
Garima Rawat
@Garima3103
Followers
979
Following
9K
Media
129
Statuses
1K
Head and neck, Oral & maxillofacial pathologist🔬💡✍️✨🎯 #pathtwitter #OMFPath #headandneckpath Keep striving harder to learn ✨
India
Joined October 2017
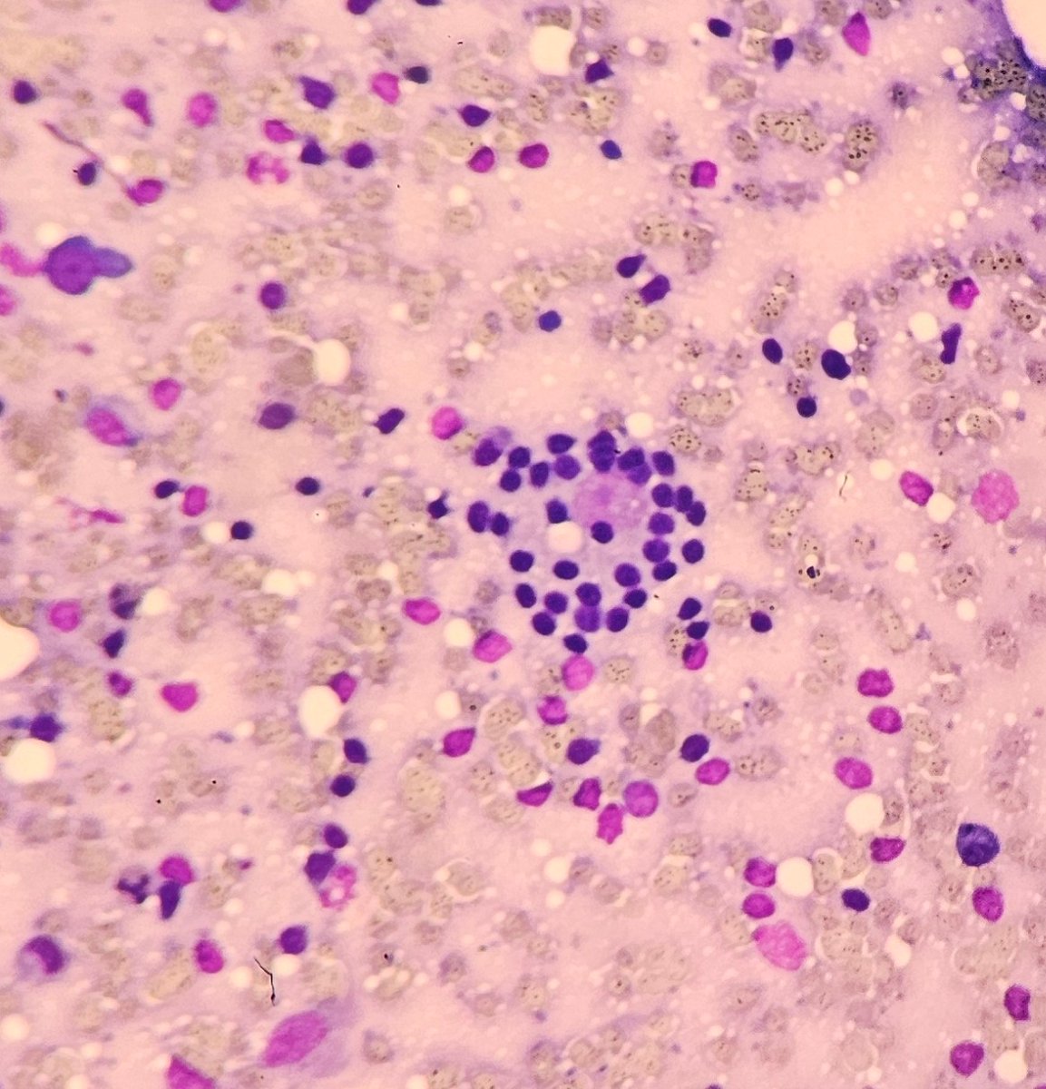
