ALBoothMD Profile Banner
Adam L. Booth, MD Profile
Adam L. Booth, MD

@ALBoothMD

Followers
13K
Following
53K
Media
1K
Statuses
20K

Assistant Professor, GI/Liver Pathologist @wusm_pathology 🔬 #gipath #liverpath #pancpath

St. Louis, MO
Joined June 2011
Don't wanna be here? Send us removal request.
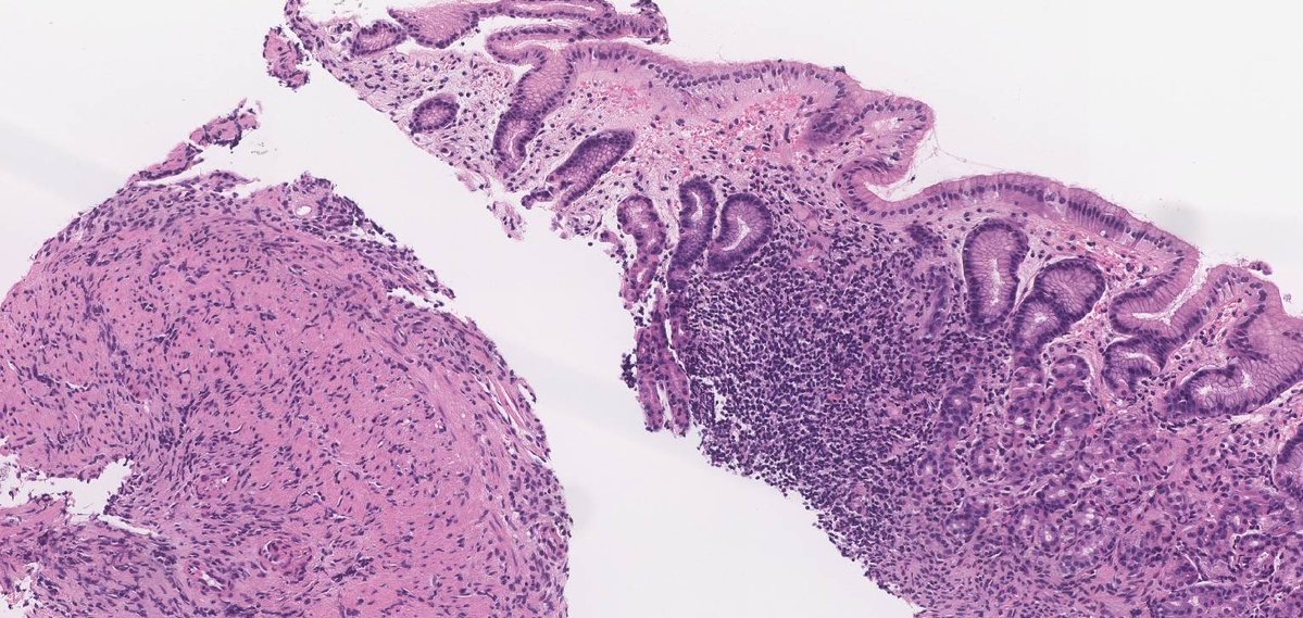
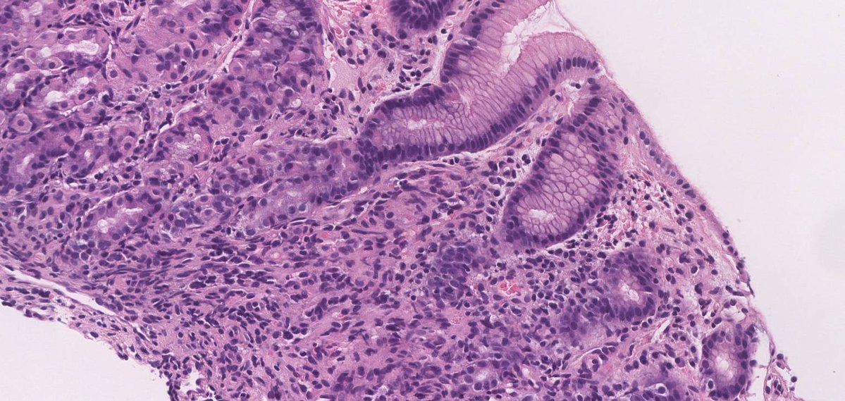
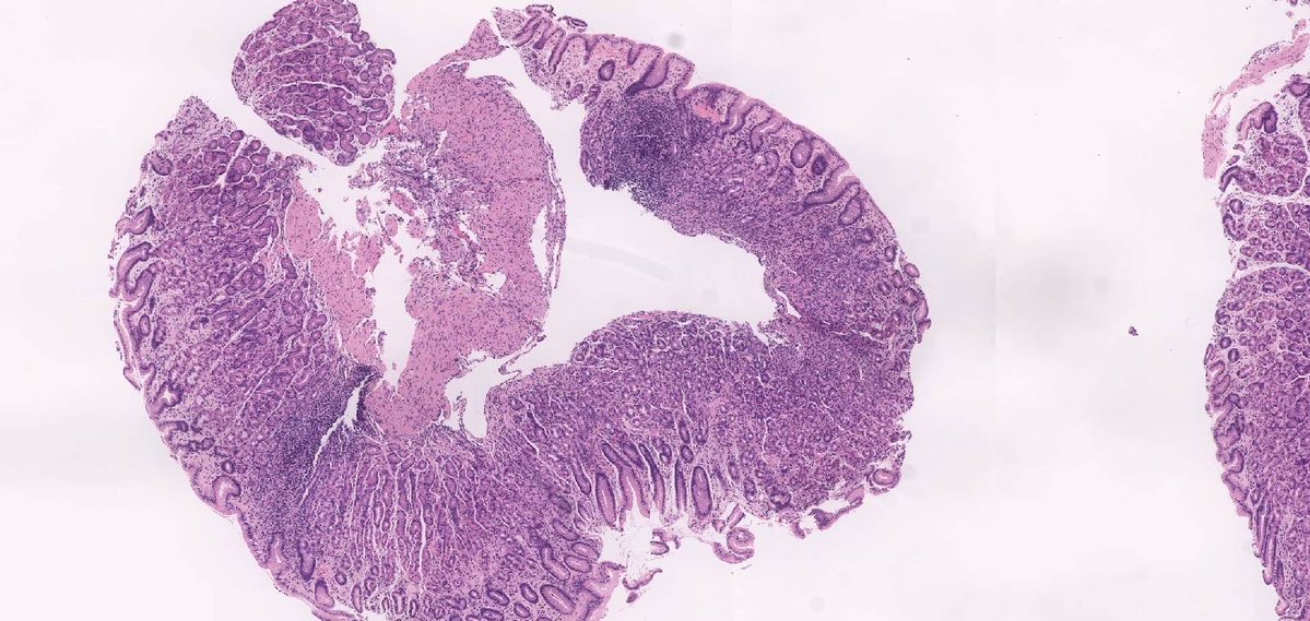
@RunjanChetty
Runjan Chetty
2 days
6
15
37
@KMirza
Kamran Mirza MD PhD - کامران مرزا
2 days
Pathology residents: this one is for you!! @PathologyInfo is searching for its next #SocialMedia Liaison, a volunteer role for a resident who wants to help shape how our field welcomes and informs the next generation. You will collaborate with leaders from @apcprods
0
14
24
@larianstudios
Larian Studios
1 day
Built by the team who brought you Baldur's Gate 3, Larian Studios unchains its ambitions to bring you an RPG with greater breadth & depth than ever before. Divinity - The gods are silent. Rivellon bleeds. New powers stir.
0
122
3K
@pvhernandezmd
Patty Hernandez, MD
29 days
@washu_pathology past and current #MolPath fellows at #AMPath2025 @AMPath #PathX
0
5
10
@LiverPath_HPHS
Hans Popper Hepatopathology Society
1 month
📣 Upcoming Webinar Nov 14! 🔬Immunity and the Liver: A trio of interesting cases ⭐️ Drs Emily Wilson & Jingmei Lin - @WakeForest, Joshua Wong & @dhingra_sadhna - @HMPathology, and @juliagallardo23 & James Mitchell - @UTSWMedCenter 📨 Check email for registration info #liverpath
0
2
2
@IHC_guy
Andrew Bellizzi 🇺🇦
1 month
Please join us this Wednesday, November 12 at 11 am ET for @OHSUPathology's Vanderlene Kung's erudite lecture on the role of "IHC/IF in Medical Kidney Disease." See you soon! Register here: https://t.co/XZEQM7Ount
1
24
44
@ClerkDev
Clerk
25 days
All-in-one solution - Org invites - RBAC - Subscription billing Clerk helps your SaaS grow and monetize faster.
