
Kyle Devins, MD
@md_kyle
Followers
3K
Following
4K
Media
142
Statuses
2K
GYN/GU/Breast Surgical Pathologist @MGHPathology 🔬 | Former AP/CP Resident @PennPathLabMed | T/RTs are not medical advice | Running 🏃 Hiking 🥾
Boston, MA
Joined June 2019
Incredibly thankful and excited to announce that I’ll be joining the faculty @MGHPathology @harvardmed this Spring! Thank you to all my mentors and colleagues here and @PennPathLabMed where I trained as a resident - I learn more from you each day! #gynpath #BreastPath #gupath
30
3
157
This week ISGyP LiVE has an always welcome slide review of a common and important specimen: the endometrial biopsy. Led by Dr. Lauren Schwartz @lendeschwartz Thursday May 12, noon Eastern. https://t.co/uIM5YcRQ6l
0
16
50
Calling all #medstudents preparing to apply for residency and/or interested in #pathology! Join @apcprods at this upcoming event: https://t.co/JaeNFvJv9h
@Path_SIG @KMirza @JMGardnerMD2 @Sara_Jiang @NRiddleMD @Pathologists @PathologyInfo @cytopathology
2
16
23
Happy to share this @ModernPathology review written along with @JaclynWatkinsMD @MRNucciMD @BrookeHowittMD + other brilliant minds. An effort to improve our understanding of VAAD, DEVIL + other terms, with proposed nomenclature that aligns with WHO. Free: https://t.co/F6H5BMV4AA
0
27
59
Frozen section/intraoperative evaluation of an incidentally discovered paratesticular mass. Relevant PMID 👉19543245 by @slusagar . #gupath #pathology
13
34
100
🔰 Interesting Case Of The Week 🔰 ➡️ 60-70y with incidentally found renal mass ➡️ What gross features are noteworthy on this partial nephrectomy? 🔜 Microscopic pics to follow, meanwhile please comment on your thoughts/impressions! @pembeoltulu #GUpath #pathology
2
24
53
(1/2) #gynpath Non-HPV associated cervical carcinoma, gastric type with mets in pelvic LNs. The lymph node👇. @AnneMillsMD @CPHpath @DrEstherAdler @JojoPathAdvntrs @KayParkMD @OBGYNPATH @NatalieBanet @Mvgs1706 @padmapathology1 @nucleololailo @DrBMcGinn @kis_lorand @drtugcecay
5
21
46
Check our new poscast featuring @JaclynWatkinsMD, her knowledge and passion about the importance of diagnosing endometriosis #gynpath Article https://t.co/bFj1qOvh0o Podcast live now at https://t.co/mznSJu9Ij5
0
7
17
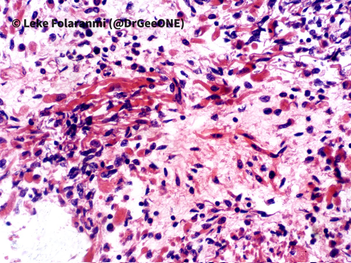
Cervical biopsy in a woman in her early 30s. She presented with vaginal bleeding and cervical mass. ?polyp. 🔬Sarcoma Botyroides I was saved by the cambium layers...then saw rhabdomyoblasts after a thorough search🤦🏾♂️☺️🙏🏽 (Last pic shows striations) #pathoutpic #Gynpath #BSTpath
20
73
196
