pathobot
@pathobot
Followers
1K
Following
236
Media
2K
Statuses
2K
May find similar #pathology cases. T/RT not medical advice. By @schaumberg_a. Profile pic @dr_MPrieto. Cite https://t.co/NtWzwINDiP
Joined February 2019
I provide an AI-driven #pathology case search service on Twitter https://t.co/S0IptWiuOC Search includes Twitter and PubMed cases. Please share your cases with me, so we can work together to connect pathologists and cases worldwide! 🙏💜 Thread: https://t.co/CVokXr3rD7
I provide an AI-driven pathology case search service on Twitter. If you're a collaborating pathologist with a case to share, mention "@pathobot" in your post and I will search. Please share your cases with me, so we can work together to connect pathologists and cases worldwide!
2
21
36
Search https://t.co/3RDhmnJDg0 1 https://t.co/Dzof2AtQDj 2 https://t.co/v9UwV2TSsu 3 https://t.co/YZad6dJhwu 4 https://t.co/Sy4S9Y5kzi 5 https://t.co/tAnZUNFDoG 6 https://t.co/rbhntTZkGN 7 https://t.co/NYrx2dUKk9 8 https://t.co/41GxnW88bq .
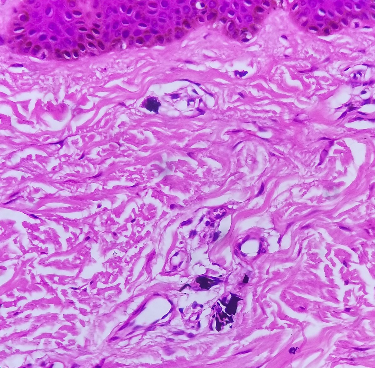
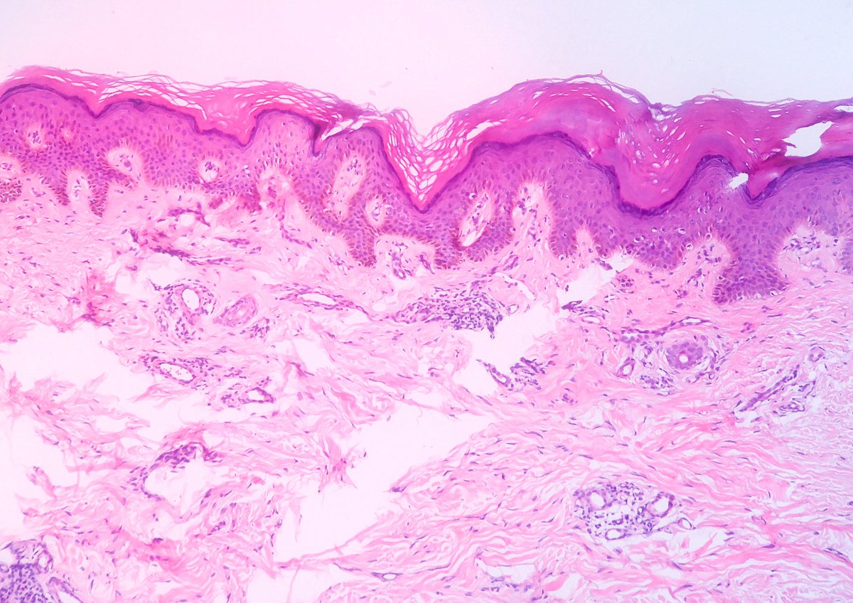
75 Y female with recurrent lesions on both arms. Clinical Dx- Prurigo N. 2-4=Oblique sections 😪 Your opinions @JMGardnerMD @SGottesmanMD
1
0
1
Search https://t.co/V2nUW61xuR 1 https://t.co/Dzof2AcfLL 2 https://t.co/v9UwV3btR4 3 https://t.co/YZad6drGEW 4 https://t.co/Sy4S9XNJHK 5 https://t.co/tAnZUNo2x8 6 https://t.co/NtaFG9qTT7 7 https://t.co/mXqNdetO5Y 8 https://t.co/rbhntTHJPf .
