slusagar Profile Banner
Ankur Sangoi Profile
Ankur Sangoi

@slusagar

Followers
16K
Following
6K
Media
6K
Statuses
16K

#GUpath Clinical Professor of🔬Pathology. Stay ready, so you don’t have to get ready!

Stanford, CA
Joined April 2017
Don't wanna be here? Send us removal request.
@slusagar
Ankur Sangoi
9 years
Was asked to separately/individually re-post this meme...
12
140
515
@patholojenMD
Ngoc-Nhu Jennifer Nguyen
8 hours
Excited to see that our paper was selected as the Editor’s Choice for the current issue in the Journal of Clinical Pathology!
2
2
7
@porterstansb
Porter Stansberry
2 days
If you're currently receiving Social Security, or if you're under 55 and you expect to ever receive Social Security, please read and re-post this. There are critical facts about the system and its returns, that you MUST understand. This is not a screed that's for or against.
109
159
746
@slusagar
Ankur Sangoi
7 hours
#ASCP2025 #GUpath tomorrow! see many of you then!
0
2
7
@slusagar
Ankur Sangoi
14 hours
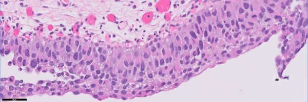
#GUpath #beautyinb9 mimic of prostate cancer on bx: 🔬basal cell hyperplasia
0
4
25
@slusagar
Ankur Sangoi
14 hours
@ariabdullah1978
Ari M
2 days
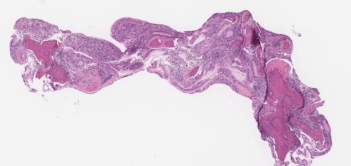
34 year old male with a tracheal mass, throw your dice and guess the diagnosis. #PathTwitter #PathX
