Angelo Cassisa MD
@AngeloCassisa
Followers
2K
Following
1K
Media
138
Statuses
662
Director Anatomic Surgical Pathology at Torregalli H and S M Annunziata H - Florence - Italy
Italy
Joined September 2012
Towards a "Net" generation of Pathologists! Thank you @mannanrifat03 @EMadrigalDO and https://t.co/l7Ano0dFzl for giving me the opportunity to write about @pathologyCast and its great impact. I strongly recommend to follow them. Enjoy the free Review!! #PathTwitter #patheducation
13
32
114
Easter's special case! Which Organ? Which Neoplasm? What Surprise? @PoloniaAntonio @kriyer68 @JMGardnerMD @bansar7 @TheKarenPinto @Dr_Brian_Cox @DrBMcGinn @quilla_sara @ivanaspath @GeronimoJrLapac @PathDocBoston @pathobot @LepinePathol @DelfinLuvy @nusrat_xahra #PathTwitter
21
33
74
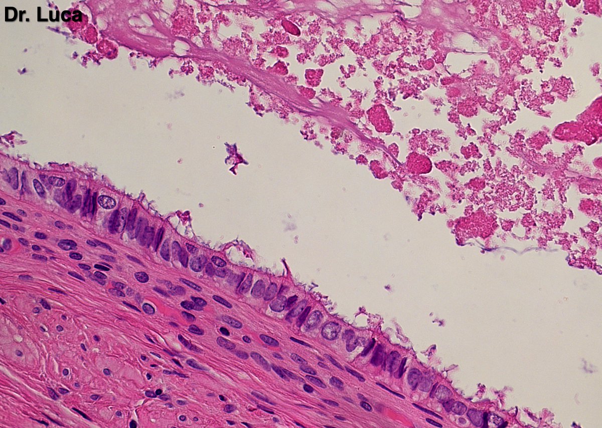
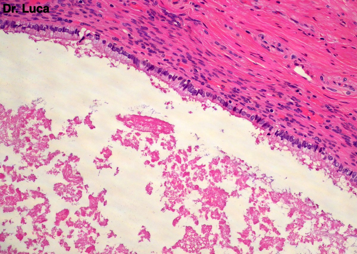
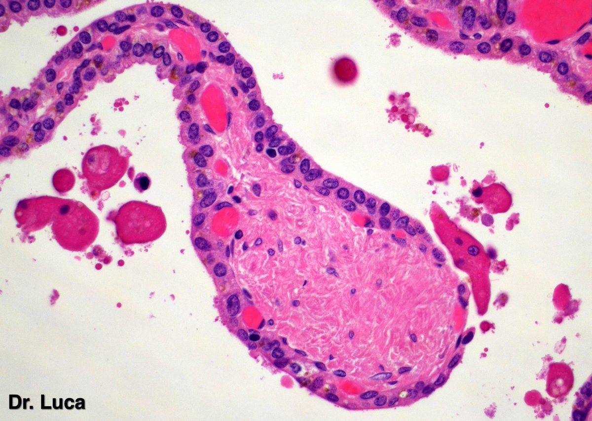
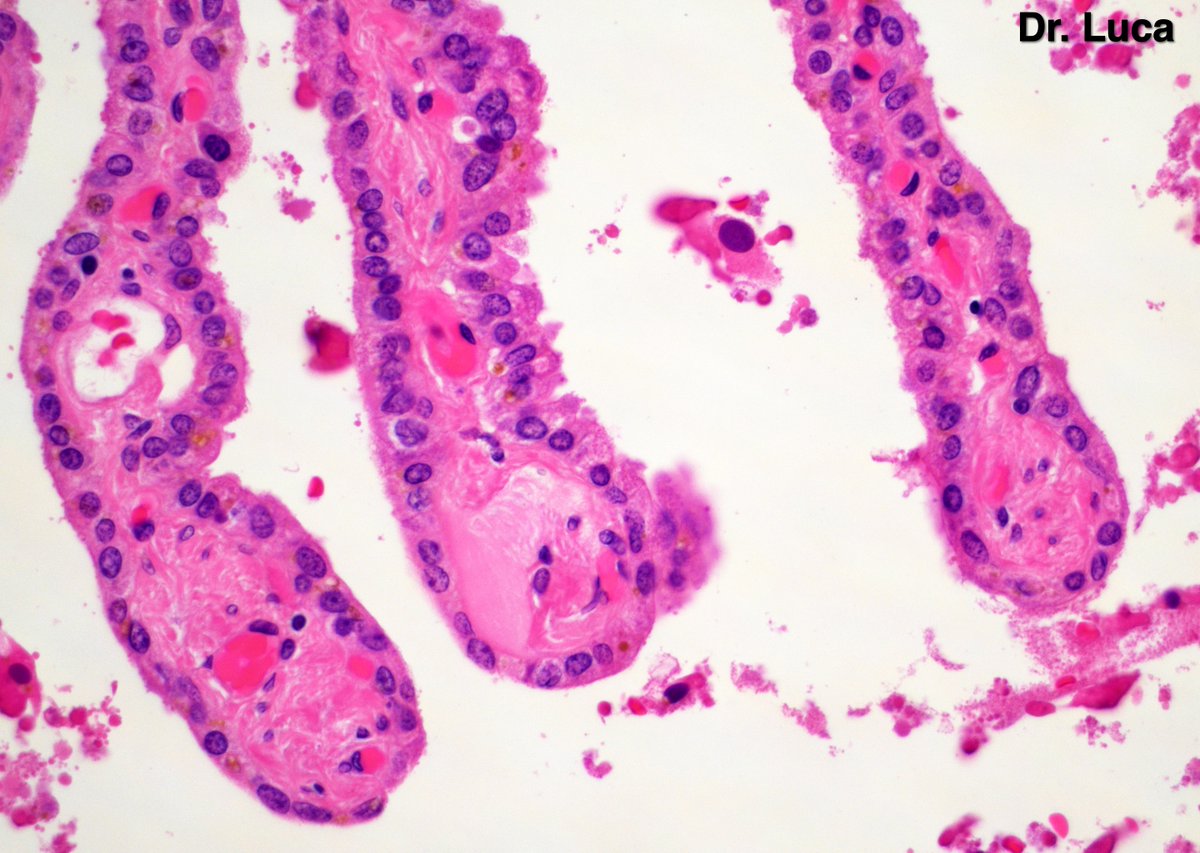
Ok that's a seminal vesicle! you can see very well the secretory cells, many of them harboring intracytop. pigment and in