
Leon Metlay
@leon_metlay
Followers
8K
Following
11K
Media
741
Statuses
18K
Pediatric & autopsy pathologist at University of Rochester. My only advice: don't be my patient.
Rochester, NY
Joined September 2017
@McgillPathRes I propose a rating system for pathology jokes: G- joke for a general audience M- joke only for a medical professional audience P- joke only for a pathology audience F- joke only for a forensic pathology audience #pathjokes
19
43
401
From Assistant Professor of Pulmonary & Critical Care (TUMS) to pathology-focused research at CU Anschutz → now led me to pursue the harder but more meaningful path: #PathologyResidency, #Match2026. A story of resilience, hard work, and following my passion. 🔬🫁🧬
2
6
41
“Pathology made me realize that saving lives doesn’t always mean standing beside a patient — sometimes, it means seeing what others can’t.”
34
32
632
Parents brought their Deaf child for examination. What's the Diagnosis?
29
30
351
The art of grossing. A 65 yo woman with a history of colon cancer. Two years after the initial diagnosis, she had a 6x5 cm right ovarian tumor. Final Dx.Metastatic mucinous Adenocarcinoma, SATB2 positive.#pathologists#pathresidents#PathTweeter #GYNpath @SLAPpatologia
1
7
32
Hello! I’m Sumeyra, a pathologist from 🇹🇷 and a postdoc fellow at the NCI working on prostate cancer. Thrilled to share that I’ve applied for #Match2026 in #Pathology! ✨ Outside the lab, I love biking and spending time with my 🐈 & family. Happy to connect! #PathTwitter #PathX
20
23
199
Rudolf Virchow - 'The Father of Modern Pathology'. Virchow was an anthropologist, pathologist, prehistorian, biologist, writer, editor, and politician. He was renowned for his advancement of public health and for discrediting humourism #histmed #historyofmedicine
2
20
74
The #Parasite case 789 is up, donated by Dr. Blake Cirks. This object was passed per rectum by an asymptomatic person in Laos. ID? Creepy Dreadful Wonderful Parasites: Case of the Week 789 Answer later this week! #mayopath #pathology #PathBugs
0
0
1
Hi #PathTwitter 👋 I’m Gelavizh (Gela) Keshtmand, MD, an AP/CP pathologist from Iran, excited to apply for #PathMatch2026 and continue learning in this inspiring field 🔬💜 Grateful for this journey and looking forward to connecting with mentors & colleagues! ✨ #Match2026
12
13
87