0
0
4
@FTMO_com
FTMO.com
1 month
FTMO Verified prop traders walk their path. Rise now and start your FTMO Challenge!
11
24
128
@slusagar
Ankur Sangoi
15 hours
(reading path report) …”and the diagnosis confirmed by vimentin immunostain performed” #pathmemes
2
0
12
@katcollmd
Katrina Collins, MD || Pathologist
1 day
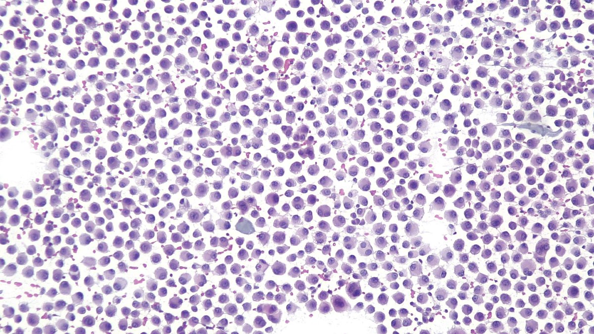
#macrovsmicro testicular pain and flank pain, STM: LDH 633, AFP 463, β-hCG 65, US: two hypoechoic masses (0.9 cm, 1.0 cm), CT: bulky necrotic RP nodes radical orchiectomy, 1.6 cm white-gray, multinodular solid/cystic mass with surrounding fibrosis extending to the rete testis
1
8
31
@behtashg
