
gulcin guler simsek, MD
@glinglerimek
Followers
4K
Following
73K
Media
2K
Statuses
9K
IAC member @IACytology cytolover 🌹 dermatopathologist , surgical pathologist…Student forever. ❤️ travel and reading #cytopath #pathology
Ankara, Turkey
Joined October 2011
“Young people, you are the ones who strengthen and sustain our courage. With the upbringing and wisdom you are receiving, you will be the most precious symbol of humanity and civilization, love of country and freedom of thought. The rising new generation, you are the future.”
5
4
94
Congratulations to the new pathologist Dr. who joined us. ☺️🤗
0
0
14
The "sneaky" pale cells, so easy to be missed. High-grade Squamous Intraepithelial Lesion (HSIL) in an anal PAP test. (ThinPrep)
0
22
79
Amazing teaching sharings from amazing friends
👇🏻👇🏻Cytological diagnosis of mesothelioma 👌👌 @IACytology @EfcsYoung @AshishC97225686 @CiolyRiveroC @tlabiano @glinglerimek @sza_jhcyto
0
0
4
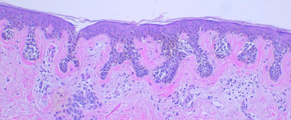
Concentric fibrosis is a histologic feature found in dysplastic nevi, where fibrosis forms a ring-like pattern around a rete ridge #path #dermpath #dermatology #pathology
1
13
60
the speakers and topics, and more details at https://t.co/xefV17ROuZ
#pathology #pathologyresident #symposium #pathologyconference @CCFPathRes @cleveland @CLEClinicLabs
0
1
7
Hello #molpath enthusiasts! Our Advancements of Molecular Pathology Biomarkers course through the Turkish Division of @IAPCentral is happening this Saturday! I’m excited to be giving one of the talks alongside world experts. 📌 Register for free: https://t.co/kWCZXWig2l
