
UAB Pathology
@UABPathology
Followers
6K
Following
6K
Media
2K
Statuses
7K
We're advancing pathology through clinical and translational research and shaping the future of treatment through precision medicine.
Birmingham, AL, USA
Joined August 2013
Our residents love learning in Dr. Dal Zotto's interactive grossing sessions! 💚🔬
0
0
4
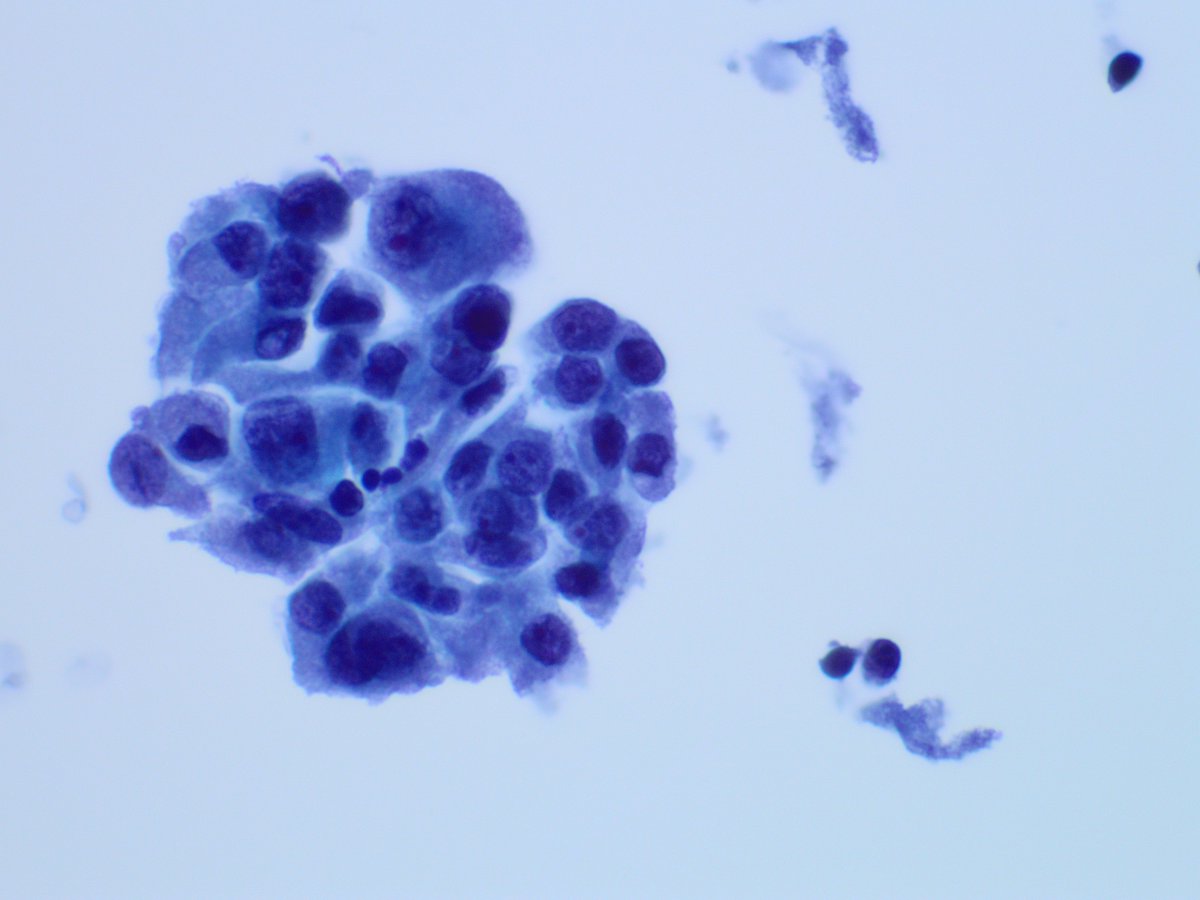
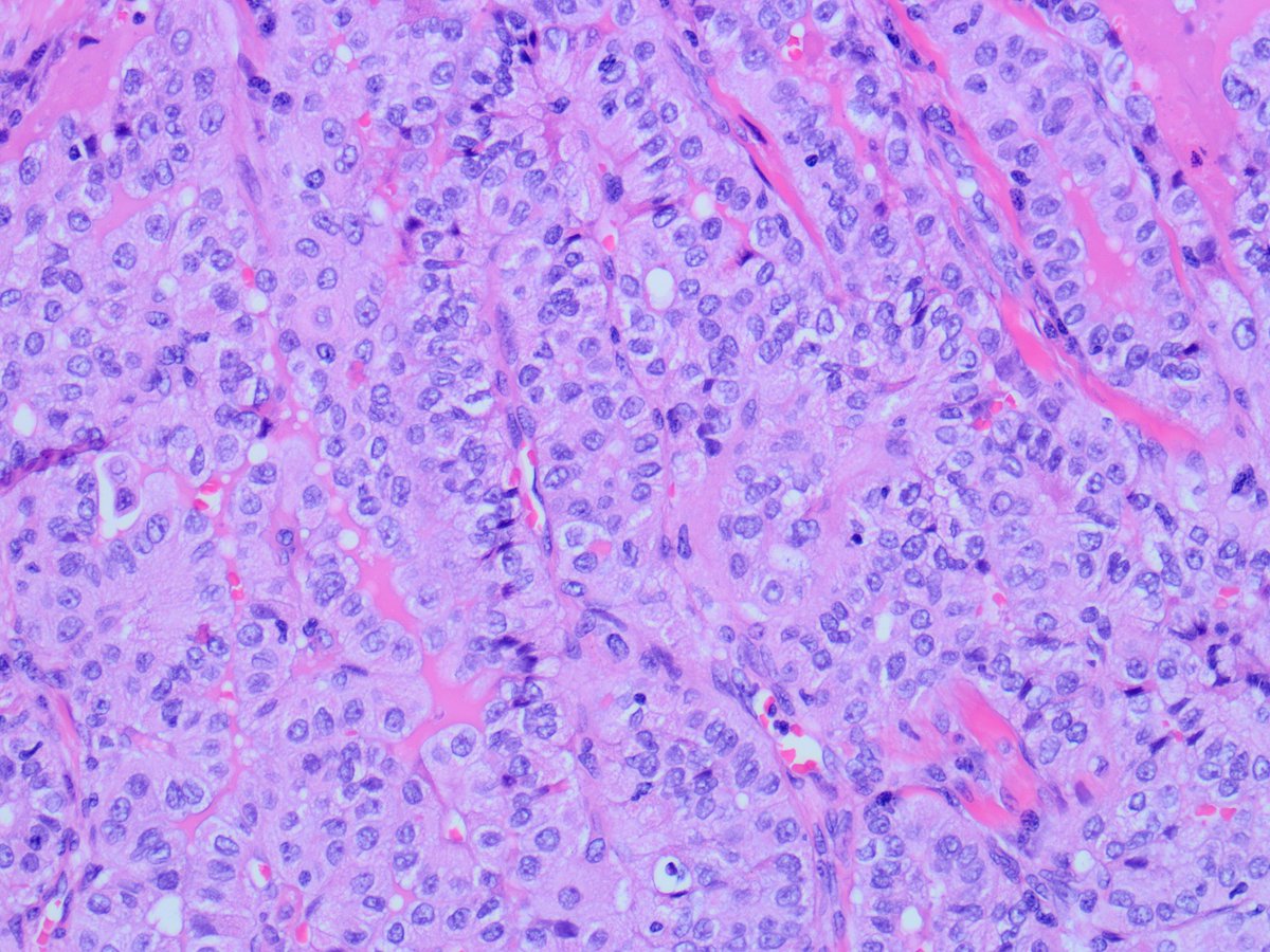
Diagnostic features include: Increased tall tumor cells, especially at the periphery of clusters Granular cytoplasm with distinct borders Cytoplasmic tails and cuffs Occasional intranuclear pseudoinclusions, which are specific when present.
0
0
0
Tall cell variant of PTC is a more aggressive subtype of the most common thyroid malignancy, with higher recurrence risk than classic PTC. Preoperative or cytologic recognition is important for treatment planning.
