mlage Profile Banner
Maria Martinez-Lage, MD (she/her/ella) πŸ³οΈβ€πŸŒˆ Profile
Maria Martinez-Lage, MD (she/her/ella) πŸ³οΈβ€πŸŒˆ

@mlage

Followers
4K
Following
24K
Media
225
Statuses
5K

Neuropathologist, Assistant Prof, Program Director @mgbpathology Trained @PennPathLabMed. From Pamplona, Spain #Neuropath #Pathology #antiRacism

Massachusetts, USA
Joined January 2008
Don't wanna be here? Send us removal request.
@mlage
Maria Martinez-Lage, MD (she/her/ella) πŸ³οΈβ€πŸŒˆ
9 hours
Happening now!! Come an learn some neuropathology from a fantastic speaker #MedEd #neuropathology
@neuropathology
AANP
10 hours
Join us today at 12 pm ET for the AANP Teaching Rounds. Dr. Marc Del Bigio @umanitoba will discuss metabolic storage disorders of the nervous system! https://t.co/NEcBC9bmKz
0
0
1
@neuropathology
AANP
10 hours
Join us today at 12 pm ET for the AANP Teaching Rounds. Dr. Marc Del Bigio @umanitoba will discuss metabolic storage disorders of the nervous system! https://t.co/NEcBC9bmKz
0
2
3
@bitar_mireille
Mireille Bitar, M.D.
10 days
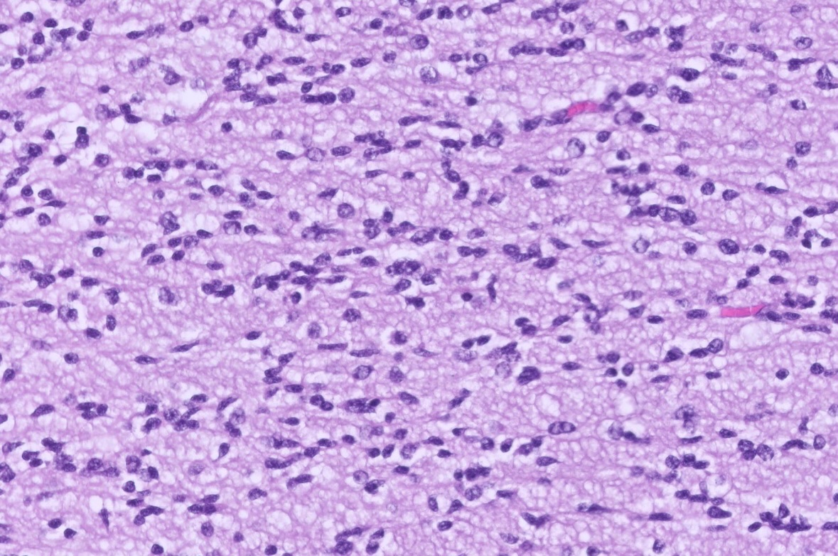
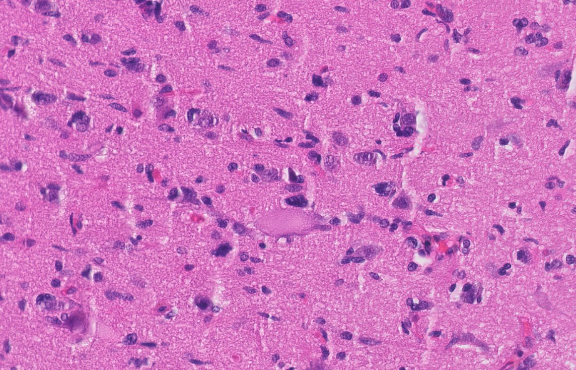
Posterior fossa 4th ventricular brain mass in a young patient, what molecular alterations are likely detected in this lesion? πŸ€” #pedipath #neuropath #pathology
4
10
62
@CraigHorbinski
Craig Horbinski
6 days
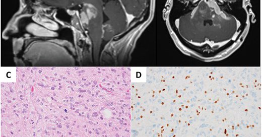
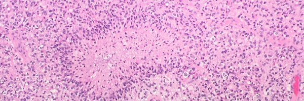
Mass sitting next to the cerebellum. Diagnosis? #pathology #neuropath #pathtwitter
3
19
62
@neuropathology
AANP
6 days
19w6d fetal brain. Is this too close to diagnose? #neuropath #neuropathology #PathTwitter #pathx #pathology
1
5
6
@FelipePatologia
Felipe D'Almeida
1 month
Not all Diffuse hemispheric gliomas, H3 G34-mutant are highly cellular This one shows a diffuse pattern, with scattered atypical cells positive for p53, with ATRX loss and positivity for H3 G34R antibody It is a pediatric-type high grade glioma of adolescents and young adults
