JojoPathAdvntrs Profile Banner
Elizabeth Kertowidjojo, MD, PhD, MPH Profile
Elizabeth Kertowidjojo, MD, PhD, MPH

@JojoPathAdvntrs

Followers
2K
Following
533
Media
97
Statuses
273

Gyne Pathologist and Residency Program Director @UChicagoPath

Chicago, IL
Joined July 2018
Don't wanna be here? Send us removal request.
@JojoPathAdvntrs
Elizabeth Kertowidjojo, MD, PhD, MPH
4 months
So honored to be one of ASCP 40 Under Forty (right before my 40th birthday! 😆) Thank you to everyone who has supported my journey. ❤️ It takes a village!
@ASCP_Chicago
ASCP
4 months
Congratulations to the 2025 ASCP 40 Under Forty honorees! This prestigious award recognizes the achievements and innovative contributions of leading laboratory professionals and residents. To learn more about the honorees visit https://t.co/gcPyfto3fy. Cast your vote for the Top
3
0
15
@JojoPathAdvntrs
Elizabeth Kertowidjojo, MD, PhD, MPH
4 months
Love your ovary! #pathology #gynpath
1
2
22
@UChicagoPath
University of Chicago Pathology
9 months
We are thrilled to welcome our 4 incoming PGY1 residents Welcome to Chicagooooo! #pathmatch25
1
16
130
@JParkergyo
Jessica Parker, MD, FACOG, FACS
9 months
Interested in learning more about #gyncancer? Tune in to next week's expert series on risk factors and treatment for ovarian and uterine cancers @IUCancerCenter
0
2
4
@JojoPathAdvntrs
Elizabeth Kertowidjojo, MD, PhD, MPH
1 year
Don’t let somebody else make the decision for you.
0
0
2
@JojoPathAdvntrs
Elizabeth Kertowidjojo, MD, PhD, MPH
1 year
Taking some time to breathe. Nothing beats a road trip during the #goldenhour #destinationsunset #nofilter
3
0
13
@JojoPathAdvntrs
Elizabeth Kertowidjojo, MD, PhD, MPH
1 year
Trying to expand my social media game and join the cool kids at Insta. Follow our new Instagram to learn more about our Residency Program and the amazing people in it! Handle: UChicagoPathResidents https://t.co/VO9CKjcHEm… #pathresidents #residentlife #pathology
1
0
2
@JojoPathAdvntrs
Elizabeth Kertowidjojo, MD, PhD, MPH
1 year
Reconnecting with those who had such a profound impact in my life and career is the number one reason I go to conferences. Never forget the guides you encounter throughout your journey, and take some time to keep in touch! #ascp2024 @ASCP_Chicago
0
0
9
@PathologyPoon
Rachel Poon, MHA, MS, PA(ASCP)
1 year
@PathAssist is at the @apcprods meeting! Come speak with us about Pathologists’ Assistants!
0
1
5
@JojoPathAdvntrs
Elizabeth Kertowidjojo, MD, PhD, MPH
2 years
H&E in the wild. Photographs of flowers have always been one of my favorite things. Now that spring is here, show me some of yours!! #floralart #springtime
1
1
29
@JojoPathAdvntrs
Elizabeth Kertowidjojo, MD, PhD, MPH
2 years
Sometimes you just have to unplug that microscope and take a day for yourself #selfcare #reconnect #avoidburnout
4
0
21
@JojoPathAdvntrs
Elizabeth Kertowidjojo, MD, PhD, MPH
2 years
Putting my inking skills to use. The little one was not impressed.
0
0
15
@JojoPathAdvntrs
Elizabeth Kertowidjojo, MD, PhD, MPH
2 years
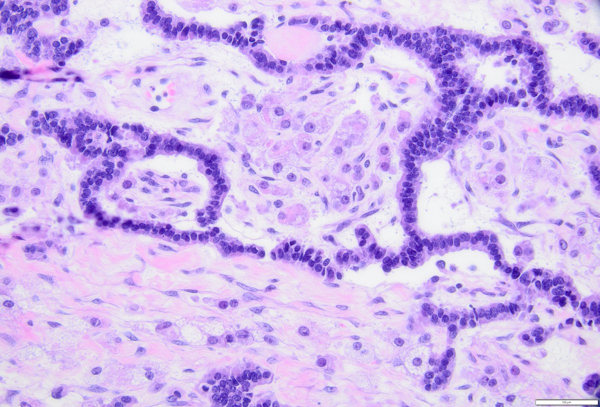
@Dramanyhassany1 I thought I had a beautiful example of SLCT with heterologous mucinous differentiation. The nuclear features were not textbook for neuroendocrine, and those luteinized cells really fooled me! But discovering the unexpected is one of the perks of pathology. Truth will out!
1
0
11
@JojoPathAdvntrs
Elizabeth Kertowidjojo, MD, PhD, MPH
2 years
SF-1 is positive in the clusters of luteinized cells, but negative in the tumor. In contrast, synaptophysin is diffusely positive in the tumor. On further sectioning, other teratomatous elements are present. @Dramanyhassany1 was right all along! Carcinoid arising from a teratoma.
1
3
27
@JojoPathAdvntrs
Elizabeth Kertowidjojo, MD, PhD, MPH
2 years
The permanent sections show the following. Do these change your differential?
4
1
23
@JojoPathAdvntrs
Elizabeth Kertowidjojo, MD, PhD, MPH
2 years
Great differentials so far. Permanent sections coming up later today!
0
0
2
@JojoPathAdvntrs
Elizabeth Kertowidjojo, MD, PhD, MPH
2 years
So honored to share my experiences with ⁦@uchicagomstp
0
0
3
@JojoPathAdvntrs
Elizabeth Kertowidjojo, MD, PhD, MPH
2 years
Back from #USCAP2024 to bring you a #gynfrozensection on this 60yo F with a 12 cm pelvic mass. #gynpath #gynepath #pathtwitter #pathx
15
59
125
@JojoPathAdvntrs
Elizabeth Kertowidjojo, MD, PhD, MPH
2 years
Happy Monday!
1
0
4