some images you can also note the basal cells...at the apex of this seminal vescicle I found a 2.5 cm multilocular cystic lesion, how do you call it? #gupath
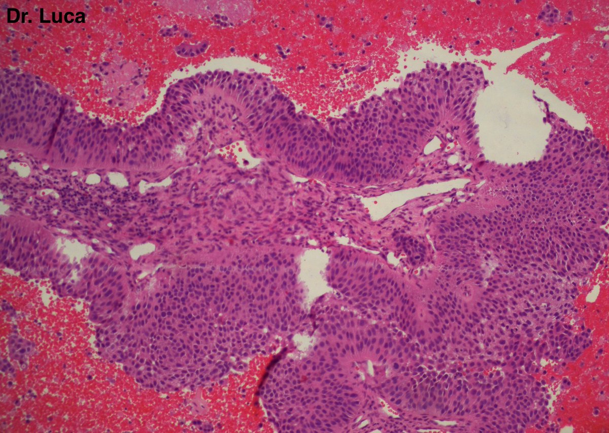
I've seen too many cases this week and in the end I got lost...what do we have here?@pepeheffernan @PoloniaAntonio @JMGardnerMD @kriyer68 @niyatis25 @bansar7 @goziemnweke @AkgulMd @slusagar @thejourneymate @Nachofrarub @VHNguyenMD @Pathmath1 @ivanaspath #Pathology #PathTwitter
8
9
28
8
7
23
