
Prem Charles
@premcharles
Followers
3K
Following
54K
Media
77
Statuses
33K
pathologist,Tamilnadu, India.
erode, tamil nadu, india
Joined February 2012
Organ and diagnosis? Colleague's case. Easier with a history, of course. #pathology #PathTwitter
12
17
42
0
20
72
அரசு ஆவணங்கள் தொலைஞ்சு போச்சா?! இனி No டென்ஷன்! #GovtCertificate #EPettagam #Missing #NewsUpdate #Oneindia #OneindiaTamil
12
255
892
UPI: தவறான எண்ணுக்கு பணம் அனுப்பிட்டீங்களா? எளிமையாக திரும்ப பெறுவது எப்படி? கூகுள் பே, போன் பே அல்லது பேடிஎம் போன்ற யுபிஐ பயன்பாடுகள் மூலம் தவறான ஐடிக்கு பணம் அனுப்பப்பட்டால், புகாரைப் பதிவு செய்ய இந்த வழிகளைப் பின்பற்ற வேண்டும். முதலில், நீங்கள் பயன்படுத்திய யுபிஐ பயன்பாட்டு
3
222
575
Apollo doctor recommends the best exercise category to lower blood pressure effectively. His top choice https://t.co/xx7OtSX4ab An informative article published in the Economic Times has cited my recent post on this topic. @EconomicTimes @ETPanache
economictimes.indiatimes.com
Dr. Sudhir Kumar, senior neurologist at Apollo Hospitals, highlighted the most effective exercises for lowering blood pressure. Among various options—like aerobic exercises, yoga, and resistance...
1
15
75
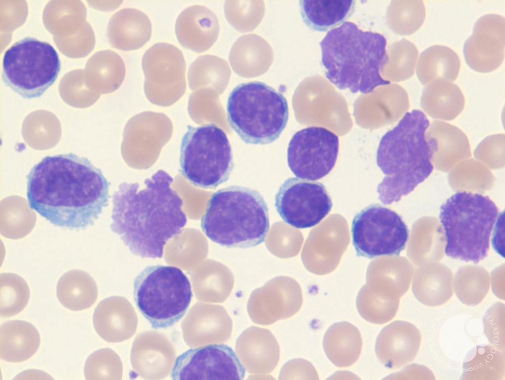
A 66 yr old, male, is referred to a #Hematologist for ⤴️ white cell count 😳 He feels great and walks about 2 km a day. You see 👇🏽 on the blood smear! Ddx? Management? 📸 @ASH_hematology image bank
19
10
97
Thank you doc! You hv inspired so many doctors towards ethical practice and saved so many people from unscientific treatments
Make this your must read for the day. We need to celebrate doctors like her. This is the story of Dr. Sivaranjani Santosh, a paediatrician from Hyderabad, who fought for 8 years against sugar-rich drinks falsely marketed as ORS. Her persistence led to FSSAI’s landmark order,
38
489
5K
This is now live on YT. Appreciate your feedback. Hope it helps🙏 https://t.co/zF0nAdsGuu
0
1
8
Finding morphologic beauty in a simple cytologic sample of lung lavage.
9
85
411
5 Pearls on PPIs... *The absolute risk of low magnesium individual patients is likely small, but the association is convincing and PPI’s even carry an FDA warning regarding hypomagnesemia. https://t.co/lj7HQS8WPA
5
108
478
It would be rather uncommon to see this combination - "Urinary crystals (likely urate) and numerous Trichomonas Vaginalis" (some marked as TV). This voided urine was contaminated by the patient's GYN tract and hence the two findings together.
5
20
91
🎉 26 Years of an Incredible Journey! 🎉 Today, I'm filled with gratitude as I reflect on 26 years of learning, leading, and transforming alongside some of the brightest minds in technology and business. From managing a $400M+ technology portfolio to leading cross-functional
15
6
103
Dear med students and residents - feel free to check out this free #MedEd app and let me know what you think!
Dear Keith @drkeithsiau Makindo has come on leaps and bounds since my last push and now has a large question bank. If you could share with your followers....
13
24
107
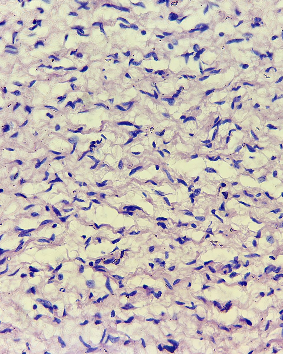
Pedunculated nodule on the upper back Type of spindle cell? Diagnosis? #BSTPath #Surgpath #PathX #Pathtwitter #Pathresidents #Pathology
9
11
67
Why is Furosemide given slowly through IV injection.? 🤔
9
32
288
The "sneaky" pale cells, so easy to be missed. High-grade Squamous Intraepithelial Lesion (HSIL) in an anal PAP test. (ThinPrep)
0
33
118