Pathology36 Profile Banner
Macroscopic Pathology Profile
Macroscopic Pathology

@Pathology36

Followers
5K
Following
44K
Media
2K
Statuses
12K

Hatice Beşeren~I work in the field of cytology and macroscopy in the pathology laboratory in Turkey. MSc Pathology-PhD Tumor Biology ⬇️

Joined March 2018
Don't wanna be here? Send us removal request.
@Pathology36
Macroscopic Pathology
4 years
Pathology macroscopy technician is an auxiliary staff that helps pathology specialists or pathologyassistants in anatomical pathology laboratories,in macroscopic samplingof surgical specimens and autopsies,and prepare the necessary equipment and instrumentsformacroscopic sampling
15
24
70
@ativittta
Atilla Uslu
8 days
Beni “hayatta her şey önüme altım tepsiyle sunulmuş” diye linçlemişler :) -Hiç bir kolaje gitmedim, paramız yoktu. -Liseye başladığım yıl annemi lösemiden kaybettim ve hayatımın en zor yıllarını geçirdim. -Lise için dershaneye başarı sınavı sonucunda bedava gittim, paramız
875
1K
43K
@Praachy27
Prachi
14 days
Adrenal mass alert Grossognosis ? ⁦@archibhat3@pathologygross@SAPathology⁩ ⁦@Pathologists⁩ ⁦@mathuraiims⁩ ⁦@smlungpathguy⁩ ⁦@pathologynews⁩ ⁦@Pathology36⁩ ⁦@Pathology_RCPA@pathresidents Microscopy following 🔬 Happy wknd 🙌🏻
2
6
27
@Saroja_DeviG
Saroja Devi Geetha
16 days
Koilocyte cluster on Pap smear → LSIL. Next case? Nope! Always screen the entire slide to be sure you are not missing any high-grade cells. #CytoPath #MedTwitter #PathTwitter #GynPath #PathResidents #PAPsmear
1
25
82
@Praachy27
Prachi
21 days
Pelvic mass Grossognosis?? ⁦@Pathology36⁩ ⁦@DrGeeONE⁩ ⁦@UCLA_Pathology⁩ ⁦@femalegenital⁩ ⁦@ModernPathology⁩ ⁦@educationalpath⁩ ⁦@pathtweet⁩ ⁦@PathTweetAward⁩ ⁦@pathtweet1⁩ ⁦@PATHtweets@grossognosis 🔬following…
1
4
16
@Saroja_DeviG
Saroja Devi Geetha
1 month
FNA of breast mass showing fat necrosis, looking like colorful gumballs 🍬 Findings vary with stage 🍬Dead lipocytes:no nuclei 🍬Foamy macrophages 🍬Myospherulosis:spherules with RBCs At low power, the green/orange hue is a clue! #PathTwitter #MedTwitter #CytoPath #BreastFNA
1
13
46
@avmelihdemirer
Melih Demirer
1 month
Bir müvekkilim vardı, kötü bir evlilik yaptı. Boşadık ama o evlilik onu bitirdi; hastalandı, battı, yapayalnız kaldı. Sonra yeniden âşık oldu, evlendi. Şimdi sağlıklı, mutlu, zengin. Doğru insan nimettir, tersi felaket. Tek kötü yanı; yeni dava gelmeyecek gibi.
19
75
3K
@tibbiyelisozluk
Tıbbiyeli Sözlük
2 months
Sendikamız @TEKsendika hukuk işlerinden sorumlu genel başkan yardımcımız Dr. Özlem Yağdıran Yavuz @bizeyakismadi sendikamızı temsilen @BabalaTv yayınına katılarak sorularını iletti..
6
31
191
@hmelisaacar
H. Melisa Acar
2 months
Muazzam bir araştırma: İnsan beyni bir işe odaklandığında daha mutlu oluyor. Zihni boş bıraktığında ise geçmişi, geleceği ve gereksiz düşünceleri kurcalamaya başlıyor, mutsuzluk da o anda devreye giriyor. Demek ki huzur, çoğu zaman odaklı çalışmakta.