Behtash
2 days
Excited to co-present a Short Course at #ASCP2025 in Atlanta! Nov 19 | 4–5 PM EST Topic: From Slide to Genome: Integrated Perspective on Genitourinary Neoplasms Bridging histopathology + genomics for better diagnostics & precision care. #Pathology #PathTwitter #gupath
0
5
20
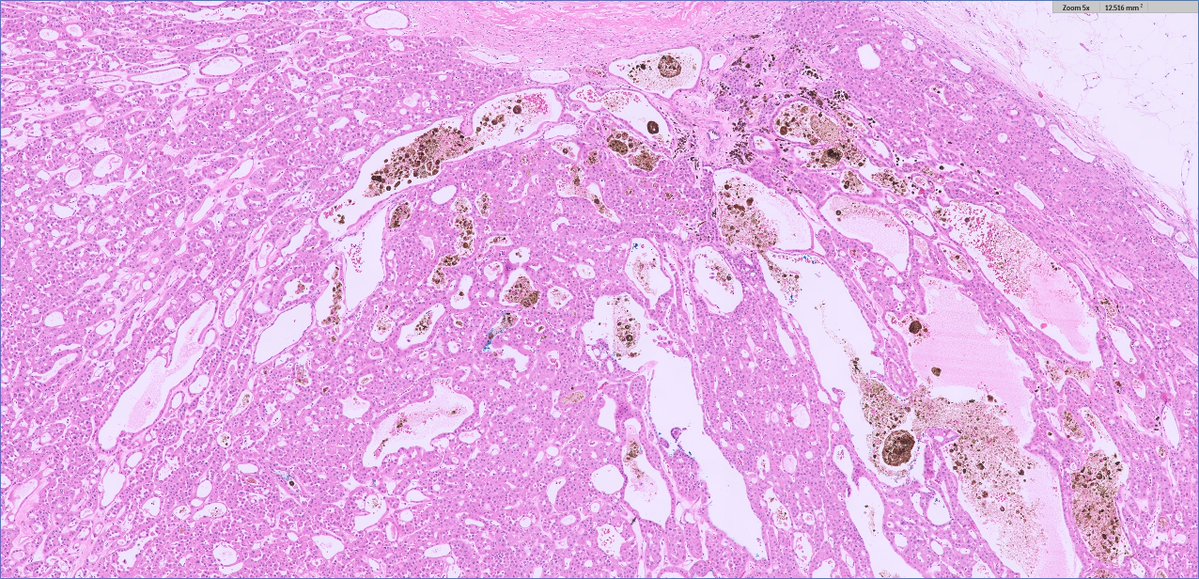
@slusagar
Ankur Sangoi
2 days
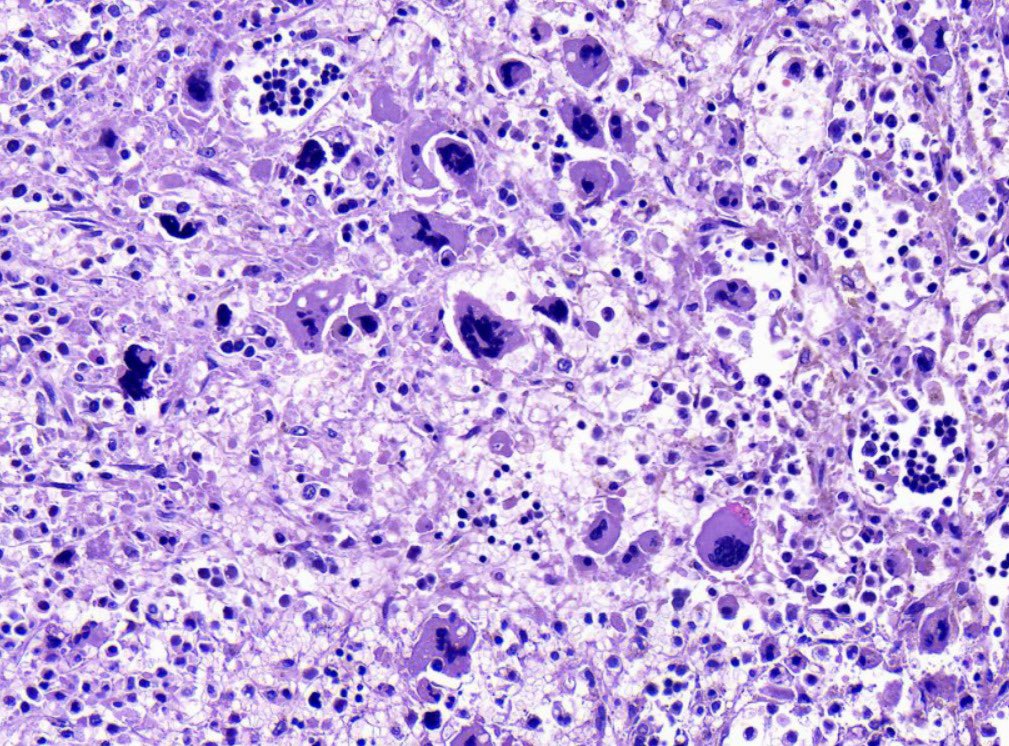
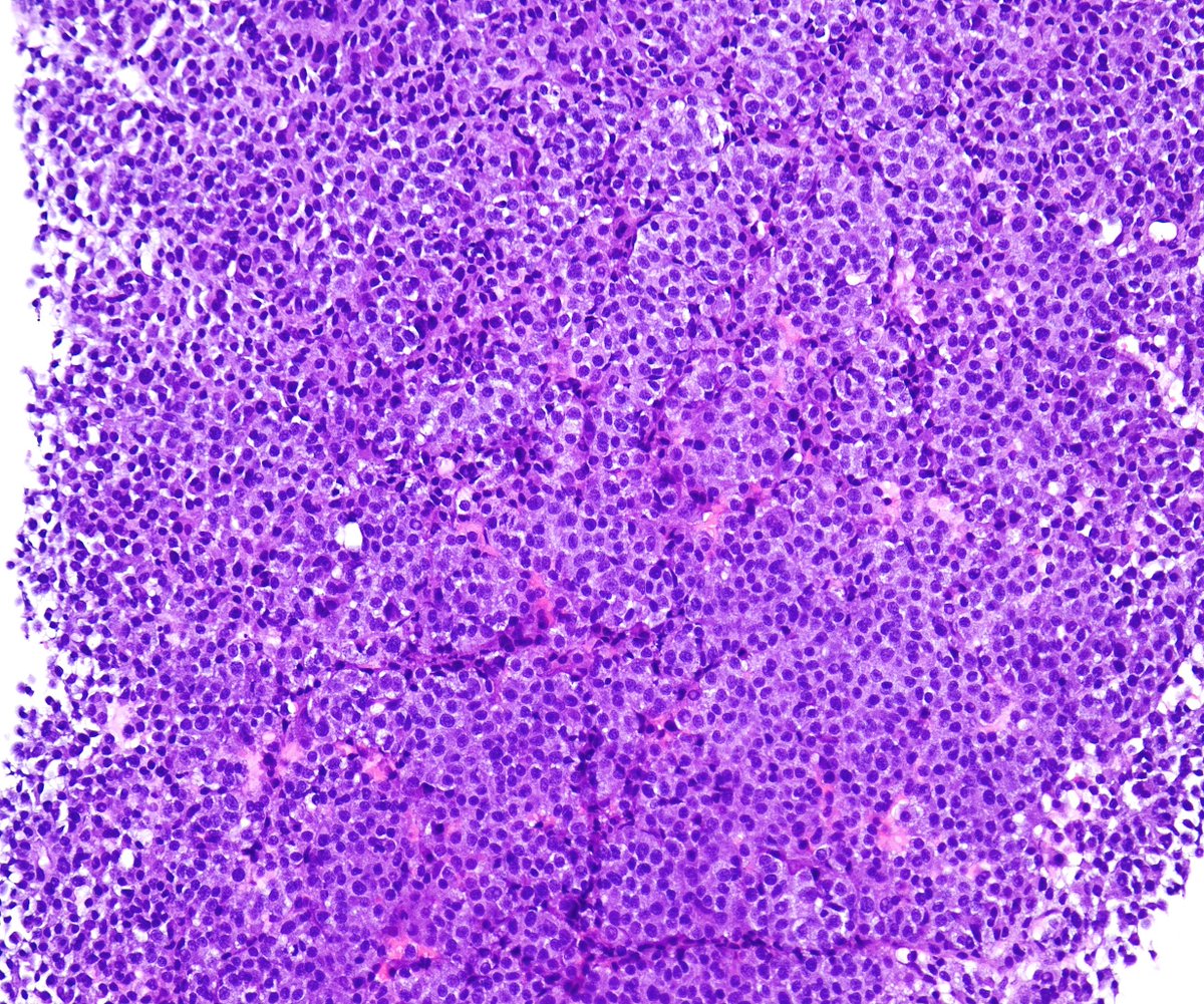
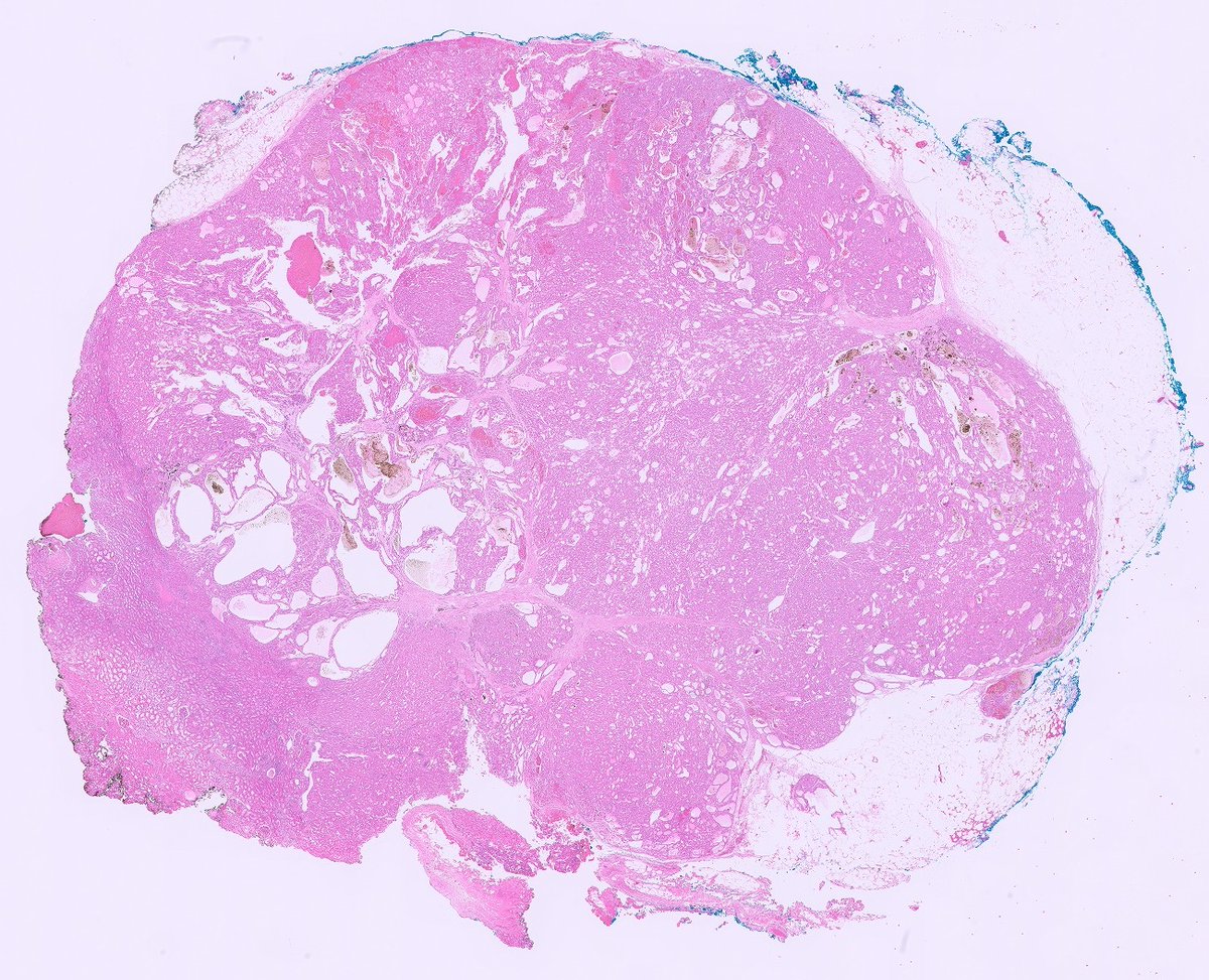
#GUpath nephrectomy chromophobe RCC 🔬features of so-called "pigmented microcytic" pattern chromoRCC and/or "eosinophilic" pattern chromoRCC
2
23
68
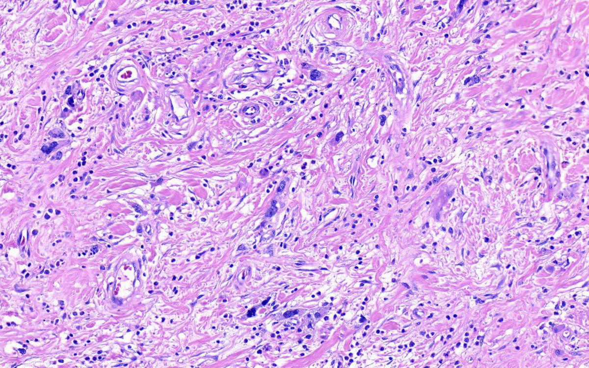
