
UCLA Pathology
@UCLA_Pathology
Followers
2K
Following
8K
Media
1K
Statuses
3K
The official account for the UCLA Department of Pathology & Laboratory Medicine. Give Blood. Save Lives. Donate today! @DonateBloodUCLA IG: @ucla_pathology 🔬
Los Angeles, CA
Joined June 2021
💫 First Year Feature Monday 💫 Meet Donald Doanman, MD PhD! Donald is a first year AP/CP resident from Westminster, CA. He completed his undergraduate studies at University of California Davis and earned his dual degree from Icahn School of Medicine at Mount Sinai. In his free
0
0
2
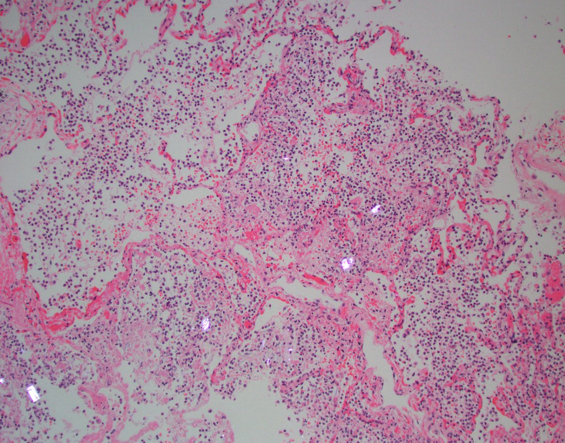
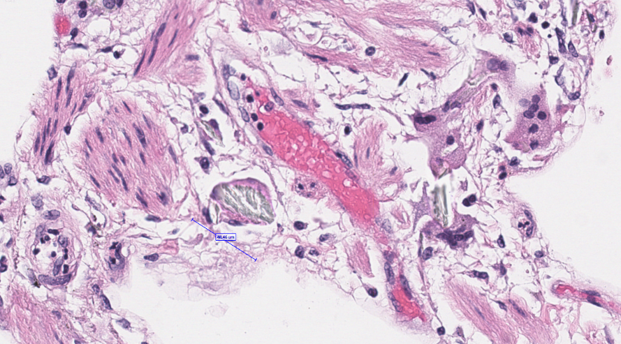
Autopsy surprise. Presumed RA assc. interstitial lung dx. #autopsypath revealed talcosis as underlying cause of ILD. Abundant polarizable crystals +giant cell rxn diffusely in fibrotic septea. Also focal similar findings in myocardial tissue. Remote hx of IVDU. #foresnsicpath
