EKoubaMD Profile Banner
Erik Kouba Profile
Erik Kouba

@EKoubaMD

Followers
945
Following
4K
Media
296
Statuses
2K

Pathologist, GU pathology

Joined May 2011
Don't wanna be here? Send us removal request.
@EKoubaMD
Erik Kouba
5 years
Pediatric pathologist 😊 #pathology
3
4
112
@GladellPaner
Gladell Paner, MD
2 years
It’s out … International Society of Urological Pathology (ISUP) Consensus Conference on Current Issues in Bladder Cancer. Working Group 2 https://t.co/zAKdocqShu @UroDocAsh @DrNetto @MuraliV72899596 @TheoKwast @LiangChengMD Thanks @IntSocUropath for the opportunity! #GUPath
1
27
72
@AliAlzughbi
Ali Alzughbi
2 years
Incidental kidney mass in 54 year old female, mucinous tubular and spindle cell carcinoma. Good prognosis unless there is sarcomatoid differentiation.
3
13
46
@behtashg
Behtash
2 years
Rare diagnostic pitfall Bladder mass in a 70yo male. Epithelioid cells with focal spindle cell morphology and atypical mitoses, marked variation in nuclear size and shape, hyperchromatic, occasional intranuclear inclusion. Note the absence of in situ carcinoma. see next tweet.
4
49
105
@behtashg
Behtash
2 years
This is a case of metastatic melanoma to bladder. This mass was black in cystoscopy. Less than a 30 are reported in the literature, but the true prevalence is higher, autopsy series on melanoma patients reported 3-18% prevalence. M : F = 15 : 8. #gupath #pathology #bladdercancer
0
16
46
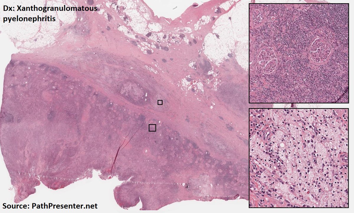
@DrTravisBrown
Dr Travis Brown 🎧
2 years
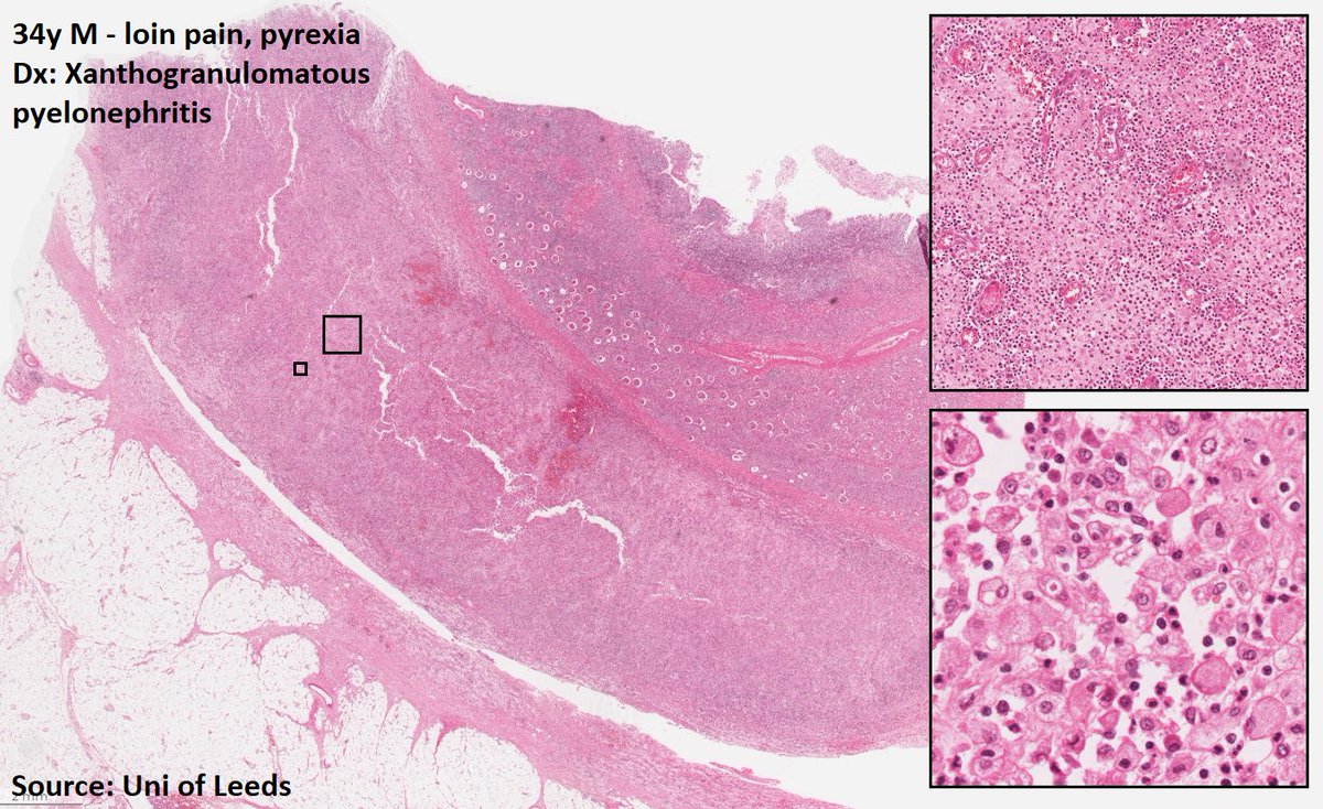
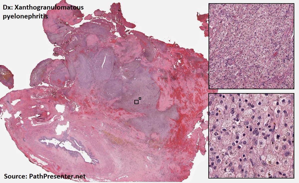
Histology flash card Xanthogranulomatous pyelonephritis Uncommon/rare Destructive inflam process that may resemble RCC Oft assoc with chronic pyelonephritis due to E. coli or Proteus Histo Extensive foamy histiocytes #MedTwitter #PathTwitter
0
15
36
@LisieviciC
Antonia Carmen Georgescu
2 years
Lipid-rich urothelial carcinoma ✔️frequently associated with conventional urothelial carcinoma ✔️ lipid nature of the vacuolar content has been confirmed by EM ✔️ poor prognosis ✔️ + CK7, CK20 (photo), 34betaE12 #gupath #pathology #uropathology
1
43
85
@smlungpathguy
Sanjay Mukhopadhyay
2 years
@CArnoldMD
Christina Arnold, MD🦋
2 years
Let’s start Monday by sharing a picture of a simple place that once made you feel peace. No explanation needed. QT yours.