@slusagar
Ankur Sangoi
2 days
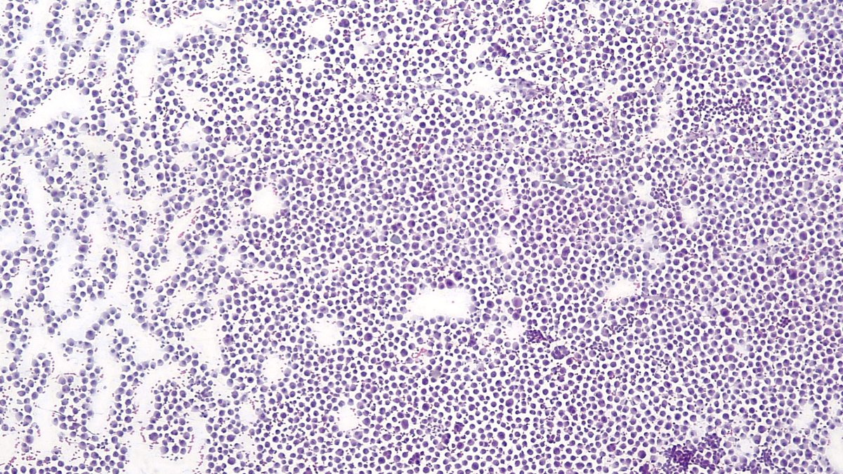
hey listen don’t feel bad… a lotta people forget about cat scratch disease among the DDx of granulomatous lymphadenitis #pathmemes #hemepath
3
0
20
@RunjanChetty
Runjan Chetty
2 days
Gastric ulcer. Variation on a cast-iron stomach
2
11
27
@mdlozanoe
Lola Lozano
9 days
"Unwanted uniformity" Pleural fluid. Metastatic lung adenocarcinoma. TTF-1 nuclear immunoreactivity. #cytopath #ProudMIAC @IACytology @SEAP_IAP @SECitologia @EfcsYoung @mtsiddi @aakasharmand @ESP_Pathology @PapSociety @Histopatolomon @asocolpat
1
23
55
@capath
Ca Pathologists
3 days