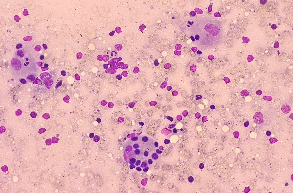
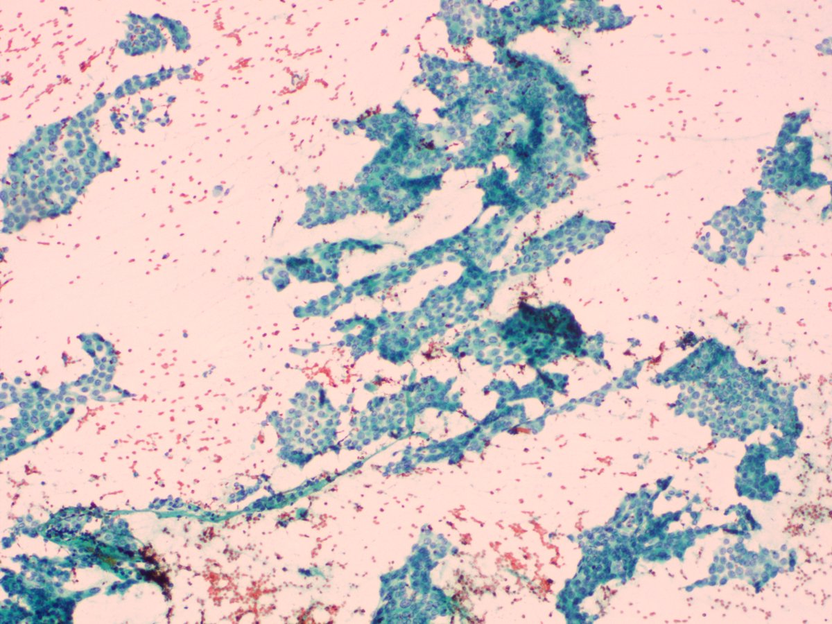
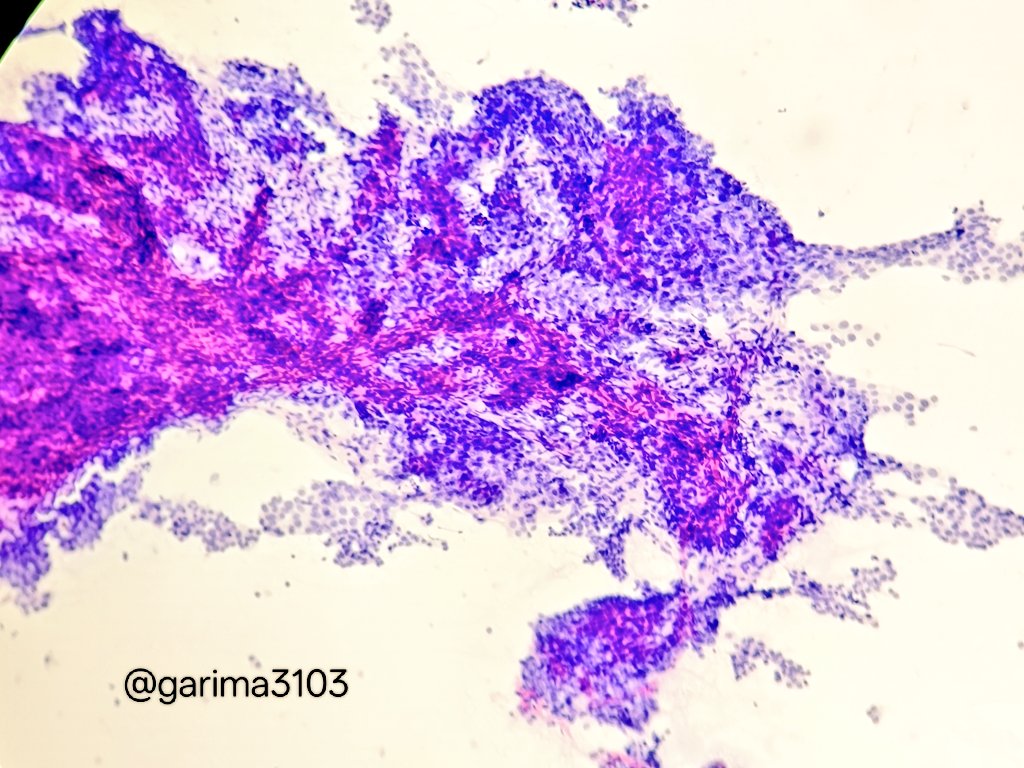
Old age male, smoker, with parotid mass, FNA (Milan IV A, Warthin), intra-parotid LN shows this findings, if you ask for one IHC, what would be?!
