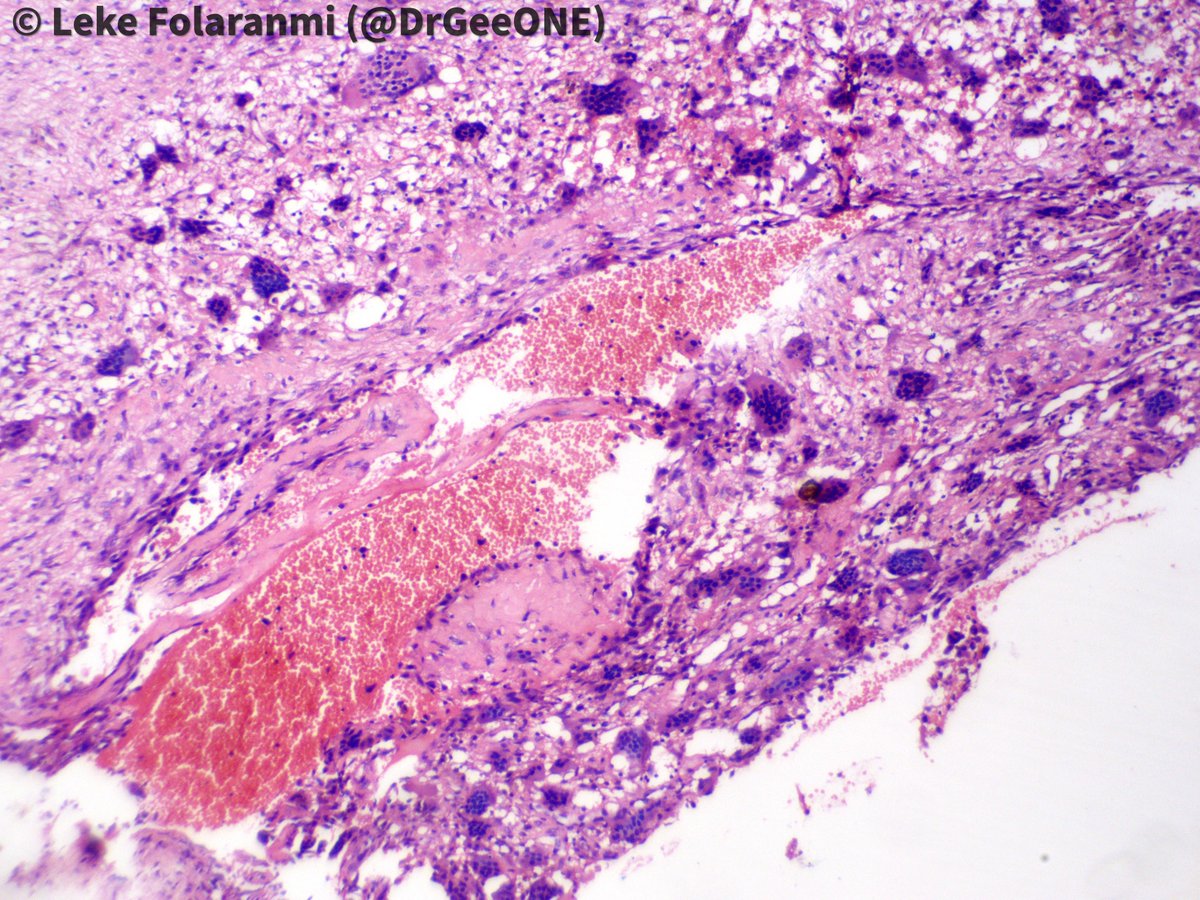
35 yo M. Skin excision. YOU tell ME the history! (don't want to give away answer too easily!) Answer ✅: https://t.co/N1169EY2Aq WSI digital slide: https://t.co/umxy4TTCgW.
#pathology #pathologists #pathTwitter #dermpath #dermatology #dermatologia #dermtwitter
0
0
0
Can you make diagnosis from one pic, or is it #TooCloseToDiagnose? Digital slide: https://t.co/7itVghMPzB. Answer ✅ https://t.co/gcZ4O7uR9m More info: https://t.co/ZAiy3mdO63.
