Prachi
@Praachy27
Followers
561
Following
1K
Media
253
Statuses
1K
Surgical Oncopathologist! 🔬An artist by Hobby 🎨a wanderer by passion 🧞♀️ and an explorer by Nature 🍀
New Delhi, India
Joined October 2020
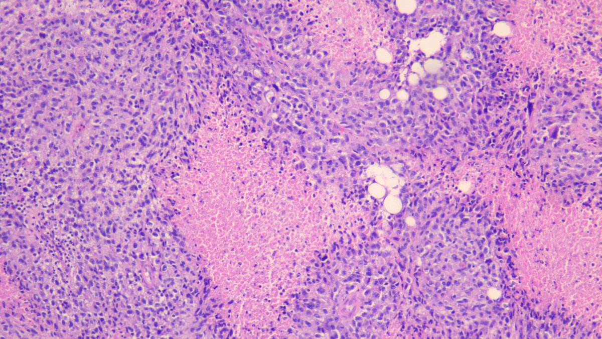
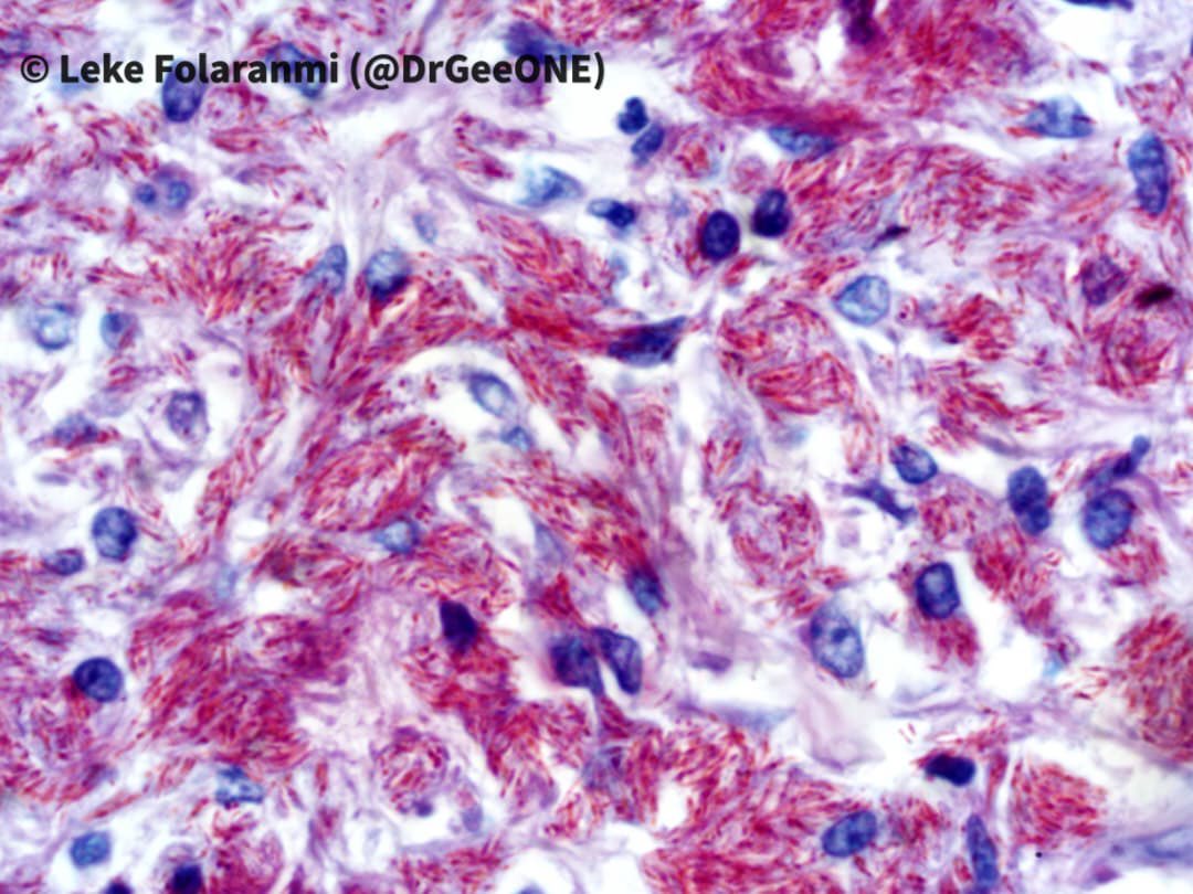
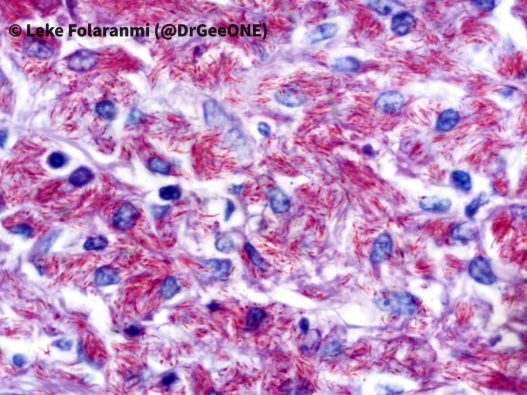
Perigastric lymph node showing loads of Mycobacteria (MAIC) in a immunocompromised (HIV positive) patient. Fite-Faraco stain #CrittersOnTwitter #CrittersOnX #IDpath #Pathology
@SumantaDas_7 @kriyer68 @Praachy27 @saray_gonul @pepeheffernan @ariella8 @TjLimMD @vi_monappa
7
27
63
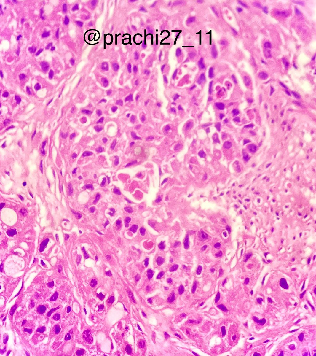
Malignant mixed tumour - Skin adnexal Tumour Can appreciate both benign and malignant counterpart (sarcomatoid) here ! Thanks
0
0
1
