SPPRITEs Profile Banner
SPPRITEs Profile
SPPRITEs

@SPPRITEs

Followers
95
Following
102
Media
4
Statuses
47

Sarcoma Pediatric Pathology Research InTerests group. Better care for pediatric patients with bone and soft tissue tumors through collaboration.

SoMe by @MArnold_PedPath
Joined November 2020
Don't wanna be here? Send us removal request.
@SPPRITEs
SPPRITEs
3 years
Celebrating our @ArchivesPath paper on handling soft tissue tumor biopsies with this #grossin90 overview of triaging core biopsies. Read our paper "The Pathologic Diagnosis of Pediatric Soft Tissue Tumors in the Era of Molecular Medicine" here: https://t.co/mZTyYFQH27 #PediPath
0
2
6
@iupathology
IUPathology
2 months
🆕 New publication alert 🚨 Superficial pediatric CIC::DUX4 sarcomas show favorable outcomes versus deep-seated cases #BSTpath 🔗 https://t.co/EjLHwLxRiu
0
8
18
@MArnold_PedPath
Michael Arnold, MD, PhD
6 months
Happy July 1! Thank you so much to all who joined me live yesterday to talk about #PediPath small round blue cell tumors. Sharing some highlights and check out the replay here: https://t.co/0tjYCMDRKG #BSTpath #Oncology
5
32
81
@KMirza
Kamran Mirza MD PhD - کامران مرزا
6 months
Happy July 1 🥳 The start of a new academic year! To all who are beginning, continuing, or completing this path: Your presence matters. Your learning matters. Let’s keep building the future of medicine, one slide, one case, one day at a time. Here’s to the new year. Let’s
2
16
100
@SPPRITEs
SPPRITEs
9 months
A wonderful week in Boston to catch up with colleagues and collaborate on #BSTpath #PediPath projects! #USCAP2025 @AlyaaIbraheemi @MArnold_PedPath @IslandJewelsena @AShenoy_MD @LeaSurrey @rita_alaggio
0
3
8
@PathPod
The PathPod Podcast
1 year
⭐NEW #PathPod Around The Scope! Dr. @VidyadhariKarne, resident @USCPathology, speaks with recent #PediPath fellows Dr. @lkrollwheeler of @seattlechildren and Dr. Catherine Gestrich of @ChildrensPhila ▶️LISTEN NOW: https://t.co/2bulbrQabO
0
8
14
@Sara_Jiang
Xiaoyin "Sara" Jiang, MD (She/Her)
1 year
Whoo-hoo! New #PathPod drop today! Learn all about PediPath fellowship! @MArnold_PedPath @KMirza
@PathPod
The PathPod Podcast
1 year
⭐NEW #PathPod Around The Scope! Dr. @VidyadhariKarne, resident @USCPathology, speaks with recent #PediPath fellows Dr. @lkrollwheeler of @seattlechildren and Dr. Catherine Gestrich of @ChildrensPhila ▶️LISTEN NOW: https://t.co/2bulbrQabO
0
3
15
@PediDevPath
PediDevPath
1 year
And the beautifully illustrated article is open access! Be sure to check it out: https://t.co/fSQKKcVEs8
journals.sagepub.com
Biliary atresia (BA) is a cholangiopathy affecting the extrahepatic bile duct (EHBD) of newborns. The etiology and pathophysiology of BA are not fully understoo...
