oreoimc Profile Banner
linda johnston Profile
linda johnston

@oreoimc

Followers
2K
Following
13K
Media
2K
Statuses
5K

Cytotech -pathology /science nerd with a healthy spattering of sarcasm ( oh, and a proud Canadian🇨🇦)

Moncton, New Brunswick
Joined August 2014
Don't wanna be here? Send us removal request.
@oreoimc
linda johnston
6 years
A vulture ,a lizard,an elephant and a seahorse. A busy day in the Cytology Zoo
11
71
244
@SamKhader
Sam Khader, MD
1 year
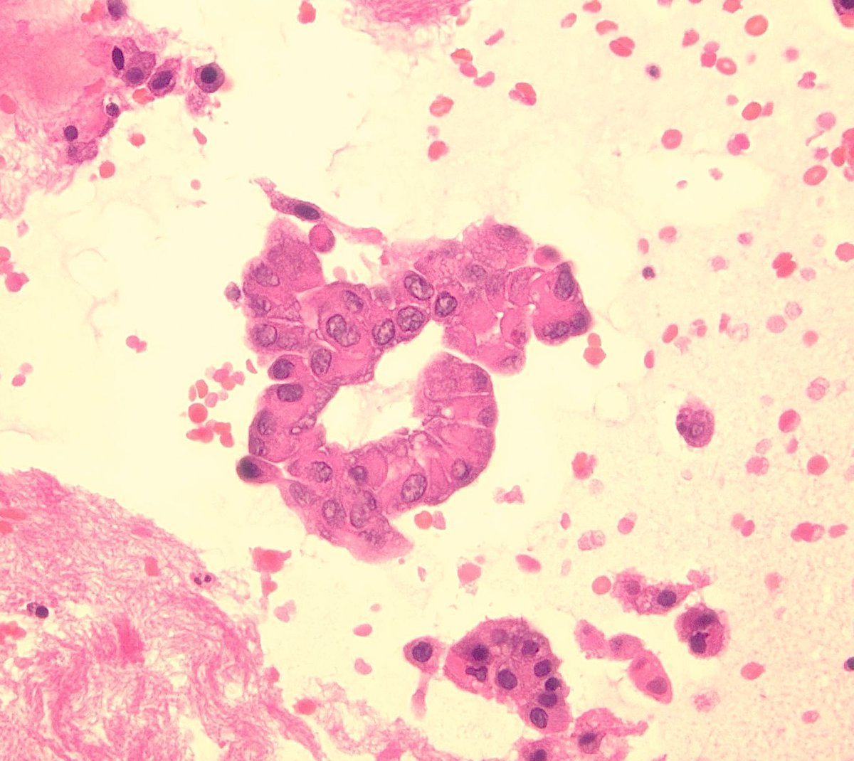
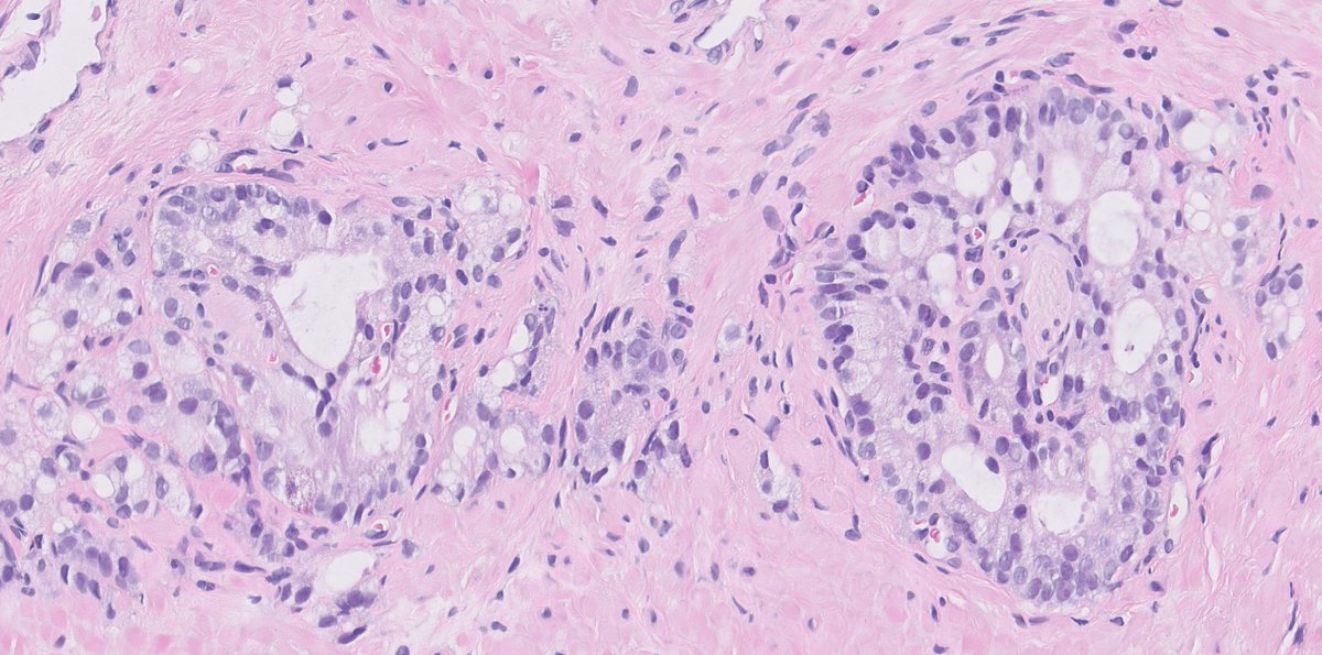
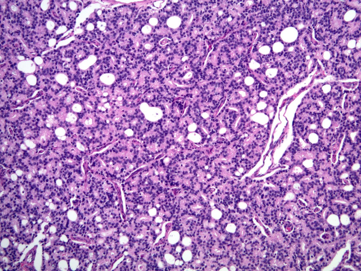
An impressive cell block preparation from a peritoneal fluid #CytoPath specimen in a patient with history of papillary renal cell carcinoma. What #IHC (s) would you order to confirm the diagnosis?
3
10
41
@SamKhader
Sam Khader, MD
2 years
A cell block preparation from a lung nodule FNA in an older man with history of multiple myeloma. Notice the variably sized structures in the H&E stain, which are highlighted by GMS stain. Mucicarmine stain demonstrates the mucin capsule. Diagnosis? #CytoPath
7
19
52
@Creativemeddose
Creative-Med-Doses
2 years
Cardiorenal Syndrome #MedEd #FOAMed #nephrology
0
10
21
@slava__bobrov
Slava Bobrov
2 years
Two brain cells having a chat
35
543
2K
@IHeartHisto
I Heart Histo
2 years
Barbie as histology tissues, a🧵: #histology #anatomy #BarbieTheMovie #Barbenheimer #pathology
22
554
3K
@TotalCytopath
Philippe Stephenson, MD
2 years
FNA of a cervical lymph node in a woman with a history of breast carcinoma of apocrine type.
3
17
48
@oreoimc
linda johnston
2 years
0
1
2
@ahsanuitis
Muhammad Ahsan Gill
2 years
Dr. Zubair Baloch (@aakasharmand) explaining a helpful cytologic clue to reactive pneumocytes in acute/subacute lung injuries. Their resemblance to Napoleon Bonaparte's iconic hat. Initially described by @natasharekhtman 🔗 to the article👇: https://t.co/XiuvQ8GPyI #IACTutorial
2
16
56
@SamKhader
Sam Khader, MD
2 years
Pleural fluid in a patient with history of of #AML. It’s imperative to review the peripheral blood flow cytometry or smear in cases with abundant red blood cells. Some of these cells are suggestive of blasts; however, peripheral blood contamination cannot be excluded. #CytoPath