Breathtaking vulvar lesion 50y Radical vulvectomy 🔬exploration @PathTweetAward @DanGrahamMD @GIJamesMD @jayatidatta @CaDxPath @QQkhoja @MachadoIsidrin @VijayPatho @archibhat3 @anjuthevirgo 🙇♀️🙇🙇♂️💭
3
7
25
Breathtaking vulvar lesion 50y Radical vulvectomy 🔬exploration @PathTweetAward @DanGrahamMD @GIJamesMD @jayatidatta @CaDxPath @QQkhoja @MachadoIsidrin @VijayPatho @archibhat3 @anjuthevirgo 🙇♀️🙇🙇♂️💭
3
7
25
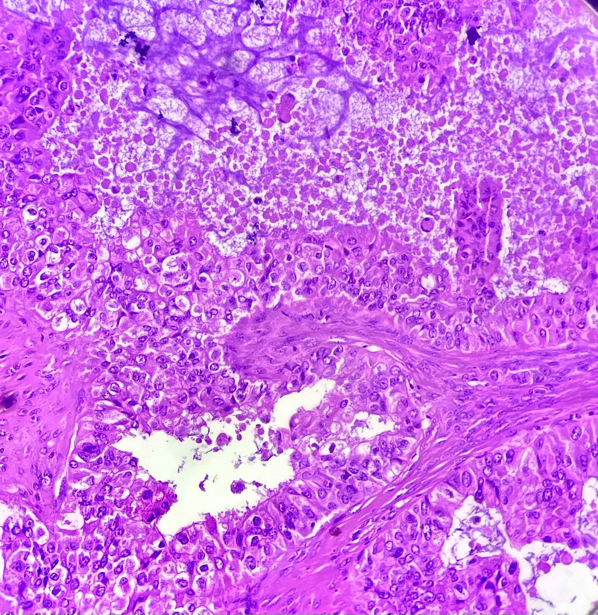
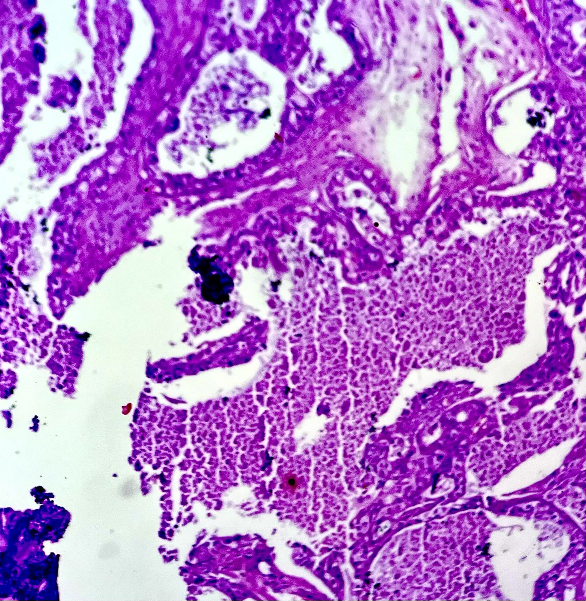
Adrenal mass alert Grossognosis ? @archibhat3 @pathologygross @SAPathology @Pathologists @mathuraiims @smlungpathguy @pathologynews @Pathology36 @Pathology_RCPA @pathresidents Microscopy following 🔬 Happy wknd 🙌🏻
2
6
27
Adrenal mass alert Grossognosis ? @archibhat3 @pathologygross @SAPathology @Pathologists @mathuraiims @smlungpathguy @pathologynews @Pathology36 @Pathology_RCPA @pathresidents Microscopy following 🔬 Happy wknd 🙌🏻