@Dermpathl @SGottesmanMD @JMGardnerMD @Levelsx5 @phmckee1948 @luishcruzc @VijayPatho I'm not sure what they are sir
1
0
0
Search https://t.co/HcHag6brm3 1 https://t.co/PVkDOLaf51 2 https://t.co/iN9iQqvhJq 3 https://t.co/LGz7VWxThg 4 https://t.co/0YOy0DCWZ9 5 https://t.co/xk8HCwnHoZ 6 https://t.co/ZEPLjiJGma 7 https://t.co/nDDy2am2yI 8 https://t.co/2Zkpcr2xO2 .
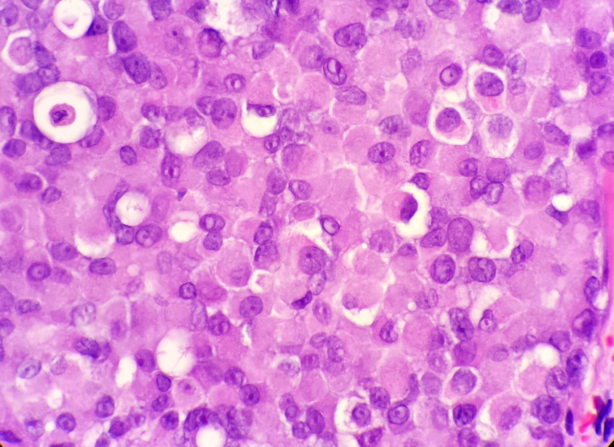
#caseoftheday pleomorphic LCIS: distended lobules with discohesive cells and abundant citoplasm. HE, E-CAD & p120 #breastpath
1
2
4
Practice patterns related to #prostatecancer grading: results of a 2019 Genitourinary Pathology Society clinician survey. The study establishes a basis for better communication between pathologists and clinicians @pathologistmag @pathobot @drmehrarohit
https://t.co/ZXysKo6DrN
0
3
8