0
0
0
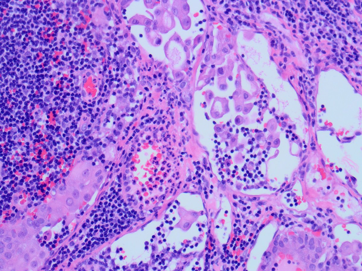
The patient received radioactive iodine but no radiotherapy, and iodine does not induce radiotherapy-like cytologic changes. The cytomorphology strongly supports tall cell variant of PTC, with metastasis to a cervical lymph node, being the most likely diagnosis.
0
0
0
Despite the tissue culture-like appearance that might mimic reactive fibroblasts, the clinical setting, nuclear pleomorphism, cellular aggregates, and epithelioid cells in a lymphoid background support a diagnosis of metastasis over a reparative process.
0
0
1
Some cells show tall cell morphology and rare intranuclear pseudoinclusions ("soap-bubble" appearance). These features match those seen in a previously excised cervical lymph node, consistent with metastatic tall cell variant of papillary thyroid carcinoma (PTC).
0
0
0
Although the sample was described as a neck mass, the presence of scattered lymphocytes suggests it is a lymph node aspirate. Cytologic features include clusters of large epithelioid cells with moderate cytoplasm and tapered tails, and atypical cells with granular cytoplasm.
0
0
0
Mark your calendars for October 16 @ 5:00 PM CST to join our residency program's third Virtual Open House of the season. Ask Dr. Rance Siniard, Residency Program Director, your pre-interview questions. Register here: https://t.co/tvquUh1yFo
1
2
6
Last week, a ribbon cutting ceremony was held to celebrate the UAB HSF Robert B. Adams Cytology Laboratory in Montgomery, Alabama. This laboratory space was donated by the Adams family as part of the Community Practice Pathology Program. Read more: https://t.co/PlrEHow75B
0
0
0
Mythreye Karthikeyan, Ph.D., @mythreyelab, an associate professor, was recently awarded funding by the Blazer Bridge Fund for the development of a novel inhibin alpha targeting an antibody for cancer. Read more: https://t.co/hsG8hujYXV
0
0
2
Case of the Week, submitted by our very own Dr. Huma Fatima. A 45-year-old man with a history of PTC, tall cell variant (PT3b N1a M0), s/p total thyroidectomy, central neck lymph node excision and radioactive iodine therapy, presents with new neck mass.
8
2
6
Girish Melkani, Ph.D., has been named the latest recipient of the @UABHeersink Featured Discovery award. This recognition celebrates notable research contributions made by faculty and highlights the impact of their scientific advancements. Read more here: https://t.co/L2hsybSZg7
0
0
4
Ming He, M.D., Ph.D., an assistant professor in the Division of Molecular and Cellular Pathology, was recently awarded $5 million in funding to explore epigenetic regulation in atherosclerosis. Read more about the studies here: https://t.co/sw2c4m60EV
1
0
4
The UAB Department of Pathology recently funded travel awards to two trainees, Sajal Kumar Halder and Dr. Kenneth Long, who will present their research at national meetings this year. Read more here: https://t.co/UZn2fe9IdH
0
0
4
Michel Kmeid, M.D., an assistant professor in the Division of Anatomic Pathology, will serve as medical director of the gross room and frozen section lab, effective October 1. Congratulations, Dr. Kmeid! Read more: https://t.co/qeGaHj3Lmk
1
1
8
The UAB Department of Pathology celebrated the 30th year of its Paulette Shirey Pritchett Endowed Lecture in Pathology with an outstanding lecture by Mark T. Gladwin, M.D., Dean, University of Maryland School of Medicine. Read more about the lecture here: https://t.co/mMydwQNzBn
0
1
10
Meet Dr. Anne Hylander, our Chief Resident of Clinical Pathology! 💚 Hometown: Memphis, TN Fav thing about UAB: Well-rounded training within both AP and CP subspecialties Fav Residency Memory so far: Our 1st Annual Spirit Week this past May Fellowship: Transfusion Medicine at UAB
1
0
11
Daniel Tyrrell, Ph.D., an assistant professor in the Division of Molecular and Cellular Pathology, is leading a study aimed at addressing the lack of current therapies focused on Granzyme K in asthma, psoriasis and atherosclerosis. Learn more: https://t.co/QuXVfaVqmN
0
0
1