SibaElHussein Profile Banner
Siba El Hussein, MD Profile
Siba El Hussein, MD

@SibaElHussein

Followers
6K
Following
5K
Media
1K
Statuses
3K

Guest editor @Cancers_MDPI contribute here➡️ https://t.co/LxEbwiFktU | Google scholar https://t.co/Ewe7eFhYRf | @ASCP_Chicago 40 under forty | @uvmvermont

Burlington, VT | Montreal, QC
Joined July 2019
Don't wanna be here? Send us removal request.
@SibaElHussein
Siba El Hussein, MD
8 months
Excited to announce our new #Hemepath special issue @Cancers_MDPI ! If you are looking for a home for your leukemia or lymphoma paper, please consider submitting! Deadline August 31st 2025 More info and link for submission➡️ https://t.co/HHA8D9E0yL #leusm #lymsm #molpath
Tweet card summary image
mdpi.com
Special Issue in journal Cancers: Advances in Pathology of Lymphoma and Leukemia
@Cancers_MDPI
Cancers MDPI
8 months
📢 NEW #SpecialIssue ON "Advances in Pathology of Lymphoma and Leukemia" 🔗 https://t.co/HC6evJYB6H 👨‍⚕️ Guest Editor: Dr. Siba El Hussein @SibaElHussein @UVMMedCenter 🗓️ Submission Deadline: 31 August 2025
1
14
45
@SibaElHussein
Siba El Hussein, MD
14 days
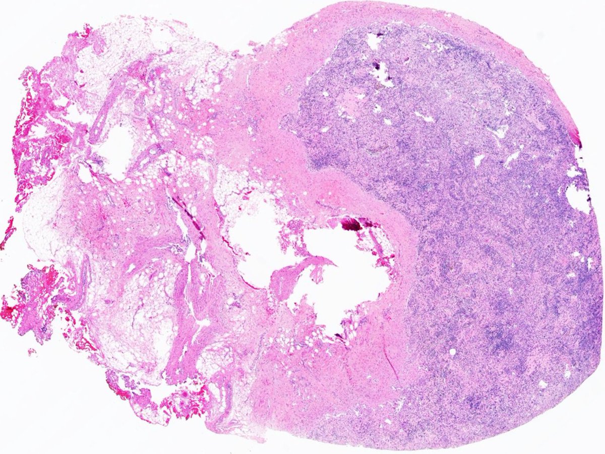
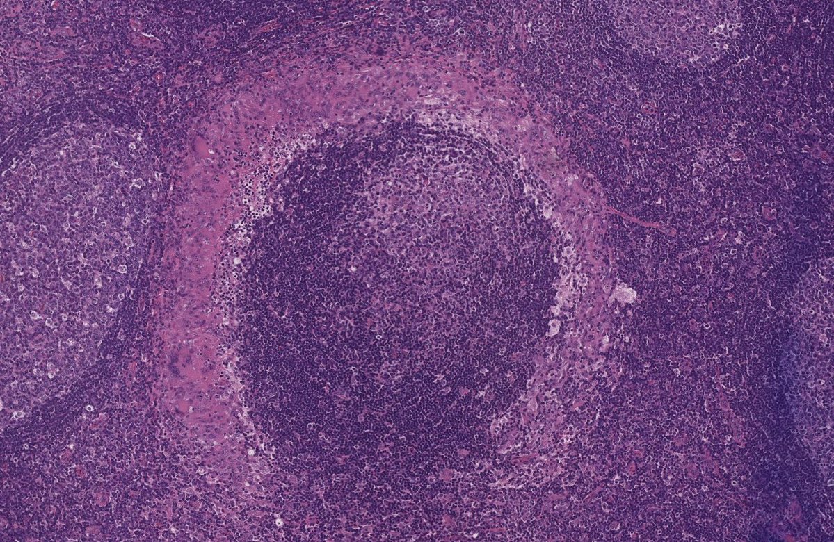
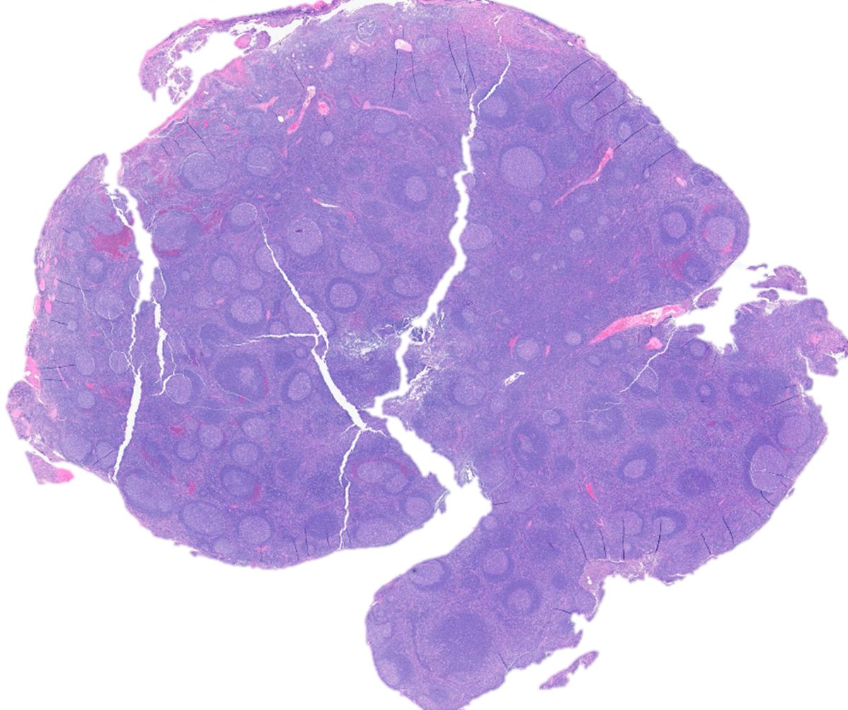
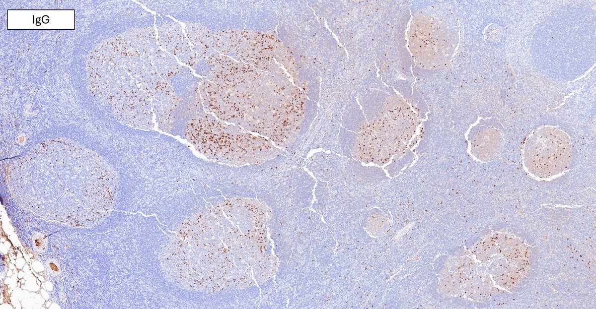
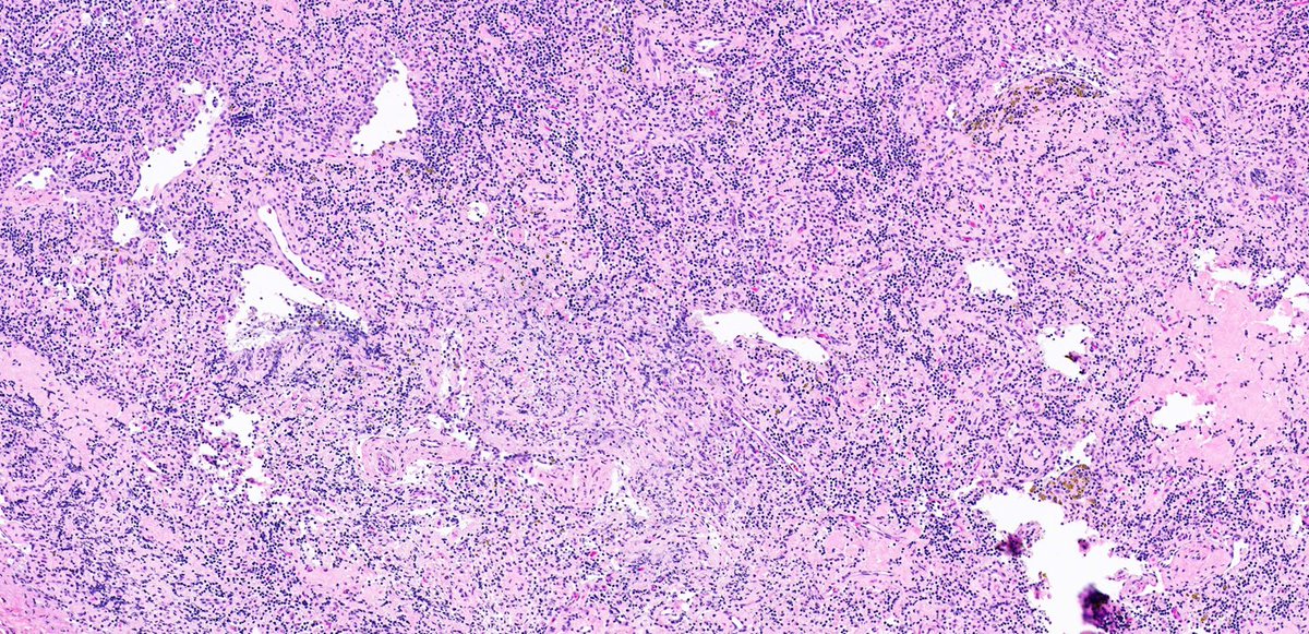
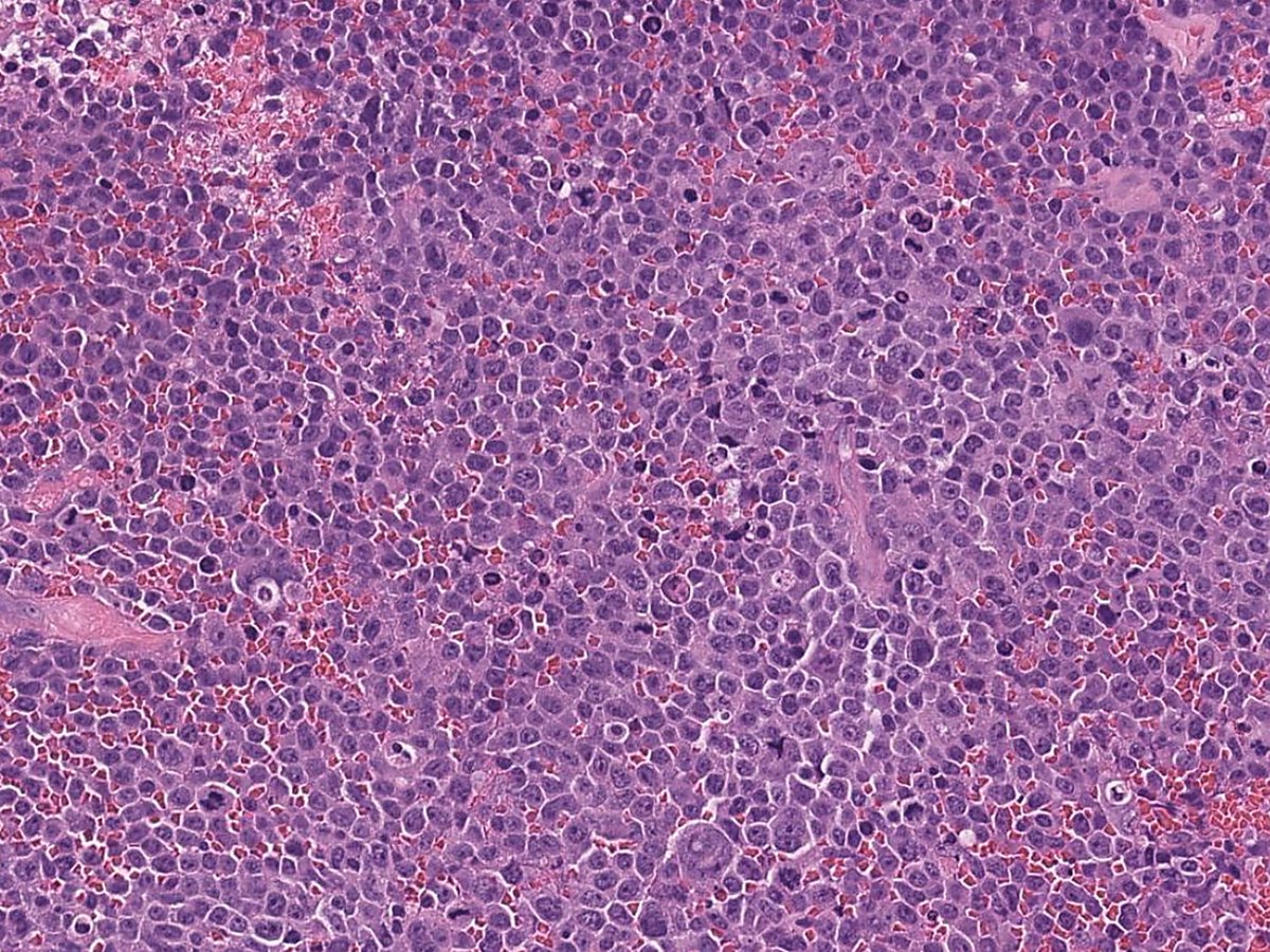
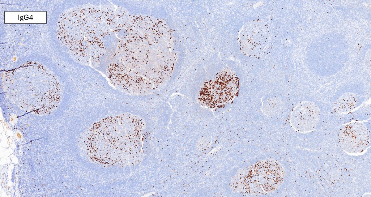
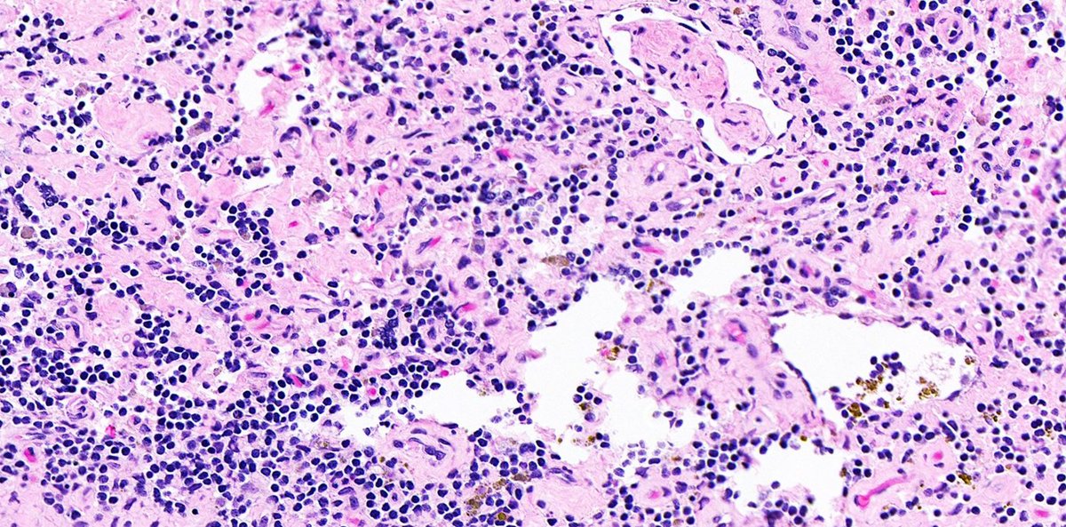
Perifollicular ring-like granuloma is a nonspecific morphologic feature that should prompt consideration of IgG4-related disease, particularly in lymph nodes with plasmacytosis #Hemepath #Surgpath #PathX #PathTwitter #MedEd #SoMe
1
33
81
@SibaElHussein
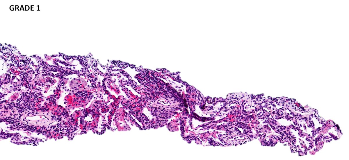
Siba El Hussein, MD
3 years
