drtimbracey Profile Banner
Tim Bracey Profile
Tim Bracey

@drtimbracey

Followers
3K
Following
8K
Media
641
Statuses
3K

MBChB PhD MRCS FRCPath. GI/HN surgical pathologist, scientist, family man, Cornish waterman. join our forum https://t.co/T7X2eZQgSM

Porthtowan, England
Joined April 2017
Don't wanna be here? Send us removal request.
@drtimbracey
Tim Bracey
2 days
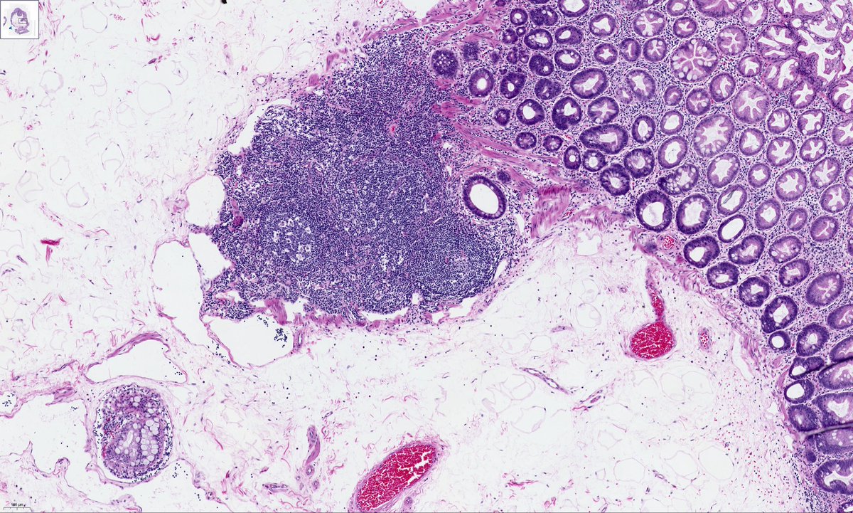
IgG4:IgG ratio >50% Plasma cell rich inflammation and storiform fibrosis and focal obliterative phlebitis, consistent with IgG4 related disease. I added IgG4 to a recent blood sample which was >12 g/L (N range =0.01–1.3 g/L) also strongly supportive of IgG4 disease.
0
0
3
@drtimbracey
Tim Bracey
2 days
Biopsy of hard painless submandibular gland from a 60ish yr old man. What are the immunostains and what’s the likely diagnosis?#ENTpath #PathTwitter @HeadandNeckPath
3
12
41
@drtimbracey
Tim Bracey
5 days
A >50 year old photo of me and my dad about to board the boat back from Australia to England!
1
0
2
@drtimbracey
Tim Bracey
6 days
This is myoepithelial carcinoma arising in a long standing recurrent submandibular pleomorphic salivary adenoma with a CHCHD7::PLAG1 fusion. This gene fusion has no therapeutic target but confirms it’s a genuine ca-ex-PA, rather than de novo myoepithelial ca #Pathtwitter #ENTpath
0
17
40
@drtimbracey
Tim Bracey
12 days
Gastric glomus tumour with positive DOG1 and synaptophysin expression: a diagnostic challenge https://t.co/LBursRctPz #Pathtwitter @Pathoutlines @diagnexia
0
5
18
@RunjanChetty
Runjan Chetty
23 days
The 2026 Diagnexia Histopathology Symposium is open for registration! We are at the Queens College next year, so a new venue. https://t.co/peyxMB7LsB
Tweet card summary image
diagnexia.com
We are hosting our fifth diagnostic pathology symposium! This year we will be at The Queen’s College, Oxford on August 20-21, 2026.
