JCandidoXavier Profile Banner
Jose Candido Profile
Jose Candido

@JCandidoXavier

Followers
2K
Following
3K
Media
714
Statuses
1K

MD, PhD, Pathologist. Instituto de Patologia de Araçatuba-SP , faculdade de medicina Unisalesiano Araçatuba-SP / Brasil / @karger science Ambassador

Joined August 2019
Don't wanna be here? Send us removal request.
@JCandidoXavier
Jose Candido
9 days
How many cells are required for an accurate diagnosis? Sometimes only a few Herpetic oral lesion A large ulcerated lesion with only a few diagnostic cells within the fibrin.
1
4
26
@JCandidoXavier
Jose Candido
11 days
@Notas_Patologia
NotasDePatologia
11 days
Mycosis Fungoides (with Emphasis on Large Cell Transformation – LCT) 🧬 1. General Prognosis of Mycosis Fungoides 📊 The clinical behavior of MF is heterogeneous and depends on age, extent of skin involvement, extracutaneous dissemination, LDH levels, and histopathological
0
3
19
@JCandidoXavier
Jose Candido
13 days
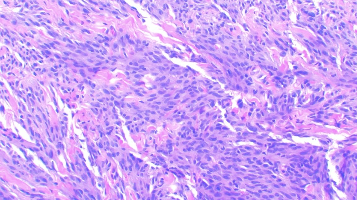
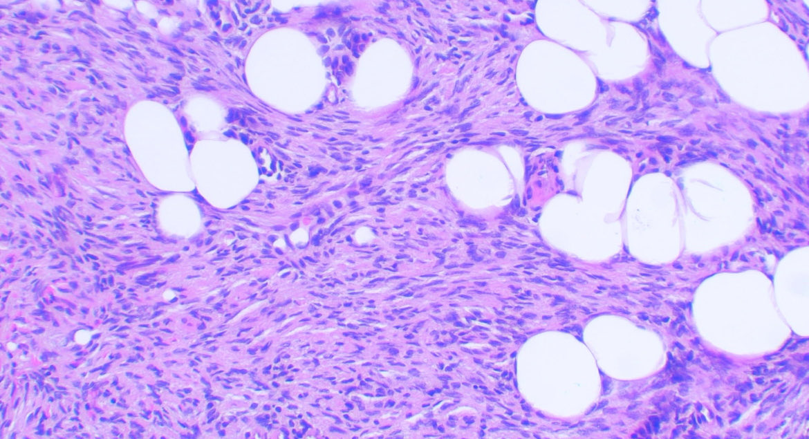
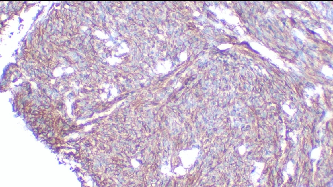
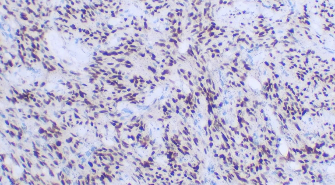
Uterine carcinosarcoma showing serous epithelial carcinoma and liposarcomatous heterologous element 🧐🧐 #Gynecology #WomensHealth #medicine #path #pathology
1
13
29
@JCandidoXavier
Jose Candido
15 days
Sunday afternoon playing with my little pathologist and his spidey team 🤣🤣🤣 #path #pathology
1
1
15
@JCandidoXavier
Jose Candido
16 days
Multinucleated giant cell from a bronchoalveolar lavage fluid saying HELLO to us 🙂 #path #cyto #cytology #pathology
2
1
26
@JCandidoXavier
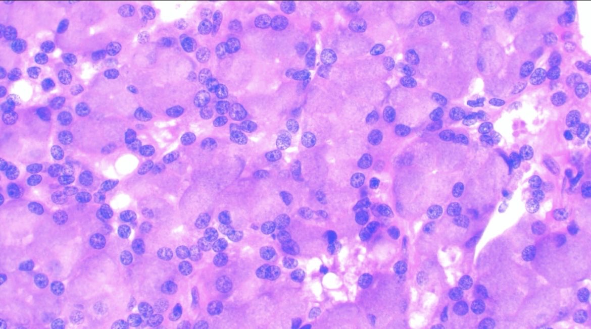
Jose Candido
20 days
Non-neural granular cell tumor Intradermal tumor with cells showing granular cytoplasm. S100 and Sox10: negative HE, CD68, CD56 #path #pathology #dermtwitter #dermatology