Search https://t.co/fXrlITIckL 1 https://t.co/G1yf202gAI 2 https://t.co/tfx4oKi3qK 3 https://t.co/XoI0mwBUOI 4 https://t.co/NcUQDq8d5e 5 https://t.co/uGO6GUThr6 6 https://t.co/gc9kaZzJFK 7 https://t.co/Xe4k2ards2 8 https://t.co/HOeL6hjVTS .
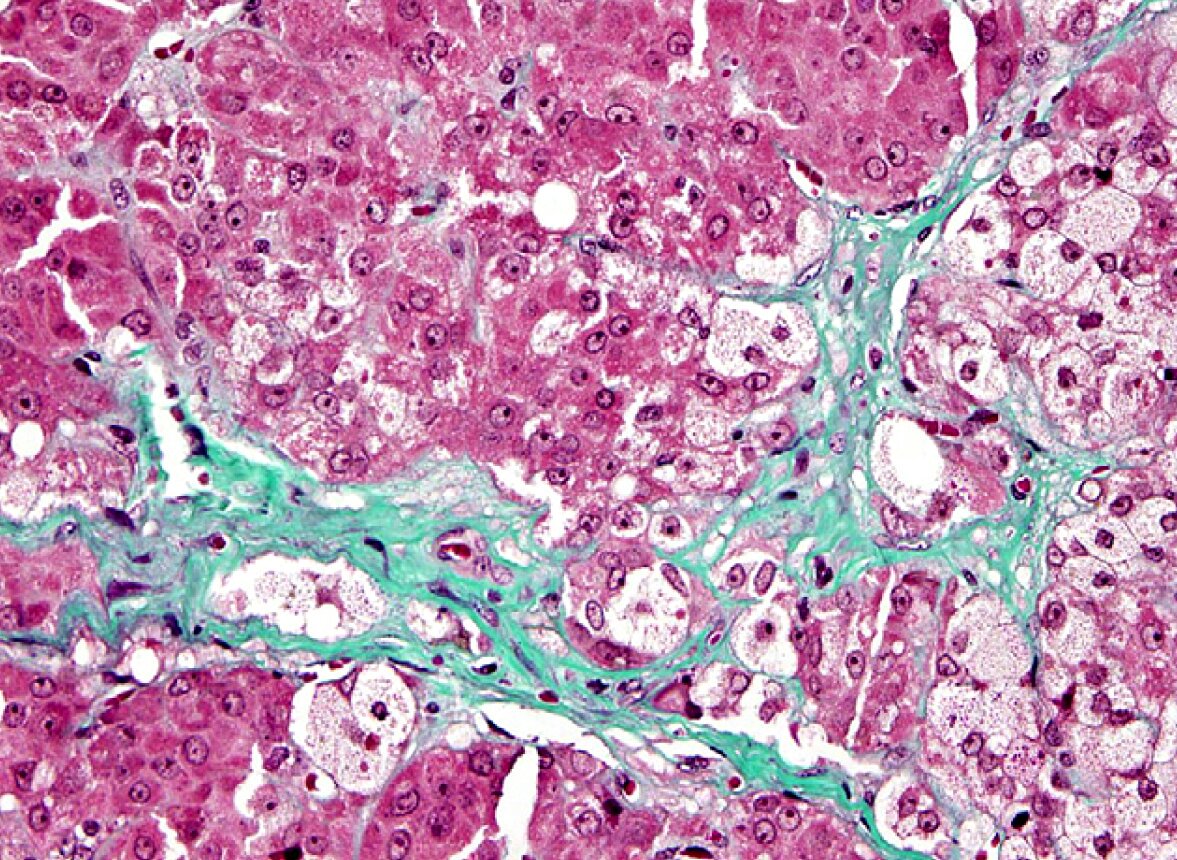
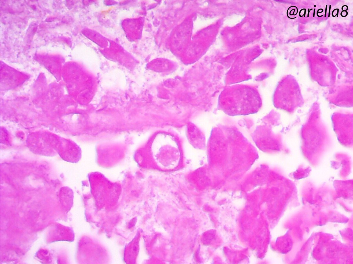
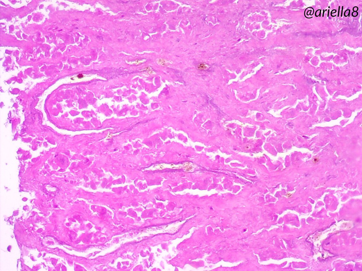
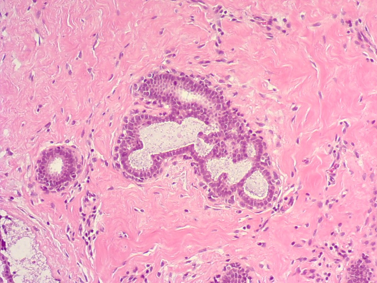
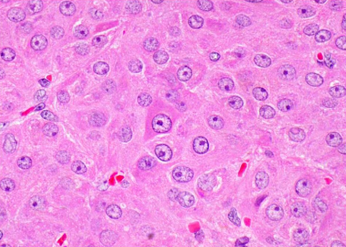
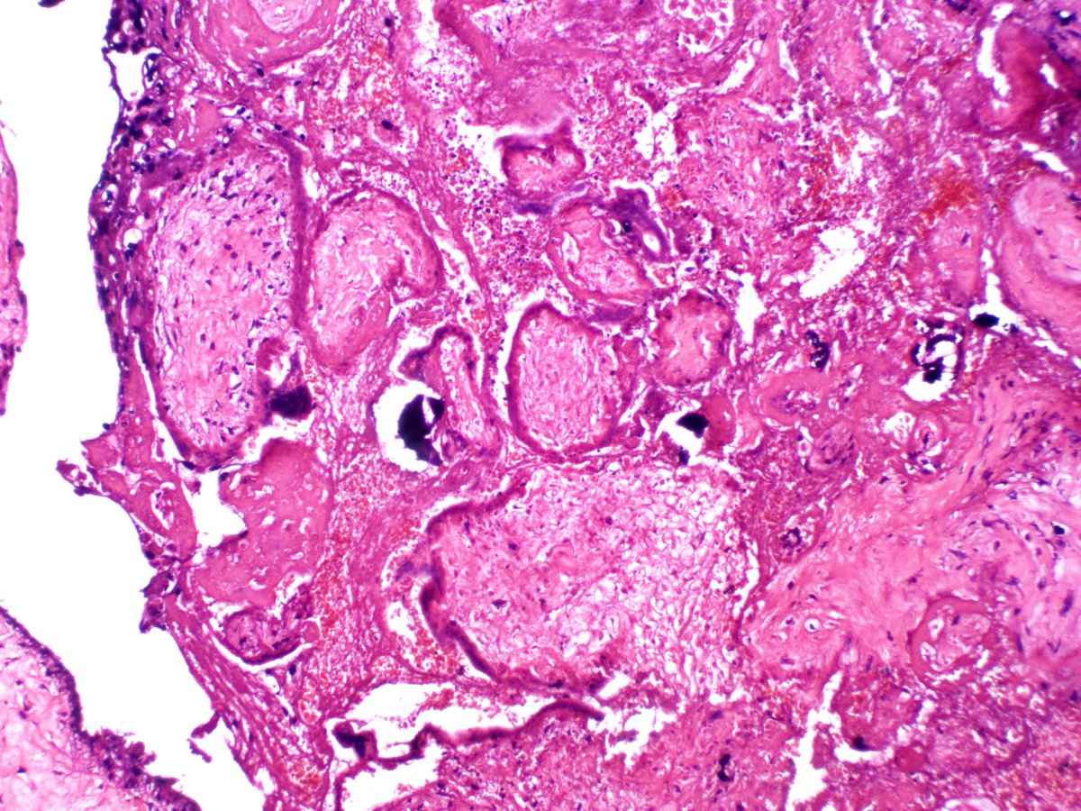
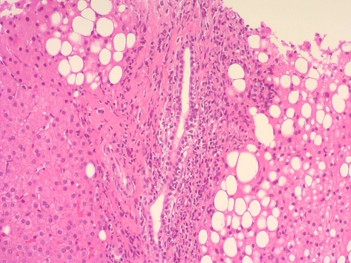
Dear #liverpath Please your opinion .Female 46yo,AMA neg,ASM positive,ALT 66,AST 99,ALP 583 GGT 98.Hx of metotrexate for 4 years (8 years ago ) for reumatoid arthritis ,1 year ago diagnosed with thyroid disorder ,currently on eutiroxina
1
0
4
Search https://t.co/Cf4yGn1B6T No results. Perhaps images or text were not recognized. If you are using "require", consider repeating your search without "require". More info at https://t.co/pU7YDZ5NO2 I will get @schaumberg_a to help me.
0
0
0
Search https://t.co/ibrVMmEWXb No results. Perhaps images or text were not recognized. If you are using "require", consider repeating your search without "require". More info at https://t.co/pU7YDZ5NO2 I will get @schaumberg_a to help me.
@aligsaad @pepeheffernan @atman_ci @PoloniaAntonio @kriyer68 @JMGardnerMD @bansar7 @TheKarenPinto @Dr_Brian_Cox @DrBMcGinn @quilla_sara @ivanaspath @GeronimoJrLapac @PathDocBoston @pathobot @LepinePathol @DelfinLuvy @nusrat_xahra @AngeloCassisa @ariella8 @padmapathology1 @SumantaDas_7 @Venkateshgilly2 @NeoCrazee @Pathmath1 @niki_2389
0
0
0
Search https://t.co/KWod2bnJ8L 1 https://t.co/CwcmfoigCd 2 https://t.co/S1noeuxxfh 3 https://t.co/XPy9608Rf6 4 https://t.co/UwFlpwNxxT 5 https://t.co/PoqT5NvX7Q 6 https://t.co/42WcgO6EaS 7 https://t.co/qPssdsqA3i 8 https://t.co/30GXLerC1Q .