⏰ Last call: Pre-register by Nov 21 for CSP 2025 in Long Beach! Register: https://t.co/C5Wkt8P3tV #CSP2025 #Pathology
0
1
0
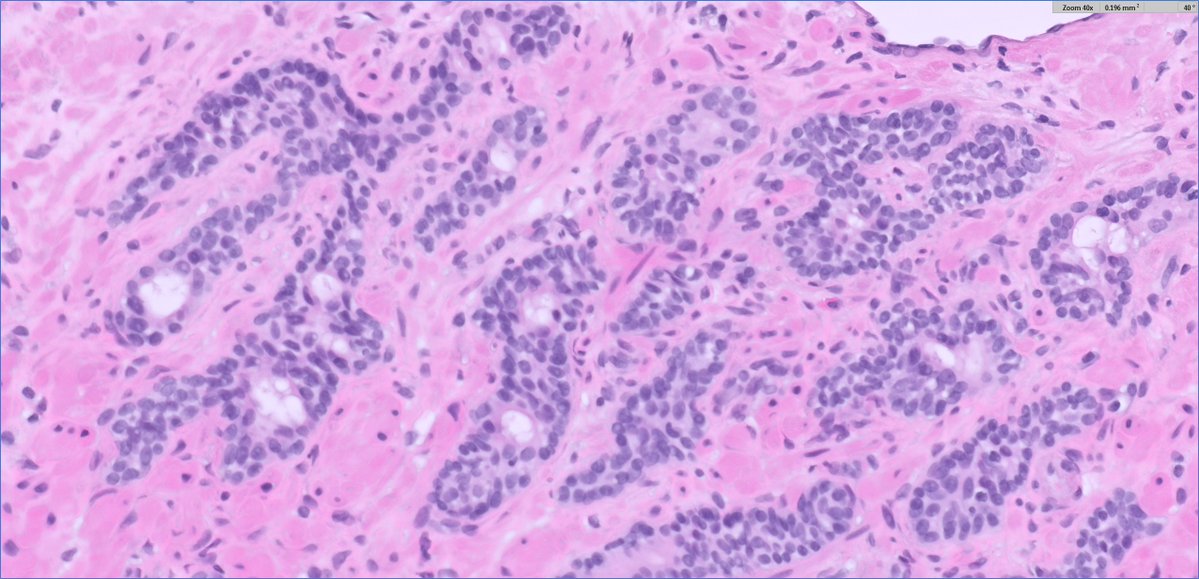
@slusagar
Ankur Sangoi
4 days
0
10
66
@DrMarjorieDavid
Marjorie David MD MS
2 years
Did you know there are 5 molecular alterations that have targeted therapy FDA approved in all solid tumors? 1Tumor mutation burden high (TMB-high) 2Microsatellite instability (MSI-high) 3NTRK1, 2 or 3 fusions 4BRAF p.V600E  5RET fusions #AMPTutorials (1/2)
1
7
28
@MirunaPopescu13
Miruna Popescu, MD
5 days
Middle-aged patient with a mass in a cervical vertebra. There is a hx of sarcoma. This was not my own case, but I was fortunate