Research published in Virchows Archiv finds that pediatric superficial CIC::DUX4 sarcomas differ from their deep-seated counterparts, showing significant differences in overall survival and disease-free survival rates. https://t.co/SoErJAT1Cv
0
0
1
Case yesterday, don’t see this often= Fungal caseating granulomas. Nephrectomy showing massive caseating granulomas. Center of necrotic debris, surrounded by palisading epithelioid cells & giant cells. GMS stain= yeast forms c/w Candida galbrata. Differential= histoplasma
3
27
65
Free Webinar for Students & Trainees: Management of Undocumented Border Crosser Remains by Gene Hernandez, Chief Medicolegal Death Investigator, Pima County Office of the Med Examiner, Tucson, AZ Thursday, 11/20/2025 at 4:00 PMET Register: https://t.co/4jTsaK6UU7
0
3
8
Join us this Sunday @GlomCon @ISNkidneycare Renal Pathology Working Group joint seminar to discuss unusual glomerular diseases. Oct 12, 2025, 8:00 AM – 9:00 AM PDT @Renalpathsoc
https://t.co/caejRAQNRk
0
7
15
Case of Radiation Changes 🗿🔬 Fibrosis, vascular sclerosis, atypical ductal epithelium without expansive proliferation—context is key. ☢️ Reactive, not recurrent—clinical history keeps you on course.⚡️ #PathX #PathTwitter #breastpath
1
12
47
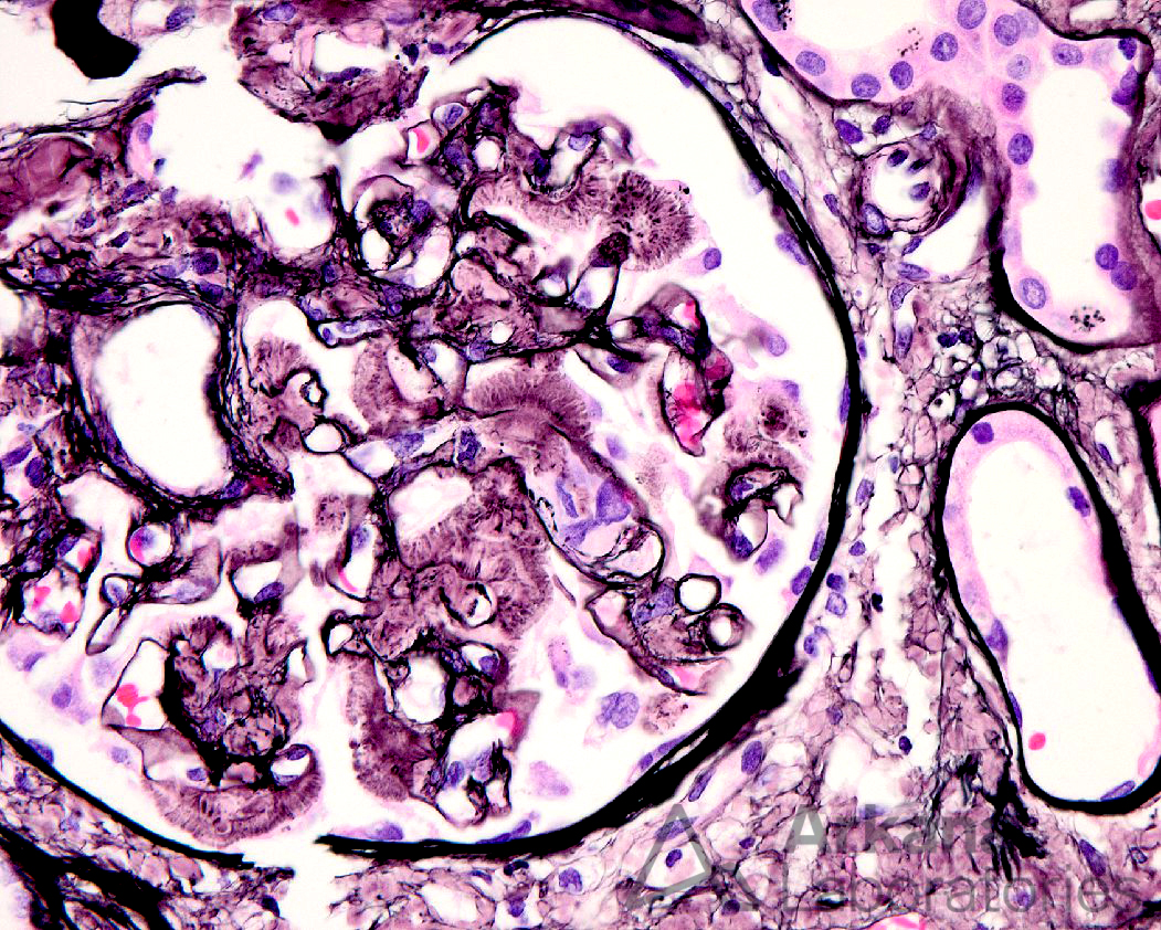
Here is today’s #eyeSCANdy! Spicular amyloid deposit showing blunt conical formations with interconnecting fibrils. Photo courtesy of Dr. Stephen Bonsib. #renal #pathology #kidneypath #pathx #nephtwitter
0
3
11
#PEDPATH Placental Inflammation and Infection - Pathology Perspectives in Perinatal Medicine (Dr. Heather L Keir, MBBS, Assistant Professor of Pathology and Immunology, Baylor College of Medicine, Houston, Texas, USA) 🗓️ Oct 7, 2025 - 12:00 PM (ET, NYC)
3
10
26
The light microscopic image of a Jones silver stain shows a glomerulus with demonstrates numerous elongated, fine spicules which some regard as the "eyelash sign". This finding is classically seen with amyloidosis. Other glomeruli in this case demonstrated areas of PAS-weak to
What is your leading diagnosis when seeing this finding along the glomerular capillary loops? #DiagnoseThis #pathology #kidneypath #nephtwitter #pathx
1
8
32
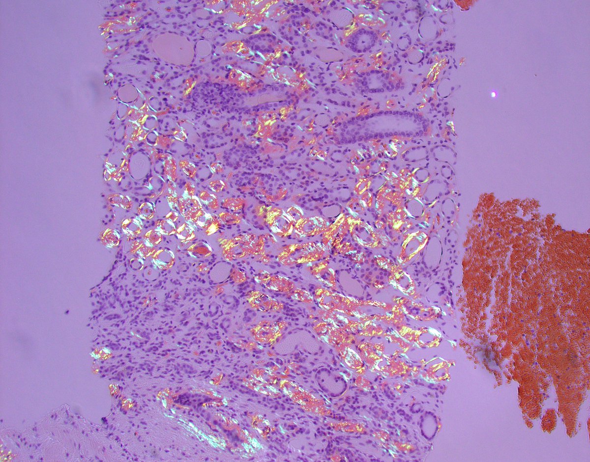
Bx for nephrotic syndrome in an IV drug user with multiple infections. LM was all medulla, but good enough to make a diagnosis. AA amyloidosis; very common bx result in this clinical setting. #renalpath #pathtwitter #nephrology
4
10
45