@slusagar as I promised you some pics of my case of amyloid mimic due to injection of Eleview/Orise lifting agents to remove a colonic polyp: pink amorphous ribbons and globules+giant cell reaction+fibrosis @pezhouh @DocStanich @cjvand @Voltaggiol @CArnold_GI #PathTwitter #GIpath
4
11
31
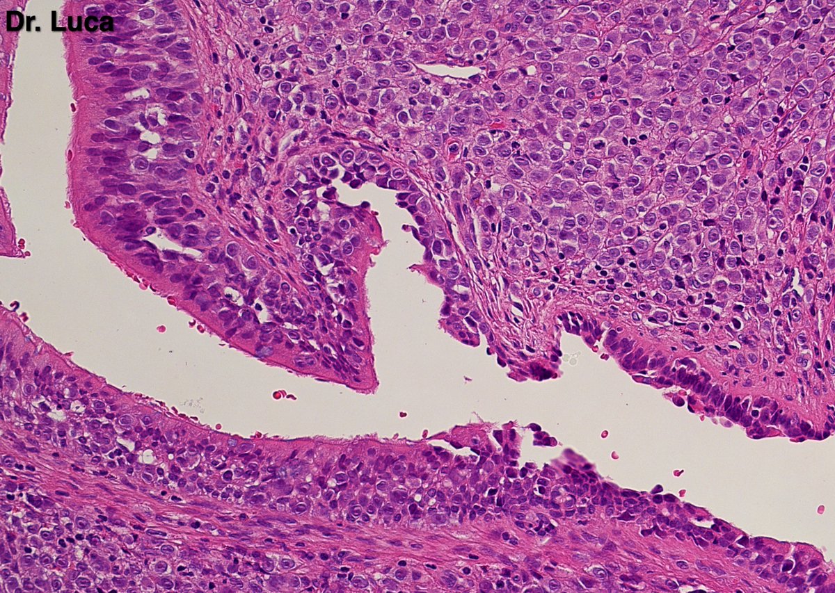
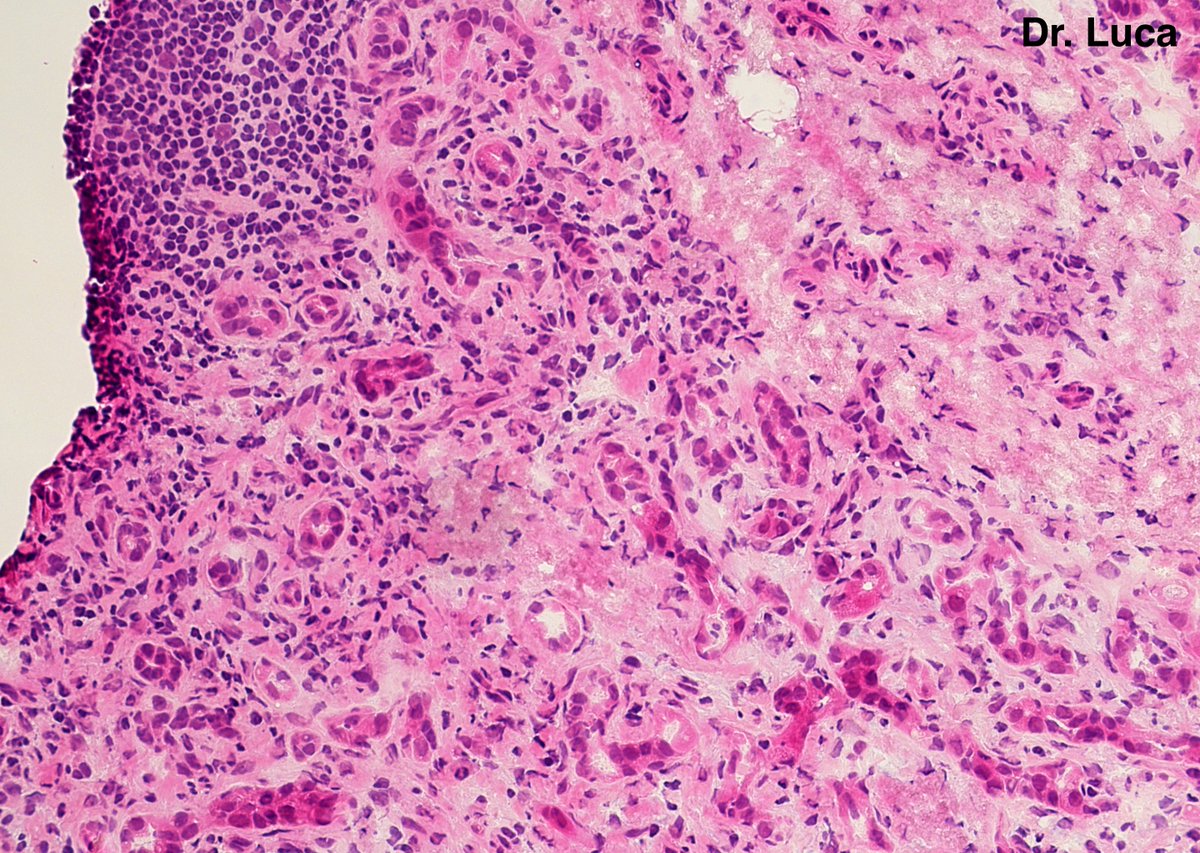
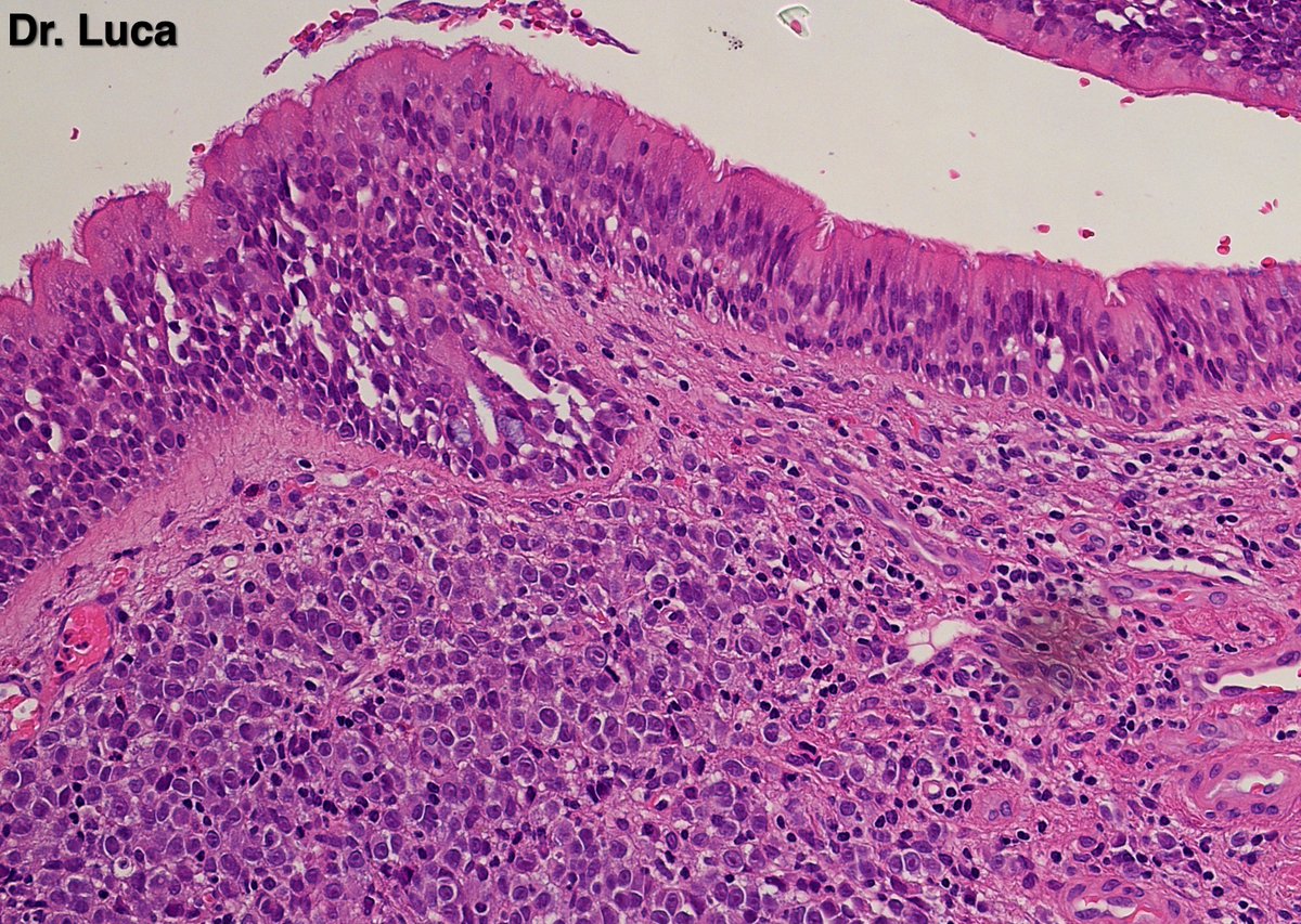
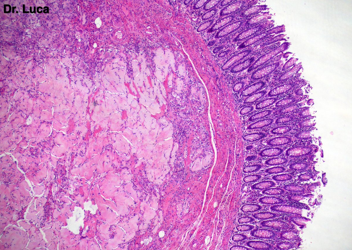
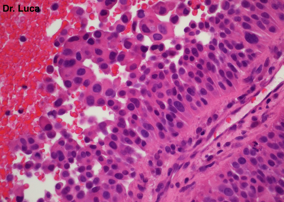
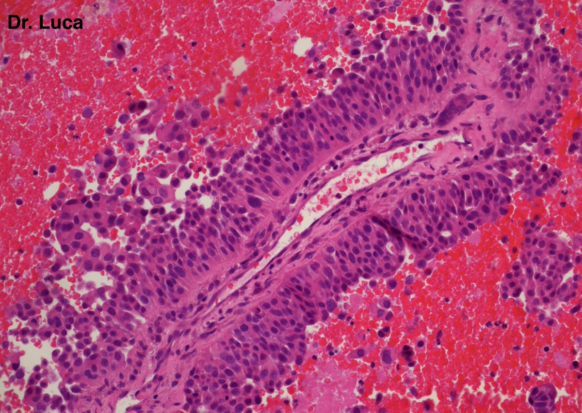
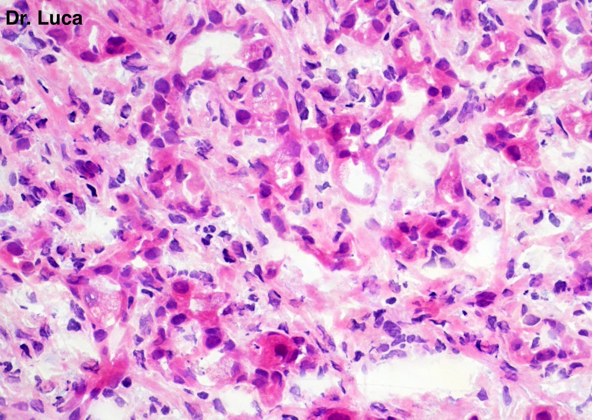