Lung biopsy illustrating a spectrum of involvement by lymphomatoid granulomatosis➡️ 🩸Grade 1: Polymorphous angicentric lymphoid infiltrate without significant atypia; necrosis is absent. Large EBV-positive lymphoid cells are rare. #hemepath #lymsm #thoracicpath #PathTwitter
3
43
75
@SibaElHussein
Siba El Hussein, MD
14 days
Perifollicular ring-like granuloma is a nonspecific morphologic feature that should prompt consideration of IgG4-related disease, particularly in lymph nodes with plasmacytosis #Hemepath #Surgpath #PathX #PathTwitter #MedEd #SoMe
1
33
81
@SibaElHussein
Siba El Hussein, MD
15 days
Vascular transformation of sinuses, also called nodal angiomatosis: Usually found incidentally after resection of a nearby tumor, due to obstruction of lymphatic efferent vessels or venous obstruction #Hemepath #PathX #Surgpath #PathTwitter #MedEd
1
19
39
@SibaElHussein
Siba El Hussein, MD
15 days
Composed of a complex network of anastomosing blood vessels of variable sizes with fibrosis, irregularly branching vascular slits with extravasated red blood cells and interstitial hemosiderin deposition #Hemepath #PathX #Surgpath #PathTwitter #MedEd
0
0
3
@SibaElHussein
Siba El Hussein, MD
15 days
Vascular transformation of sinuses, also called nodal angiomatosis: Usually found incidentally after resection of a nearby tumor, due to obstruction of lymphatic efferent vessels or venous obstruction #Hemepath #PathX #Surgpath #PathTwitter #MedEd
1
19
39
@SibaElHussein
Siba El Hussein, MD
20 days
Example of a case of "Diffuse large B-cell lymphoma associated with chronic inflammation", developing in the pleural cavity of a patient with longstanding pyothorax➡️ #Hemepath #PathX #Pathtwitter #MedX #MedTwitter #Surgpath #SoMe
3
22
54
@hemepathguy
@Hemepathguy
20 days
@SibaElHussein So I'll reply, because Siba knows this is a hobby of mine. If MAL is positive, then PMLBCL. If all three P63, CD23, CD30, then yes PMLBCL. If only 2/3, then c/w. If only 1/3, then suggestive of...
