AnisBarmada Profile Banner
Anis Barmada Profile
Anis Barmada

@AnisBarmada

Followers
133
Following
398
Media
4
Statuses
115

MD/PhD Candidate @Yale | @PDSoros '22 | #Immunology #Genomics #Healthcare #Biotech | Alum @thisisUIC @Gates_Cambridge @SangerInstitute

Joined December 2020
Don't wanna be here? Send us removal request.
@AnisBarmada
Anis Barmada
3 years
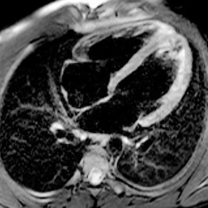
Shedding light on the drivers of rare myocarditis after mRNA SARS-CoV-2 vaccination. An important step towards fully realizing the tremendous potential of mRNA vaccines. Our latest paper published today in @SciImmunology. A summary: (1/11) https://t.co/jzuTBdc8q2
Tweet card summary image
science.org
Cytokine-driven killer lymphocytes and inflammatory monocytes characterize myopericarditis after SARS-CoV-2 mRNA vaccination.
6
40
133
@PDSoros
PD Soros Fellowships
8 months
šŸ“£ Paul & Daisy Soros Fellowships for New Americans is in 3rd place and so close to joining the #Webbys Winners Circle. RT + VOTE:
0
1
3
@AnisBarmada
Anis Barmada
11 months
Thankful for @PDSoros's continued support and excited for what’s next @Forbes, stay tuned!
@PDSoros
PD Soros Fellowships
1 year
Congrats to #PDSoros Fellows @sylvia_bisco (2018 Fellow), @rishirajgoel (2022 Fellow), & @AnisBarmada (2022 Fellow) on being named to the 2025 Forbes 30 Under 30 Science list! #ForbesUnder30 https://t.co/Hq3ZpUYxow
0
0
2
@theYJBM
Yale J Biol Med
1 year
Mark your calendars for an upcoming colloquium with Dr. Akiko Iwasaki
0
2
4
@ItaiYanai
Itai Yanai
1 year
Doing good science is 90% finding a science buddy to constantly talk to about the project.
180
3K
18K
@GinaBortoletto
Angelina (Gina) Bortoletto, MD, PhD
1 year
So thrilled to see people happy with @GlassHealthHQ and you are so right…so much effort has gone into this by the most passionate and intelligent group of physicians and engineers I’ve ever met!
@DavidMuhunzi
David Muhunzi
1 year
Since I started my internship, I have been using @GlassHealthHQ and I find this platform is top notch. The #AI assisted and clinical decision support practice is wow! The accuracy and clinical reasoning is amazing. The amount of effort that was put in this is tremendousšŸ”„
1
4
14
@dereckwpaul
Dereck Paul, MD
1 year
Artificial intelligence is already transforming the way we practice medicine. In @GlassHealthHQ's Future of Medicine essay contest and scholarship, medical students are challenged to envision how technology can be leveraged to change healthcare for the better. #MedX #MedTwitter
@GlassHealthHQ
Glass Health
1 year
Calling all medical students! Enter Glass Health’s "Future of Medicine" essay contest. Discuss AI’s role in future healthcare and win a $1k Scholarship, FIGS scrubs, an Eko stethoscope, and a blog feature. Submit essays by Oct 15. Winner revealed on Nov 15. #AICDS #MedX
1
6
32
@Lawreate7
Lawrence T Wang
1 year
Very pleased to share our comprehensive review on monoclonal antibodies against circumsporozoite protein and how this emerging tool might aid global efforts to control malaria, published today in Nature Immunology! @AzzaIdris_1, we did it! :) https://t.co/yLtsEH5YP2
1
2
18
@GlassHealthHQ
Glass Health
1 year
We’re thrilled to launch Modes on our Glass AI CDS platform! Our AI responses are now tailored to specific specialties, starting with Internal Medicine and Emergency Medicine. Enhance your differential diagnoses and plans with specialty-aligned outputs at https://t.co/xbCxXTp7Z8.
1
18
43
@dereckwpaul
Dereck Paul, MD
1 year
Today, we're excited to launch IM & EM Modes for our AI-generated DDx & A&P drafts.🄳 With AI responses tailored by specialty, Glass is a more useful clinical assistant than ever before. Try Modes for yourself today at https://t.co/kqEJm6k2Ro!šŸŽŠ #MedX #MedTwitter 🩺
Tweet card summary image
glass.health
Glass empowers clinicians with our platform for AI-powered clinical decision support.
@GlassHealthHQ