2
6
27
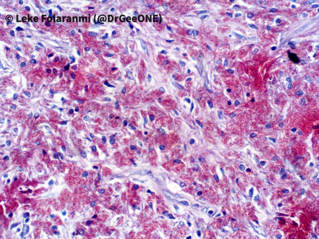
Skin tumour enigma Recurrent thigh lesion Dx??@archibhat3 @CraigHorbinski @Vik_deshpandeMD @Kenny92954457 @Histo_Journal @padmapathology1 @anjuthevirgo @mathuraiims @DanGrahamMD @pathology
#rareskintumours #microscopic @smlungpathguy @StuffIGross Mid week burst ❄️🍮🤩🙏🏻🙌🏻
7
8
27
There is mid way entity here stated as Atypical intradermal smooth muscle neoplasm arising from erector pili fibres. You can admire this in the pics
0
1
3
Skin tumour enigma Recurrent thigh lesion Dx??@archibhat3 @CraigHorbinski @Vik_deshpandeMD @Kenny92954457 @Histo_Journal @padmapathology1 @anjuthevirgo @mathuraiims @DanGrahamMD @pathology
#rareskintumours #microscopic @smlungpathguy @StuffIGross Mid week burst ❄️🍮🤩🙏🏻🙌🏻
7
8
27
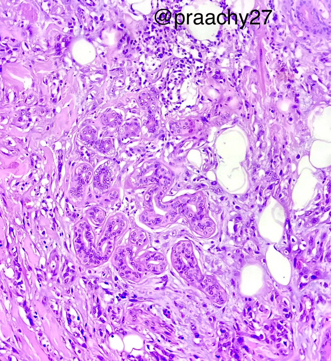
Pelvic mass Grossognosis?? @Pathology36 @DrGeeONE @UCLA_Pathology @femalegenital @ModernPathology @educationalpath @pathtweet @PathTweetAward @pathtweet1 @PATHtweets @grossognosis 🔬following…
1
4
16
Pelvic mass Grossognosis?? @Pathology36 @DrGeeONE @UCLA_Pathology @femalegenital @ModernPathology @educationalpath @pathtweet @PathTweetAward @pathtweet1 @PATHtweets @grossognosis 🔬following…
1
4
16
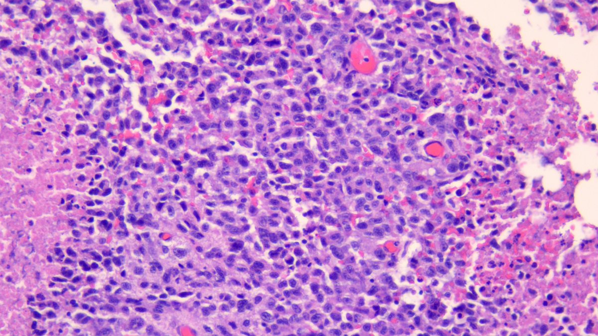
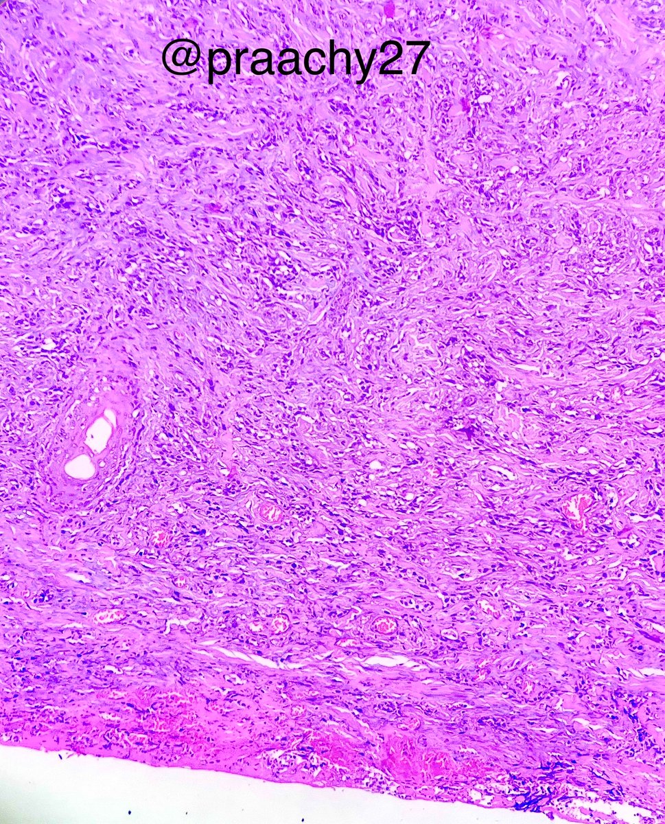
34 year old ovarian agony Frozen diagnosis? Any calls- @IHC_guy @PathTweetAward @JaredAhrendsen @PoloniaAntonio @archibhat3 @AnupamaArya12 @adi_agnihotri @kriyer68 @bitar_mireille @DrCycloPath @CraigHorbinski @Kenny92954457 @DanGrahamMD @MariamHHameed1 @JLHornick To be follow