1
3
18
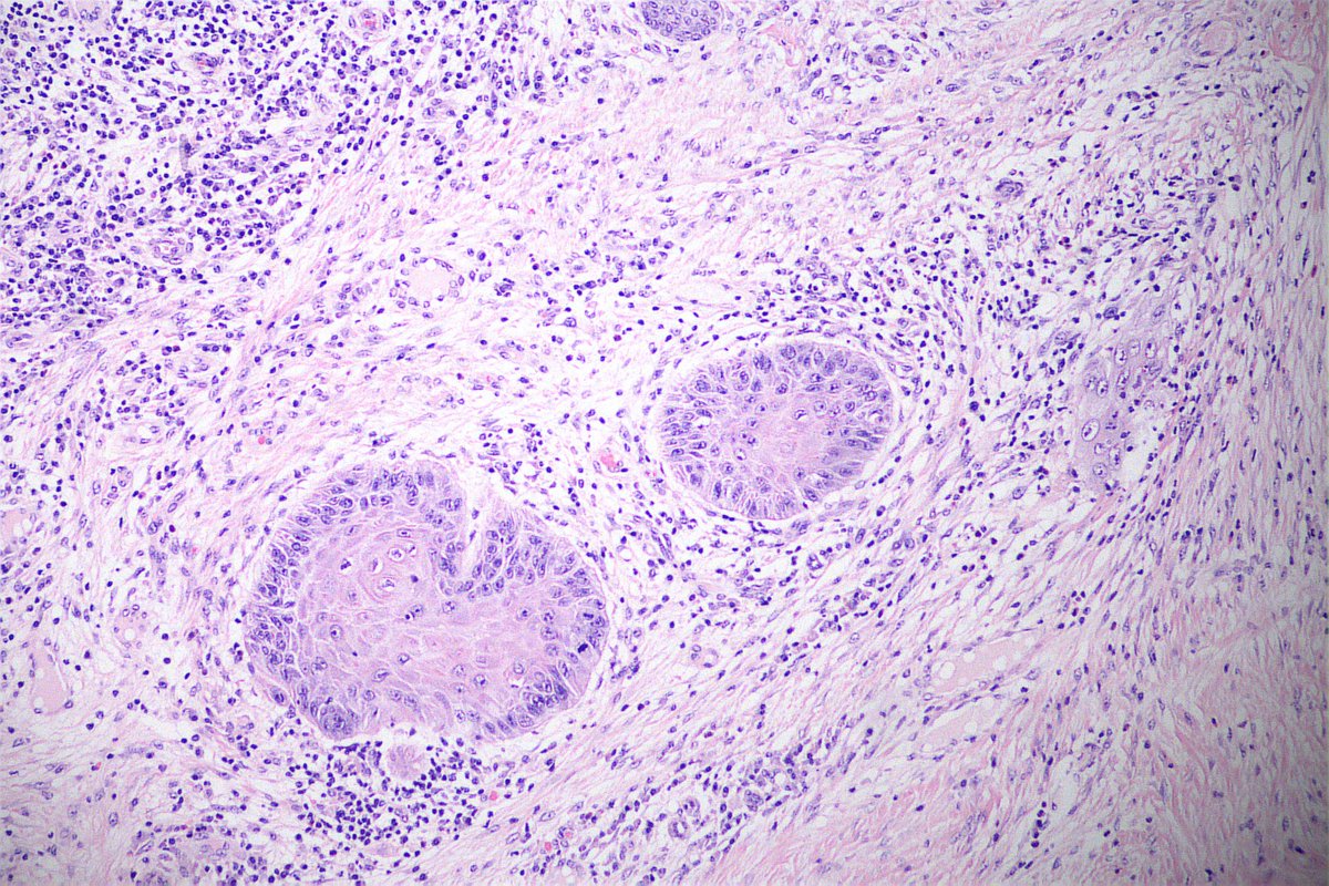
40s M Diffuse maxillary gingival lesion 🟤🤎🟫 Speaking out loud! #PathTwitter #headandneckpath #pathology
1
7
35
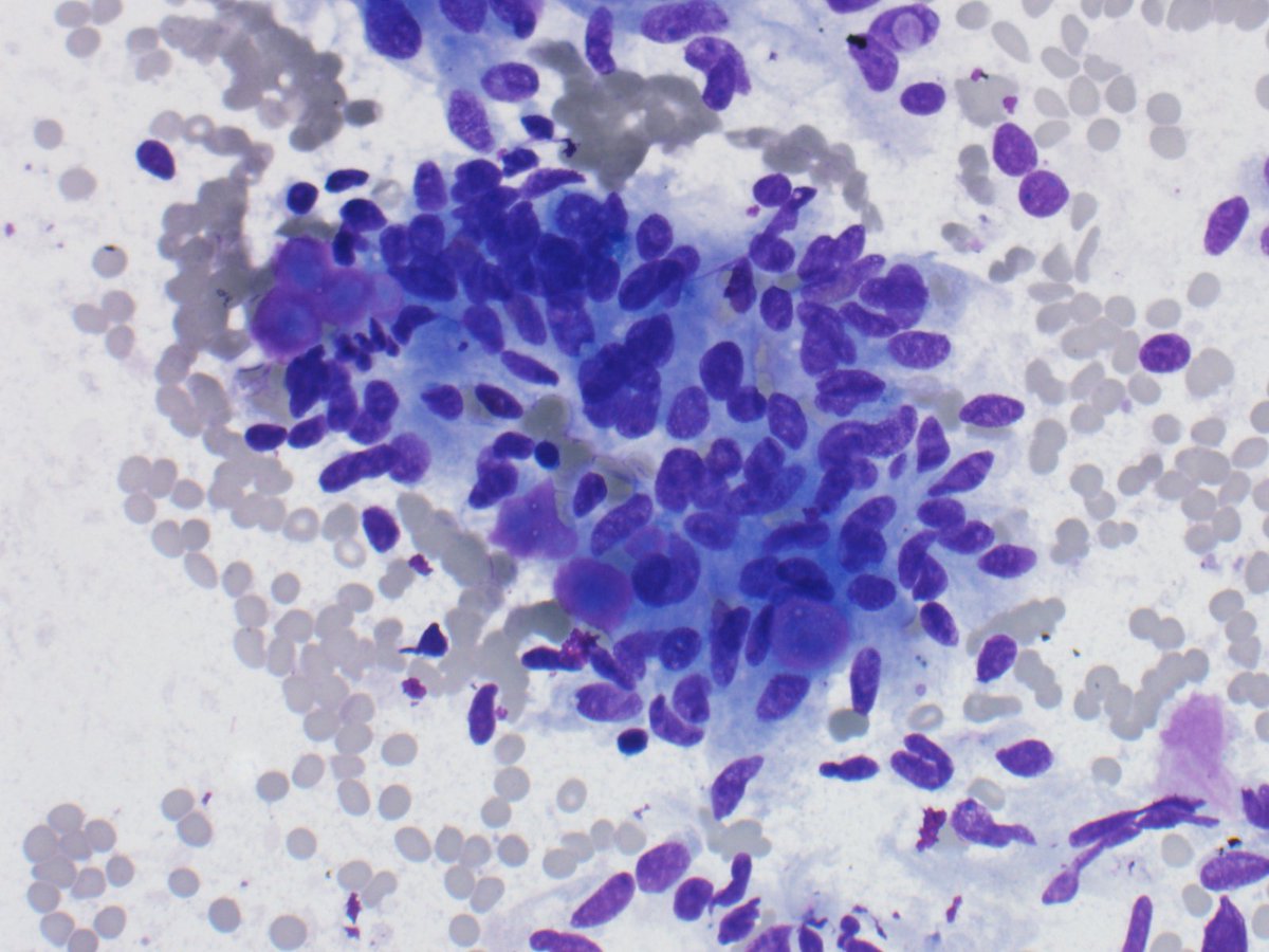
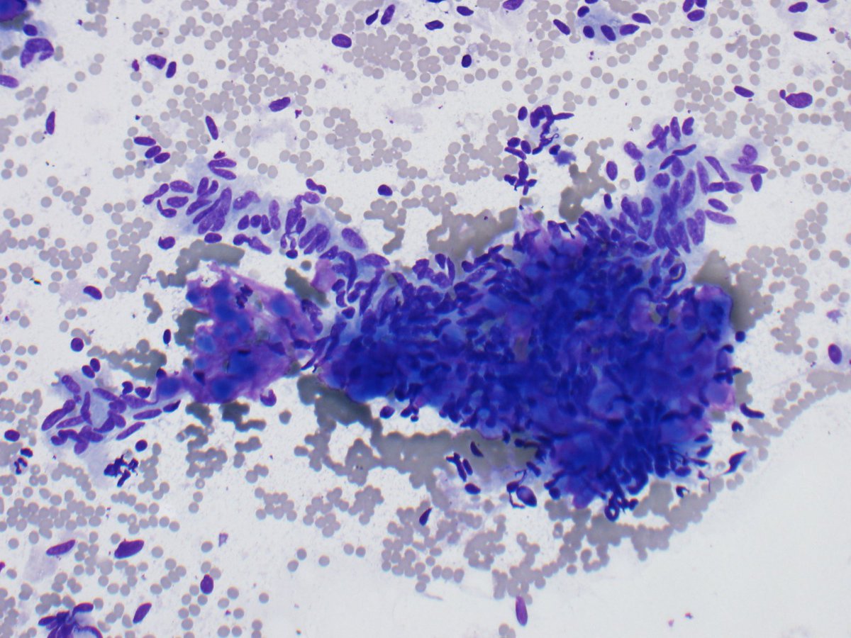
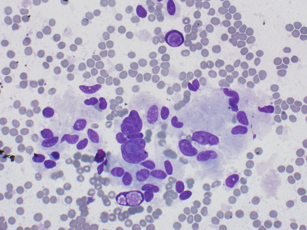
FNA cytology and FNA biopsy performed during the same procedure and handled by the same pathologist. Ultimately, there is sufficient sample for both morphological diagnosis and biomarker analysis. Lung, mucinous adenocarcinoma 🫁💉🔬🧬💊 @IACytology @ESP_Pathology @SEAP_IAP
2
21
54
3
6
27
May you always be successful dear Sumeyra 🤗🥰
Hello! I’m Sumeyra, a pathologist from 🇹🇷 and a postdoc fellow at the NCI working on prostate cancer. Thrilled to share that I’ve applied for #Match2026 in #Pathology! ✨ Outside the lab, I love biking and spending time with my 🐈 & family. Happy to connect! #PathTwitter #PathX
1
0
1
For a #Pathology within the reach of all #pathologists in the world, in complexity one must simplify for the patients good Much thanks Dear Colleagues for this paper: “Proposals to make diagnostic criteria truly usable and useful to pathologists worldwide” https://t.co/ZUUwvyFiTu
jcp.bmj.com
The goal of pathology guidelines is to improve diagnosis and therapeutic decisions and to standardise practice. Lenzer et al 1 have made proposals on how clinical guidelines ought to be created and...
3
11
26
All of the free WSI libraries, enjoy! https://t.co/bL0TGX4VHt
https://t.co/nW1LdzgcId
https://t.co/GmGoEWtIYn
https://t.co/T81V8bjFa4
https://t.co/vUkCjvZXdV
