_Romo_Navarro Profile Banner
Ángel Romo Profile
Ángel Romo

@_Romo_Navarro

Followers
99
Following
266
Media
2
Statuses
58

Toledo Hospital (Spain). Newborn general pathologist. #pulmpath lover.

Joined March 2021
Don't wanna be here? Send us removal request.
@smlungpathguy
Sanjay Mukhopadhyay
3 years
Pathologist performing “radiologic correlation” in interstitial lung disease
1
8
36
@kis_lorand
Lorand Kis
6 years
Lobectomy specimen with the following pathology. Would be interested in the annotation of the figure, lesions marked 1-3. Bonus question 😁How much is the distance to the bronchial resection margin? #grossognosis #grosspath #macropath #pathology #pulmpath
28
81
149
@SansanoValero
Irene Sansano, MD Phd
3 years
@Path_Matt
Matthew Cecchini MD PhD FRCPC
3 years
Announcing season #2 of the Fresh Air Series with @SansanoValero @raghupillappa @smlungpathguy Check out our trailer for a sneak peak of the exciting cases coming this season. Turn the sound on (it is more epic than a Vimentin negative tumor 😎) #pulmpath
0
3
10
@SansanoValero
Irene Sansano, MD Phd
3 years
@Nicole_Arva_MD
Nicole Arva, MD/PhD
3 years
Great learning resource: new website with interactive unknowns https://t.co/xdWpD7vgY9. You can work through interesting cases and test your IHC and molecular knowledge. The platform is presented in @ArchivesPath article. #pathtwitter #path2path #pathology #pathresidency #MedEd
0
2
8
@SansanoValero
Irene Sansano, MD Phd
3 years
30yo TX due to idiopathic #pulmpath hemosiderosis: ✔️Alveoli r filled w/ hem-laden macrophages & blood ✔️Interstitium is thickened w/ fibrosis ✔️Endogenous pneumoconiosis (encrustation of vasc elastic tissue by hem & ca2+ w/ giant cell reaction) 🚫capillaritis #exlantsRawesome
0
28
52
@SansanoValero
Irene Sansano, MD Phd
3 years
Woman in her 40s explanted due to #pulmpath LCH #explantsRawesome - 🔬Interstitial bronchiolocentric scars with 🐙shape & surrounding traction emphysema - 🔍Focal residual LC clusters - 👭Accompanying RB
1
29
70
@SansanoValero
Irene Sansano, MD Phd
3 years
Dear #pulmpath people & foreign body aficionados: could you tell me if you know what is this material I found in an explant? It reminds me to mycrocristalline cellulose but it's not birrefringent....🙏❤️
4
25
60
@SansanoValero
Irene Sansano, MD Phd
4 years
@yro854
Yale Rosen
4 years
Images of pleuroparenchymal fibroelastosis (PPFE) that were recently added to the Atlas of Pulmonary Pathology ( https://t.co/YGaBt5GqIZ). Pathology images contributed by @SansanoValero and @EduDacostaE. Full information on PPFE at https://t.co/d7hrjQ8dCv #pulmpath
2
11
25
@smlungpathguy
Sanjay Mukhopadhyay
4 years
The term mucoepidermoid makes it seem like there will be a mucoid and an epidermoid (squamous) component in the tumor. Wrong! PGY1s beware! Here is a picture that attempts to explain what really happens in mucoepidermoid carcinoma. In this pic tumor = top left
14
122
281
@smlungpathguy
Sanjay Mukhopadhyay
4 years
O Brave and Wise Tweeples, what is the site of origin of this carcinoma?
72
62
257
@bellvitgepath
Bellvitge Pathology
4 years
Bronchial biopsy in an immunocompromised patient. Clinical suspition of lung cancer. Note abundant calcium oxalate crystals. #pulmpath #pathology
1
8
17
@SansanoValero
Irene Sansano, MD Phd
4 years
According to Dr @yro854 Atlas of Medical Foreign Bodies: https://t.co/PkOBsxkk3O what @lourdesalazarh found in this transbronchial #pulmpath biopsy is a seed. According to the patient a tomato 🍅 one.
1
13
32
@SansanoValero
Irene Sansano, MD Phd
4 years
Incidental finding of atypical adenomatous hyperplasia (AAH) in a #pulmpath #cryobiopsy ✅⬆️ n of type II pneumocytes lining alveoli in a discontinuous monolayer ✅Mild atypia ✅≤ 5 mm ✅discrete from surrounding alveolar parenchyma (devoid of inflammation or fibrosis)
6
53
112
@SansanoValero
Irene Sansano, MD Phd
4 years
Enlarged lymph node in a #pulmpath ressection. Any guesses? #pathquizz
13
50
121
@SansanoValero
Irene Sansano, MD Phd
4 years
Explanted lung in a patient with post-TB bronchiectasis. Note bronchis getting to pleural surface in macro pic & bigger than the artery in micro pic #explantsAREawesome #pulmpath
0
17
49
@SansanoValero
Irene Sansano, MD Phd
4 years
Polyvinyl alcohol embosphere in a patient treated for hemoptysis #pulmpath
5
49
115
@smlungpathguy
Sanjay Mukhopadhyay
4 years
Here is the difference between lung from a smoker and lung from a coal worker. Pigmented macrophages are in the airspaces in the smoker. Pigment is very light brown. Pigmented macrophages are in the interstitium in the coal worker. Pigment is black, very coarse, variable size
6
52
168
@SansanoValero
Irene Sansano, MD Phd
4 years
Calcium polystyrene sulfonate (kalimate) bronchoaspiration #pulmpath Basophilic material with sharp corner angles. It is black in ZN staining
7
26
68
@SansanoValero
Irene Sansano, MD Phd
4 years
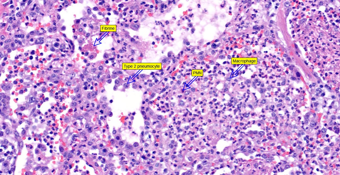
Acute pneumonia #pulmpath . Patchy involvement alveoli full of PMN, macrophages and fibrine aggregates.
5
17
41