7
8
26
34 year old ovarian agony Frozen diagnosis? Any calls- @IHC_guy @PathTweetAward @JaredAhrendsen @PoloniaAntonio @archibhat3 @AnupamaArya12 @adi_agnihotri @kriyer68 @bitar_mireille @DrCycloPath @CraigHorbinski @Kenny92954457 @DanGrahamMD @MariamHHameed1 @JLHornick To be follow
7
8
26
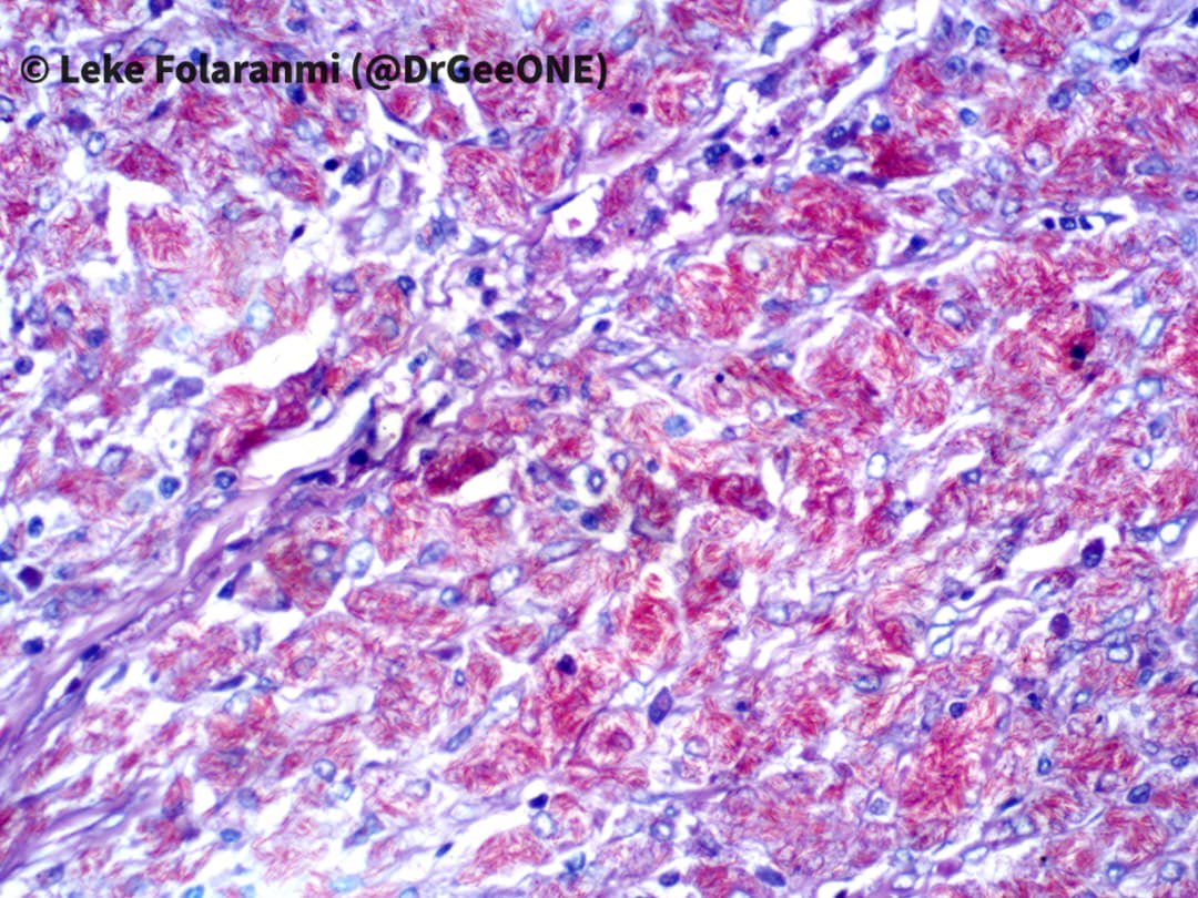
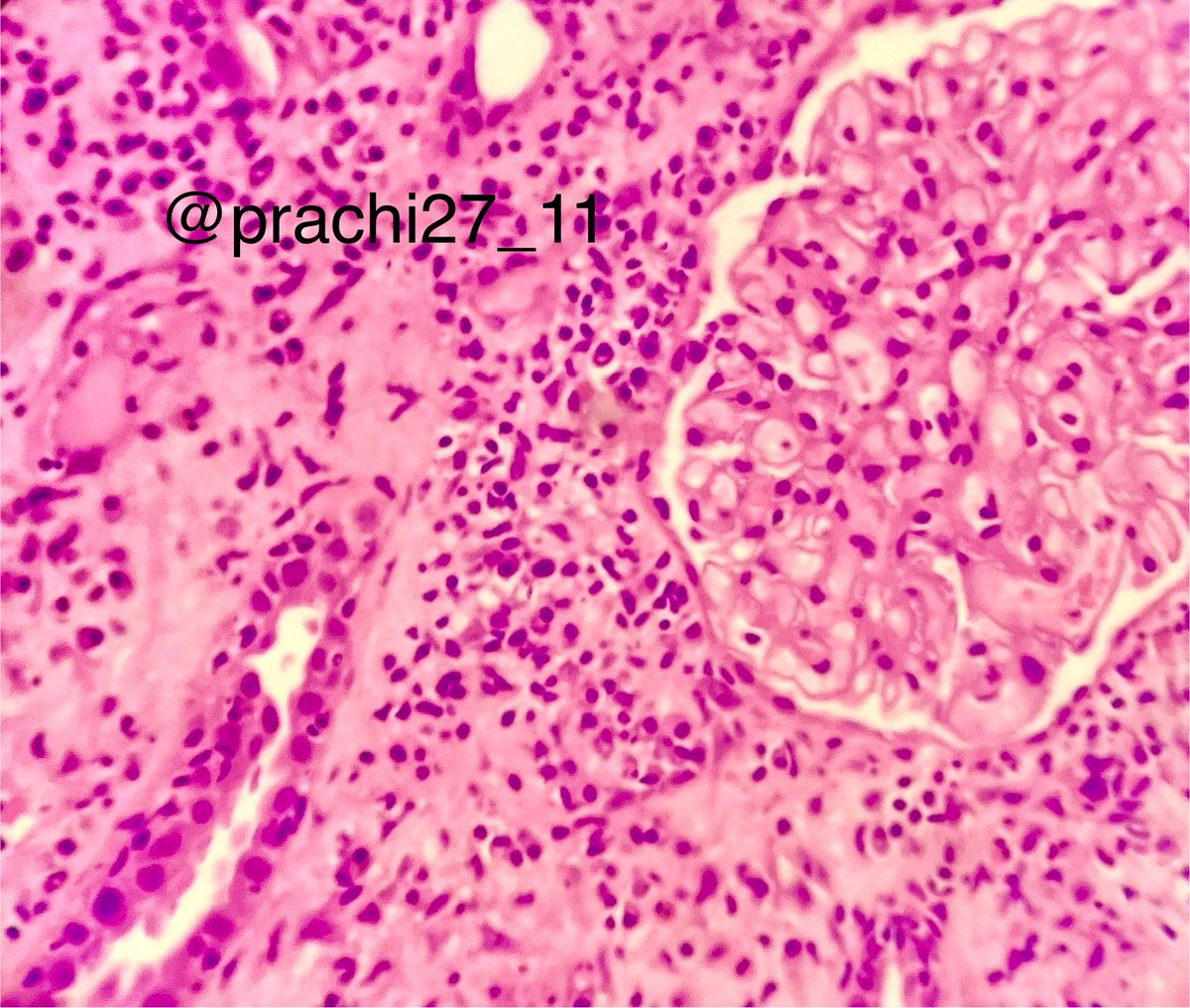
Plasma cell rich renal Rejection redefined 🫘 @IHC_guy @archibhat3 @VijayPatho @kriyer68 @bitar_mireille @CraigHorbinski @Pathologists @DrGeeONE @Kenny92954457 @JaredAhrendsen @PathTweetAward @PoloniaAntonio @adi_agnihotri @DanGrahamMD @MariamHHameed1 @padmapathology1 Happy Wknd
1
6
23