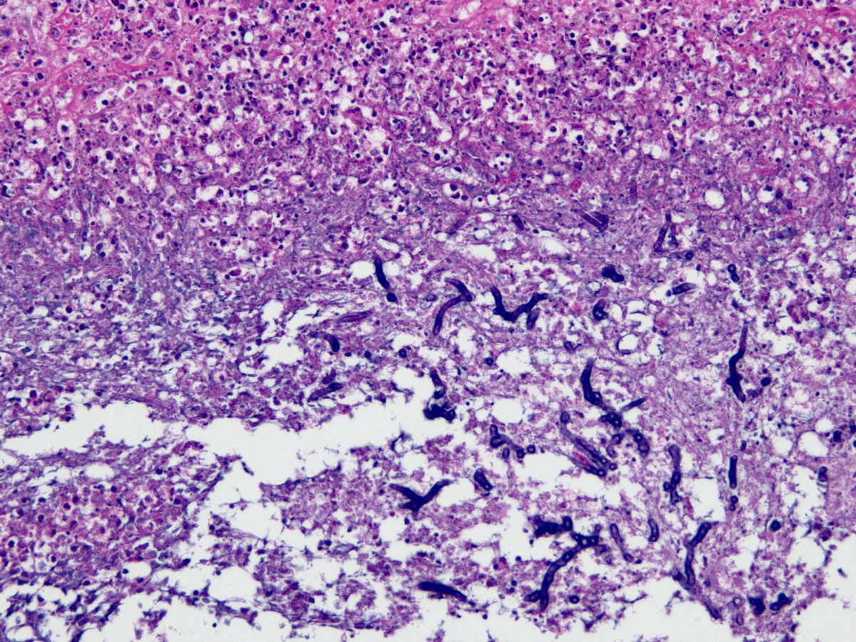
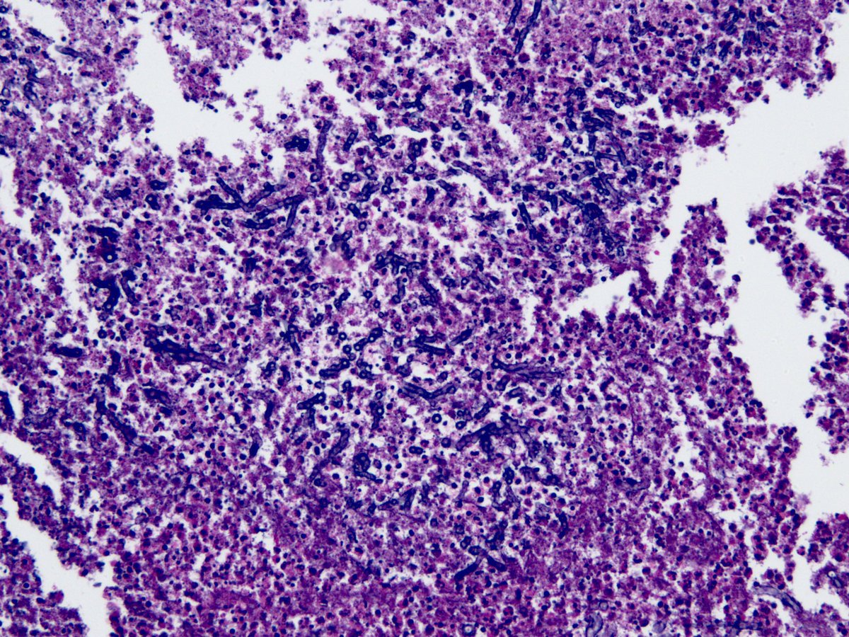
No one fell into the trap of assuming that this was carcinoma. Truly brave and wise 🙏🏾👍🏾 I tip my hat to @kriyer68 who #pembified the rare fungal hyphae in the pic with the fold. @ariella8 and @louis_balan were also right on target! 🎯🔥 Permanents 👇🏾 = aspergillosis
1
0
2
Search https://t.co/J3gduTQ5IU 1 https://t.co/aqbZ6Tws1R 2 https://t.co/9rVK0xdMUT 3 https://t.co/XxuMiv8Kma 4 https://t.co/eWHSrnG9aT 5 https://t.co/5u2JrMKLJZ 6 https://t.co/JQRWQhPgYT 7 https://t.co/RmHPCNZdbA 8 https://t.co/BSM2OjQC62 .
