SansanoValero Profile Banner
Irene Sansano, MD Phd Profile
Irene Sansano, MD Phd

@SansanoValero

Followers
4K
Following
45K
Media
870
Statuses
15K

Dealing with #pulmpath & lung #transplantpath 🫁 at @Vallhebronpath . Any resemblance of my tweets to existing people is purely coincidental #explantsRawesome

Barcelona, España
Joined March 2016
Don't wanna be here? Send us removal request.
@SansanoValero
Irene Sansano, MD Phd
3 years
Interested in #pulmpath ? Join experienced pulmonary pathologists in reviewing cases https://t.co/fk6vlzNLWg a través de @YouTube @EduDacostaE @LNaranjoRA @SofaMelgar2 @AnasChCh @ChrisyCarito @CarpioBellido @Epallisan @SCAPSoMe @vallhebronpath
2
17
41
@edusqo
Eduardo Alcaraz, MD PhD
6 days
¡Buenos días, Gran Canaria! 🟨🟦 En unas horas comenzamos Taller de punción aspiración con aguja fina, avalado por la Sociedad Española de Anatomía Patológica @SEAP_IAP, en el Hospital Universitario Dr. Negrín, Las Palmas de Gran Canaria #SegPac #PAAF #MedEd #FioNA #EcoPAAF #SBME
0
6
16
@vallhebron
Vall d'Hebron
2 days
🫁 Ja hem arribat als 100 trasplantaments de pulmó entre pacients adults i pediàtrics d'aquest 2025. ✅ Una fita que reflecteix la dedicació de tot l’equip de Cirurgia Toràcica i Trasplantament Pulmonar de #VallHebron. Sense donació no hi ha trasplantament. Gràcies donants.
4
10
40
@edusqo
Eduardo Alcaraz, MD PhD
2 months
Less than a week until the #PAAFMurcia2025 @PAAF_2025 FNA Course: 55 participants from 30 different institutions. Thank you Lola @mdlozanoe Pepe @pepeheffernan Amparo @AmparoBenito Sonsoles @MansoAso Héctor @rodrigohector7 @serammeA6SALUD @SEAP_IAP @SECitologia and @Sessep_Esp!
1
15
24
@SansanoValero
Irene Sansano, MD Phd
3 years
Pigmented airspace macrophages are seen years trying to clean the incredible mess smoking leaves #pulmpath
4
21
48
@CMichaelGibson
C. Michael Gibson MD
2 months
AI may simulate the language of clinical reasoning, it may speak the Language of clinical reasoning, but it does not replicate the process of clinical reasoning . Clinical reasoning is not the probabilistic completion of the next most likely token; it is the iterative process of
@EricTopol
Eric Topol
2 months
On GPT-5 and medicine, status summary https://t.co/x7V88zqroi
27
60
250
@SansanoValero
Irene Sansano, MD Phd
11 months
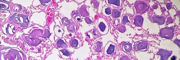
SRIF can play in the same court that UIP #pulmpath
1
9
19
@mdlozanoe
Lola Lozano
2 months
Es una oportunidad única!🗺️🖥️📡25 euros anuales y todos los beneficios de la IAC:webinars, cases, Acta Cytologica.... Entra la web de IAC!!!!.👍🏻💯🙌🏻 @IACytology @sza_jhcyto @AshishC97225686 @MansoAso @RRobledano @tlabiano @edusqo @pepeheffernan @duckhuca @SEAP_JOVEN @chriszioga
@SEAP_IAP
SEAP-IAP
2 months
¡Buenas noticias para residentes! Desde el 17 de octubre, la cuota anual de la @IACytology será de solo 25 € 🔬🖥 Con webinars, actividades virtuales, descuentos en congresos,... 🎓✨ 👉 Una gran oportunidad para formarse y crecer en citopatología ℹ️ https://t.co/1ysR6q1LEI
0
6
13
@SECitologia
Sociedad Española de Citología
2 months
📣 Actividad virtual coorganizada por Institut Català d'Oncología y AstraZeneca: "Digital ROSE Sharing Experience" para conocer la modalidad remota del ROSE. Coordinadora: Dra @lara_pijuan 🗓️ 2 fechas a elegir: 2 octubre, 6 noviembre 25. 🔗 registro: https://t.co/1phOGGl3Vg
0