0
4
79
@KMirza
Kamran Mirza MD PhD - کامران مرزا
1 month
🚀 You don’t want to miss this — #MissionMarvelous has launched! @themuldermethod and I are on a 100-day mission with @mybookwish (MI chapter) to share Mia the Marvelous Lab Explorer - our new children’s book - with 100 kids and families facing leukemia, 100 schools, and 100
3
16
48
@KMirza
Kamran Mirza MD PhD - کامران مرزا
1 month
It’s here!!! Mia the Marvelous Lab Explorer is now available for pre-order 🥳🥳🥳 This story celebrates ALL in the house of medicine but with a special shoutout to the behind-the-scenes heroes: the pathologists and medical laboratory professionals whose discoveries change
7
29
87
@BilalMohammadMD
Mohammad Bilal, MD
2 months
So proud and in awe of @TrieuMD for co-directing the Women’s Initiative for Success and Empowerment in Gastroenterology Leadership Course (WISE GI) at #ACG2025 ! True rising leader in the field who continues to inspire on all areas of #GI @AmCollegeGastro
2
10
40
@PurdyStout
Arthur Purdy Stout Society
2 months
@IHC_guy here--writing as Chair of the @PurdyStout Membership Committee. Our good friend Andrew Horvai is retiring 🎉and he's asked me to recruit a committee replacement. Join me & Valerie Fitzhugh in supporting membership. Open to APSS regular members. andrew-bellizzi@uiowa.edu
1
10
18
@IHC_guy
Andrew Bellizzi 🇺🇦
2 months
Shameless self promotion? You be the judge😂 I'm writing to welcome everyone to our @ISIMMweb webinar, Wednesday, October 15 at 11 am ET in which yours truly will present "IHC in Difficult Hepatobiliary Lesions: What Can Brown Do For You?" Register here: https://t.co/G0OlACSKcO
14
53
169
@_VeronicaNMB
Veronica Martinez-Brockhus, MS
3 months
Hi I’m Veronica, an aspiring #Pathologist who’s passionate about cancer #research. I just submitted my #ERAS & would love to connect with you🔬Best of luck to those applying to #Residency this cycle! #Match2026 #PathX #Pathology #Medicine
16
21
331
@pathologistmag
The Pathologist
3 months
🚨 The Pathologist Power List 2025 is now LIVE! Meet 50 Leading Voices moving pathology forward with big ideas and bold action. 👏 Celebrate this year’s winners and read their essays: https://t.co/lK9VlchaLX #ThePathologist #PowerList2025 #Pathology #PathX #PathTwitter
1
11
44
@KMirza
Kamran Mirza MD PhD - کامران مرزا
3 months
Thanks to everyone for the birthday love this weekend 🙏🏽 #ThisIs45 To try and stay relevant, I’m embracing this gem (first shared with me by the brilliant Dr. Lou Edje @ledje): 👉 “If you’re over 45 and don’t have an under-30 mentOR (not mentee), you’ll miss fundamental shifts
26
9
98
@DrSwatiBhardwaj
Swati Bhardwaj, MD
3 months
Thrilled to be recognized with the Outstanding Communicator Award at #CAP25! Deeply grateful @Pathologists for this honor, to my mentors and colleagues who inspire me every day to amplify the voice of pathology.
8
3
61
@TheBatoolMD
TheBatoolMD
3 months
This journey has surpassed all I envisioned when starting residency. Truly honored and blessed to be elected to the CAP @Pathologists RF Executive Committee last weekend. I look forward to uplifting diverse voices and shaping a vibrant, inclusive future for residents. #CAP25
3
4
37
@PancPathologist
Aatur Singhi, MD PhD
3 months
Large serous cystadenoma (the patient became symptomatic, necessitating surgical resection). These large #SCAs (and those with accelerated growth) often acquire not only VHL alterations, but mutations in TP53, hTERT, and IDH1/2. #Pathology #GIPathology #Pancreas #PancreaticCysts
1
31
87
@CAPA_comm
Chinese American Pathologists Association
3 months
🎉 The CAPA–CAP Companion Session at the #CAP25 Meeting today was truly a blast! Thrilled by the incredible engagement and stellar talks — huge THANK YOU to everyone who joined us! #PathTwitter
0
10
40
@_VeronicaNMB
Veronica Martinez-Brockhus, MS
3 months
It takes a village- so grateful to have support from such an amazing one. #CAP25 @Pathologists @GGMTorresMD @KMirza @ZhaiJim @kalishahillmd #futurepathologist #physicianscientist #medicalstudent #eras
0
7
49
@HansiniMD
Hansini Laharwani
3 months
3 days at @Pathologists have been nothing short of inspiring — filled with meaningful discussions, reconnecting with old friends, meeting new colleagues, and learning from some of the brightest minds in pathology #CAP2025 #Pathology #Pathtwitter #Pathfamily
3
4
39