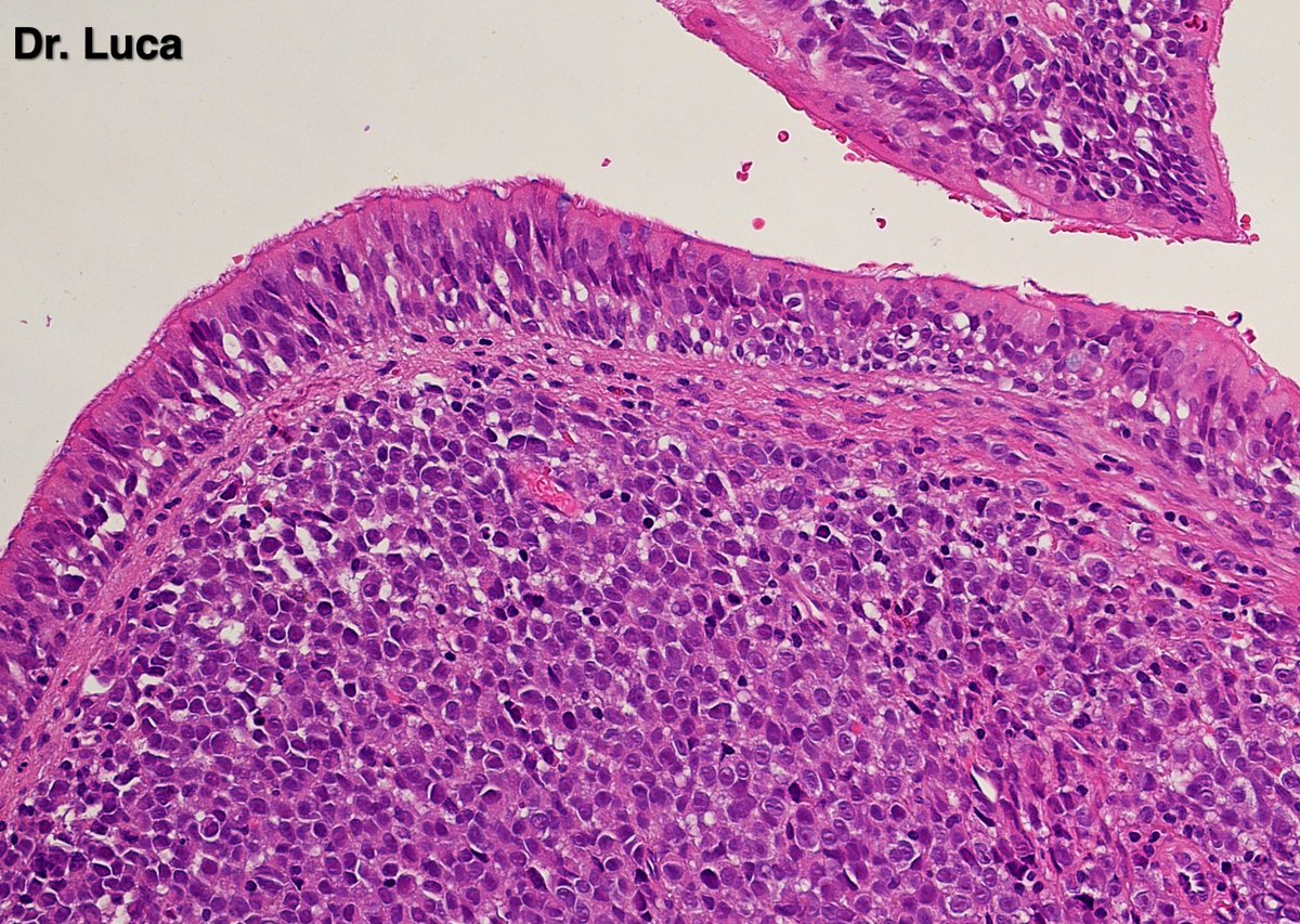
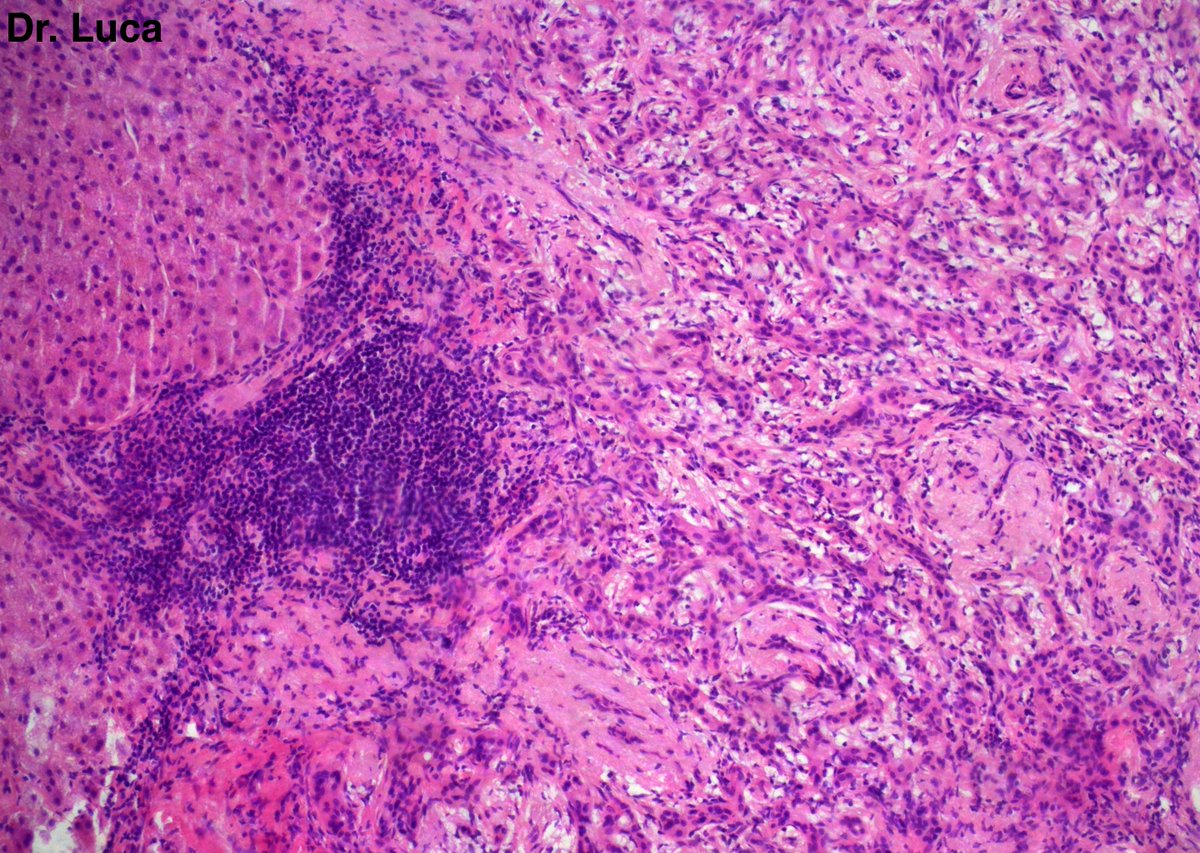
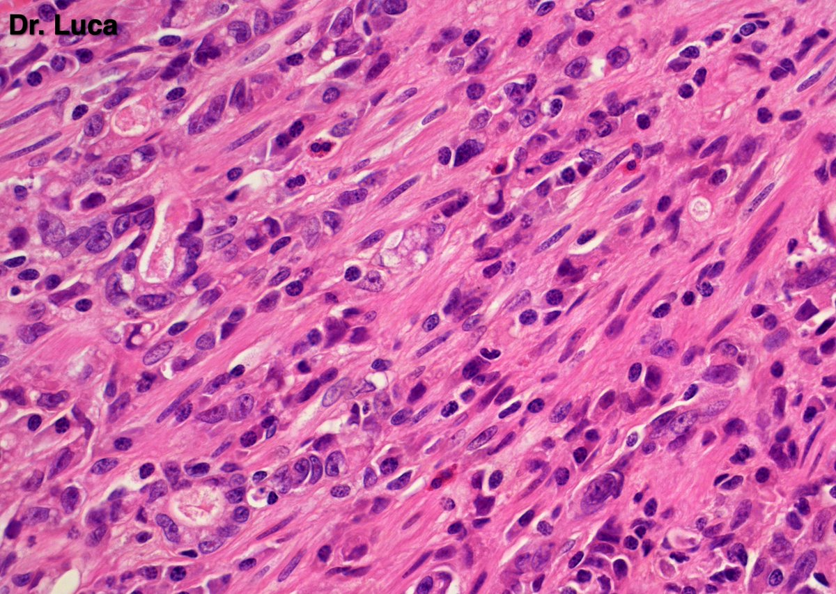
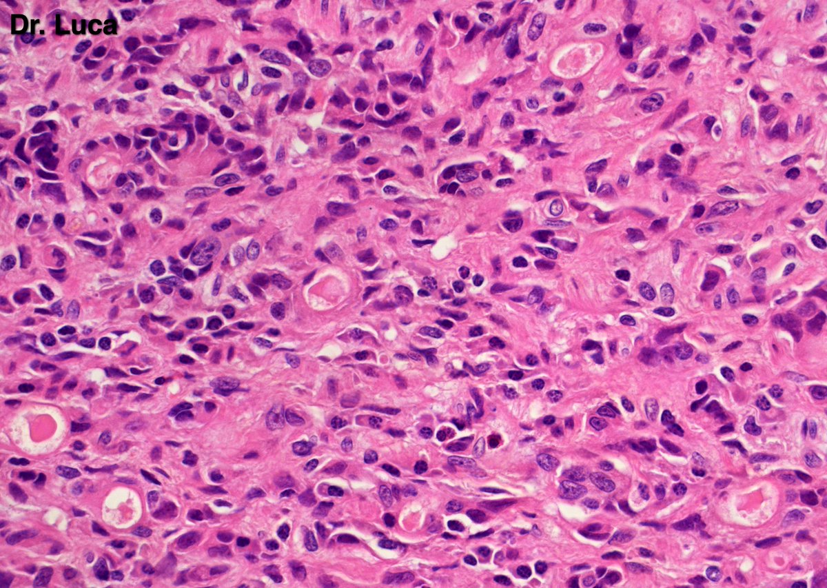
@Pathmath1 @SumantaDas_7 @PoloniaAntonio @ivanaspath @AnapathResident @bansar7 @goziemnweke @Teclis82 @Dr_Brian_Cox @DrBMcGinn @ariella8 @nusrat_xahra @DrRusella_Mirza @glinglerimek @kis_lorand @Venkateshgilly2 @DrBonita16 @DrPayelMondal @DrGeeONE @anjuthevirgo @niki_2389 @pepeheffernan @AngeloCassisa @NeoCrazee @TristanRutland7 Yes, it's a cancer with PNI...I show