10
20
64
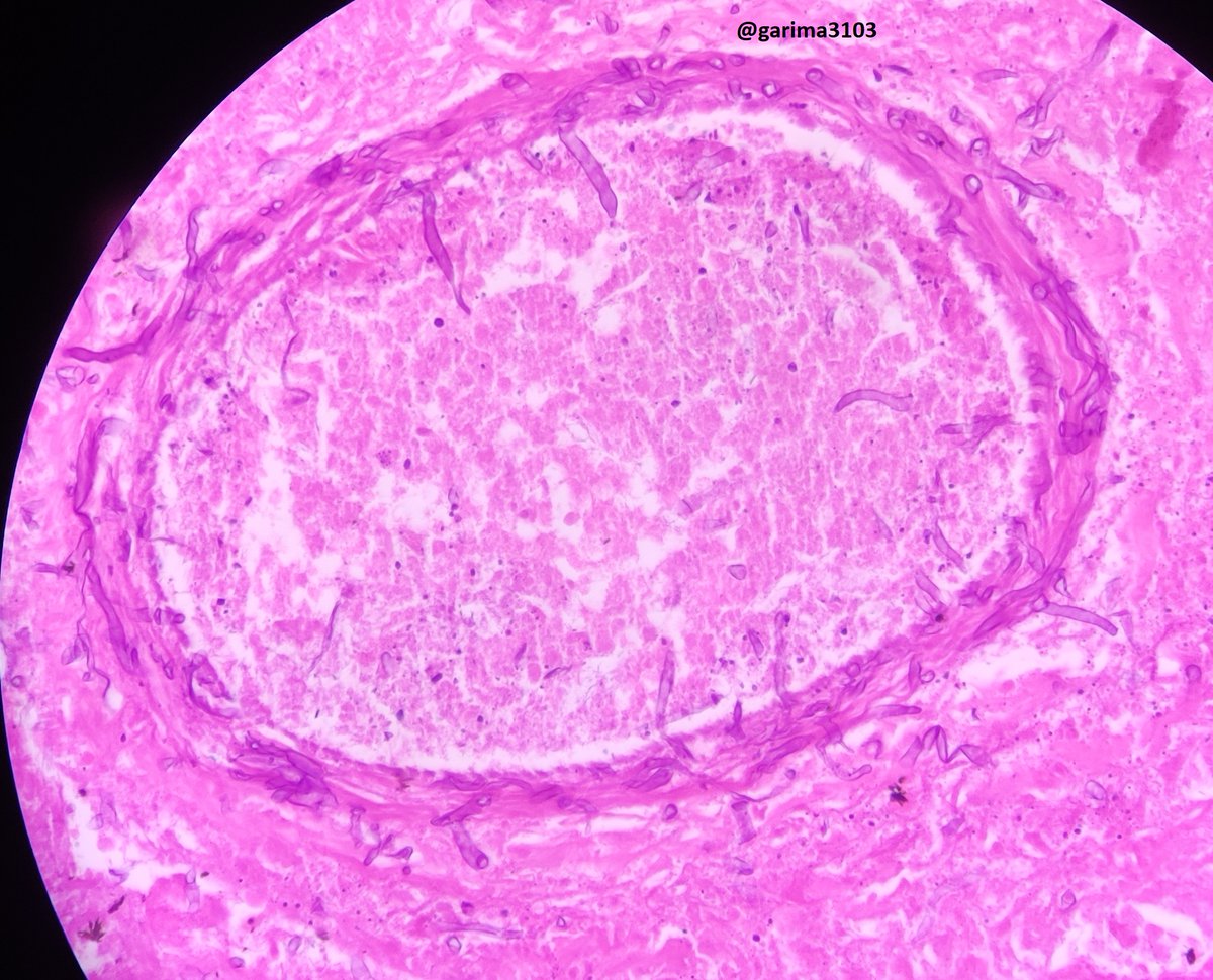
Invasive Fungal Rhinosinusitis: The First Histopathological Study in Vietnam GH Tran, KA Luong, TP Ngo, TM Bui, BA Luong & HA Vu https://t.co/k8YapnIDg2
#HeadNeckPathol #HNPJ #HeadandNeckPath #Pathology #ENTPath #PathologyTweet
0
2
5
2
4
15
40s M Diffuse maxillary gingival lesion 🟤🤎🟫 Speaking out loud! #PathTwitter #headandneckpath #pathology
1
7
35
40s M Diffuse maxillary gingival lesion 🟤🤎🟫 Speaking out loud! #PathTwitter #headandneckpath #pathology
1
7
35
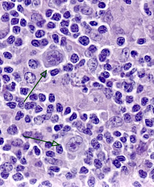
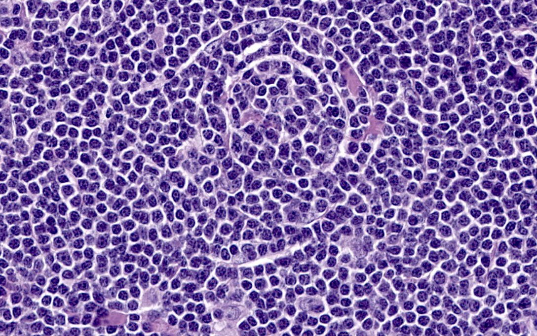
Neck LN, 70 yo F. Composite MZL+CHL. Mottled appearance on LP. On HP the dark areas (85% of the node) are composed of small round lymphoma cells, note the GC colonization in the 2nd pic. The pale areas (3rd pic) show clusters of epithelioid histiocytes with Hodgkin cells.
3
10
39
2
6
20
Next #IACwebinar
As our next #IACwebinar is approaching, we urge you to preregister for Marc Pusztaszeri's webinar on 25 September 14:00 CET (08:00 AM EDT) about Optimising Salivary Gland FNA Diagnosis on our website: https://t.co/7pN3B7899O
0
3
8
Amazing tweet!! #PathTwitter #headandneckpath