1
0
2
Search https://t.co/mKkarXoNqa 1 https://t.co/BgTXpDK7Dz 2 https://t.co/5yzlYJOzQm 3 https://t.co/LcembtINH1 4 https://t.co/NDmBR8qHCs 5 https://t.co/3XONk9eZeh 6 https://t.co/Mapc3mM4XI 7 https://t.co/TExnoyo6oS 8 https://t.co/UmD6DL4uds .
A woman in her mid 50s with massive ascites. Surgical finding: ?Right ovarian tumour, multiple nodular implants in the liver, bowels & omentum. My dilemma: mesothelioma vs low grade serous Ca @Sara_Jiang
@RubenDGarciaAMD @smlungpathguy
@KrutiManiar #Gynpath #pathology #cytopath
1
0
1
Search https://t.co/eDw12qDfTX 1 https://t.co/7JHZxe5htv 2 https://t.co/0VFqGdZrOU 3 https://t.co/6REbnqpU3N 4 https://t.co/dauSwJsAFv 5 https://t.co/hGvhD2UyfP 6 https://t.co/wKbnqmTNVH 7 https://t.co/rFCsPTe7eK 8 https://t.co/OOlx0GrBO9 .
More pictures next week as one of the slides didn't scan properly, but here are some low power pictures. Any revised ideas as to the anatomical site and/or the diagnosis?
1
0
0
Search https://t.co/Vy9mcokpMY 1 https://t.co/eOsezR0rGd 2 https://t.co/yzV6ZAGy0o 3 https://t.co/kEWM6Sdu5T 4 https://t.co/bX5WXTKyoT 5 https://t.co/9WfMmJtNQs 6 https://t.co/JH0eSGnT26 7 https://t.co/PrflN0dTcp 8 https://t.co/7WhC5A51Qc .
35 yo man with Neurofibromatosis-1. Superficial 1 cm pedunculated skin nodule. No mitoses. Your diagnosis? Any ancillary studies that might help you? Answer tomorrow via new YouTube video. #pathology #dermatology #dermpath #BSTpath
1
0
1
Search https://t.co/GUth1Dq8Cb 1 https://t.co/LWojWj8nsl 2 https://t.co/B0HmuzaFQD 3 https://t.co/Hfm9FZ8UMK 4 https://t.co/Af43tE91S0 5 https://t.co/O3bIYn7iQ1 6 https://t.co/xi2864kZZz 7 https://t.co/TKHlwaANxQ 8 https://t.co/jLAtdNGSPw .
@LizMontgomeryMD A more recent case of checkpoint inhibitor colitis. This time the case came with a history of Pembrolizumab. I think intra-epithelial lymphocytes are more prominent that neutrophils, but both present. Occasional foci of apoptotic nuclear debris also seen. #GIpath
1
0
2
Search https://t.co/95SRqnW2A0 1 https://t.co/UbD90fL5cu 2 https://t.co/6IuGvO0Jg9 3 https://t.co/R7X9A04ztw 4 https://t.co/HYSuYiRa1i 5 https://t.co/v2CyZBkrQN 6 https://t.co/gnFom82nD1 7 https://t.co/dctuAVBMNI 8 https://t.co/vRiXo6Qtqg .