A rare sighting! Cervical biopsy in a woman in her early 40s. 🔅Looks good for Invasive stratified mucin producing carcinoma (iSMILE). Areas continuous with AIS #GynPath I think I first heard of SMILE, the precursor lesion from this tweet by @NatalieBanet
https://t.co/kPaSnDqSRO
7
34
83
#Gynpath #Surgpath #pathresidents Endometrioid-type adenocarcinoma of the ovary showing loss of MLH1 and PMS2. Not an uncommon finding - for more details on MMR testing in ovarian ca (including which histologic types should be univ. screened), see: https://t.co/6KpDITjJzY
0
10
32
✴️When the case writes itself✴️ ➡️Ureteral lesion in an old male patient What would you call this??? #GUpath #pathology #cytopath #cytopathology
3
14
36
Meet Zehra Ordulu, our latest Member Spotlight interviewee! https://t.co/d5Sp0eO4oU
#IamAMP #molpath #pathologists @mzehraordulu
1
8
58
This week's ISGyP LiVE webinar is led by no other than Dr. Anais Malpica who will continue on the topic of pathology of the female peritoneum. Join us! Thursday February 3, noon Eastern. https://t.co/uIM5YcAeHL
0
36
72
#TuesdayTrivia Which current day institution housed the first medical school in the US? 🩺 Go with your gut! @NicoleJacksonMD @smlungpathguy @NabilTabish @KMirza @cullen_lilley @CArnold_GI @MArnold_PedPath @pembeoltulu @JMGardnerMD @md_esposito @acweyand @acmoorephd @md_kyle
0
2
4
Please join us next Friday, January 28th, for a #MGHTwitterTakeover with @mlage! 🔬🐦🗣️ Maria Martinez-Lage, MD, is a Neuropathologist and the Associate @MGHPathology Program Director. Tune in to see what a typical day looks like for Maria! #NeuroPath #PathTwitter #MedTwitter
0
3
15
6 months of hard work and many sleepless nights led to this brainchild. Check out our grossing dictation book @AceMyPath. It's all here and in a user friendly format! @Hemepath_Doc @NupursharmaMD @Dr_Brian_Cox
https://t.co/0kLsHM5uqL
25
58
216
Our first Journal Club of 2022 covers recent articles on metastatic and mesothelial lesions. Moderated by @NatalieBanet. Join us TOMORROW January 19 at noon Eastern. https://t.co/uIM5YcAeHL
0
8
28
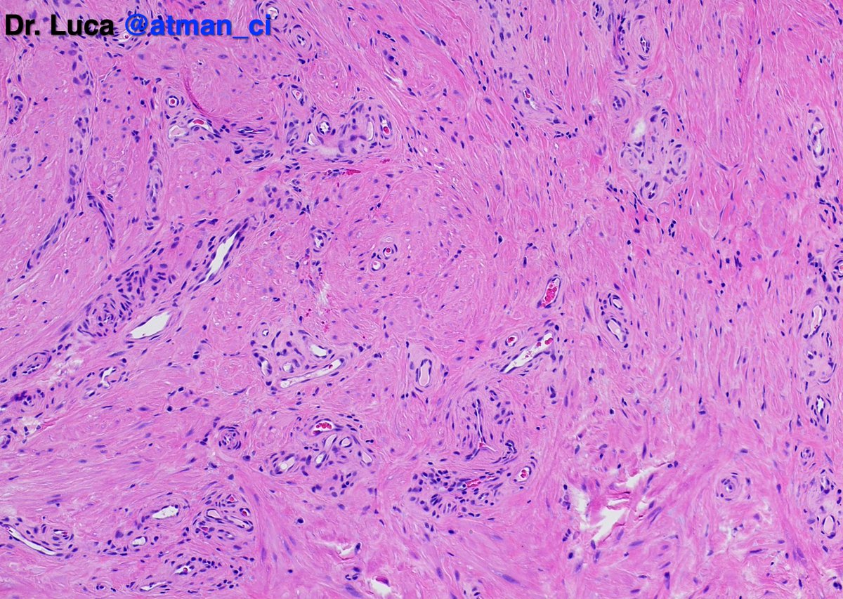
Two quick and easy #BSTPath friday cases. N°1: 65yF, 1cm nodule on the plantar surface of the left foot @PoloniaAntonio @DrGeeONE @kriyer68 @SumantaDas_7 @LoboAnandi @kis_lorand @seyma_buyucek @pembeoltulu @pathoblog @premcharles @DrBMcGinn @padmapathology1 @MdTushir #PathTwitter
10
31
62
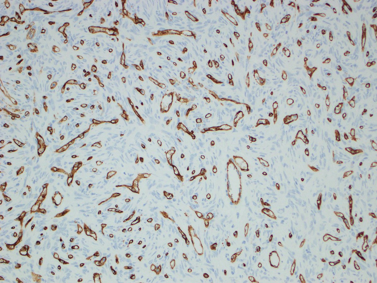
Because I'm feeling the SFT vibe, and its pretty, here is another CD34 negative but STAT6 positive example. #BSTpath @TristanRutland7 @ZHOUSEH @JLHornick @Cristina_VargAP @pepeheffernan @CarlosMonteag20 @JMGardnerMD @01sth02
6
46
114