It feels like looking down at a billiard table 🧐 🎱. Submandibular mass, FNA: Malignant (The Milan System); adenoid cystic carcinoma. Don’t miss @MarcPusztaszeri’s webinar tomorrow: https://t.co/dz0prkL2gF
#IACwebinar
@IACytology
@CytologyEFCS
@DianaEstherossi
@bfaquin
1
0
1
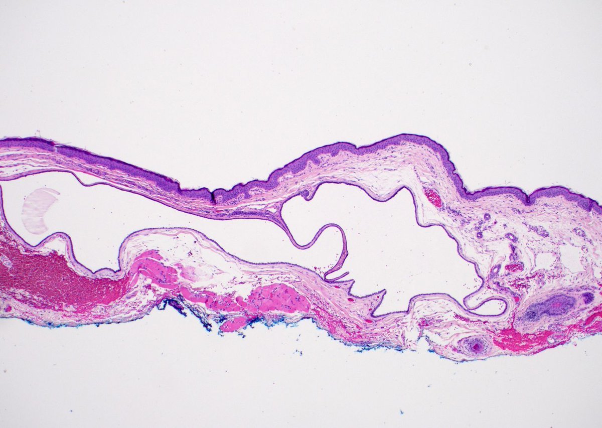
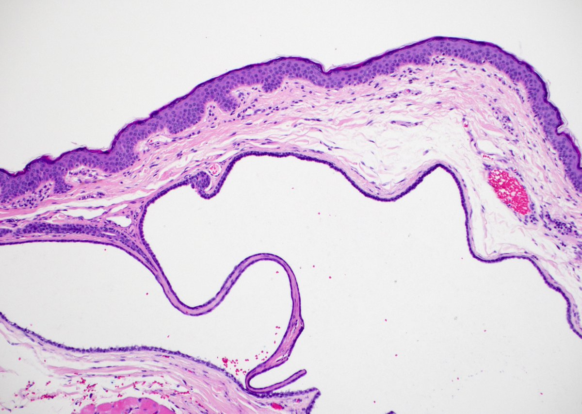
Bluish papules on cheek of middle aged woman. Diagnosis? Answer & video: ✅ ⏯️ https://t.co/Pk5THy2uFo
#pathology #pathologists #pathTwitter #dermpath #dermatology #dermatologia #dermtwitter
0
4
16
Thank you to our speakers, attendees, and host @narayanahealth. Your engagement made our September 5 Education Day a successful opportunity to drive excellence and elevate diagnostic quality. Read about other ways we help in successful outcomes. https://t.co/DbeJOlKRQL
1
2
10
A comparative overview of various fungal organisms commonly encountered in histopathology. https://t.co/cs388qHGvA
3
140
408
4
6
71
Thank you! Your cases are really great—they make us think thoroughly and challenge our brains. Appreciate you sharing them! @DanGrahamMD
#PathTwitter #headandneckpath #pathtweetaward
Good differentials everyone. Congrats @Garima3103 you nailed it. SALIVARY DUCT CARCINOMA AR below. This presumably arose from a posterior submandibular salivary gland, or is a met (no other masses IDed). #ENTpath #HeadandNeckpath #PathX #PathTwitter