#pathology #pathologists #pathTwitter #dermpath #dermatology #dermatologia #dermtwitter
0
1
4
What is this bubbly cell? (it's NOT a sebocyte!) What is the pink dot in the cytoplasm? Diagnosis? Answers ✅ https://t.co/37z9tiICoE
#pathology #pathologists #pathTwitter #dermpath #dermatology #dermatologia #dermtwitter
0
0
2
Skin biopsy. Can you make the diagnosis from one pic, or is it #TooCloseToDiagnose? Answer ✅ https://t.co/yBsAhJR482
#pathology #pathologists #pathTwitter #dermpath #dermatology #dermatologia #dermtwitter
0
0
2
20 yo woman. Bilateral groin excisions. Answer ✅ https://t.co/Xhk08Y4pSt WSI digital slides: https://t.co/I2BQy4Sb33
#pathology #pathologists #pathTwitter #dermpath #dermatology #dermatologia #dermtwitter
0
0
4
Liver mass in adult. Can you make the diagnosis from one pic, or is it #TooFarToDiagnose? More pics: https://t.co/tMPzrQldRB Answer ✅ https://t.co/QMhCylaU33
#liverpath #GIpath #BSTpath #pathologists #pathology #pathTwitter
0
0
3
Masterclass on bone #pathology w special guest Dr. Andrew Rosenberg! Video: https://t.co/Z3rVipx4y0 He discusses normal bone #Histology, #Embryology, & non-neoplastic pathology, reactive changes, woven bone, fracture callus, & Paget disease. Amazing #meded!
0
2
5
I'm doing a live Dermpedia virtual slide session TODAY 9/18 at 3pm EST for Dermpedia with Dr. Artur Zembowicz. I have some really cool cases to share! Join us: https://t.co/7KXmrLl7ij . #pathology #pathologists #pathTwitter #dermpath #dermatology #dermatologia #dermtwitter
0
0
1
Lung mass in young adult. Diagnosis? Answer ✅ https://t.co/GckjtifBbc
#BSTpath #pathologists #pathology #pathTwitter #pulmpath
0
2
13
30 yo M. Multiple skin papules. Diagnosis? Digital slide🔬 https://t.co/q1pqW0Fu7f Answer ✅ https://t.co/APAC6w6bQj Similar cases: https://t.co/CVHjld7akf & https://t.co/H9brWomauq
#pathology #pathologists #pathTwitter #dermpath #dermatology #dermatologia #dermtwitter
0
0
2
Can you make the diagnosis from one pic, or is it #TooCloseToDiagnose? Digital slide 🔬 https://t.co/kgsBDtesdx Answer ✅ https://t.co/BsaYd9irb4
#pathology #pathologists #pathTwitter #BSTpath #dermpath #dermatology #dermatologia #dermtwitter
0
0
4
80 yo M with crusted ulcerated skin lesion on temple. Diagnosis? What are all those cells in the dermis??? Answer ✅ https://t.co/v6xri16CXN
#pathology #pathologists #pathTwitter #dermpath #dermatology #dermatologia #dermtwitter
0
1
5
Can you make diagnosis from 1 pic? WSI: https://t.co/WpR22FRl3z Answer ✅ https://t.co/ZZ21Vm4zVj Patterns: https://t.co/H5ZoUmm9hO & https://t.co/EykCmX2WZq
#BSTpath #pathologists #pathTwitter #dermpath #dermatology #dermtwitter
0
0
7
Mass in chest of 75 yo woman with distant history of breast cancer. Diagnosis? Answer ✅ https://t.co/c13WYqHeg2
#pathology #pathologists #pathTwitter #dermpath #dermatology #dermatologia #dermtwitter #BSTpath
0
0
3
Join #PathX in team #DiagnoseandTreats towards the challenge of donating to @FeedingAmerica Food banks & soup kitchens helped my family through the 2008 recession. Pay it forward. Any small donation counts! https://t.co/AAUcpXde8M
The 2025 #HCWvsHunger Campaign is almost here! When: Thanksgiving 11/27 6pm thru Tuesday 12/2 11:59pm Who/What: Join HealthCareWorkers, allies & friends to combat hunger and food insecurity 🌟>$3.1 M donated since 2020 How: https://t.co/S4MNclN6c2
@acweyand @tmprowell
3
14
25
Head & Neck & Endocrine Pathology Residents - Quiz Time! An elderly woman presents with an expanding left thyroid mass invading strap muscles, the recurrent laryngeal nerve, and the esophagus. Lobectomy is performed. What’s your dx? (Follow the thread!)
7
52
108
We loved our slide session and grand rounds with @JMGardnerMD yesterday! Thank you for sharing interesting cases and for the unique presentation on the impact of social media in medicine! #pathology #Match2026
Many thanks to our Grand Rounds speaker, Dr. Jerad Gardner, from Geisinger Medical Center in Danville, PA, for sharing his dermatopathology expertise and social media insights with our faculty, residents and fellows.
0
3
3
🥳 registrations open 12 January 2026! Join us for the 50th IAP AUSASM with 17 new short courses, workshops, boot camps and meet the expert sessions in addition to usual format see preliminary programme https://t.co/ChYFoceLXp
@JMGardnerMD @KMirza
0
3
5
Osteitis fibrosa (Brown disease) The patent was in his 30s, had a year history of bilateral femoral and right humeral fractures after a trivial fall. The patient initially presented to the traditional bone setters. Constellation of findings (history, blood work and
6
13
42