NicoleJacksonMD Profile Banner
Nicole R. Jackson, MD, MPH, FASCP (she/her) Profile
Nicole R. Jackson, MD, MPH, FASCP (she/her)

@NicoleJacksonMD

Followers
5K
Following
46K
Media
744
Statuses
13K

Forensics/Autopsy c/o @DukeU @TulaneMDMPH @LSUHealthNO @UNMHSC. @UWMedicine’s Director of Autopsy & After Death Services via @uwlabmedpath (all views = my own)

Seattle, WA
Joined December 2018
Don't wanna be here? Send us removal request.
@NicoleJacksonMD
Nicole R. Jackson, MD, MPH, FASCP (she/her)
2 days
Incredibly humbled and honestly still in shock to leave Louisville as the recipient of the Randy Lee Hanzlick, M.D. Persistence Award. I have heard nothing but inspirational stories about the late Dr. Hanzlick. Honored barely begins to describe this moment. Thanks, @theNAME1966🙏🏾
6
7
22
@AJFMP
American Journal of Forensic Medicine & Pathology
5 hours
Available online now Fatal Disseminated Neonatal Herpes Simplex Virus Type 1... : The American Journal of Forensic Medicine and Pathology https://t.co/EXLRUSTwLj #4n6 #forensicpathology #pathology #pedipath
Tweet card summary image
journals.lww.com
An abstract is unavailable.
0
3
4
@smlungpathguy
Sanjay Mukhopadhyay
23 hours
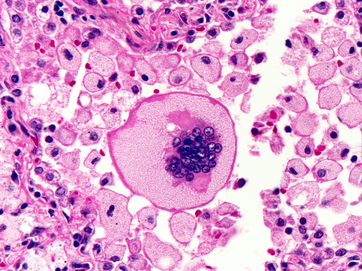
Cell of the day (foamy cytoplasm in a giant cell that's ingested lipid from the membranes of other cells)
4
17
66
@pathologistmag
The Pathologist
1 day
🚨 Prostate cancer screening is broken. PSA tests save lives — but outdated thresholds, false positives, and overdiagnosis are leaving men confused and at risk. Jason Hafron shares how biomarkers, MRI, and AI could finally fix the system. https://t.co/glYNrSIIXY #ProstateCancer
0
3
5
@wheeler244
Wheels (Sean)
6 days
An incredible sinking inversion layer while filming a colorful sunrise over Mt. Rainier from 130 miles away. I can’t wait to see more of these this season. #wawx #pnw #nature #sunrise
13
73
425
@sigmas
Sigma Sreedharan
5 days
Stormy #Seattle skies tonight…
5
54
592
@NicoleJacksonMD
Nicole R. Jackson, MD, MPH, FASCP (she/her)
5 days
Part 2 of our three part series assessing training in autopsy and forensic pathology. Read the results of part 1, Challenges in autopsy training for pathology residents: A survey of autopsy directors, here ➡️ https://t.co/x6TNQFumju #MedEd #autopsy #4n6
Tweet card summary image
pubmed.ncbi.nlm.nih.gov
Resident training in autopsy provides a foundation of knowledge and skills for forensic pathologists and anatomic pathologists, but obstacles are present in ensuring quality training. A survey of US...
@theNAME1966
NAME
5 days
Dr Kostelecky gave an informative presentation at NAME 2025 this morning which gave important introspection regarding forensic pathology fellowships and how to improve.
0
2
3
@MarinersONTap
Seattle Mariners ON Tap
9 days
All of Seattle is behind the Mariners 🥹
32
130
3K
@AJFMP
American Journal of Forensic Medicine & Pathology
10 days
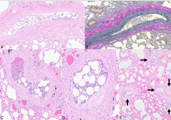
Available online now Illustrated Forensic Pathology An Autopsy Case of Pulmonary Bone Marrow Emboli With Unknown Etiology https://t.co/2CoNviZEnA #4n6 #forensicpathology #pathology #forensicmedicine #suddencardiacdeath
0
2
1
@cendeathsociety
Centre for Death and Society
9 days