2
3
12
Hybrid neoplasm of the lacrimal gland, adenocarcinoma NOS with primary squamous cell carcinoma; A rare case report My research is available on @ResearchGate: https://t.co/AGafJWvMmc
#PathTwitter #headandneckpath
1
0
5
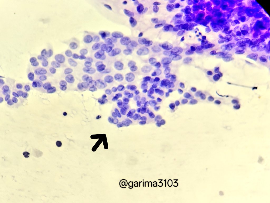
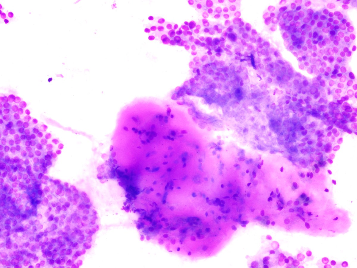
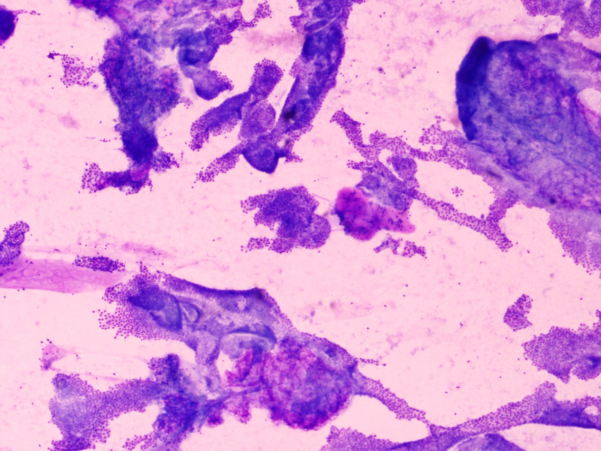
47/F swelling submandibular region #cytopath #pathtwitter @pepeheffernan @vi_monappa @kriyer68 @kr_abhisek
9
15
65
Metastasis to the thyroid Most often renal, breast and lung For secondary squamous cell carcinoma involving thyroid most often from direct extension from larynx and esophagus Dr. Viswanathan #USCAP25 #PathX #pathology
1
18
36
Great and insightful as always listening to you sir @docdcruz Thank you for sharing your worthy experiences about Thyroid carcinomas .. #PathTwitter #thyroid #endocrinepathology
0
0
4
https://t.co/WwKCEU7O2g Rawat G, Aiyer HM, Shukla A, Dharmani S. Acute Invasive Fungal Thyroiditis - A Catastrophic Event Post-Renal Transplant. Indian J Nephrol. 2024;34(5):540-541. #pathtwitter #mucormycosis #headandneckpath
pmc.ncbi.nlm.nih.gov
0
0
2