2
2
36
@DrTravisBrown
Dr Travis Brown 🎧
2 years
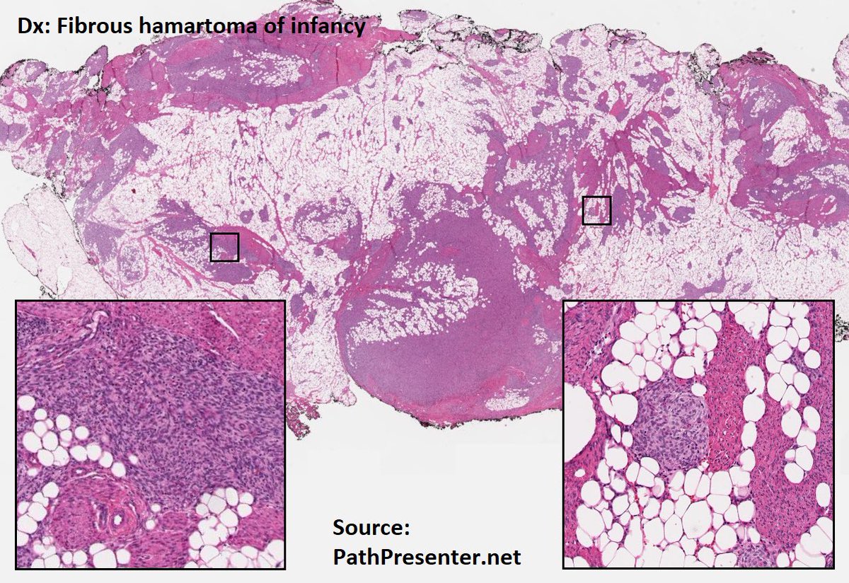
Histology flash card Fibrous hamartoma of infancy (FHI) Rare Usually <2yrs (90% <1yr) Oft solitary Location: subcut or reticular dermis Benign Rarely recurs (16% and may be explained by incomplete excision) Histo Mature adipose tissue Fibrous tissue Myxoid & basophilic areas
0
10
24
@slusagar
Ankur Sangoi
2 years
#GUpath #IHCPath textbook example showing how uroplakin2 > than uroplakin3 (outside case review from bx of urothelial ca metastasis)
0
10
23
@atman_ci
Dr. Luca
3 years
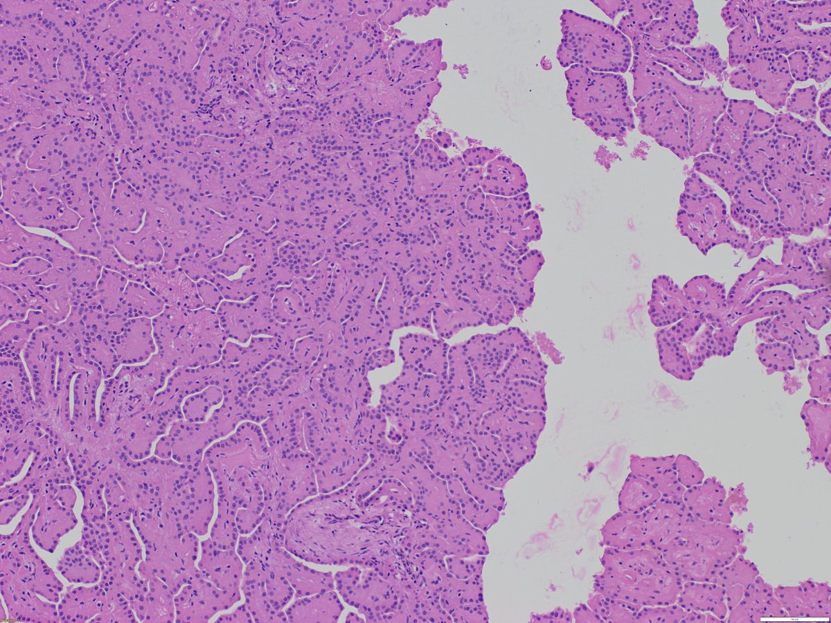