you the "superficial" layer of this cancer...what is the cancer? and what is the organ? #Pathology #GIpath #PathTwitter #PathResidents #pathboards
2
2
11
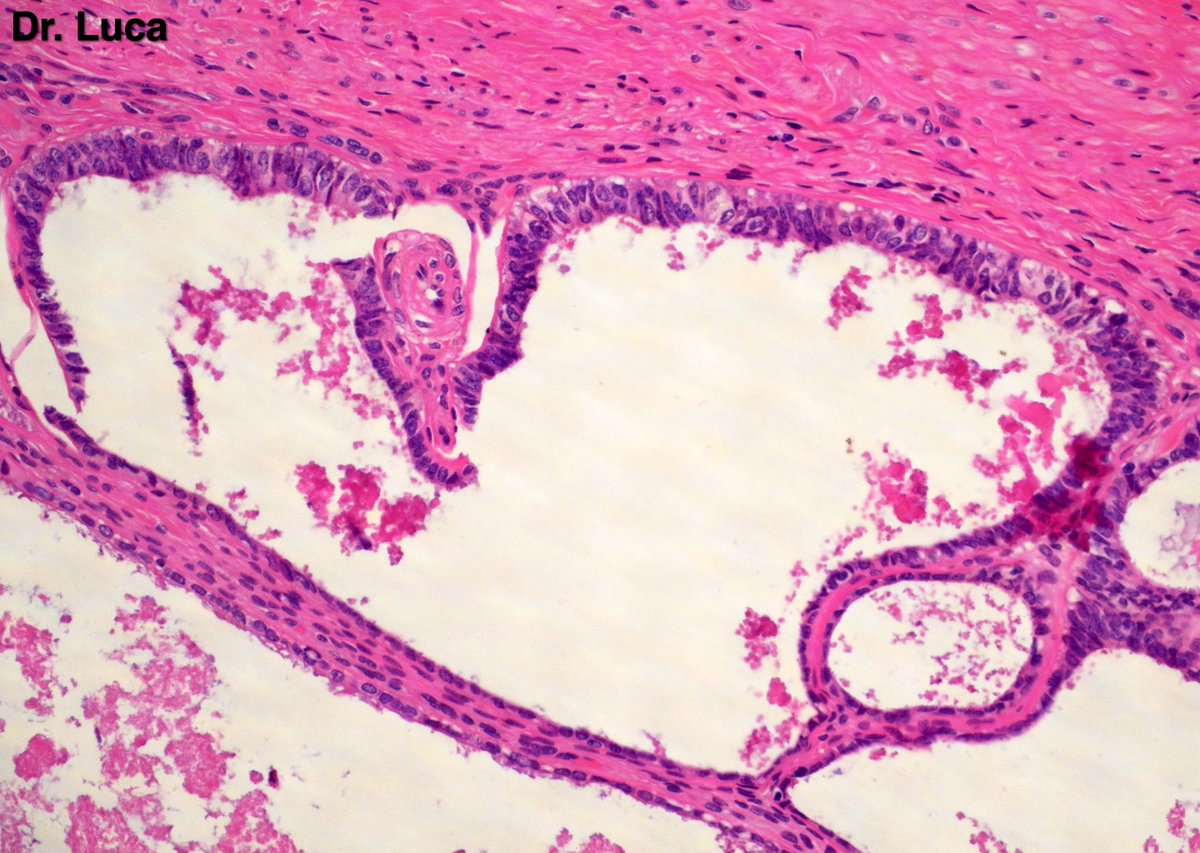
@ariella8 @PoloniaAntonio @SumantaDas_7 @DrGeeONE @emma_furth @kriyer68 @bansar7 @gonzadetoro @ALBoothMD @CArnold_GI @JMGardnerMD @Dr_Brian_Cox @RitchaSaxena @pepeheffernan @thejourneymate @NeoCrazee @AngeloCassisa @niki_2389 @Venkateshgilly2 @DrBonita16 @padmapathology1 @Kashifhazim @anjuthevirgo As I promise you all...here are the