ac_pathgal Profile Banner
Aastha Chauhan Profile
Aastha Chauhan

@ac_pathgal

Followers
3K
Following
16K
Media
523
Statuses
7K

#GI/liver & #cyto @UMnews. @TheUSCAP ambsdr. @cytopathology ejrnl and CAP #DEI committee.@matchtopath @pathspotters #diversity #education❤️☕️ 🏝📚.

Minneapolis, MN
Joined March 2020
Don't wanna be here? Send us removal request.
@ac_pathgal
Aastha Chauhan
5 years
✅ Paneth cell metaplasia in a tubular adenoma. #FunFriday Conventional adenomas can show four types of metaplasia - 💠 paneth cell metaplasia 💠 enteric metaplasia 💠 squamous morules 💠 clear cell change
7
62
138
@SahilBloom
Sahil Bloom
3 years
In summary: (1) Family time is limited—cherish it. (2) Friend time is limited—prioritize real ones. (3) Partner time is significant—never settle. (4) Children time is precious—be present. (5) Coworker time is significant—find energy. (6) Alone time is highest—love yourself.
177
9K
33K
@MFeelyDO
Michael Feely, DO
3 years
Fusions aren’t just for sarcomas these days. Turns out this liver tumor is hiding one. Anybody recognize this gem? #LiverPath #GIpath
4
56
111
@SahilBloom
Sahil Bloom
3 years
I recently came across data on who we spend our time with over the course of our lives. The insights are simultaneously inspiring and depressing. Here are 6 graphs everyone needs to see:
1K
21K
68K
@MatchToPath
MatchToPath
3 years
2. 👉 Be prepared with questions! No questions is wrong or right! 👉 Don’t be nervous! Don’t give very short or long answers 👉 Be concise and be you! Goodluck and cheers 🥂 cc: @KMirza @Baskotacytopath @olopeznu @ac_pathgal @MeredithKHerman
0
3
7
@MatchToPath
MatchToPath
3 years
Nov.9 is International Pathology Day sponsored by @RCPath. #IPD highlights the fundamental role of pathology in saving lives and keeping patient healthy. Pathologists and the medical laboratory teams they lead are the cornerstone of accurate diagnoses for patients. #Pathology
0
9
15
@btabarsimd
Baharak Tabarsi, MD, FAAFP
3 years
#MedStudents are asking for advice for interviews. As a residency faculty who does a lot of interviews here is a short 🧵
14
135
729
@Baskotacytopath
Swikrity U Baskota,MD, FCAP,FASCP
3 years
12
1
39
@navale_pooja
Pooja Navale MD
3 years
What are those smudgy nuclei at tips of a jejunal villi? 💡Adenovirus- nuclei infected with virus migrate towards the tip, giving an appearance of disorganized surface nuclei This case lacked apoptosis or inflammation PMID: 25195803
2
62
168
@sza_jhcyto
Syed Z. Ali
3 years
CLASSIC appearance (even on a Pap stain) - "Adenoid Cystic Carcinoma", Submandibular Gland FNA.
1
48
149
@Janiranavarro
Janira Navarro
3 years
GI and GYN 🤝 Goblet cell adenocarcinoma in outer myometrium #everydayGYN #Gynpath #pathology #PathResident #pathfellow #gipath
2
22
90
@bfaquin
WC Faquin, MD, PhD
3 years
FNA of parotid mass: Lymphoepithelial carcinoma showing malignant epithelial cells admixed with lymphocytes. Usually positive for p63 and EBER.
0
24
91
@Dr_Brian_Cox
Brian Cox, MD, MAS
3 years
Colon, biopsy: - Ischemic colitis pattern of injury (see comment) Comment: This pattern of injury may be seen in the setting of ischemia, radiation injury, certain infections (e.g., E. coli O157:H7), and certain medications (e.g., NSAIDs, digoxin). Clinical correlation advised.
4
57
161
@Gagandeepk5MD
Gagandeep Kaur
3 years
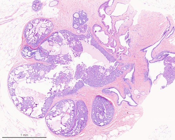
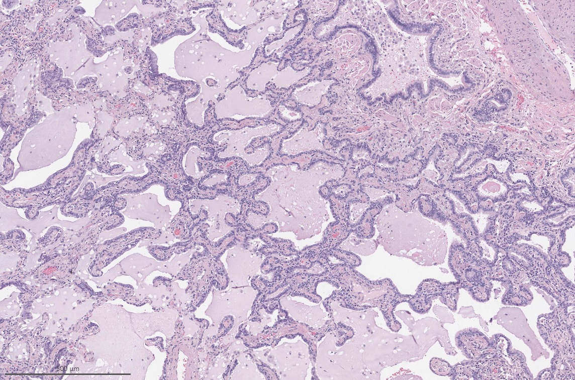
@ac_pathgal @raghupillappa @HansiniMD @SanicaBheleMD @NupursharmaMD @Sujata_path @JayaVen @SusanKarki777 @AlainCagaanan @Ramavid15 @Drsandeep89 @DonthiDeepak @DrNidhiKataria @DrGeeONE @kkuanMD @TheKarenPinto @ALBoothMD @Debdasmd * This entity is "Ciliated muconodular papillary tumor of the lung" * Epithelial component shows a mixture of ciliated columnar, mucous, and basal cells * Basal cells can be highlighted by p40 staining * Cases with the BRAF V600E mutation, cytoplasmic staining for is present
4
3
23
@Gagandeepk5MD
Gagandeep Kaur
3 years
Let's see what we think of this lesion and if we can get consensus. Would you like to order any stains? Had this interesting case with Dr. Brogi @EdiBrogi. @rufaida87 @ADamronMD @DrGeeONE @LizaMQuintana @DrShiWei @TheodoreVMD @HansiniMD @mhassanaimc @CMOmbresMD @ac_pathgal
6
13
43
@LizMontgomeryMD
Elizabeth Montgomery, MD
3 years
This Barrett's esophagus has an unusual pattern of high grade dysplasia - the differentiation is not classically intestinal. It is more reminiscent of that seen in a pyloric gland adenoma. The background nondysplastic mucosa had typical incomplete intestinal metaplasia.
10
66
187
@IDdocAdi
Adi
3 years
Mentor editing manuscript
63
270
3K
@neha_varshney
nehav@gipath
3 years
2
9
28
@vij_mukul
Mukul Vij, MD 🇮🇳
3 years
Esophagus nodule Dysphagia #GIpath #PathTwitter
16
40
137