@NTFabiano
Nicholas Fabiano, MD
2 months
You're not depressed, you just lost your quest.
202
3K
38K
@ruhsalrehber
Ruhsal Rehber
2 months
Kimseyle uğraşma derdinde olmayan insanlar var ya, gerçekten kıymetliler. Bu kadar gergin, bu kadar patlamaya hazır bir dünyada; onlar sanki yürüyen huzur gibi. Kavga etmezler, laf sokmazlar, kimsenin enerjisini çalmazlar. Sessizdirler ama varlıkları bile rahatlatır insanı. Onlar
7
123
1K
@garreyf
Garrey Faller
2 months
0
3
9
@MerveeBolugur
Merve Boluğur
2 months
@firstbaby__ Hiçbir erkek bizi hak etmiyor..
112
9
233
@9Nr1KCDfUhG9RYO
Evgeniya Kozorezova
2 months
F, 72 yo. Ascites. LBC. CT: many cystic and solid/cystic nodules in the abdominal cavity. @AshishC97225686 @sza_jhcyto @pepeheffernan @IACytology @glinglerimek
1
7
18
@sza_jhcyto
Syed Z. Ali
2 months
The "sneaky" pale cells, so easy to be missed. High-grade Squamous Intraepithelial Lesion (HSIL) in an anal PAP test. (ThinPrep)
0
33
120
@Saroja_DeviG
Saroja Devi Geetha
2 months
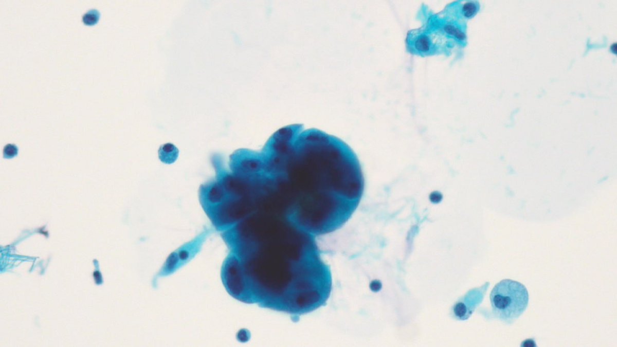
LSIL on PAP Smear, these classic koilocyte clusters are hard to miss, even at 4x! #PathTwitter #MedTwitter #CytoPath #Cytology #PapTest #PathResidents
3
20
99
@Saroja_DeviG
Saroja Devi Geetha
2 months
Guess what organism showed up on today’s Pap smear? Ta-da, it’s Candida! A tip I learned from a cytotech during residency: squamous cells can show subtle perinuclear clearing with Candida, don’t mistake it for LSIL #PathTwitter #MedTwitter #CytoPath #PathResident #GYNPath
0
12
76
@Pathology36
Macroscopic Pathology
2 months
Ben böyle şeyler söylediğim için çevrem deli diyormuş arkamdan 😂😂😂😂😂
@ruhsalrehber
Ruhsal Rehber
2 months
Doğmadan önce, ruhuna senin hikâyen gösterildi. Başlangıcından sonuna, yaşayacağın acılara, sevinçlere, kayıplara kadar her şey belliydi. Ve sen, bütün bunları bilerek bu hayatı seçtin. Çünkü içinde, yaşanmaya değer bir şey olduğunu hissettin. Belki bir sevgi, bir farkındalık,
0
1
0
@sza_jhcyto
Syed Z. Ali
2 months
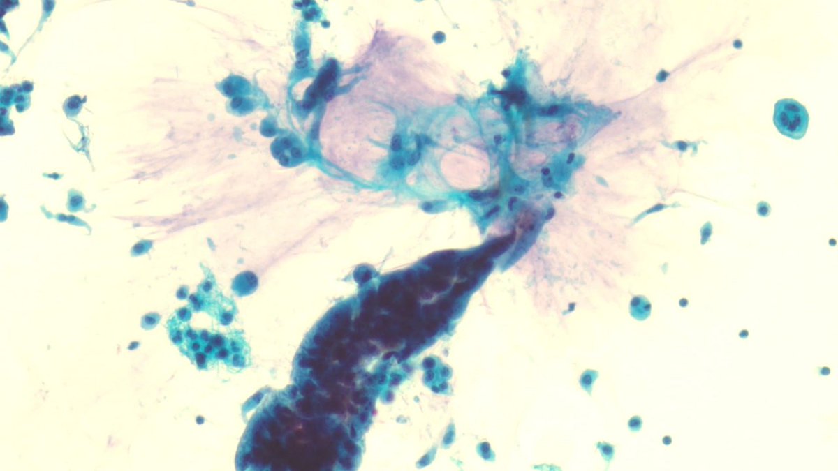
"Epithelioid" cells with cytoplasmic tails - The typical differential is between melanoma and urothelial carcinoma. Shown here is a high-grade urothelial carcinoma. (voided urine, ThinPrep)
3
30
121
@mdlozanoe
Lola Lozano
2 months
Adenosquamous carcinoma, EUS-FNA pancreas. A picture is worth a thousand words" 🔬🤐#cytopath @IACytology @EfcsYoung @SECitologia @cytopathology @SEAP_IAP @ESP_Pathology @asocolpat @UMiamiPathology @CitologiaSac @citologiala
6
26
112
@dianapath1
Diana Diaz
2 months
Look this majestic monochorionic triamniotic triplets (MCTA). Observe the anastomoses marked with arrows. AA (yellow), AV (Blue green), AV (Yellow green) #placenta #placentapath #grossognosis #pathology #Perinatalpath
0
3
11
@AnneMillsMD
Anne Mills
2 months
I spy some #UVAPath residents in the #CAPath26 call for abstracts! @Pathologists @UVA_Pathology!
0
7
25