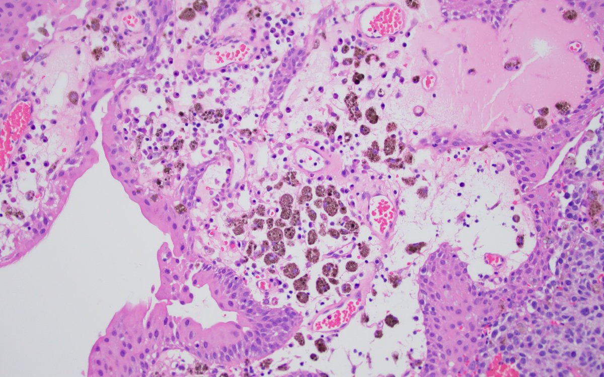
#Pathology #PathTwitter #PathResidents a rare finding in neoplastic kidney #GUPath, much thanks @nandinipath for showing us!
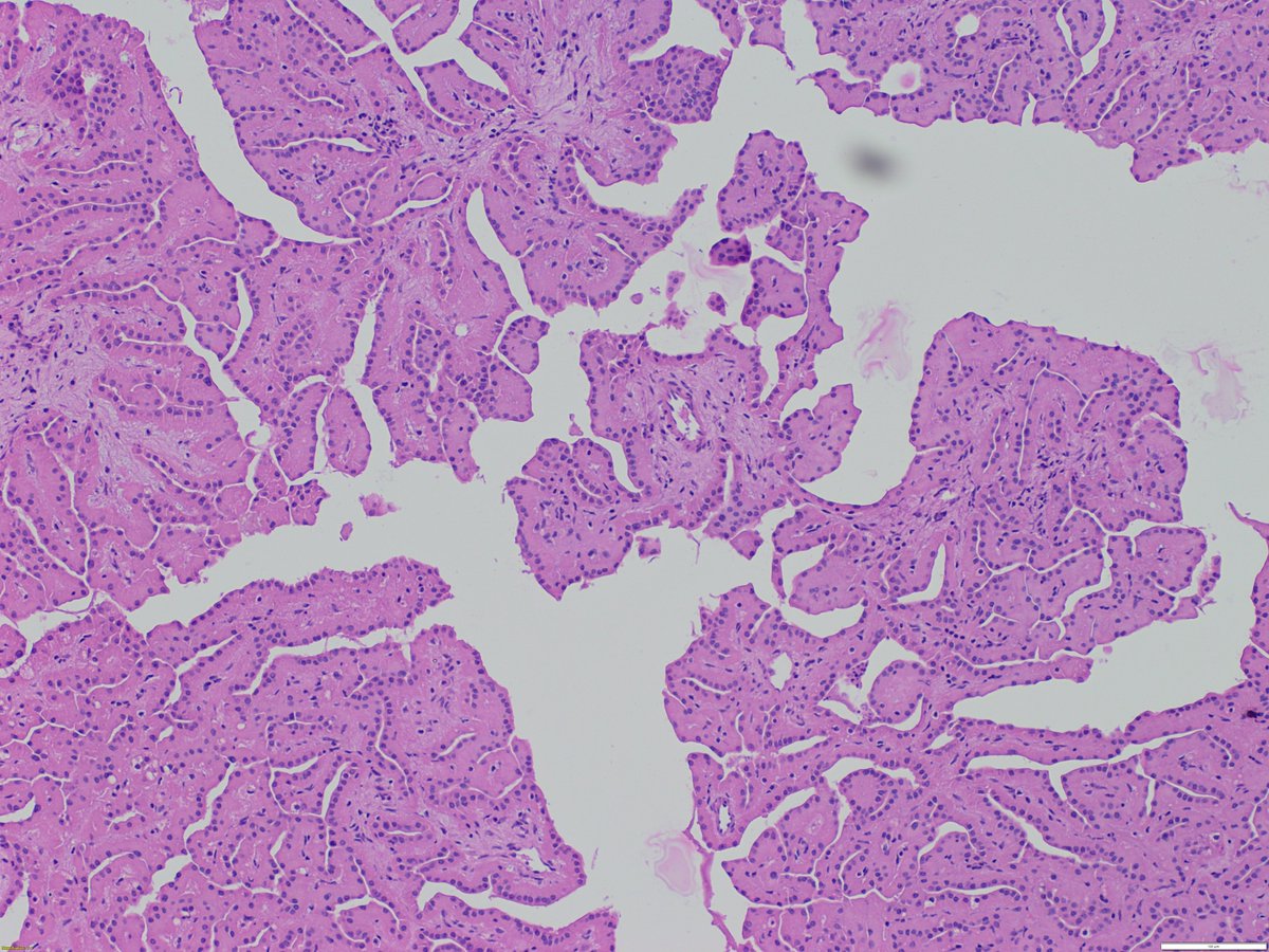
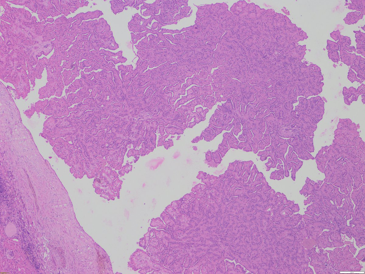
@nandinipath
Nandini govindarajan
3 years
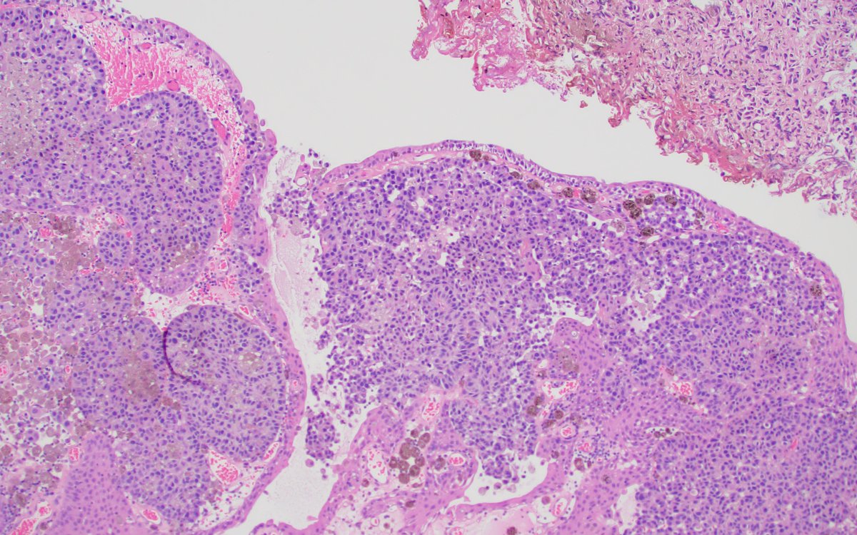
66/F incidental renal tumor.#renalpath @slusagar @rajalbshah @ashokparameswar @priyaraomd @atman_ci @TristanRutland7 More pics in the second tweet.
1
1
7
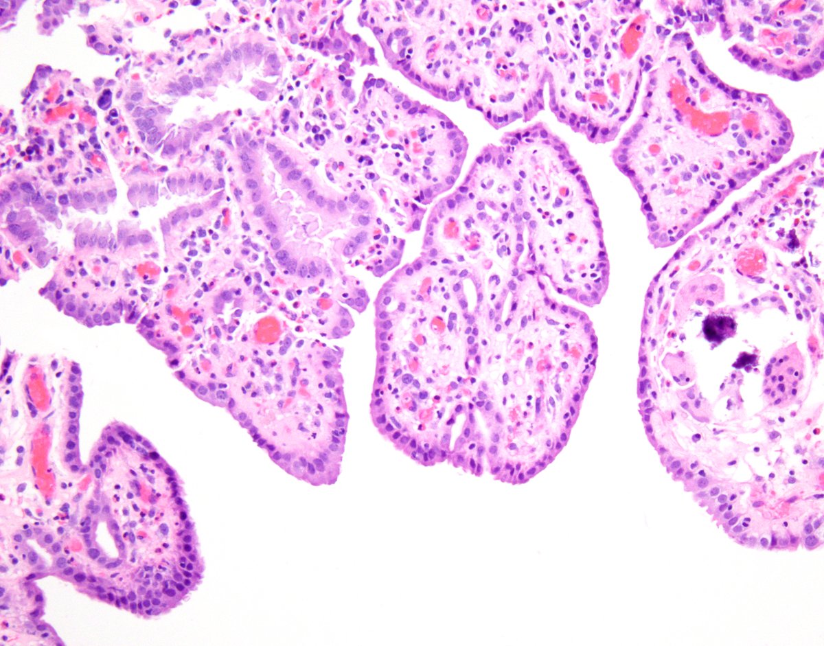
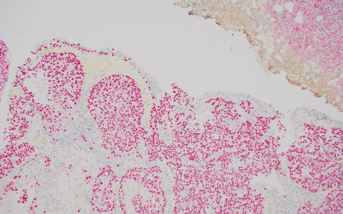
@rovingatuscap
Samson W. Fine, MD