#breastpath #IHCpath #BSTPath Bx from femur neck sent as probable mets .Hx of breast Ca.The whole tumor is necrotic but seems to be intracelular lumen on pic 3. I don't have even the report to try correlate .Someone have experience with IHC in necrotic tissue🙏thoughts
1
0
1
Search https://t.co/IG7e3NakS5 1 https://t.co/2Zkpcr2xO2 2 https://t.co/zYnnMddMbj 3 https://t.co/gnFom82nD1 4 https://t.co/UbD90fL5cu 5 https://t.co/ELoNguaWCE 6 https://t.co/6G6iAGin2d 7 https://t.co/Ludf551cge 8 https://t.co/qV2NagP1XC .
#breastpath @ariella8 What do you think about this finding on a fibroadenoma of a 20ish .That duct is bothering me but is the only one.Lets say you can not do CK5/6 .How do you call it?? What do you recommend?
1
0
0
Search https://t.co/pnEMdKwLEs 1 https://t.co/S6jBIYrioM 2 https://t.co/cq6rE4b54b 3 https://t.co/w7061uDyR7 4 https://t.co/RsK2q5OONT 5 https://t.co/FPszRbZVUf 6 https://t.co/gp8Az98Cii 7 https://t.co/6CgCT3LE7h 8 https://t.co/Ck5KTFOFKn .
#caseoftheday 65yo👵 with ovarian stromal luteoma: a rare tumour in postmenopausal women that may produce virilizing symptoms #gynpath
1
0
2
Search https://t.co/f82z0rU46L 1 https://t.co/0HSQdR4lKP 2 https://t.co/AZ0S1m1qSG 3 https://t.co/RkogHHQyfm 4 https://t.co/b13LhNtSHu 5 https://t.co/eN8BjKw0Gh 6 https://t.co/z5YKspa9rp 7 https://t.co/DsrB4GytzE 8 https://t.co/jdNTEEX8Kv .
24 year old with amenorrhoea of 22 wks, followed by spontaneous expulsion of placental tissue ( clinician's comments: probably expelled fetal parts before getting to the hospital) #pedipath #placentalpath #pathology Whats your take? no B-hCG done Hydropic abortion vs partial mole
1
0
0
Search https://t.co/a8tldx4qSp 1 https://t.co/wQH75LXg1B 2 https://t.co/Sn9tzVNqee 3 https://t.co/lpW4T1BaFU 4 https://t.co/JEcO0RNlz4 5 https://t.co/go3UUc5XMt 6 https://t.co/8fgTp8BaSR 7 https://t.co/8rqaEYQkAV 8 https://t.co/sKbbKHcphC .
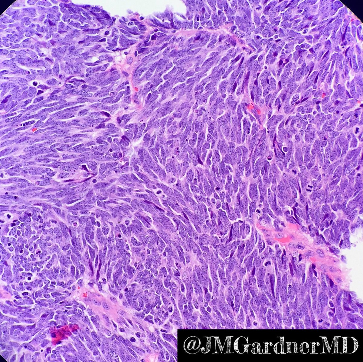
Unusual morphology in a Merkel cell carcinoma. Prominent spindle cells w palisading. Not all that palisades is schwannoma! #Pathology #dermpath #dermatology
1
0
0
Search https://t.co/DXopmGWIXc 1 https://t.co/IDt4kXlzAd 2 https://t.co/tO9jnZeAfE 3 https://t.co/bCb4kxdH1Z 4 https://t.co/TguTm3DYw8 5 https://t.co/WGBPHnx45h 6 https://t.co/mghl80jffo 7 https://t.co/pJIOsLtdgY 8 https://t.co/euKOtWy6fD .
De-differentiation in GIST: ⏺️ sharply demarcated areas, distinct from primary tumour ⏺️ cellular pleomorphism ⏺️ high mitotic activity/necrosis ⏺️ loss of CD117 +/- DOG1 +/- CD34 ⏺️ rhabdomyoblastic, leiomyosarc or pleomorphic sarcoma NOS
1
0
1