0
12
29
@PeterKobalka
Peter Kobalka
24 days
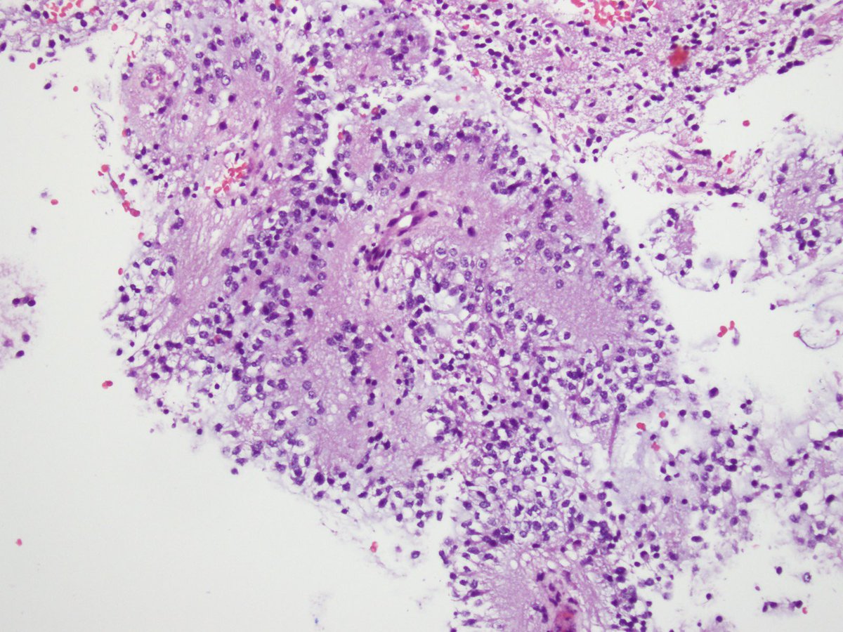
What is this? Glioma in a CSF! This can be challenging to recognize, as they look nothing like their appearance in surgical specimens! #cytology #cytopath #cytopathology #neuropath #neuropathology #pathx #pathtwitter
0
2
8
@AbhijitSurgPath
Abhijit Das, MD
2 months
Diffuse gliomas - basic facts for residents #whocnstumors #makesurgipatheasy
3
141
477
@FRodriguezNP
Fausto Rodriguez
2 months
@ARP_Press
ARP Press
2 months
The next edition of Tumors of the Central Nervous System is here! Impactful new discoveries, evolving diagnostic classifications, and rapid technical advances have reshaped the field. Having this essential atlas is key for supporting every practicing diagnostic pathologist.
1
12
25
@PeterKobalka
Peter Kobalka
3 months
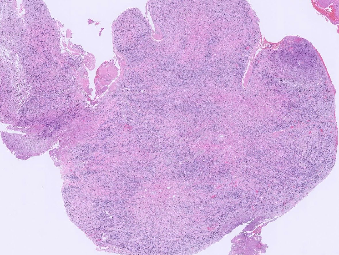
What is this thing? 65M meningeal mass. #pathtwitter #pathx #neuropath #neuropathology #cnspathology
7
16
40
@Kenneth_Aldape
Kenneth Aldape, MD
3 months
Methylation Case of the Week: 37 year old female patient with a pineal region tumor. Please Take your time Pondering the gene and Region of the case for the diagnosis. bonus question: can you PreTENd to guess the mutant gene in this case? #Neuropath #Pathology #Pathtwitter
4
14
48
@solcosao
Marco A Rdgz Florido
3 months
ATRX loss in IDH mutant astrocytoma #neuropath
0
4
20
@MGBpathology
Mass General Brigham Pathology
3 months
πŸš¨πŸ”¬ Our favorite week in Surg Path is back! Join MGH & Harvard Med for the 46th Current Concepts in Surgical Pathologyβ€”live, virtual, and packed with practical pearls. Real cases, lively Q&A, and faculty you know & love. Save your seat πŸ‘‡
3
17
40
@solcosao
Marco A Rdgz Florido
3 months