3 years
May is #bladdercancerawarenessmonth - important to recognize lesions which mimic #bladdercancer Nephrogenic metaplasia/adenoma: - various architectures (papillary, tubular/glandular, vascular-like...) - cuboidal to hobnail nuclear features - prominence of basement membrane
2
44
116
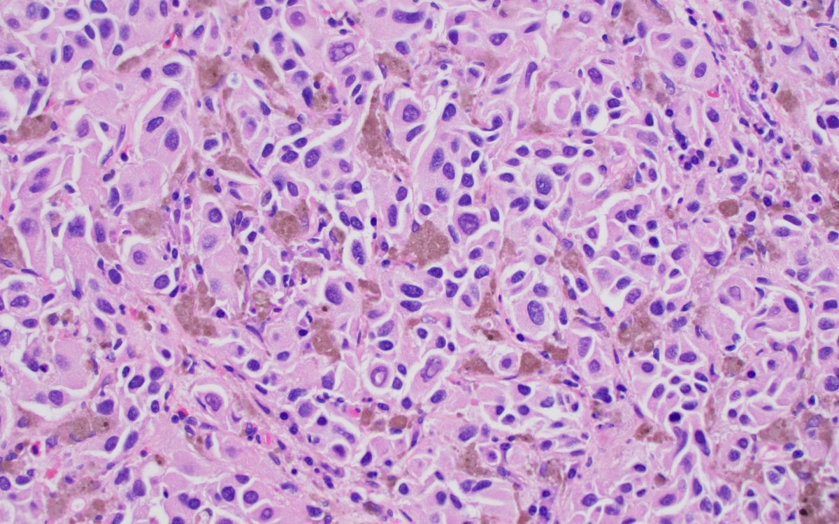
@GladellPaner
Gladell Paner, MD
3 years
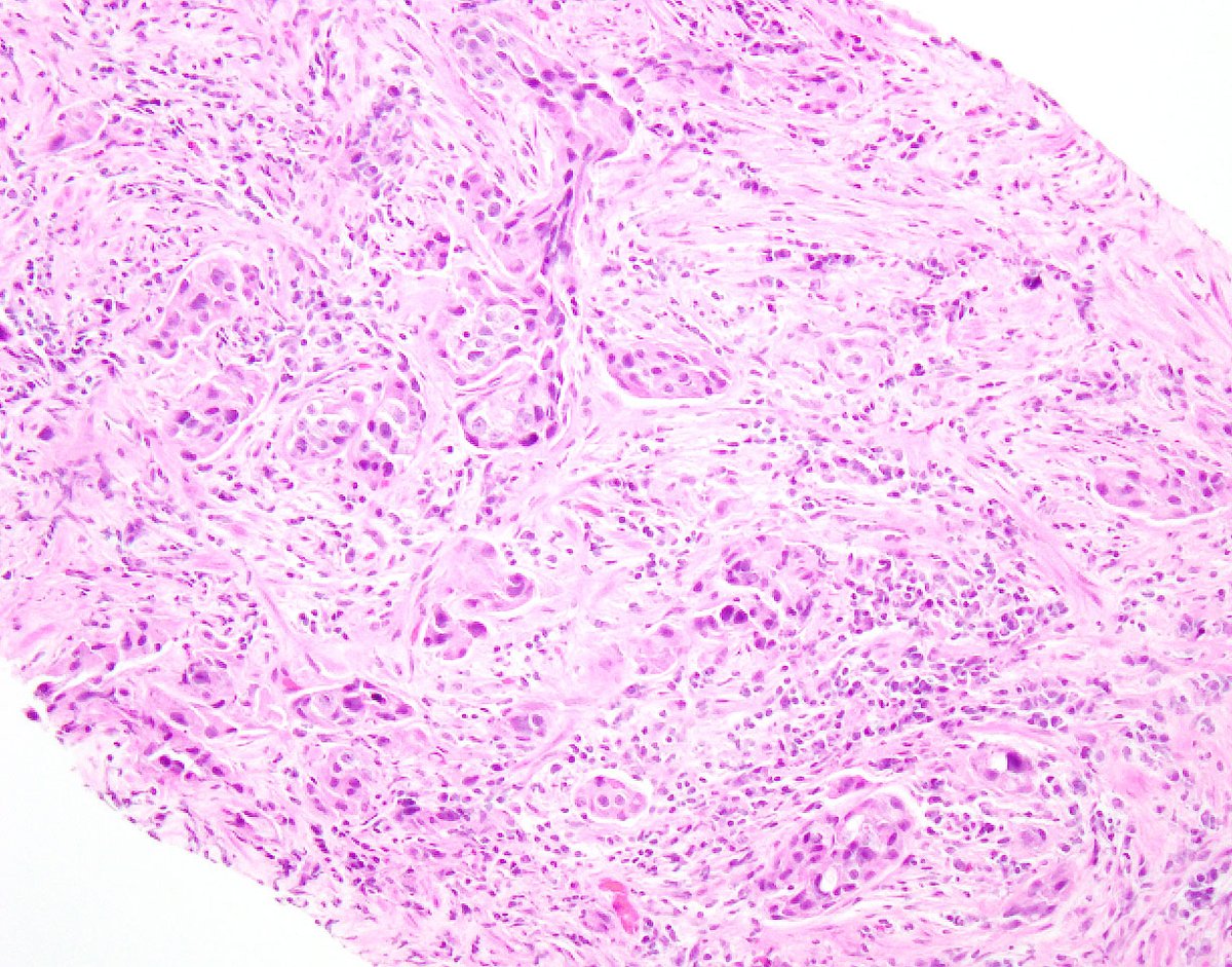
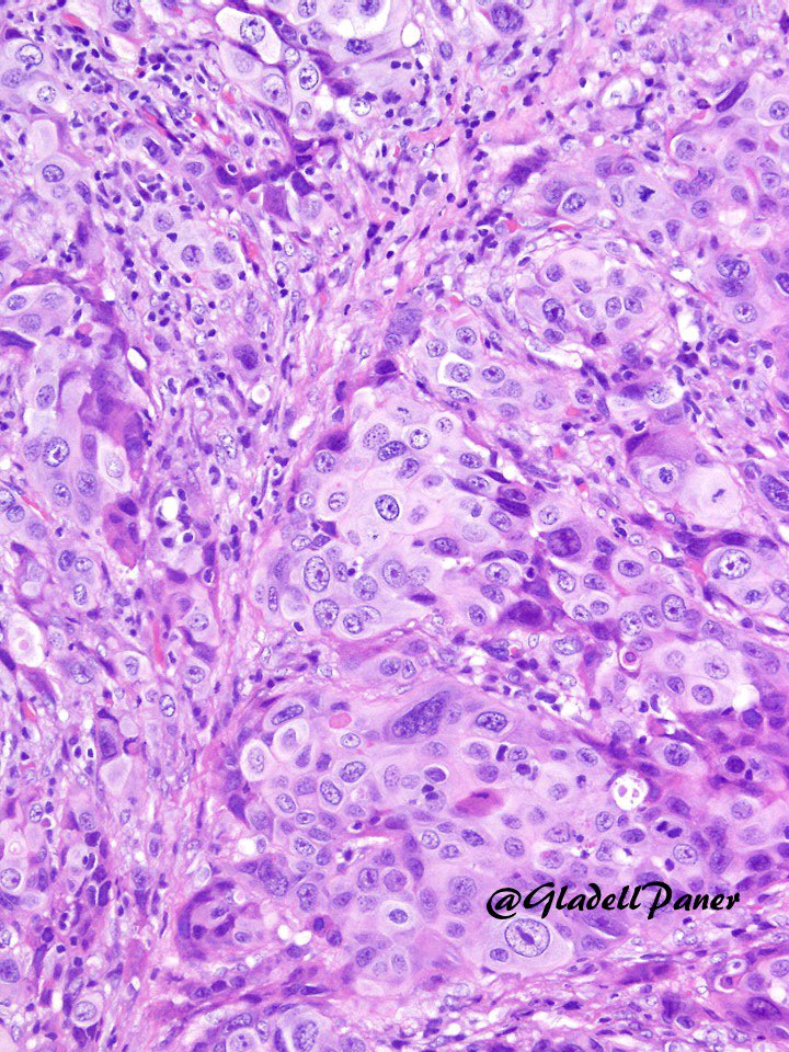
Their presence can be subtle 🔬 Urothelial carcinoma with trophoblastic differentiation. Note the syncytiotrophoblasts occasionally surround (cap) the urothelial cells and are thinned out. See IHC in comment. #GUPath