1
18
43
@Histopatolomon
Pascual Meseguer
2 years
Cuando tocas algo y después te miras el dedo
6
8
22
@Creativemeddose
Creative-Med-Doses
2 years
Tubulointerstitial nephritis #MedEd #FOAMed #nephrology 1/3
2
27
82
@nucleololailo
Carlos Miguel Ruiz
2 years
✨COLLAGEN BALLS ✨ it is not uncommon to see them in #cytology samples from peritoneal washings, together with large sheets of benign mesothelial cells, perhaps a little angry..
6
34
74
@Creativemeddose
Creative-Med-Doses
3 years
0
7
20
@smlungpathguy
Sanjay Mukhopadhyay
3 years
Thoracic masses. Can you guess how many immunostains were done and why? #pathology #pulmpath
18
47
174
@Gloria_SuraMD
Gloria Sura, MD
3 years
What fungal infection is seen in this biopsy of the small intestine of an immunocompromised patient? Answer & additional stain: https://t.co/Aw4mx0VVcP #PathArt #PathTwitter #IDTwitter #MedTwitter
12
71
263
@SamKhader
Sam Khader, MD
3 years
EBUS-guided #FNA of a mediastinal lymph node demonstrating metastatic adenocarcinoma. #CytoPath
0
25
63
@Creativemeddose
Creative-Med-Doses
3 years
Hemochromatosis #MedEd #FOAMed
0
14
38
@smlungpathguy
Sanjay Mukhopadhyay
3 years
Pleomorphic carcinoma, lung: Note: this is the thoracic WHO term for sarcomatoid carcinoma. As usual, they threw out a good term that everyone understands for awful, inane terminology.This case also... https://t.co/7admmThTsJ
6
45
199
@SamKhader
Sam Khader, MD
3 years
Interesting morphology of a squamous cell carcinoma metastatic to the pleural cavity (not common to see SqCC in an effusion #CytoPath specimen). Some of the cells have vacuolated and wispy cytoplasm. Note the combo stain for p40/DSG3. The lung tumor had a papillary architecture.
3
22
59
@kis_lorand
Lorand Kis
3 years
#yourdailyGleasongrading is back with a quizz 😁... Guess how was this tiny cancerfocus measuring 1 mm graded? I hope it is visible that the glands are perineural...The last picture is p63 (brown)-AMACR (red) IHC 👇👇 #GUpath #pathology
3
7
25