https://t.co/yIAxy07RtK
https://t.co/1TCBmuVUf4
https://t.co/97mainQgJJ More free resources ↘️ https://t.co/xpVDOb7rD8
docs.google.com
1
34
56
Case of the week- Very interesting case contributed by @FridaRosenblum. A 40 y/o euthyroid female and a 3 cm left-sided thyroid nodule incidentally found.
12
21
41
IAC could not have been luckier. We have the best, most accomplished and highly motivated team of people serving on these committees. Many thanks to each one of them for dedicating their precious time and expertise to the Academy.
Meet the members of the #IACcommittees. After the #IACcongress, our new IAC President @sza_jhcyto invited IAC members to participate actively in the IAC Committees. Welcome & thank you all for your time & energy 🥰 https://t.co/9BbSVHg2FO
7
17
59
Hot off the press! https://t.co/q7YHr0TlLV Thanks to @TotalCytopath @smlungpathguy and @pepeheffernan for making this happen after a long time in the pipeline!
6
19
60
My beautiful sister who conquered my heart, may your life be long and your fortune be bright, happy birthday 🎈🎉🎂
This was the most special and unforgettable moment of ECP Congress for me. I will never forget this birthday surprise on September 10th — forever grateful! Thank you! 🩷🎂 ✨ @glinglerimek 🩷🦋 you are amazing 🥰
0
0
14
🥰👏👏👏🤗
🇹🇷 12 DEV ADAM, 24 YIL SONRA FİNALDE! 🇹🇷 🏀 A Milli Erkek Basketbol Takımımız, EuroBasket 2025 yarı finalinde Yunanistan'ı 94-68 mağlup etti ve adını finale yazdırdı. 🏆 MİLLİLER, EUROBASKET 2001'İN ARDINDAN BİR KEZ DAHA AVRUPA ŞAMPİYONLUK MAÇI OYNAYACAK! @Turkiye_Sigorta
1
0
3