9
76
230
@atman_ci
Dr. Luca
3 years
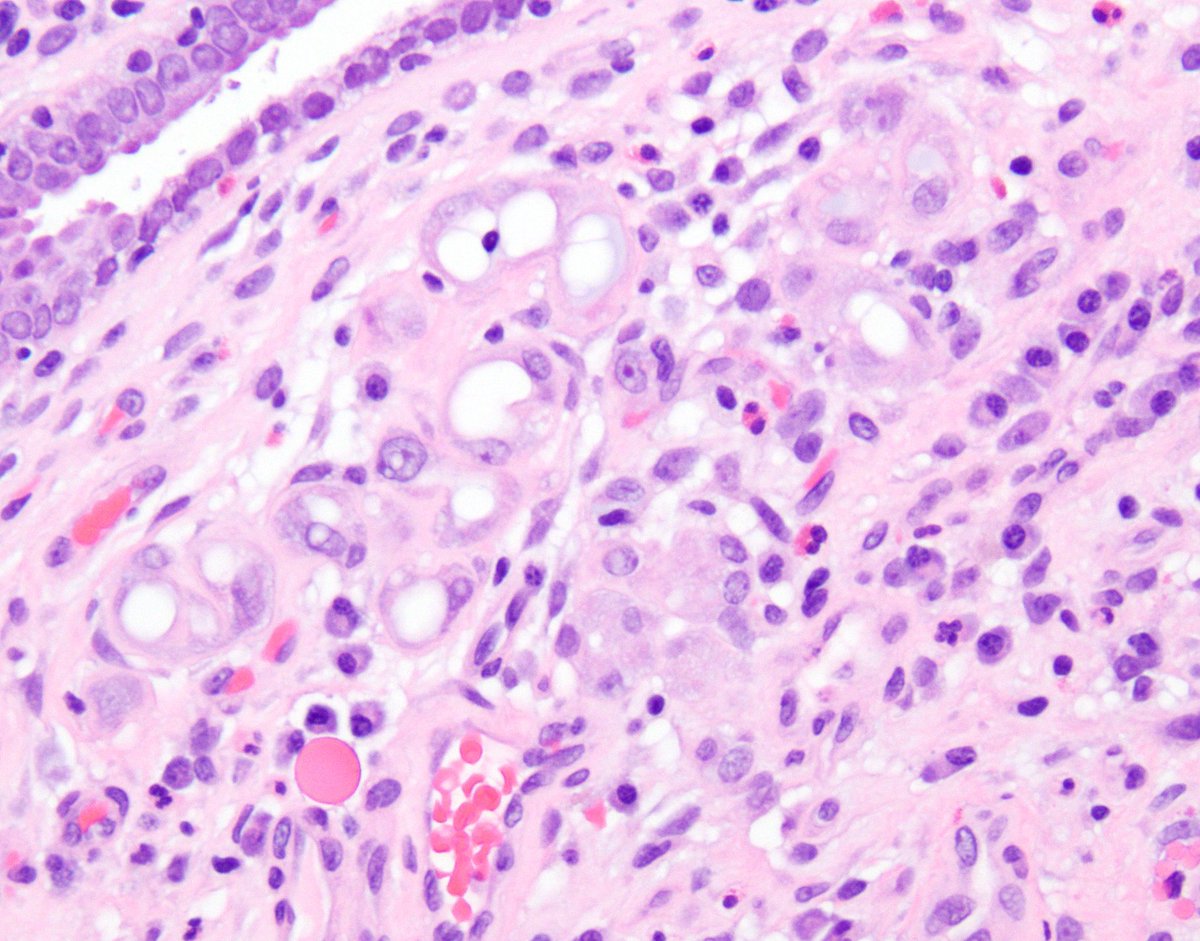
#Pathology #PathTwitter #PathResidents a super rare finding in neoplastic kidney #GUPath, much thanks @behtashg for showing us! #PathTweetAward
@behtashg
Behtash
3 years
Collision of clear cell renal cell carcinoma and papillary renal cell carcinoma! This #prcc is trying to invade #ccrcc! #PathTwitter #gupath
0
3
9
@rovingatuscap
Samson W. Fine, MD
3 years
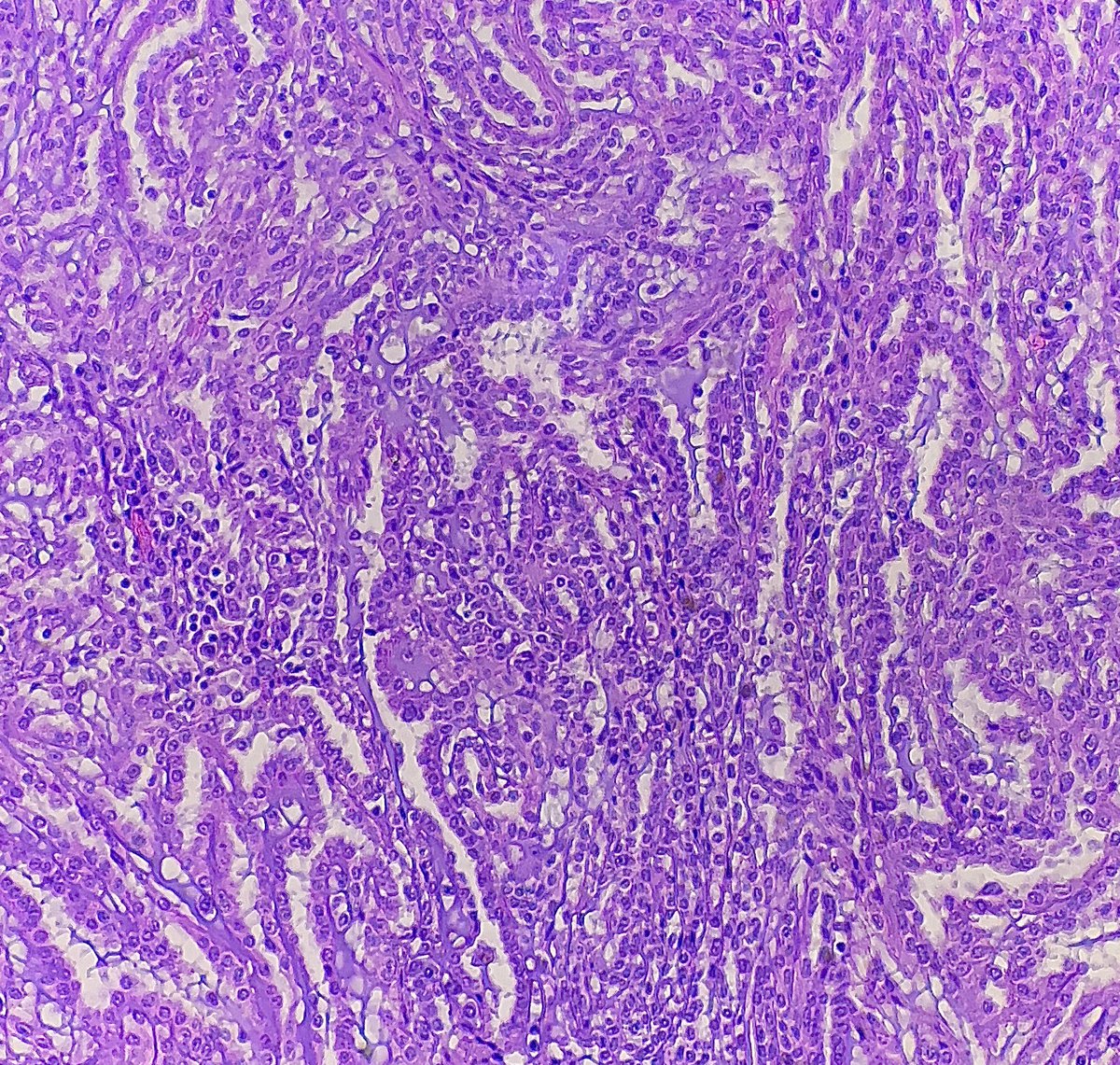