@PediDevPath
PediDevPath
1 year
The next episode of the PDP podcast is here! Featuring Dr. Iris de Jong, Dr. Rebecca Wells and their article - In Utero Extrahepatic Bile Duct Damage and Repair: Implications for Biliary Atresia https://t.co/obmgvGwmgm
0
4
4
@PediDevPath
PediDevPath
1 year
The next episode of the PDP podcast is here! Featuring Dr. Iris de Jong, Dr. Rebecca Wells and their article - In Utero Extrahepatic Bile Duct Damage and Repair: Implications for Biliary Atresia https://t.co/obmgvGwmgm
Tweet card summary image
podcasts.apple.com
Podcast Episode · The Pediatric and Developmental Pathology Podcast · 11/15/2024 · 37m
0
2
2
@Baskotacytopath
Swikrity U Baskota,MD, FCAP,FASCP
1 year
This event was very well received last year! Very excited to bring it back this year! @MatchToPath #PathX #Pathtwitter #path2path
@MatchToPath
MatchToPath
1 year
📢 Register for @MatchToPath #ResidencyBootcamp #PathMatch2025 📢 ✨ 8.26.24 from 9am - 5pm EST ✨ RSVP: https://t.co/h6H5onYnwU Full agenda below! #PathX #MedTwitter #match2025 @Path_SIG @Inside_TheMatch
1
4
13
@KarenFritchieMD
Karen Fritchie
1 year
Save the date! Join us next May 15-18 in Cleveland for our 2nd Annual Comprehensive and Interactive Soft Tissue Course!! #bstpath #bstpathology #dermatopathology
0
20
48
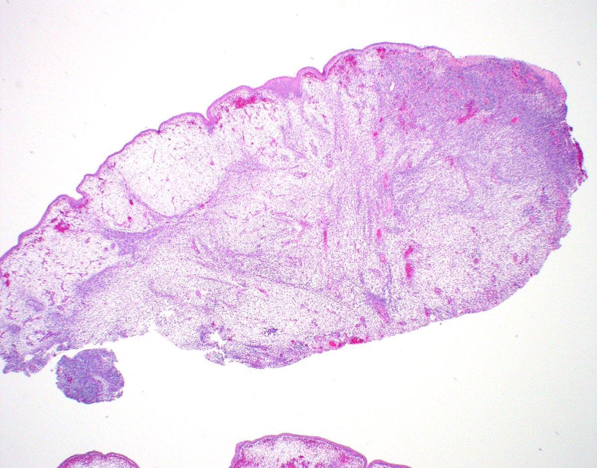
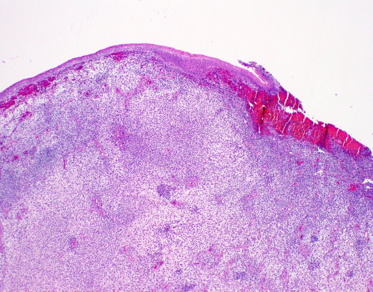
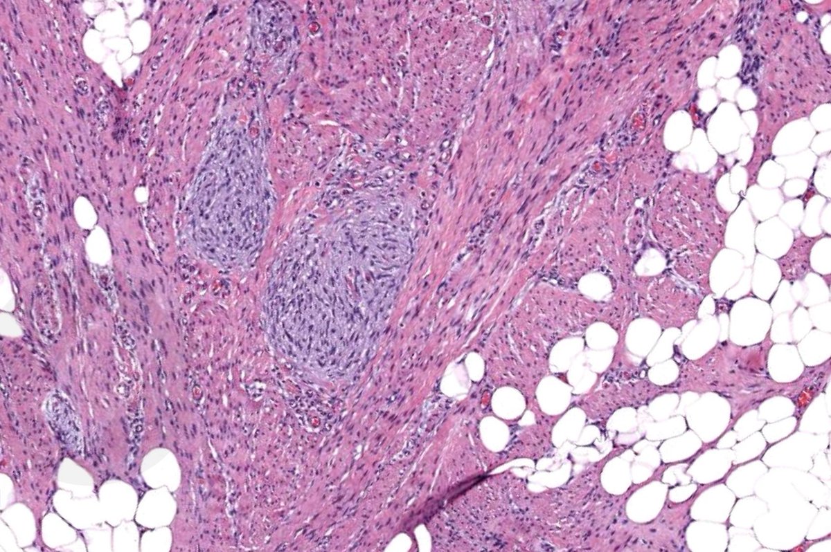
@bitar_mireille
Mireille Bitar, M.D.