*spinal #ependymoma *middle age male *NF2 mutation *perivascular pseudorosettes *grade 2 *generally indolent at this localization #neuropath
1
11
34
@FelipePatologia
Felipe D'Almeida
3 months
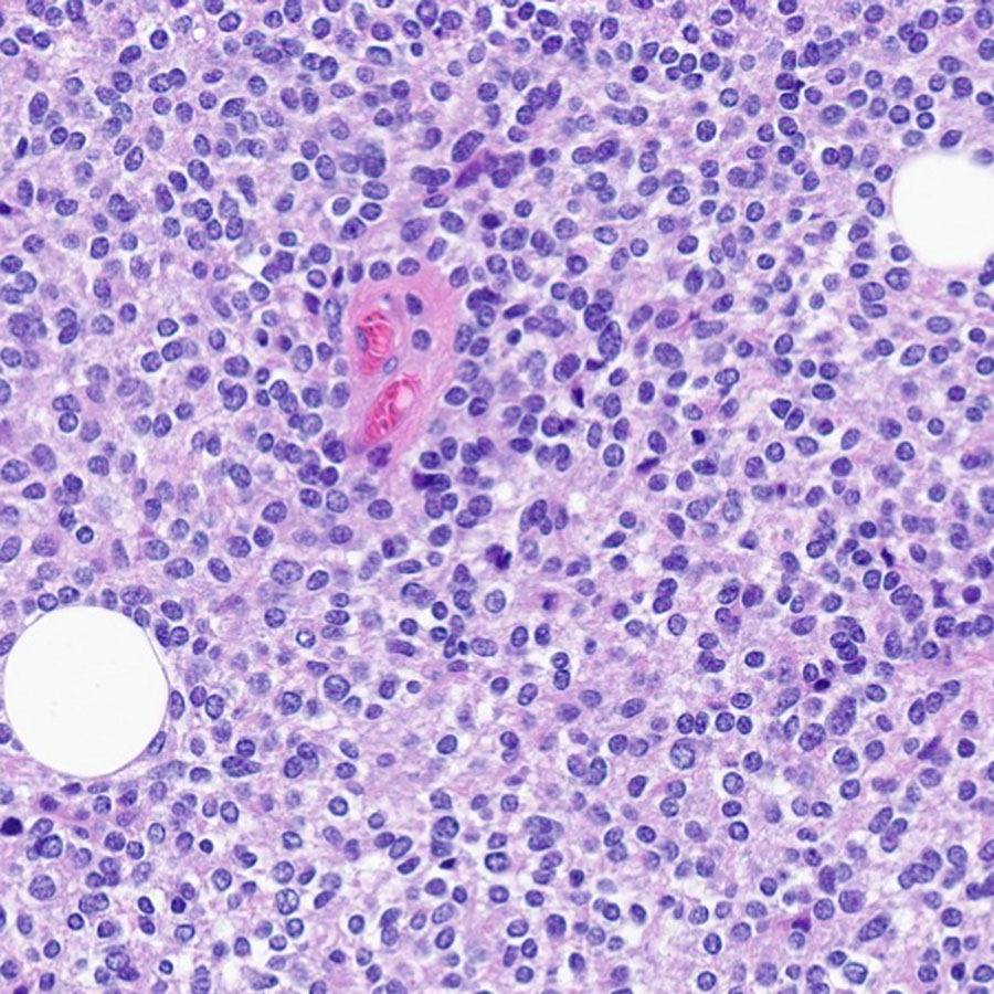
Floating neurons... What is the diagnosis? #NeuroPath #PathX
10
23
99
@CraigHorbinski
Craig Horbinski
3 months
What subtype of meningioma is this? (If you know, keep it to yourself, it's a SECRET.) #pathology #neuropath #PathTwitter
9
22
118
@Path_SIG
Virtual Pathology Student Interest Group
4 months
#pathmatch26 RESOURCE ALERT! Introducing this year's Pathology Residency Open House calendar 🀩. At https://t.co/9wUYT6eGuw, you'll find our sheet with information on open house events, including a calendar you can add to your personal google account! Continually updated ✨
2
22
42
@mlage
Maria Martinez-Lage, MD (she/her/ella) πŸ³οΈβ€πŸŒˆ
4 months
Come join us! #path2path #pathmatch2026
@MGBpathology
Mass General Brigham Pathology
4 months
🚨 MGB Pathology Residency Open House🚨 πŸ‘©β€πŸ”¬πŸ‘¨β€πŸ”¬ Want to join our big pathology family? Meet our leadership & residents, learn about our program, and get your questions answered. πŸ“… Aug 13 @ 7 PM EST πŸ“… Aug 20 @ 7 PM EST πŸ“Œ Register via the QR codes below! #PathTwitter #Match2026
0
3
23
@NeuropathClinic
My Neuropath News
4 months
IDH-wildtype astrocytoma with FH mutation, epigenetic similarity to IDH-mutant astrocytoma, and hypermethylation of CDKN2A arising in the brainstem #neuropath https://t.co/c9RXYuL5rT
Tweet card summary image
academic.oup.com
To the Editor:
0
14
34
@JaredAhrendsen
Jared T. Ahrendsen MD, PhD (AP/NP/FP)
4 months
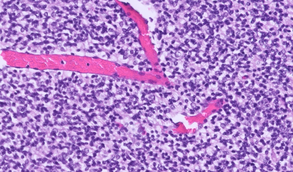
You don’t need special stains or fancy molecular testing to diagnose this #brain #tumor, located in the fourth ventricle. Flex your histology skills and tell me what you see! @NU_Pathology #neuropath πŸ§ πŸ”¬
7
27
110