enough to see it and learn from it, hence the reason I'm sharing. Morphology is 🔑 #IHCPath provided is PCK. What's your diagnosis? #PathTwitter
6
21
61
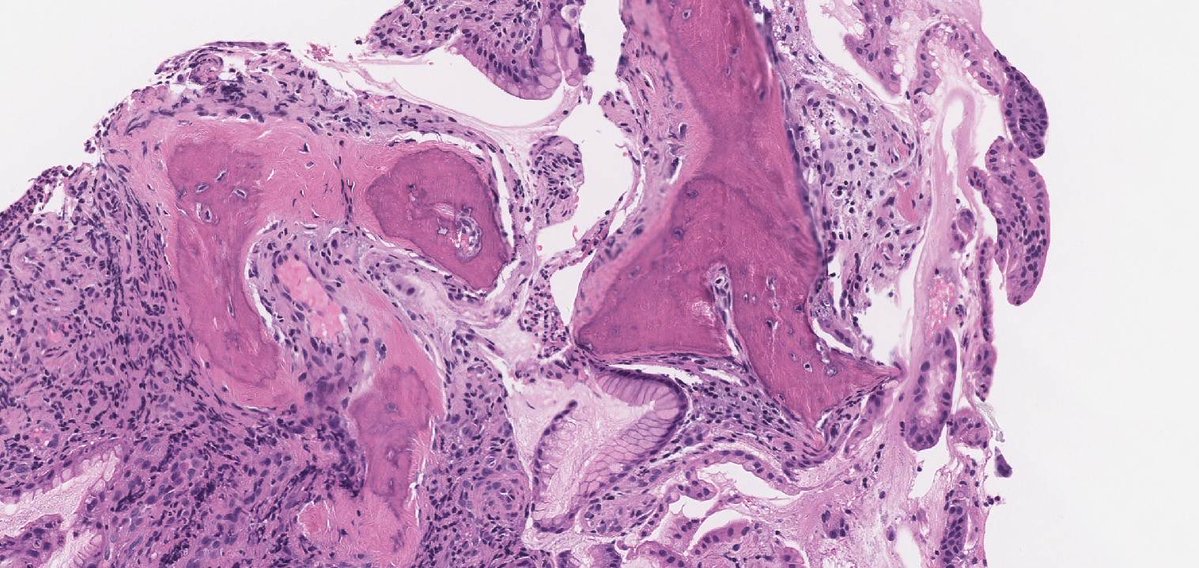
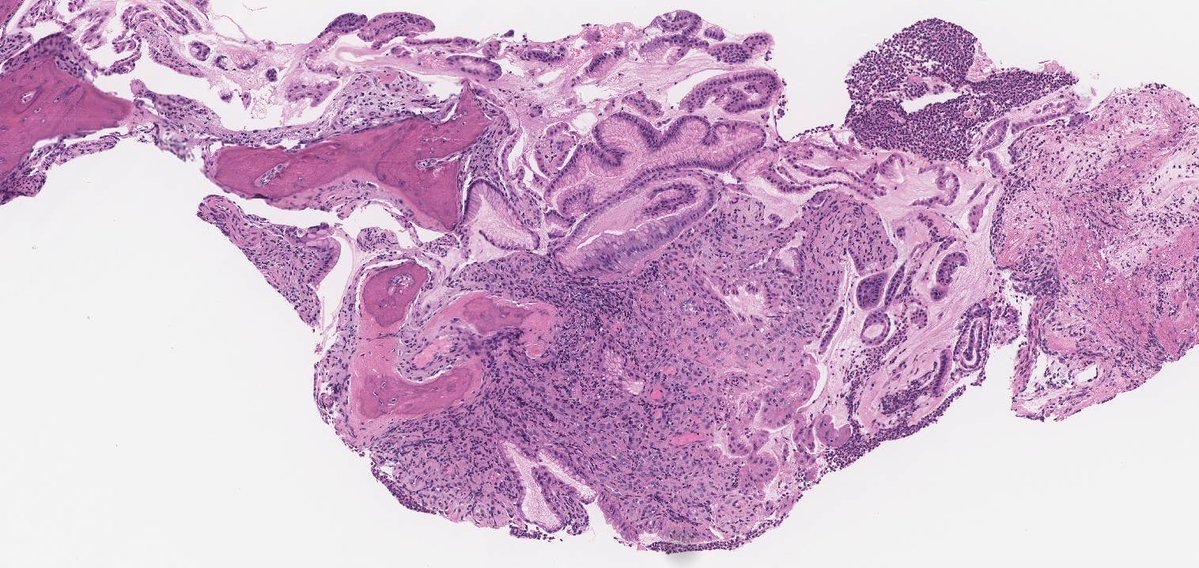
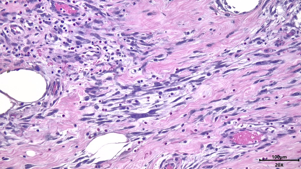
@slusagar
Ankur Sangoi
4 days
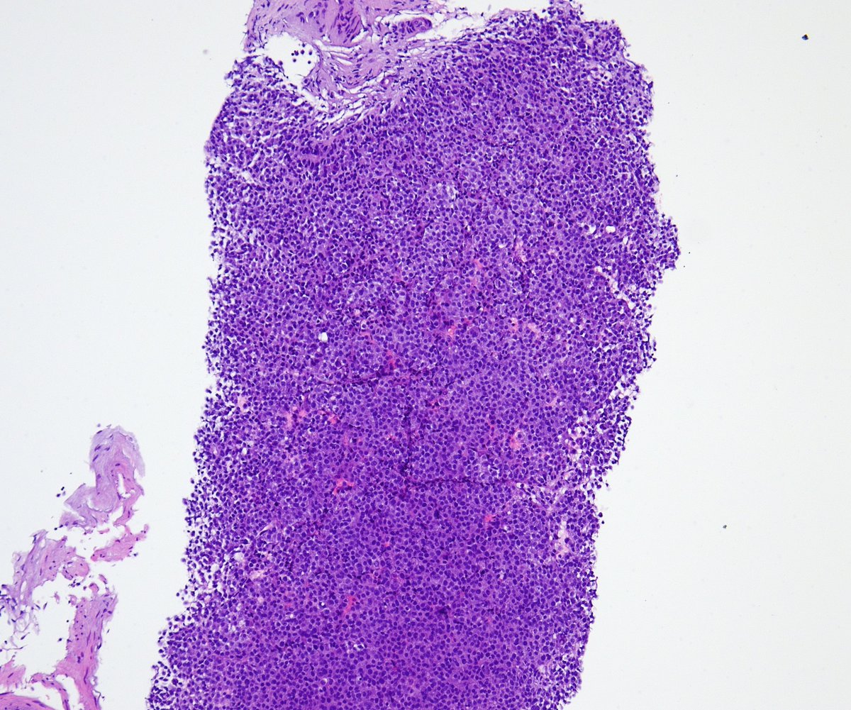
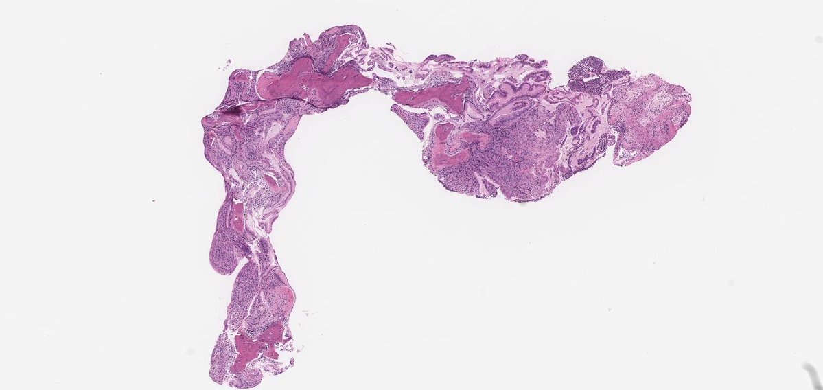
DOG1 negative GIST??? lemme see for myself🔬
16
52
364
@slusagar
Ankur Sangoi
4 days
come join @Andres_M_Acosta and I for an amazing 2-day virtual multidisciplinary ##GUpath sesh on prostate & kidney this upcoming Monday/Tuesday! amazing speaker line-up! https://t.co/pFGFwBHaaB