2 years
A tricky paranasal sinus bone mass in a child…what are some differential diagnoses based on histology? 🤔 #pedipath #neuropath #bonepath #pathology
12
15
65
@MArnold_PedPath
Michael Arnold, MD, PhD
1 year
Looking for something to listen to if you’re perhaps waiting for a flight or hoping your computer will work? Find the latest episode of the Pediatric and Developmental Pathology Podcast in your favorite app! Learn how image analysis can calculate MKI for neuroblastoma! #PediPath
@PediDevPath
PediDevPath
2 years
Have you listened to The Pediatric and Developmental Pathology Podcast? We can help you find it! Ask your smart device to play The Pediatric and Developmental Pathology Podcast Search your favorite podcast app, or click the links on our podcast page: https://t.co/QklkO5iyxA
0
6
11
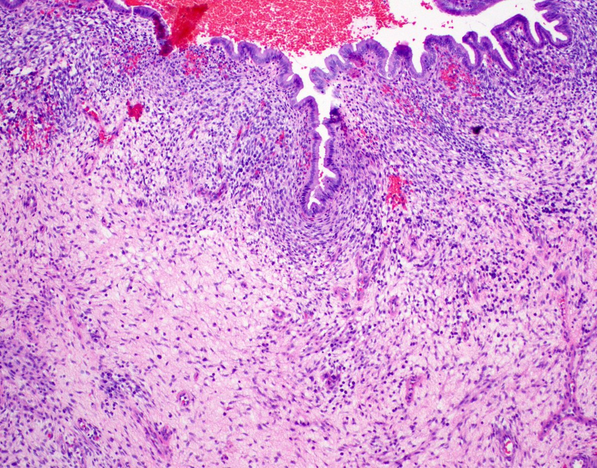
@bitar_mireille
Mireille Bitar, M.D.
1 year
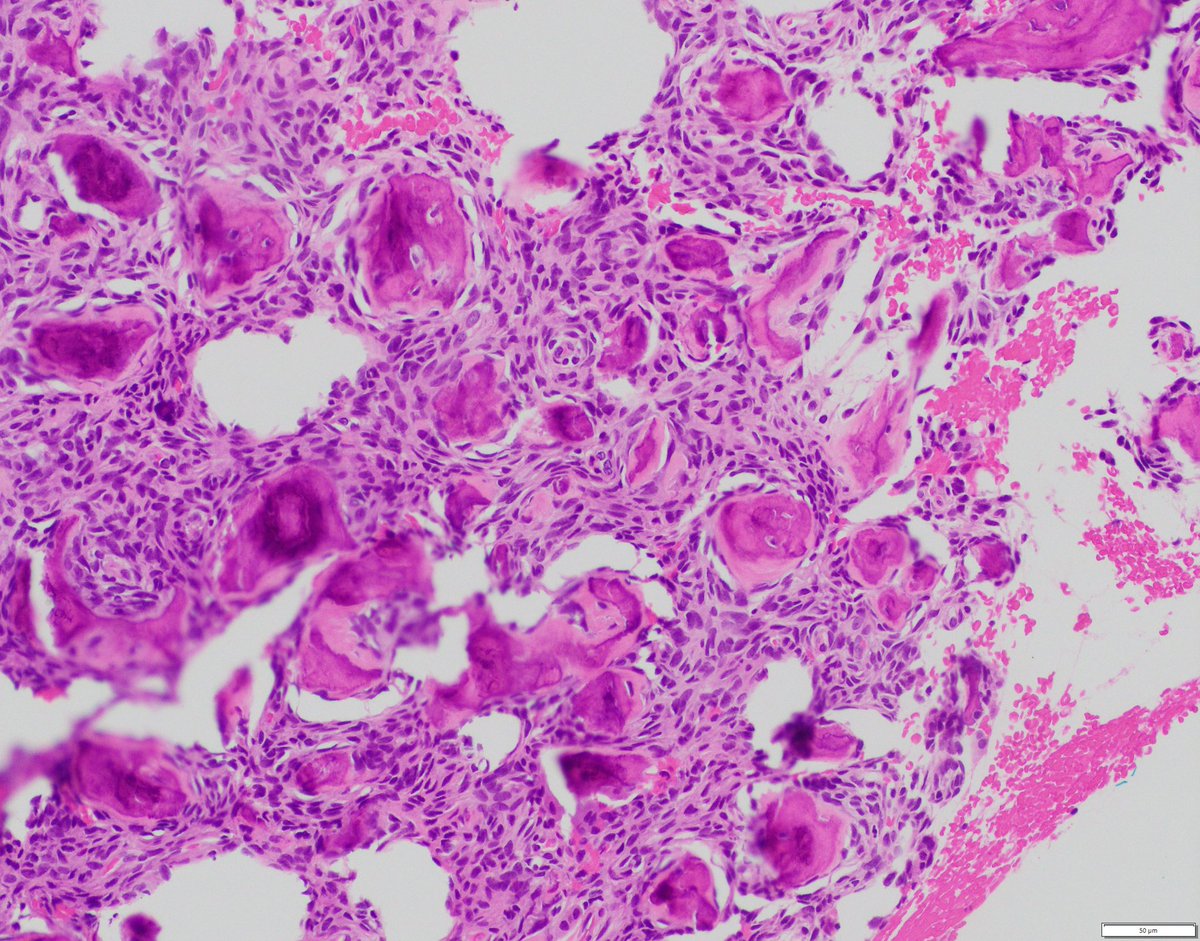
A slow-growing soft tissue mass in a child; histology shows distinctive findings and MUC4 IHC is +. Likely diagnosis? diagnostic gene fusion? #pedipath #softtissuepath #molecpath 🤔🔬🧬
7
35
102
@mreyesm
Miguel Reyes-Múgica
2 years
@DrCycloPath @Andres_Matoso @MirunaPopescu13 @TristanRutland7 @DrGeeONE @slusagar @smlungpathguy @VHNguyenMD @leon_metlay @Histopatolomon Described by Robert P. Bolande in 1973. Dr. Bolande was a prominent and bright expert in #PediPath. He was also an expert in, and coined the term #Neurocristopathy
3
2
11
@JMGardnerMD
Jerad Gardner, MD
1 year
Polypoid vaginal mass from a young girl. Your diagnosis? More pics https://t.co/DaWIpwic4N Immunostains 🔬 https://t.co/EAiO8vGSkt Answer ✅ https://t.co/czXR6VkiRs #BSTpath #pathologists #pathology #pathTwitter #gynpath #pedipath