1
5
20
@SibaElHussein
Siba El Hussein, MD
20 days
It is established that occasional cases may aberrantly express one or more T-cell antigens (CD2, CD3, CD4, CD7), as was seen in the current case, complicating lineage assignment #Hemepath #PathX #Pathtwitter #MedX #MedTwitter #Surgpath #SoMe
0
0
3
@SibaElHussein
Siba El Hussein, MD
20 days
🩸This entity is strongly associated with EBV infection 🩸TP53 mutations are found in about 70% of cases #Hemepath #PathX #Pathtwitter #MedX #MedTwitter #Surgpath #SoMe
1
0
2
@SibaElHussein
Siba El Hussein, MD
20 days
Example of a case of "Diffuse large B-cell lymphoma associated with chronic inflammation", developing in the pleural cavity of a patient with longstanding pyothorax➡️ #Hemepath #PathX #Pathtwitter #MedX #MedTwitter #Surgpath #SoMe
3
22
54
@SibaElHussein
Siba El Hussein, MD
27 days
Rare sighting of "focal" primary large B-cell lymphoma of the testis in action, slowly making its way to seminifrous tubules #Hemepath #Lymsm #Pathtwitter #PathX #Sugpath #MedED
1
15
39
@SibaElHussein
Siba El Hussein, MD
27 days
Rare sighting of "focal" primary large B-cell lymphoma of the testis in action, slowly making its way to seminifrous tubules #Hemepath #Lymsm #Pathtwitter #PathX #Sugpath #MedED
1
15
39
@ZhaiJim
Jim Zhai
2 months
I will work tirelessly, with the board and members, to better our community and patient service! @KMirza @Pathologists @FLPathologists #pathology
@KMirza
Kamran Mirza MD PhD - کامران مرزا
2 months
Congratulations to @ZhaiJim on his Presidency of @Pathologists Looking forward to seeing how your vision and leadership shape this prestigious college!
6
7
49
@Pathologists
CAPathologists
2 months
Members—join us for the opening session of CAP25. You’ll get the latest updates from CAP leadership, hear the final presidential address from Donald S. Karcher, MD, FCAP, and see the swearing-in of our next president, Qihui “Jim” Zhai, MD, FCAP. #CAP25
0
7
32
@ICCS_Education
ICCS_Education
3 months
The early registration deadline for the 40th Annual ICCS Meeting & Course is TODAY! Get a discount & save even more by booking at the headquarter hotel. Can't attend in person? This is a hybrid meeting with a virtual option! Don't delay, register here: https://t.co/bU48FSd1AF
0
9
12
@AmeetRKini
Ameet Kini, MD, PhD
3 months
I just registered for #FlowICCS25, the Annual ICCS Meeting and so should you—today is the early registration deadline with a discount! I hope to see you in-person Sept 26-30, but if you can't, this is a hybrid meeting with a virtual option. Register now! https://t.co/aXxfck8HUn
0
10
21
@aneezairfan01
Aneeza Irfan
3 months
Join us for our LEUKEMIA UNKNOWN CONFERENCE on 8/20/2025 at 9:15 am CST Zoom link: https://t.co/1YRBcZBx8p Passcode: 264632 Slides: https://t.co/2E5HHYw3ps Case histories
1
3
16
@aneezairfan01
Aneeza Irfan
3 months
Join us for our LYMPHOMA UNKNOWN CONFERENCE on 8/15/2025 with Omar Rusan, MD / L. JEFFREY MEDEIROS, MD at 4:00 pm CST Zoom link: https://t.co/8RnUjmMaWu Passcode: 405198 Slides: https://t.co/IfogGUVAKI Case histories:
0
15
29