0
2
4
@drkeithsiau
Keith Siau
24 days
New UK guidelines on biopsies during upper GI endoscopy 🎯🆕 @FrontGastro_BMJ 📸: https://t.co/1FxVUD1KPH
6
164
422
@drtimbracey
Tim Bracey
26 days
0
1
4
@drtimbracey
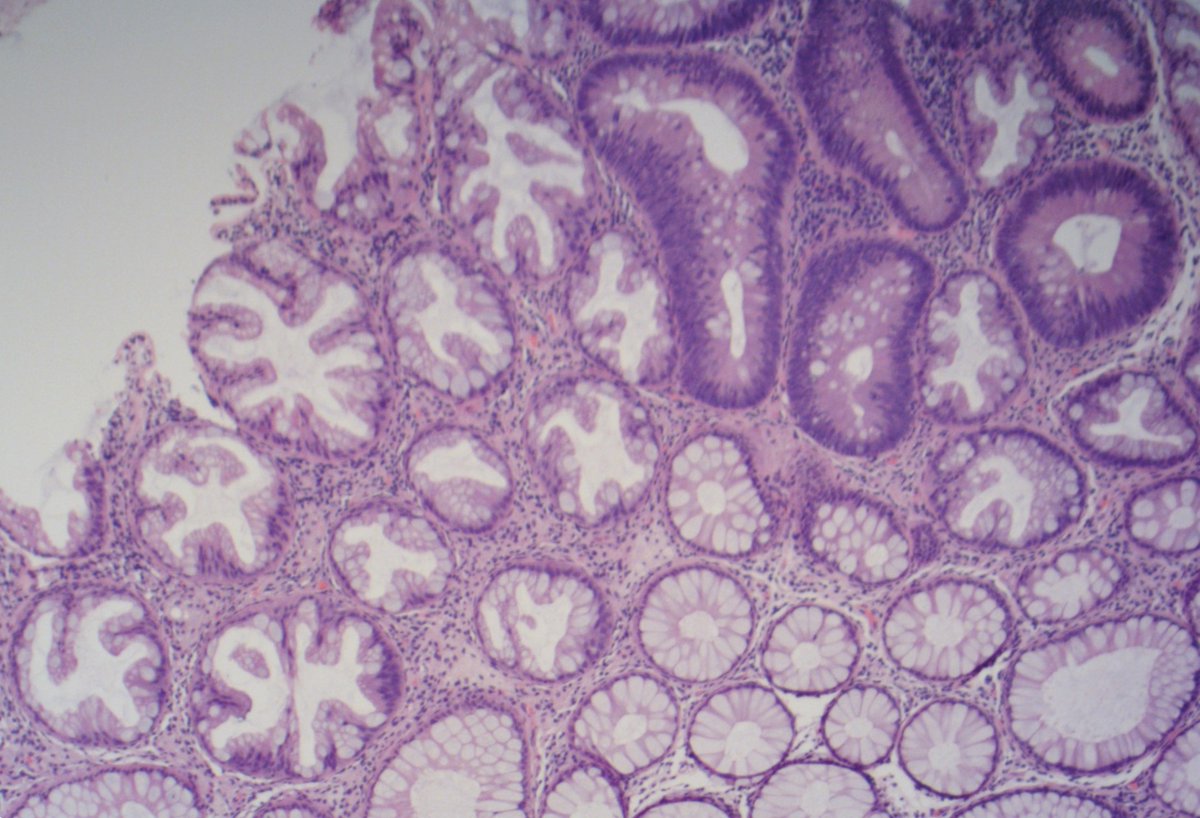
Tim Bracey
26 days
gastric biopsy from an old man what do you think is going on here? #GIpath #PathTwitter
8
32
85
@drtimbracey
Tim Bracey
26 days
Clear cell BCC; a rare histologic variant caused by phagolysosomal vacuoles or excess glycogen accumulation. No prognostic implications; it behaves like ordinary BCC. Key is not mistaking it for clear cell SCC, sebaceous neoplasms, or metastatic RCC. #Pathtwitter #dermpath
0
16
47
@drtimbracey
Tim Bracey
1 month
PS. The last one of these I saw was in a gastric wedge resection in 2006! (Clinicians were convinced it was a GIST of course!)