⬇️ Our next CDAS seminar ⬇️ Dying in conflict: what can we learn from the aftermath of death in the wars in Gaza, Ukraine and South Sudan With Yumna Masarwa, Ph.D and Safa Suliman 13th November 5pm - 6pm GMT Hybrid, no charge. Join us. https://t.co/p8SHBpBOgZ
Tweet card summary image
eventbrite.co.uk
You are warmly invite to this panel discussion with Yumna Masarwa, Naomi Pendle, Isaac Hillary and Oliver Walton- online and in 3 East 3.5
0
1
2
@TheABPath
American Board of Pathology
11 days
Tomorrow is the day! Be sure to complete your questions before 11:59pm ET.
@TheABPath
American Board of Pathology
16 days
📣The Quarter 3 deadline for ABPath CertLink is October 14, 2025. Complete your questions at https://t.co/ArGczSK7AI
0
1
2
@TheABPath
American Board of Pathology
16 days
📣The Quarter 3 deadline for ABPath CertLink is October 14, 2025. Complete your questions at https://t.co/ArGczSK7AI
0
1
3
@pathologistmag
The Pathologist
25 days
✨ Image of the Month: A “starry night” captured in polarized urate crystals from a gout patient’s joint. Shared by Duncan Sudarshan, Assistant Professor at UT San Antonio. 🔗 See the full image: https://t.co/evwptE0UG2 #Pathology #Gout #MedicalImaging #Histology
0
2
6
@PathDocBoston
Peter Sadow, MD, PhD
24 days
📣Must-read📣for any #pathologists who practice or have #ENTPath as part of their practice -- DOWNLOAD for FREE -- #CAPHPV testing guidelines #HeadNeckPath @HeadNeckPathol https://t.co/pcGh4MfKwR @MGBpathology @bfaquin #HPV #Oropharynx #Cancer
0
14
46
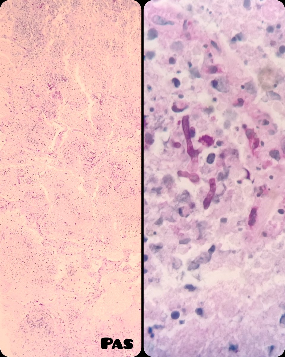
@duckhuca
Héctor-Enrique Torres-Rivas, MD
25 days
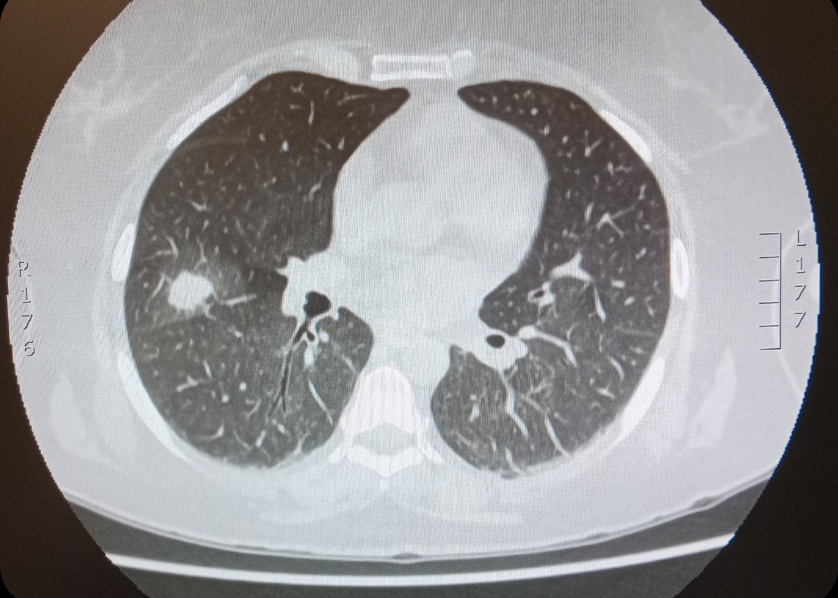
Medical record: 🍷 Hepatitis ➕ ascites. 🫁 Lung nodule. Suspicious for malignancy. 💉 Core needle biopsy. 🔬 Fungal infection - Mycetoma. #LungPath #PulmPath #PathX
1
8
37
@The_AAFS
American Academy of Forensic Sciences
25 days
Forensic students and professionals who are new to their field to showcase their research or field work are invited to present a YFSF Poster at #AAFS2026! The deadline of October 1 is approaching. Learn more:
Tweet card summary image
aafs.org
0
3
2
@TheABPath
American Board of Pathology
24 days
Exam questions for board certification are developed through a rigorous, collaborative process led by expert pathologists committed to maintaining fairness and quality. By Roseann I. Wu, MD, MPH, Ritu Nayar, MD, and Gary W. Procop, MD, MS, MEd. #pathboards https://t.co/JMvFKDvoiv
0
5
18
@ASCP_Chicago
ASCP
25 days
ASCP Pathologist Members indicated their most pressing concerns on the #ASCPHotTopicsSurvey and the results are in! Learn more about our plans to address those hot topics here: https://t.co/vXFZHpk9bw
0
1
6
@KristinLRaught
Kristin L. Raught Photography
27 days
The light was interesting at sunset tonight.
10
21
254
@AJFMP
American Journal of Forensic Medicine & Pathology
27 days
Available online now - ahead of print Study of Arachnoid Granulations and Their Pits in Head... : The American Journal of Forensic Medicine and Pathology https://t.co/qDVniO3Wsu #4n6 #forensicpathology #pathology #neuropathology
Tweet card summary image
journals.lww.com
lved autopsies of 130 bodies with head injuries and 40 without head injuries. The AGs and their respective pits were examined for morphology, types, injuries, and histology. Injuries in AGs and their...
0
2
4