1
9
40
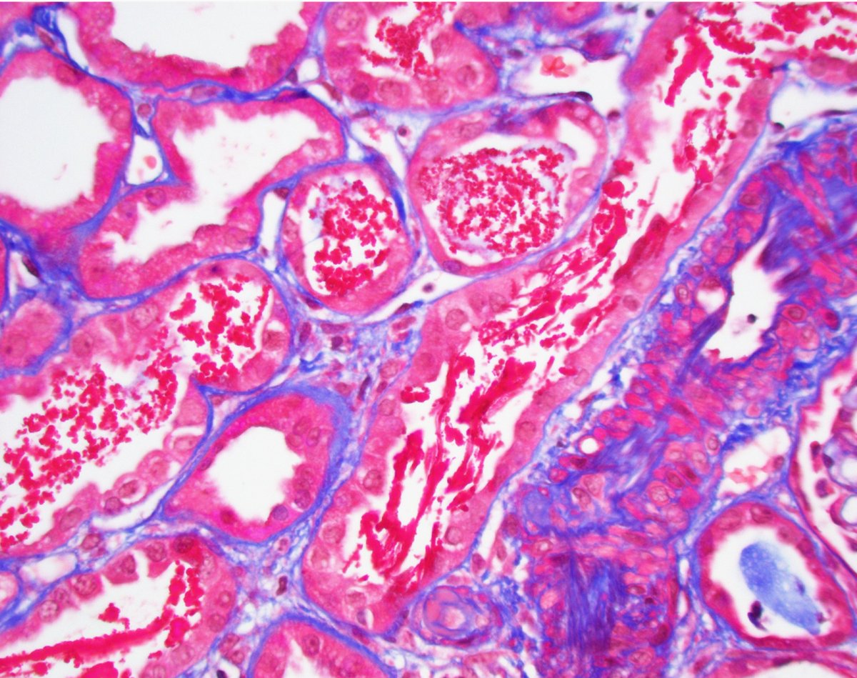
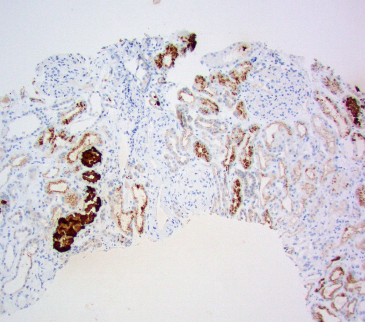
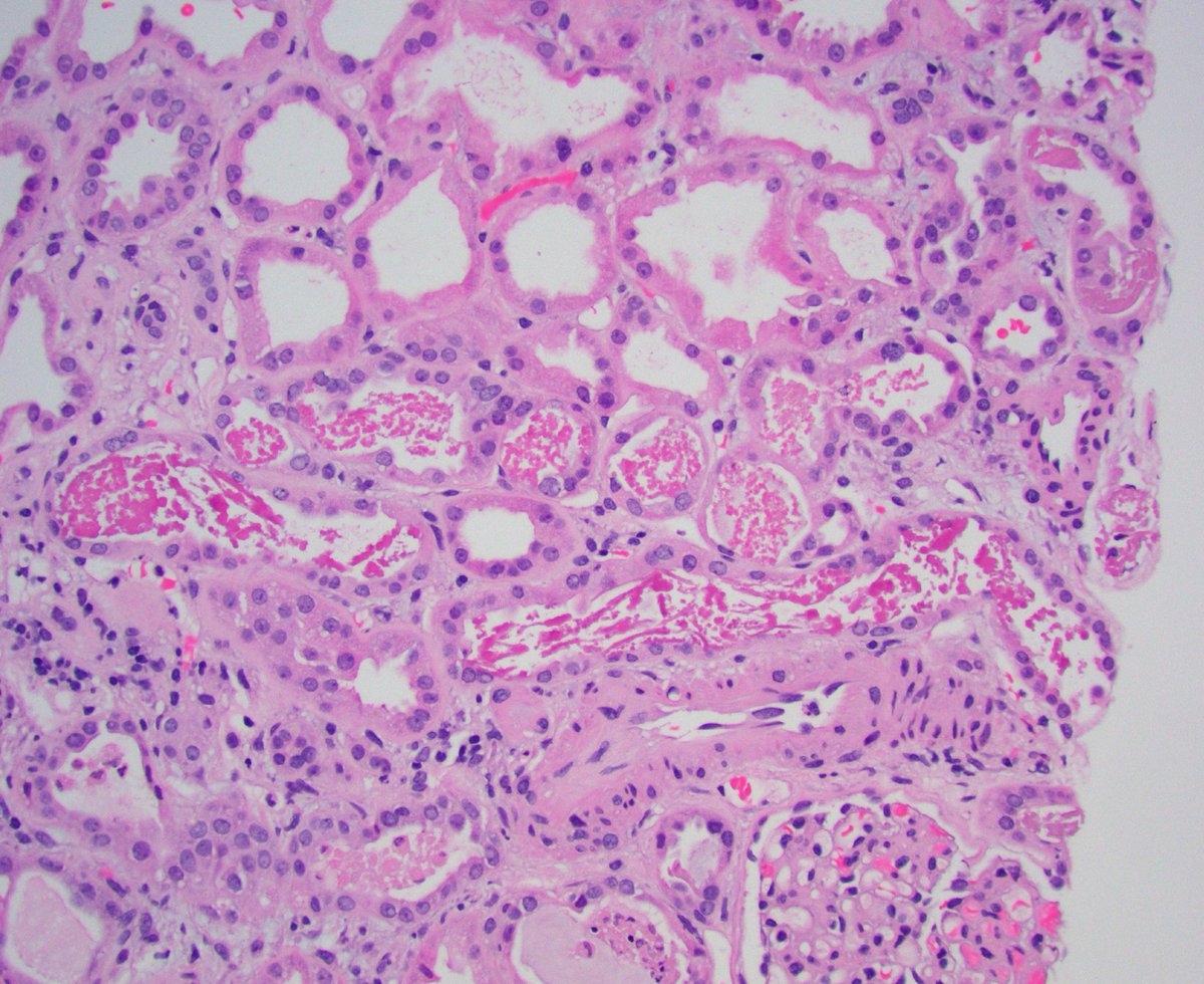
Kidney txp biopsy for AKI (~6 post txp). Tubular injury associated with granular and ropey trichome positive casts. IHC confirmed myoglobin cast nephropathy. CK found to be very high; thought to be due to statin related myopathy. #renalpath #pathwitter #nephrology
1
18
57
🔬UCLA Pathology's Post-Sophomore/Junior Fellowship Program is now recruiting medical students to join our 1-Year #Pathology Fellowship for 2026-2027! Apply today! 👉 https://t.co/pVRwBBfoUe
#PathX #path2path #pathfellowship @Path_SIG @PathElective @Inside_TheMatch @dgsomucla
0
2
3
Don't forget. Nominate yourself or a colleague! Deadline is Thursday, October 22, 2025, 11:00 AM PDT/2:00 PM EDT.