0
0
2
@drtimbracey
Tim Bracey
1 month
Incidental polyp in the terminal ileum of a colon cancer right hemicolectomy. IHC negative apart from patchy CD34. This is a benign calcifying fibrous tumour. Can be found anywhere in the GI tract and do not have any syndromic associations (IgG4 IHC was less than 40%) #GIpath
5
44
124
@drtimbracey
Tim Bracey
1 month
Agree I always do HpIHC on these to avoid missing an easily treatable cause of an otherwise potentially nasty premalignant condition.
@TobyASchmitt
Toby Schmitt, MD
1 month
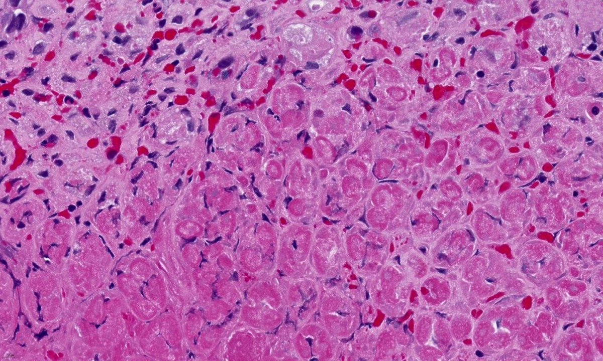
A case of autoimmune gastritis with an "antralized" gastric body, intestinal metaplasia, and a lymphoplasmacytic infiltrate in the lamina propria. * H. pylori infection can show similar findings, so make sure an H. pylori stain is negative. 🔬WSI: https://t.co/5GXSWOHnNI
1
2
35
@drtimbracey
Tim Bracey
1 month
Common neighbours but infrequent bed partners...Hyperplastic polyp and tubular adenoma colliding in the same biopsy #GIPath #PathTwitter
5
22
106
@drtimbracey
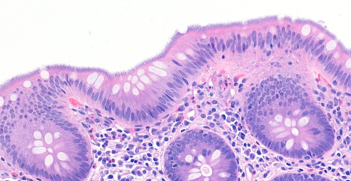
Tim Bracey
1 month
Colonic Spirochaetosis. Man with diarrhoea and raised calprotectin but normal endoscopy. Note the fuzzy "pseudo-brush border" highlighted on PAS to the right of the arrow; caused by Brachyspira spirochaetes. Often commensal but may benefit from abx if symptomatic #GIpath
1
30
97
@drtimbracey
Tim Bracey
2 months
Surgeons and physicians. If you want to increase the time your patients wait for their histology reports, don't include a question or clinical details on the form. This means #pathologists will have to guess what the question is and may do lots of extra irrelevant investigations.
9
16
139
@drtimbracey
Tim Bracey
2 months
2/2. Lymphoglandular complex-like colorectal carcinoma arising from MLH1-deficient SSL ie intramucosal “dome carcinoma” confined to GALT #pathtwitter #GIpath
0
21
70
@drtimbracey
Tim Bracey
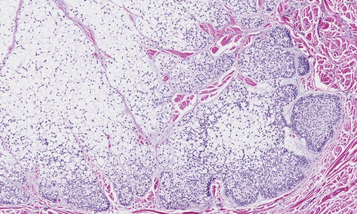
2 months
1/2. Sessile serrated lesion (SSL) with benign colonisation of lymphoglandular complexes (gut-associated lymphoid tissue / GALT) #pathtwitter @Pathoutlines @RaulSGonzalezMD
3
32
91
@drkeithsiau
Keith Siau
2 months
The incredible similarity between chlorophyll and haemoglobin - the difference being the magnesium vs iron core 🤯
110
560
4K
@drtimbracey
Tim Bracey
2 months
Tactile corpuscle-like bodies at GOJ in Barrett’s surveillance biopsies. Rare and interesting probable reparative Schwann cell nodules also seen rarely in colon. No clinical significance but can be incidental when targeting a nodule / polyp #GIPath #Pathologists @RaulSGonzalezMD
2
17
58