perm. H&E, so I confirmed the co-presence of two benign lesions: a biliary duct adenoma and a Von Meyenburg complex. On perm. H&E you can notice better another feature of BDA, the lymphoid cuffs at the borders #PathTwitter #GIpath #liverpath
2
8
30
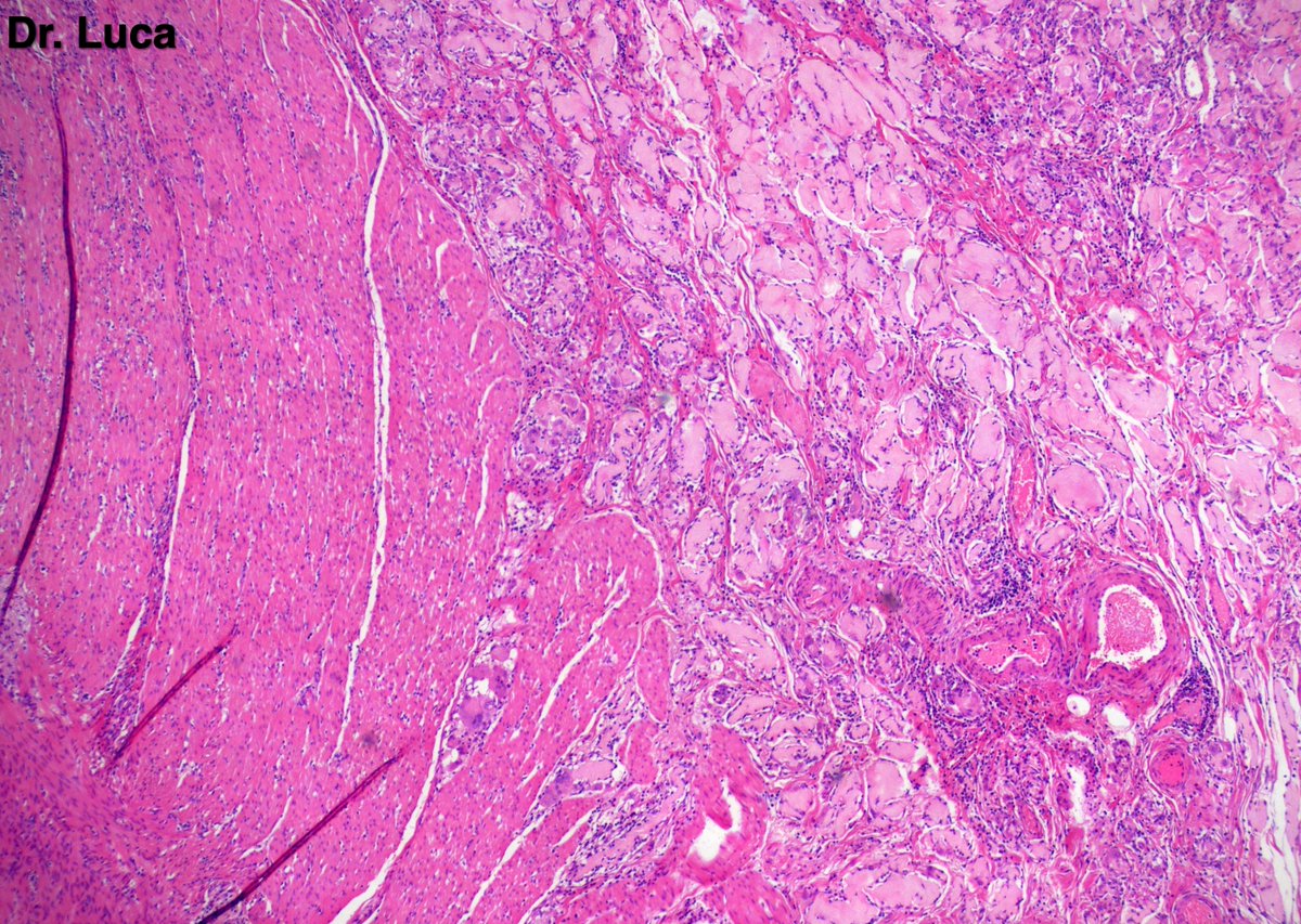
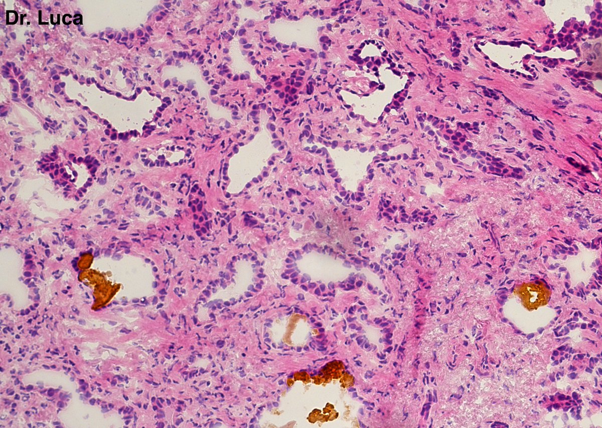
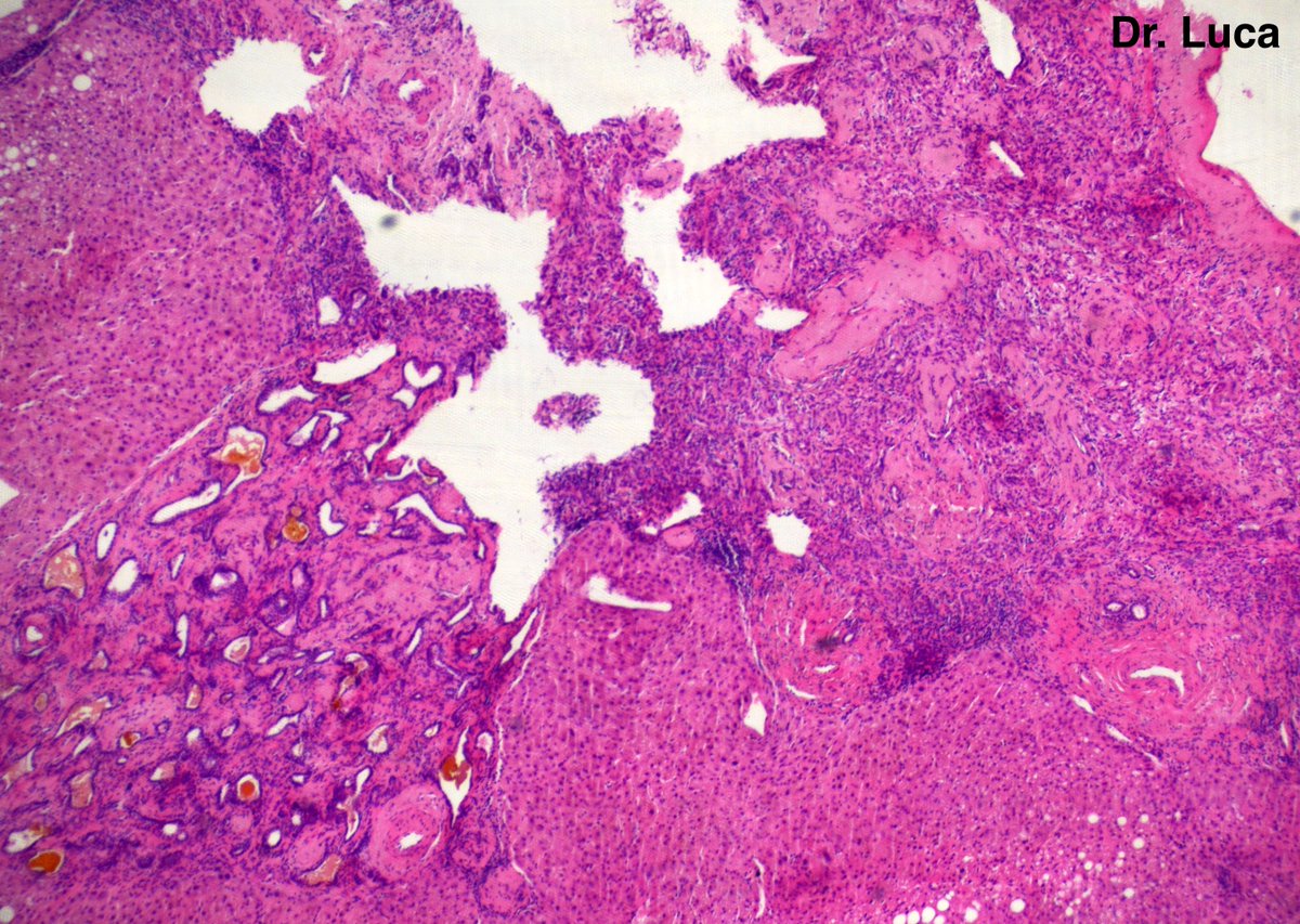
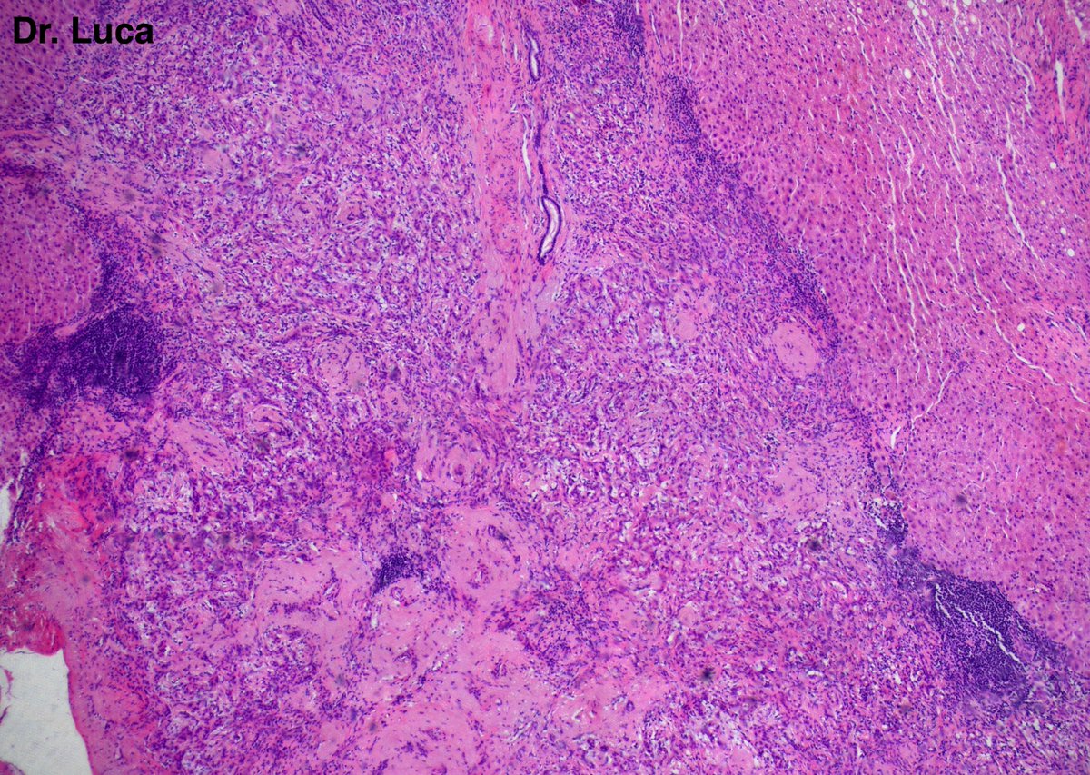
Kidney Monster! 3kg mass, 1% white solid areas, your Dx before H&E? @AkgulMd @Pathmath1 @goziemnweke @Teclis82 @MichelleDunno17 @PoloniaAntonio @kis_lorand @crazylymphocite @kriyer68 @D4L14H @ritaescarvalho @JPintoPath @Andres_Matoso @rajalbshah @Pathology36 #gupath #PathTwitter
10
19
48
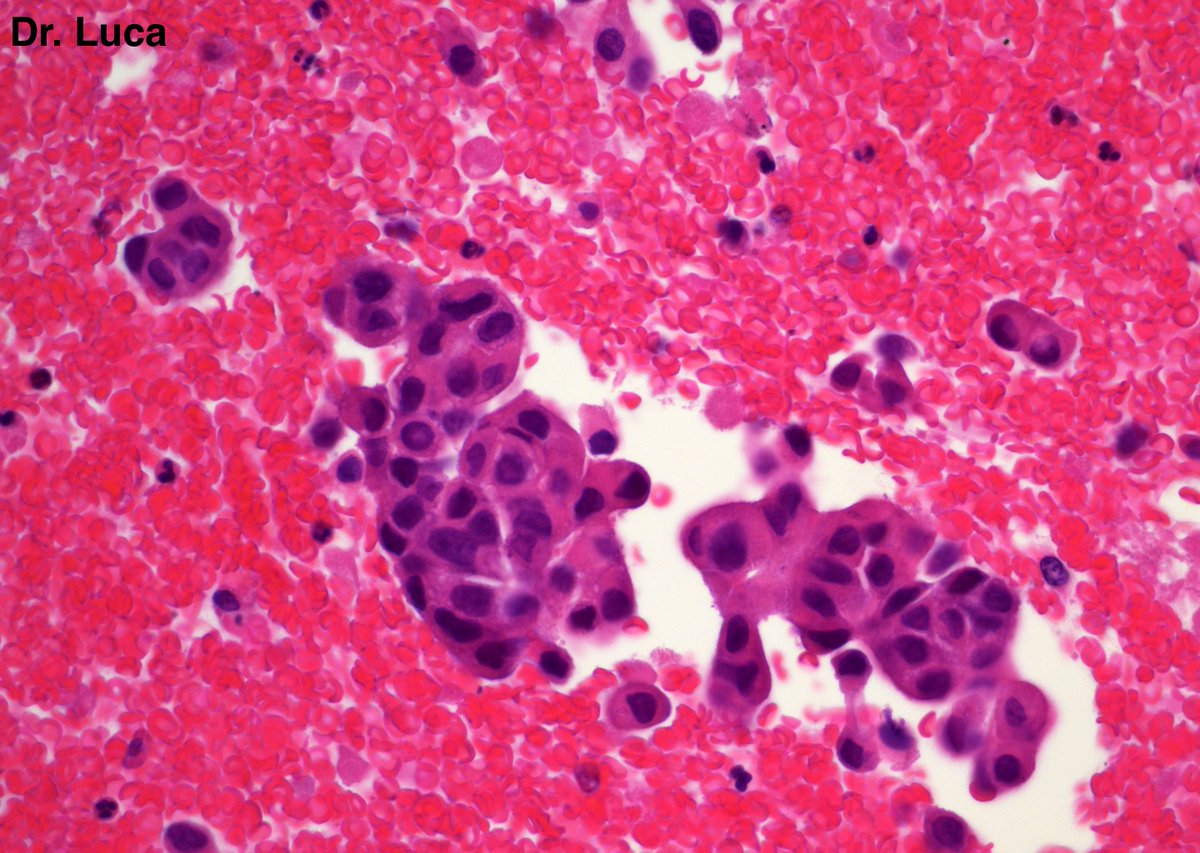
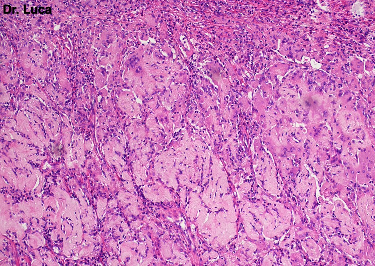
71yoM, bone metastasis, what's your quick H&E diagnosis? (no IHC) @AkgulMd @JPintoPath @slusagar @EKoubaMD @Pathmath1 @s_prendeville @goziemnweke @SumantaDas_7 @D4L14H @PoloniaAntonio @kriyer68 @md_kyle @kis_lorand @MarcosLepeMD @ivanaspath @pathobot #Pathology #PathTwitter
22
25
63