USCAP is calling on pathologists whose research, publications, and service, have shaped the field. Applications for the 2026 Honors Awards close in just one month—don’t wait to put your name (or a colleague’s) forward! https://t.co/HgPNuergWq
#PathX
0
2
8
🎉 Surgical Pathology Fellowship Matches! 🎉 We’re thrilled to celebrate our PGY-3 residents on their successful 2027 Surgical Pathology Fellowship matches! 👏 ✨ Dr. Mach Abdeljaber – Thoracic Pathology ✨ Dr. Cullen Lilley – Dermatopathology ✨ Dr. Heather Ross –
0
3
38
🏅Congratulations to Dr. Yajing Gao, Dr. John Kennelly, Dr. Peter Tontonoz, and collaborators on their article “T cell cholesterol transport links intestinal immune responses to dietary lipid absorption” as published in @ScienceMagazine. Cholesterol is an important component of
0
1
8
💫 First Year Feature Monday 💫 Meet Chayanit (Katie) Jumniensuk, MD! Katie is a first year AP/CP resident from Bangkok, Thailand. She earned her medical degree from Phramongkutklao College of Medicine. In her free time, Katie enjoys hiking and cooking. Her current favorite LA
0
2
6
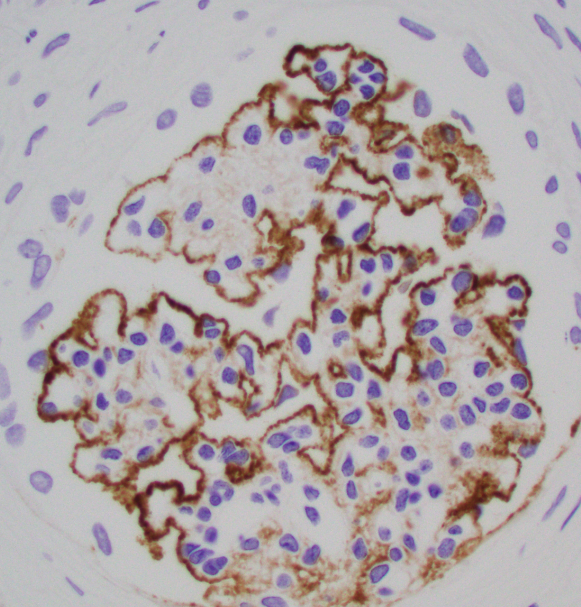
Teenager with nephrotic syndrome. Biopsy revealed unusual case of membranous nephropathy in a peds patient. PLA2R positive (IHC). PLA2R most common antigen in peds MN. EXT2 also common, SEMA3B less common. ( https://t.co/zEASwdQXIe)
#renalpath #pathsky #nephsky
3
23
74
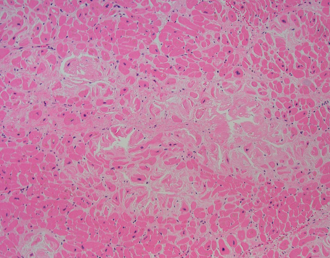
Surprising finding at autopsy (not an uncommon occurrence). Cardiac amyloidosis. Immediate cause of death in this case was aspiration pneumonia. Two reasons why it's good to have a polarizer handy when reviewing autospy slides. #cardiacpath
1
30
81
I’ve just had my first @TheUSCAP interactive 🔬course, &what a fantastic experience!Thanks to the amazing presenters for their high yield presentations!Thanks to the organizers & #GIPS. Microscope and glass will always have their own charm🤍 #PathTwitter #PathX #Pathology
0
2
36
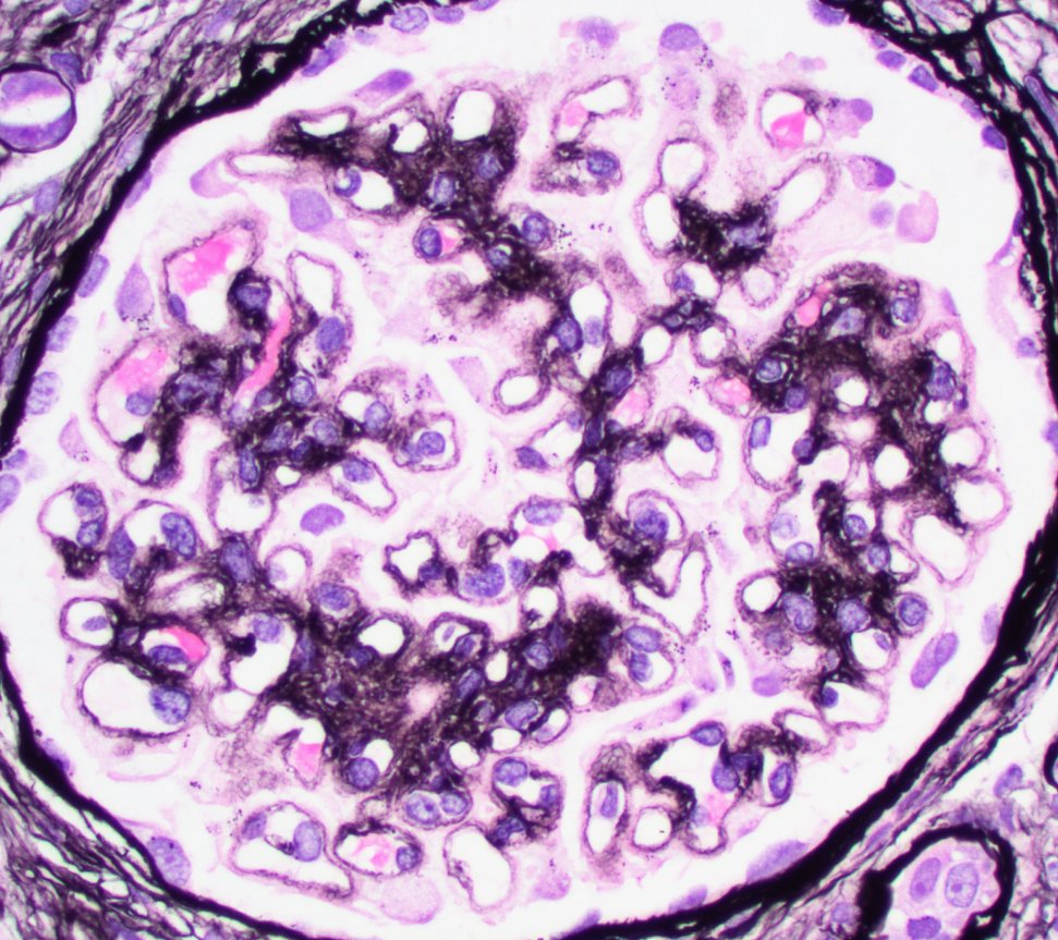
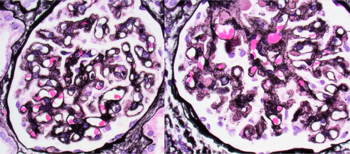