Glass Health
1 year
We’re thrilled to launch Modes on our Glass AI CDS platform! Our AI responses are now tailored to specific specialties, starting with Internal Medicine and Emergency Medicine. Enhance your differential diagnoses and plans with specialty-aligned outputs at https://t.co/xbCxXTp7Z8.
2
22
55
@MaxJordan_N
Max Jordan Nguemeni
1 year
Something that validates the Yale system @YaleMed. Giving learners more autonomy makes them more engaged with their learning than using punitive/controlling devices like mandatory attendance counting toward grades. https://t.co/iXN55zeqOy
science.org
Two field studies suggest that giving college students greater autonomy can improve motivation and learning.
0
1
7
@Lawreate7
Lawrence T Wang
1 year
We co-published b2b papers describing >400 human monoclonal antibodies against the malaria blood-stage antigen RH5! These data will guide testing of current RH5-based vaccines in Africa and improvement of future vaccine candidates. https://t.co/ldnyVG4dPg https://t.co/1z5dLhIeSp
2
7
15
@EricTopol
Eric Topol
1 year
Celebrating Great Immigrants, Great Americans Like Jensen Huang, @ylecun, @ashishkjha, @Ilibagiza, Viviana Gradinaru, and so many others who've made vital contributions to the US and beyond @CarnegieCorp #HappyFourth
10
55
332
@PDSoros
PD Soros Fellowships
1 year
Immigrants and children of immigrants give back to our country in profound ways, bringing innovation and creativity. Our Fellowship celebrates this profound gift. If you're a New American in/or pursuing grad school in 2025-2026, apply by 10/31! https://t.co/W1ck9rlCRy
0
1
3
@theYJBM
Yale J Biol Med
1 year
The YJBM June 2024 issue on Chronic Disease is available on PubMed Central, read here for free: https://t.co/Kx8UIB3bLz Editors-in-Chief: Anis Barmada, Charlotte Godfrey, Samantha Seneviratne, and Morgan Vanderwall. Deputy Editors: Noah Yann Lee and Bassel Shanab.
0
3
5
@simocristea
Simona Cristea
1 year
new @ScienceMagazine framework to improve cancer early detection: two injectable priming agents (nanoparticles & engineered antibodies) temporarily slow down the clearance of circulating tumor DNA from the body, allowing for higher detection sensitivity https://t.co/YDRYRk7L5a
Tweet card summary image
science.org
Intravenous priming agents given 1 to 2 hours before a blood draw increase circulating tumor DNA recovery by 19- to 60-fold.
1
14
51
@PDSoros
PD Soros Fellowships
1 year
An important thread by 2021 #PDSoros Fellow and recent @mit_hst/@harvardmed graduate @JamesADiao:
@JamesADiao
James Diao
2 years
🧵 1/ What’s at stake with race-based equations for lung function? Clinical, occupational, and financial reclassifications for millions of patients. I’m delighted to share this labor of love, published today in @NEJM and unveiled at #ATS2024. https://t.co/9V0Bck071g
0
3
9
@AnisBarmada
Anis Barmada
1 year
The future is really here 😳
@GlassHealthHQ
Glass Health
1 year
We’re thrilled to introduce Glass Odyssey! šŸŽ‰ Our groundbreaking AI Clinical Decision Support now seamlessly integrates hospital EHRs. Glass Health users can access our best-in-class clinical decision support through every step of the patient encounter. #AICDS #MedX
0
1
3
@AI4Pathology
Faisal Mahmood
1 year
āš”ļøšŸ”¬šŸ“£ Excited to share our new @Nature article building and evaluating PathChat, a multimodal generative AI copilot and chatbot for human pathology. Article: https://t.co/sYSpFCAOkV Open Access Link: https://t.co/ELHb5ly5NE We leverage our previous success in building
35
350
1K
@AnisBarmada
Anis Barmada
1 year
Maybe this explains my obsession with bodies of water 😳
@AdamMGrant
Adam Grant
1 year
The best place to relax is near water. After just 2 minutes of viewing water outdoors, blood pressure and heart rate drop. It's more calming to look at a lake, pool, or stream than trees or grass. Beaches are popular for a reason. Wider bodies of water bring more tranquility.
0
0
1