May 2023 is #bladdercancerawarenessmonth Urothelial carcinoma can invade the prostate, mimic high grade #prostatecancer & occasionally be sampled on needle biopsy (see PICS) #gupath
4
34
78
@IntSocUropath
International Society of Urological Pathology
3 years
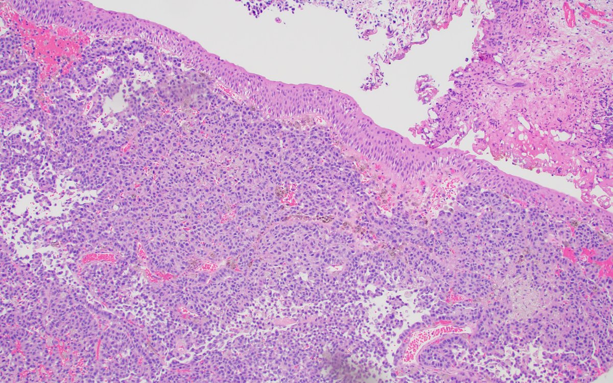
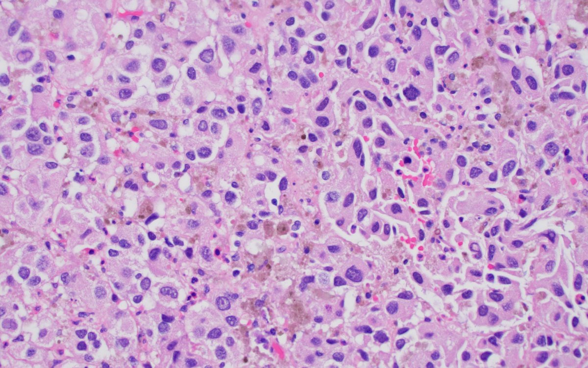
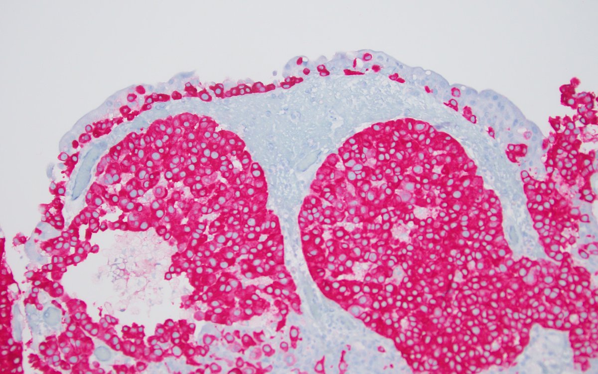
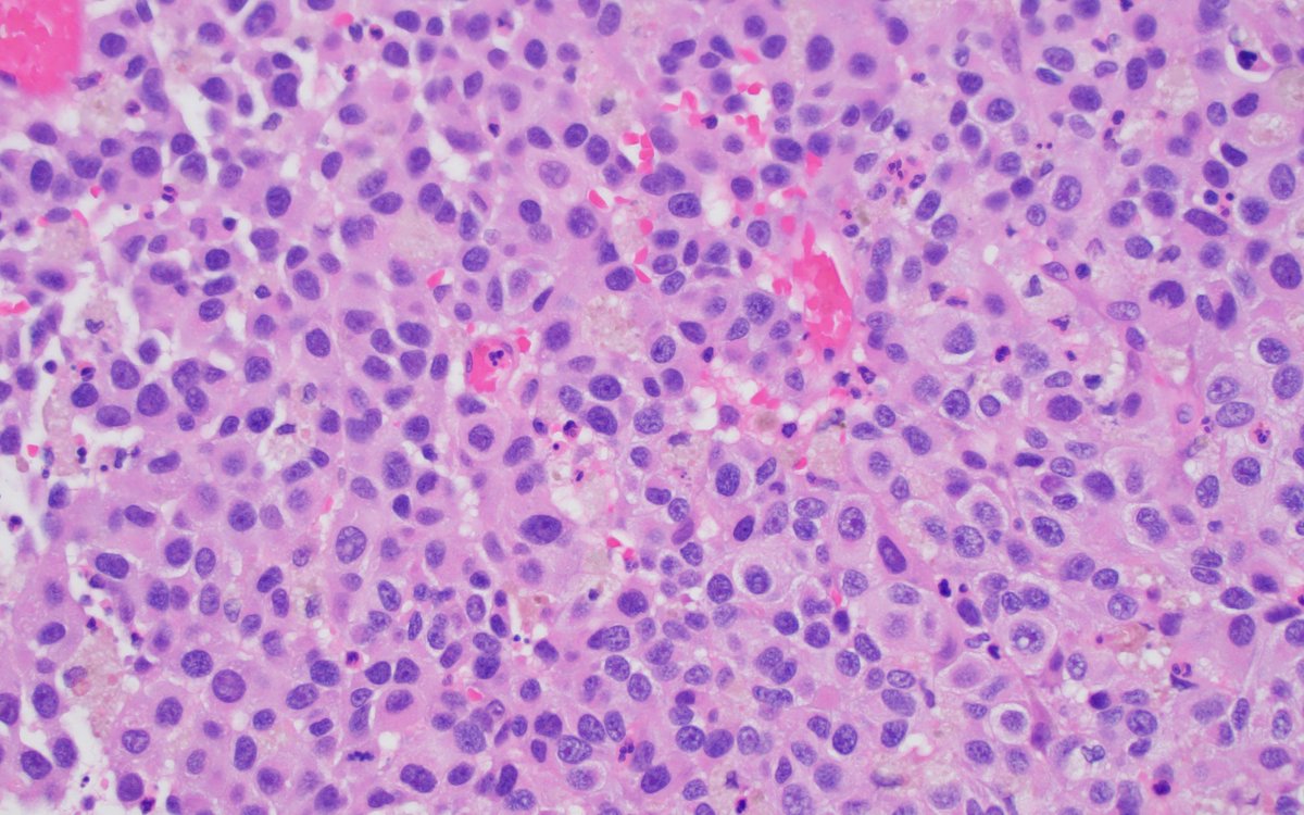
Case of the month May 2023 47F with bladder wall mass ➕ GATA3, SYN, CG, INSM1 ➖ CK AE1/AE3 S-100 protein highlights sustentacular cells Authors: Katrina Collins (@SueEPig), Jessica L. Davis, Andres Acosta (@Andres_M_Acosta) @IndianaPath #IUpath
2
36
96
