
Ilora Rafique MD MPH
@Dr_Ilora
Followers
281
Following
1K
Media
68
Statuses
2K
Integrative Physician, Cancer Survivor, Health Policy, MECCC Community Advisory Board & Patient Engagement , Principal Investigator PCORI Trial
New York, USA
Joined September 2015
Women’s Health Advocates Movement Is Changing Healthcare Policies via @forbes
forbes.com
Liz Powell’s Women’s Health Advocates is leading a national movement to reform women’s health policy, tackle gender bias in healthcare, and close the health gap.
0
0
0
Vitamins and brain health how micronutrients power the nervous system Your brain is the most energy-hungry organ in the body. Every thought, movement, and emotion depends on a continuous supply of nutrients that maintain energy production, neuronal structure, and
16
230
964
A concise viewpoint on how physicians can prepare for the generative A.I. era https://t.co/kX0BWwckpX
@JAMAInternalMed
3
83
269
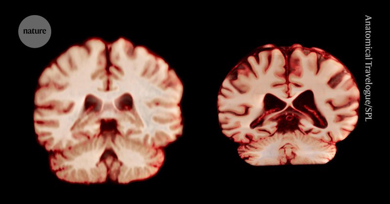
Age-related brain changes do not explain why women are more frequently diagnosed with Alzheimer’s disease than men are https://t.co/qWaB0zOGV7
nature.com
Nature - Women’s brains age more slowly, but that doesn’t seem to protect them from a common form of dementia.
17
102
356
Social isolation is linked to actual brain atrophy. In a large study published in Neurology, researchers analyzed MRI brain scans from nearly 9,000 older adults living in Japan. All participants were free of dementia, but those who reported the least social interaction had
67
333
2K
Optimism is associated with a longer life. Stay positive.
93
678
5K
A similar trend is seen in prostate cancer survival: High-fat dairy intake increases the risk of dying from prostate cancer. It seems the animal fat is https://t.co/HABrXHozZE
4
20
99
During deep sleep, the brain’s glymphatic system clears amyloid and tau, the same proteins that drive Alzheimer’s
60
138
2K
Saturated fat is the most important dietary determinant of cholesterol because it reduces the number of liver receptors that remove LDL, so more LDL ends up staying in our blood. https://t.co/ds7qdsy98F
3
13
62
Menopausal hormone therapy for breast cancer patients: what ... : Menopause
journals.lww.com
apy is the most effective treatment for menopausal symptoms, but is not recommended after breast cancer because it can increase the risk of relapse. Our objectives were to review the evidence and...
1
0
2
Well deserved 👏 Nobel is awarded for the 1990’s discovery of regulatory T cells, a new type of white blood cell🥇
BREAKING NEWS The 2025 #NobelPrize in Physiology or Medicine has been awarded to Mary E. Brunkow, Fred Ramsdell and Shimon Sakaguchi “for their discoveries concerning peripheral immune tolerance.”
11
24
379
The efficacy of resveratrol in the treatment of liver fibrosis: a systematic review and meta-analysis of preclinical studies https://t.co/Oq5MEERLNz
frontiersin.org
ObjectiveTo evaluate the effects and underlying mechanisms of resveratrol—a plant-derived polyphenol abundantly found in natural dietary sources such as grap...
6
28
262
Cool. A useful brain drain
Rapid amyloid-β clearance and cognitive recovery through multivalent modulation of blood–brain barrier transport https://t.co/5KxLbZKtwR
9
22
197
This year’s chemistry laureate Omar Yaghi was born in Amman, Jordan, in 1965 to parents who were refugees from Palestine. When we spoke to him he shared his story: “I grew up in a very humble home, we were a dozen of us in one room, sharing it with the cattle that we used to
232
4K
12K
The most anti-inflammatory food component is fiber. It appears that an increase of just 10 extra grams of fiber per 1,000 calories would equate to four fewer years of cellular aging. https://t.co/Hasvm6mzRK
8
51
298
Finding somatic mutations in healthy tissue that can lead to cancer, at scale. Yet another path to primary prevention https://t.co/f4RnBCgZQ2
https://t.co/zbHztHzZLh
3
83
332
Do you see patients with autoimmune diseases, recurring infections, atopy, or other chronic symptoms that don’t respond to initial treatment? With functional medicine, you can explore the underlying causes of disease and begin to treat illness at the root. At the upcoming Immune
1
2
1
From the article: As new clinics, blood panels, and “biohacking” programs continue to proliferate, the public is left to wonder: are they investing in their health, or in their hope not to age? https://t.co/nzqIZ2oGtx via @somedocs
doctorsonsocialmedia.com
A viral post labeling longevity medicine as “the monetization of mortality anxiety” has sparked a fierce debate among professionals.
0
1
0