Bx for new onset NS in an older adult. Serologic work up including SPEP/UPEP IFE negative. Bx shows membranous pattern with few double contours. IgG3-k restriction and mottle EM deposits c/w PGNMID with membranous predominant pattern. PLA2R- #renalpath #pathtwitter #nephrology
4
17
51
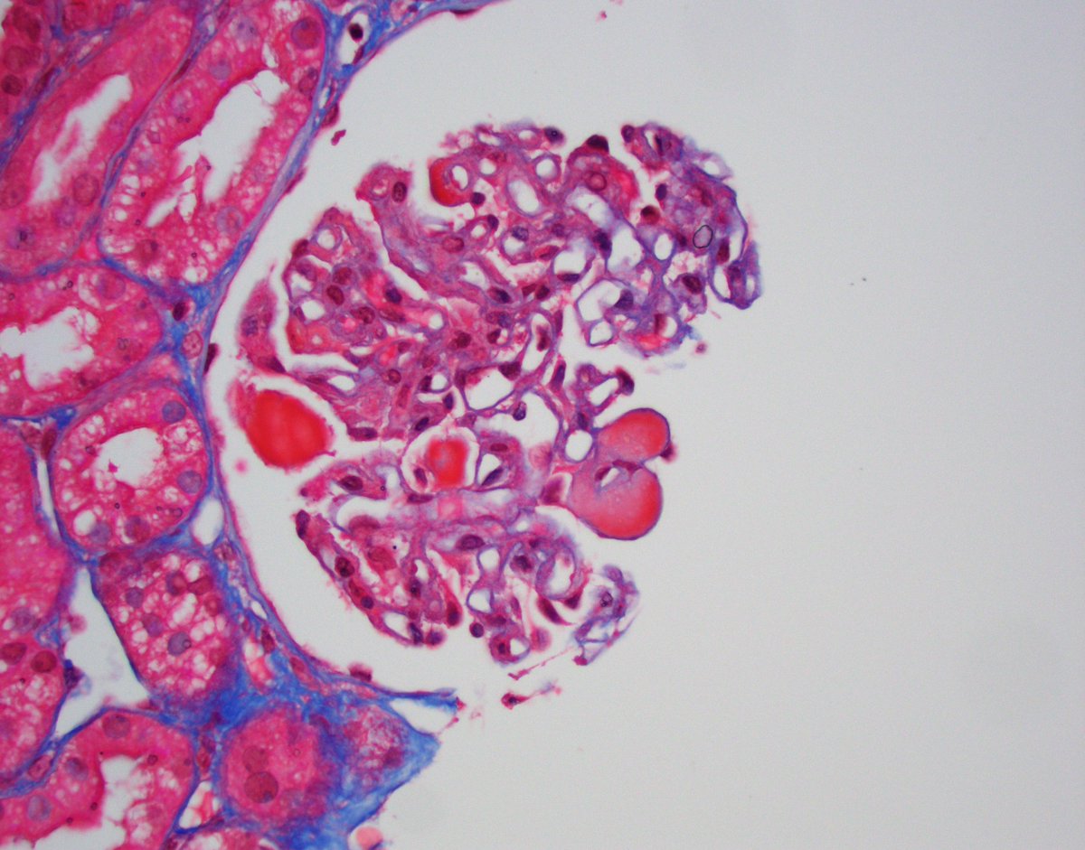
A startling biopsy. Severe acute TMA in a pt with suspected scleroderma renal crisis. Massive vascular thrombosis, mucoid intimal edema, and early onion skin change associated with severe cortical necrosis. #renalpath #nephrology #pathtwitter
3
30
72
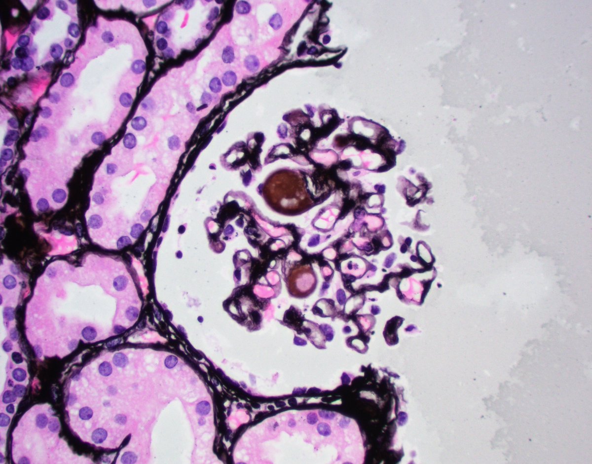
Bx for nephrotic syndrome in an IV drug user with multiple infections. LM was all medulla, but good enough to make a diagnosis. AA amyloidosis; very common bx result in this clinical setting. #renalpath #pathtwitter #nephrology
4
10
45
Final day at Pathology Visions 2025! What an incredible conference - so many insights on AI and digital pathology. 🔬 #PathVisions #DigitalPathology @dpatweet
0
1
5