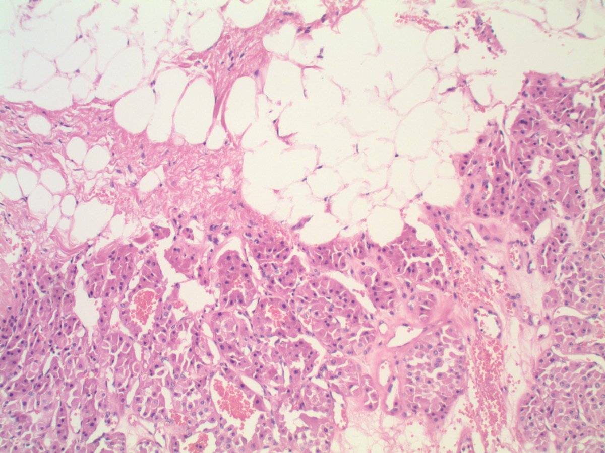
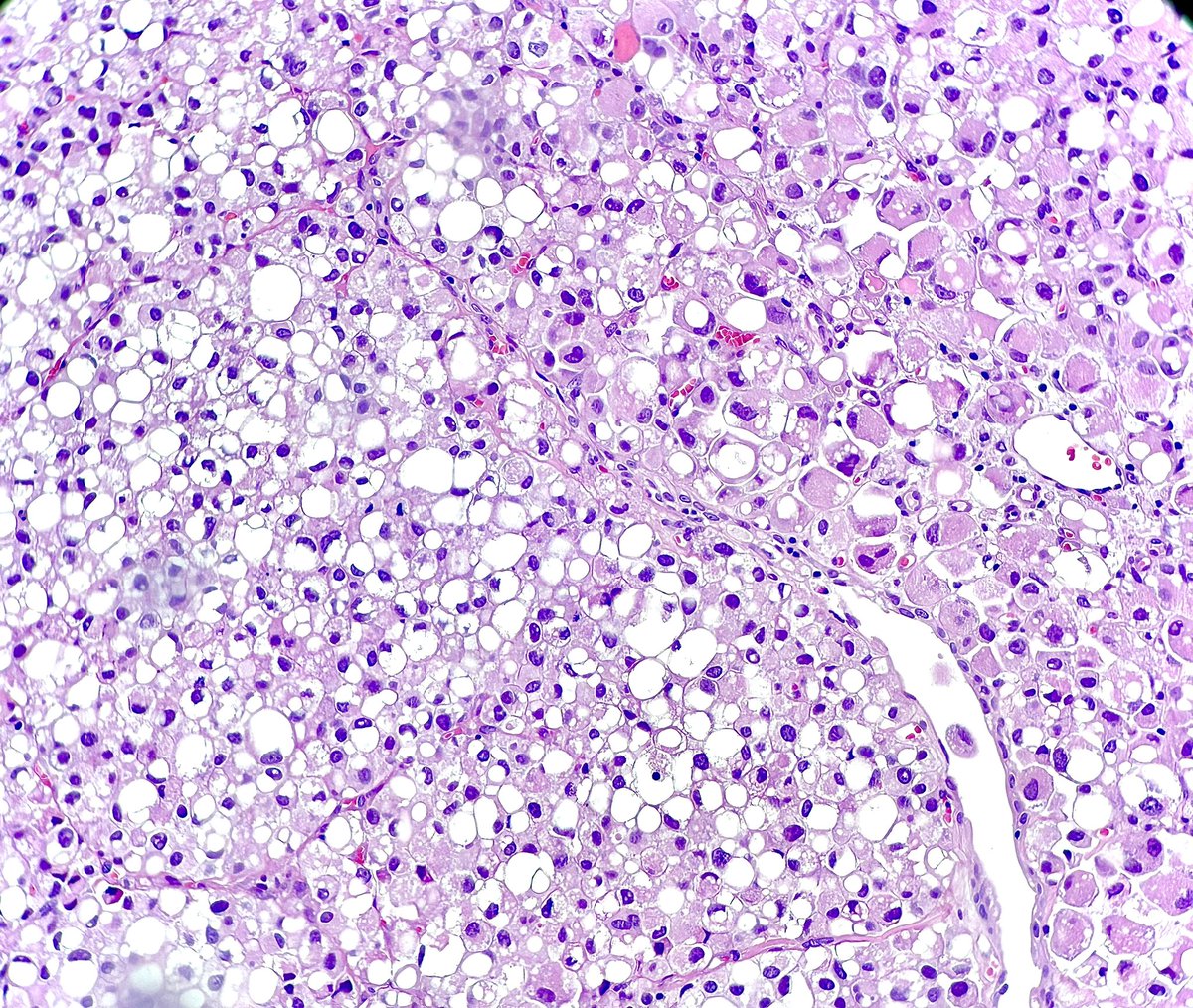
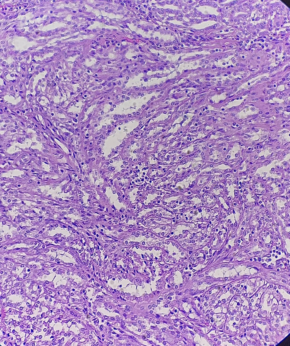
@slusagar
Ankur Sangoi
3 years
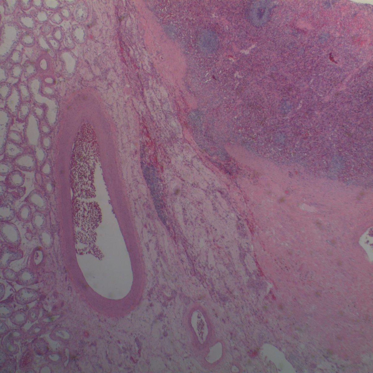
#GUpath nephrectomy: renal oncocytoma, "invading" perinephric adipose tissue ✔️does not necessarily itself portend malignancy PMID: 9255250 PMID: 21166703
1
14
46
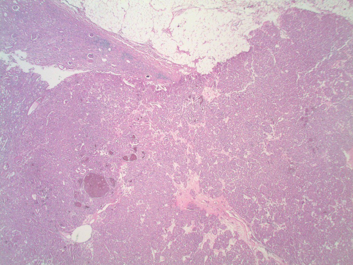
@DrJuhlin
C. Christofer Juhlin
3 years
Left-sided adrenalectomy in an adult. Localized mass, non-producing. White cut surface, firm, lobulated, with extraadrenal extension. Histological images in the thread below!