10
16
@PAAF_2025
PAAF
2 months
Intervencionismo: Tomar un papel proactivo en la adquisición de la muestra y en la toma de decisiones para la optimización de recursos. Jornadas teórico-prácticas de #PAAF. Hospital Universitario Morales Meseguer, Murcia #PAAFMurcia2025 #SegPac #Citología #CytoPath
0
9
14
@CSICdivulga
CSIC Divulga
2 months
🎬 Así fue la IV edición de CSIC de Cine en Condeduque, en Madrid. ¡Gracias por acompañarnos un año más! 🔴📽️Los coloquios previos pueden verse en el canal de YouTube de CSIC Divulga.
0
5
19
@SECitologia
Sociedad Española de Citología
2 months
El mes pasado en #CitoTour 🛵2025 tuvimos al Dr Gómez Román del H.U. Marqués de Valdecilla. Este lunes 6/10 nos espera la Dra @AmparoBenito del H. U. Ramon y Cajal para hablar de la fase pre-analítica para el estudio molecular. Moderan: @castellamiriam y Dra Eva Tejerina 👏🏻
1
10
14
@PAAF_2025
PAAF
3 months
Ultrasonido: Herramienta (ecógrafo) que va a enriquecer la información de la lesión a estudio y que va a guiar el procedimiento en aquellas circunstancias que así lo aconsejen. Jornadas teórico-prácticas de #PAAF. Hospital Universitario Morales Meseguer, Murcia #PAAFMurcia2025
0
5
7
@SECitologia
Sociedad Española de Citología
3 months
🔜 A pocas semanas para las Jornadas teórico-prácticas de #PAAFMurcia2025 💉 24-25 Octubre 2025, @Area6VegaMedia Hospital Morales Meseguer, Murcia Profesores: @mdlozanoe @pepeheffernan @AmparoBenito @MansoAso @edusqo y radiólogos @serammeA6SALUD Aforo ya completo ✔️💪🏻 #Cytopath
1
11
22
@ONT_esp
Organización Nacional de Trasplantes
3 months
🇪🇸 El sistema español de #trasplantes se rige por el principio de equidad en el acceso a esta terapia: todas las personas que necesiten un #órgano en #España tienen la misma posibilidad de recibirlo. ¿Cuáles son los #criterios de asignación que se siguen?
1
15
34
@VHIR_
Vall d'Hebron Institut de Recerca
3 months
🫁 Pel #DiaMundial de la #FibrosiQuística expliquem que hem iniciat un assaig clínic pioner per estudiar una teràpia correctora de l’ADN. 🤝 Vam incloure el primer pacient dins d’aquest estudi internacional, en què Vall d’Hebron és l’únic centre de l’Estat que hi participa.
0
1
2
@SansanoValero
Irene Sansano, MD Phd
11 months
1
4
14
@SansanoValero
Irene Sansano, MD Phd
6 months
@tlabiano @AmparoBenito @lara_pijuan @smlungpathguy @Path_Matt @_Romo_Navarro @duckhuca @Therrom2Romer @fabiotavora Thin walled cysts that show an abnormal proliferation of spindle-shaped and epithelioid smooth muscle cells that normally express HMB-45, cathepsin K and PR (displayed in order)
3
16
39
@smlungpathguy
Sanjay Mukhopadhyay
3 months
@khaledzeid Even if cigarette smoking companies had paid for this they could not have done a better job. Thus terminology buried the fact that smoking causes RBILD, DIP and SRIF under a confusing mish mash of names. Time to unite them all under smoking related ILDs as Ryu et al did
1
8
18
@fred_hirsch
Fred R. Hirsch
4 months
Finally, new guidelines for immunotherapy for lung cancer and mesotheliomas! However, treatment is evolving very fast!
2
73
210
@smlungpathguy
Sanjay Mukhopadhyay
4 months
For PGY1s: compared to ordinary macrophages, Langerhans cells have far more irregular nuclear contours. See this side by side comparison @grok @AskPerplexity tell us something about Langerhans cells and Paul Langerhans
2
30
117