0
7
20
@VickeryJasmine
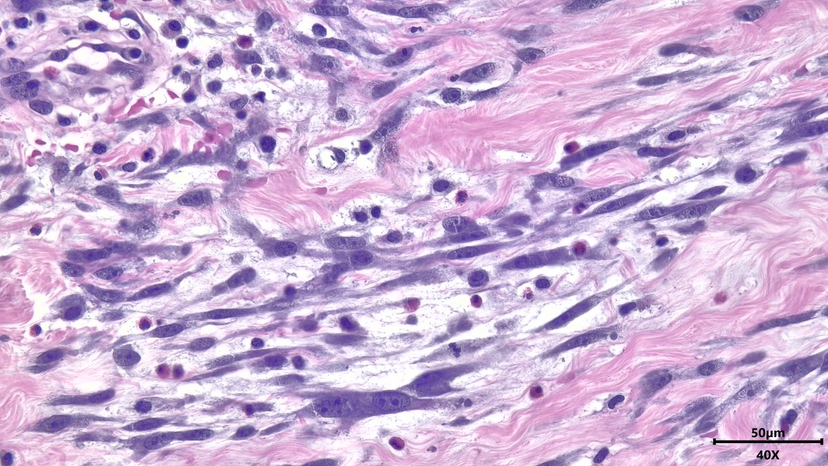
Jasmine Vickery
7 days
Too close to diagnose? Let me know how you all feel about these spindle cells in the breast #breastpath #PathX #PathTwitter #pathology #pathologists
7
15
40
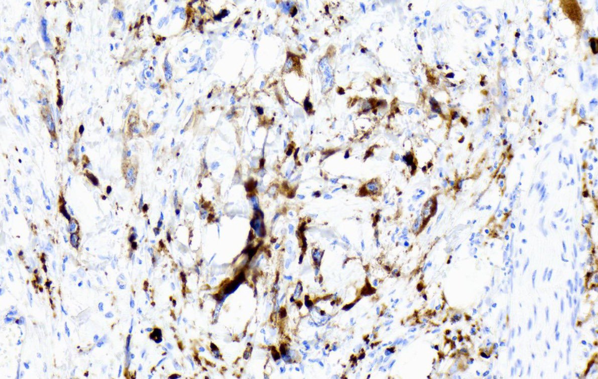
@FelipePatologia
Felipe D'Almeida
7 days
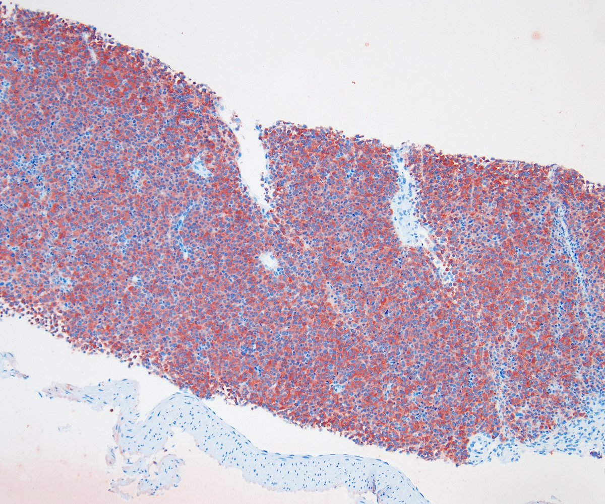
67 male with soft tissue masses, including paratesticular (1 & 2) and spleen (3) It looks like Liposarcoma but actually he had Primary Myelofibrosis for a while IHC is CD61 This is a Sclerosing extramedullay hematopoietic tumor, rare complication of Myeloproliferative neoplasms
4
25
55