Plasma cell rich renal Rejection redefined 🫘 @IHC_guy @archibhat3 @VijayPatho @kriyer68 @bitar_mireille @CraigHorbinski @Pathologists @DrGeeONE @Kenny92954457 @JaredAhrendsen @PathTweetAward @PoloniaAntonio @adi_agnihotri @DanGrahamMD @MariamHHameed1 @padmapathology1 Happy Wknd
1
6
23
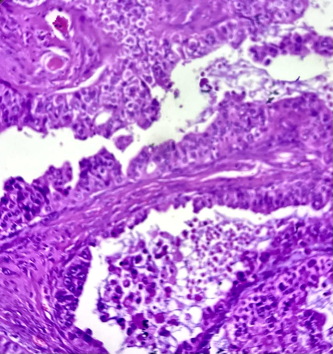
Rare but real 😵💫 Cervical lesion Grossognosis ?? 🔬following🙌🏻 @IHC_guy @anjuthevirgo @archibhat3 @kriyer68 @bitar_mireille @CraigHorbinski @DanGrahamMD @JaredAhrendsen @Kenny92954457 @Histo_Journal @science_press @StuffIGross @TobyASchmitt @VijayPatho @PathTweetAward Hpy Wknd.
2
7
19
This week, I learned not only that gangliocytic paragangliomas were reclassified by the WHO as composite gangliocytoma/neuroma and neuroendocrine tumor (CoGNET) - thank you Rhonda Yantiss - but also that they can express CD117/KIT to result in wrong diagnoses on small biopsies.
4
63
185