📢 UCLA is in the race to win the #WeGiveBloodDrive — a Big Ten-wide challenge powered by Abbott to inspire blood donations and save lives. 💪Donate Now-Dec 5 🏆 Help UCLA win a $1 MILLION prize 💰 for student & community health! 🩸 Save Lives! Give blood. Give back. Go
0
3
8
💫 First Year Feature Monday 💫 Meet UCLA Pathology's David Lauzier, MD! David is a first year AP/NP resident from Hickory, NC. He completed his undergraduate studies at University of North Carolina and earned his medical degree from Washington University in St. Louis. In his
0
0
3
🎙️ Join us for our upcoming Pathology Grand Rounds events! #Pathology #path2path #PathX #GrandRounds #MedEd 2025-2026 Schedule ➨ https://t.co/3ajFz3x6yi
0
0
0
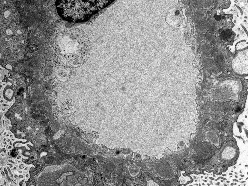
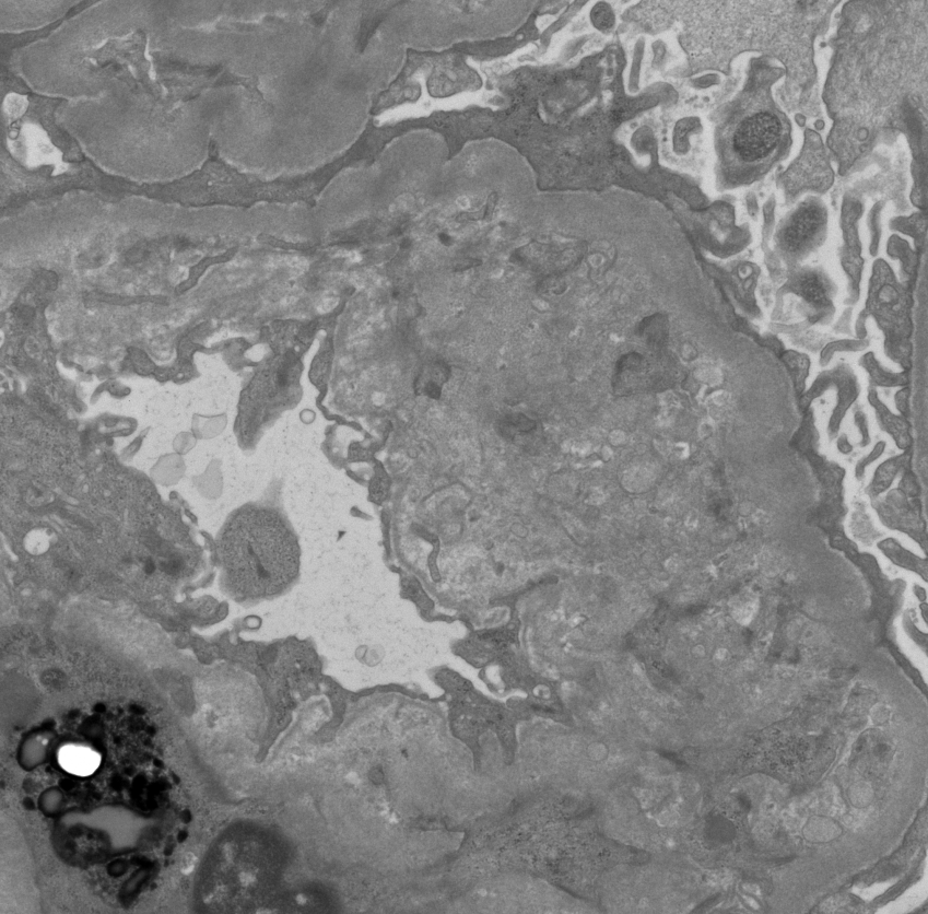
Different microangiopathy today. Glom capillary double contours and pseudothrombi-like hyaline globules suggestive of bevacizumab related microangiopathy (PMID: 30552416). Pt with long course of of bevacizumab and more recently pembro. #renalpath #pathtwitter #onconephrology
0
20
73