8
44
102
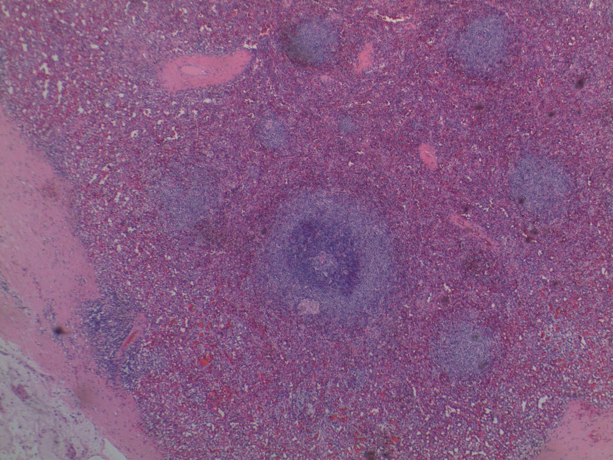
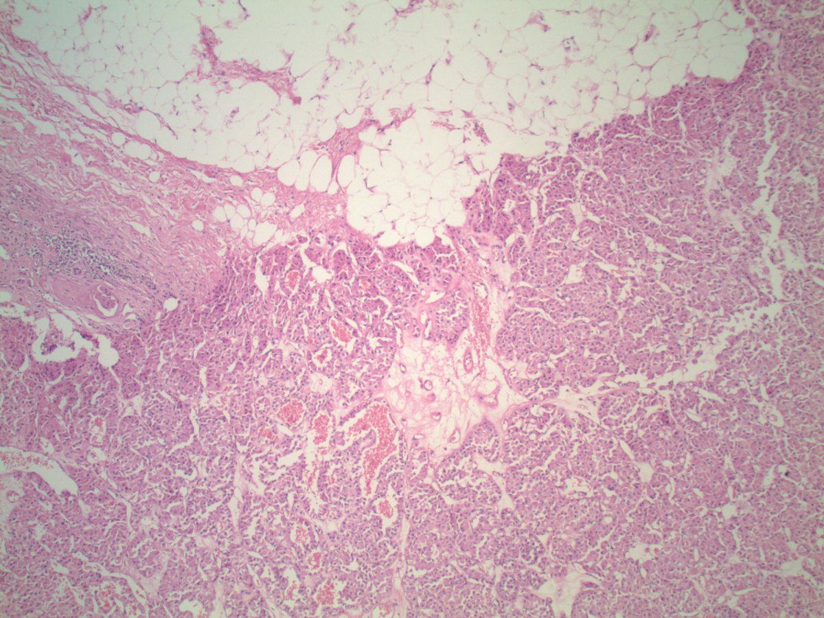
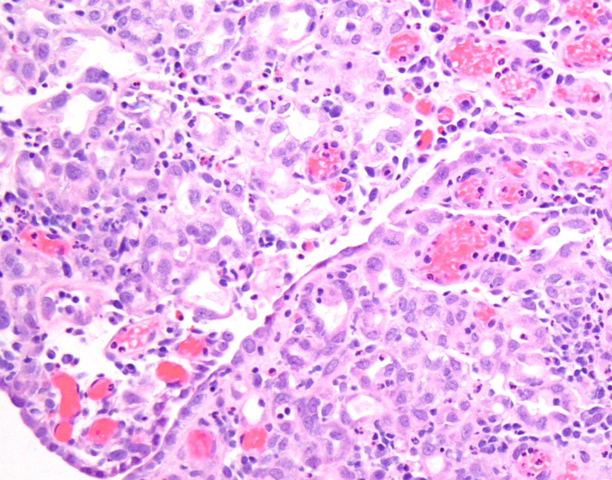
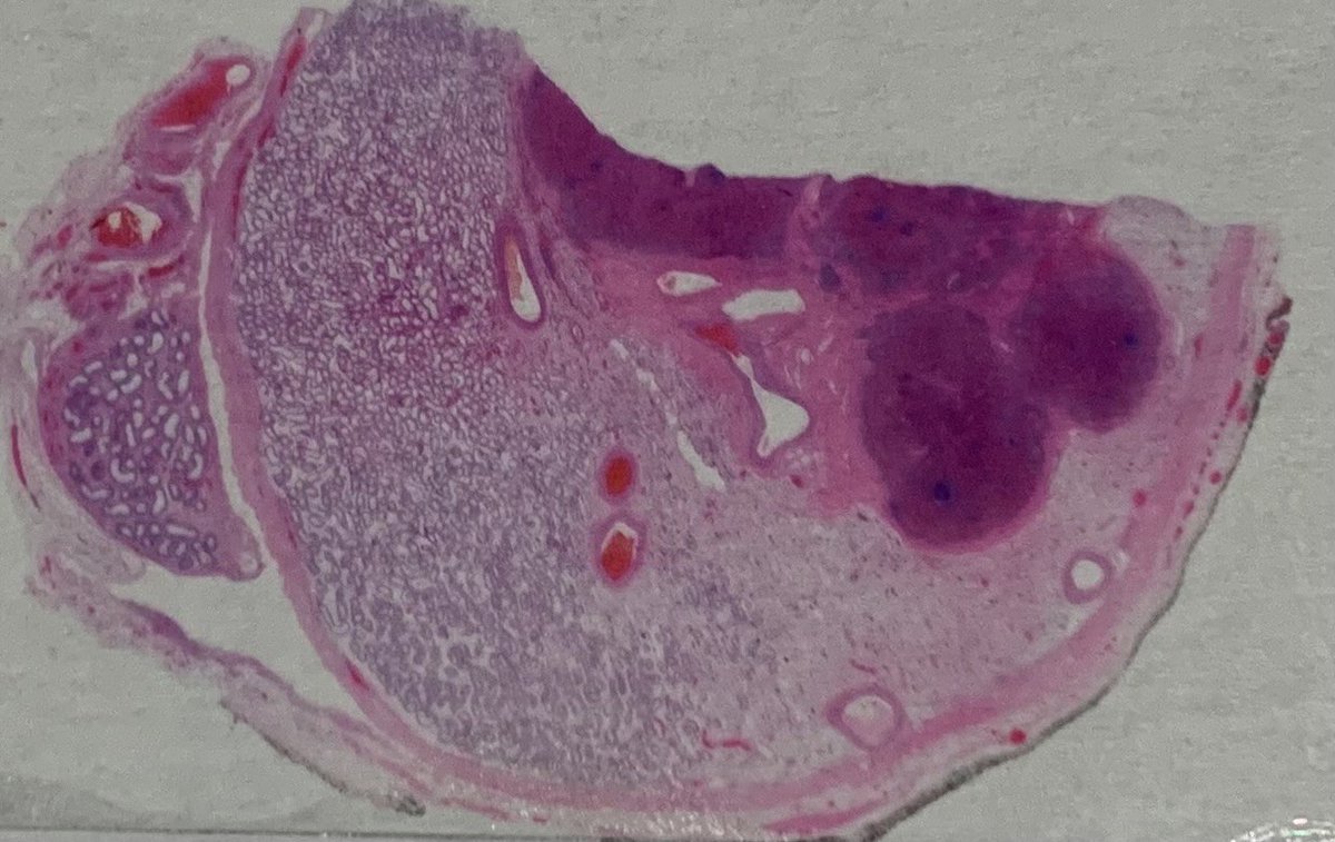
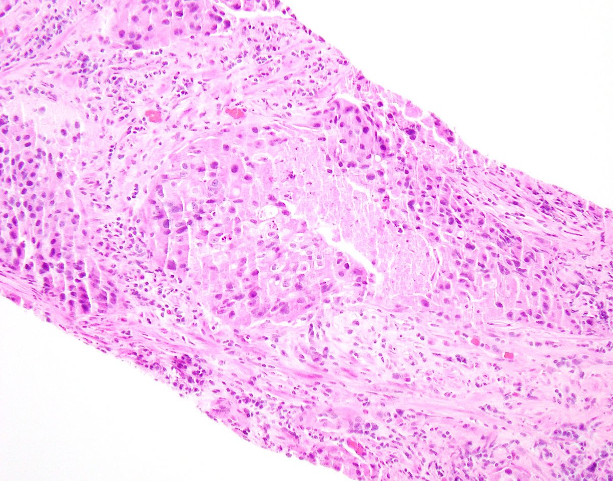
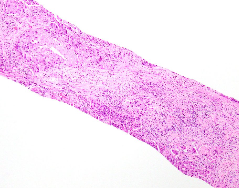
@EKoubaMD
Erik Kouba
3 years
Splenogonadal fusion; young man with testicular lesion #Gupath #pathology #PathTwitter
2
20
49
@DrShariat
Shahrokh F. Shariat
3 years
Read this paper ! Great overview.
0
3
11