3
3
21
@JMGardnerMD
Jerad Gardner, MD
1 year
Can you get this diagnosis from one pic? Or is it too close to diagnose? WSI digital slide: https://t.co/t1nwFk8pkL. Answer & video: https://t.co/Fwb9BKCjCC #pathology #pathologists #pathTwitter #dermpath #dermatology #dermatologia #dermtwitter #bstpath #pedipath
0
2
7
@MArnold_PedPath
Michael Arnold, MD, PhD
1 year
First day in #pathology or first day in the gross room for a while? Welcome! Need to quickly catch up on handling important #pedipath specimens? I put all of my #grossin90 videos on YouTube:
0
10
23
@ALBoothMD
Adam L. Booth, MD
1 year
Congratulations all! #pathology
@Pathologists
CAPathologists
1 year
The future is bright! This year, a record 71 exceptional medical students with an interest in pathology were honored with the CAP’s Distinguished Medical Student Award. Check out the list of winners. #PathMatch2026 #PathMatch2025 https://t.co/apuJ2BcJJh
0
5
25
@KMirza
Kamran Mirza MD PhD - کامران مرزا
2 years
THRILLED to be asked to participate in this awesome program again this year!! Lots of helpful hints, tips & tricks, and all sorts of information that will be useful for anyone applying for #Match2025 - join us! #PathMatch25 #Match25 #NRMP #MedStudentX #personalstatement
@Inside_TheMatch
Inside The Match
2 years
Big News: we are hosting a free virtual #Match2025 Summit with @TrueLearnLLC! Get lots of free tips and guidance for the match process from residency program leaders. Sign-up: https://t.co/5dUcga2ach
2
7
32
@IHC_guy
Andrew Bellizzi 🇺🇦
2 years
Have Unknowns/Will Travel😊😊😊
@IHC_guy
Andrew Bellizzi 🇺🇦
2 years
Guess Who's Coming to Dinner😂😂😂
1
4
51