1
5
27
@JCandidoXavier
Jose Candido
1 month
Acinic cell carcinoma Cyto-histo correlation Microcystic pattern is a feature related with good outcome. #cytology #cyto #pathology #medicine
1
9
44
@JCandidoXavier
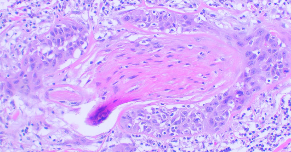
Jose Candido
1 month
Cutaneous Squamous cell carcinoma Perineural invasion 😢 #path #dermpath #pathology #cancer
0
1
12
@JCandidoXavier
Jose Candido
1 month
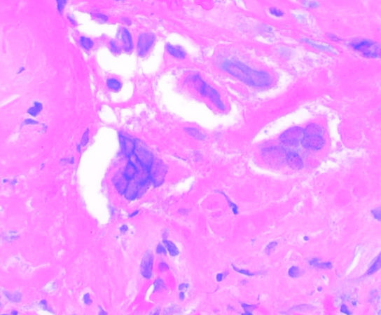
Collagenous nodules in prostate carcinoma. #path #surgpath #Medicine
4
11
46
@JCandidoXavier
Jose Candido
2 months
Good morning asteroid body! 😁 #path #pathology #histology
0
10
43
@JCandidoXavier
Jose Candido
2 months
Male 75y/o Breast lesion Myofibroblastoma HE, CD34, Desmin,ER #breast #BreastCancerAwareness #path #pathology #Medicine
0
6
34
@JCandidoXavier
Jose Candido
2 months
MALAKOPLAKIA 👏🏽😁👍🏾 #path #pathology #Medicine
0
5
27
@JCandidoXavier
Jose Candido
2 months
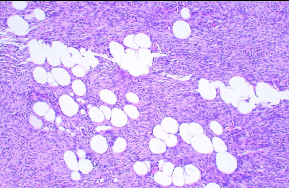
Dermatofibrosarcoma protuberans The presence of tumor cells between fat lobules results in a characteristic honeycomb appearance. #path #dermpath #pathology
0
10
50
@JCandidoXavier
Jose Candido
2 months
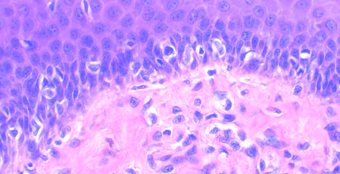
melanocytic proliferation overlying a scar They can be quite ugly sometimes 👺 #path #pathology #dermpath #dermatology
0
4
20
@JCandidoXavier
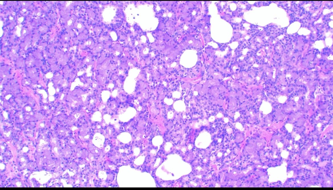
Jose Candido
2 months
Who said benign lesions do not have hypercellular smears?🤔🤔 Here we have a hyperplastic nodule. The Giemsa stain shows abundant colloid. ⚖️ #cyto #cytology #path #thyroid
1
7
29
@JCandidoXavier
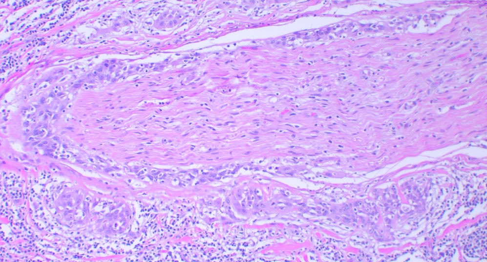
Jose Candido
2 months
Concentric fibrosis is a histologic feature found in dysplastic nevi, where fibrosis forms a ring-like pattern around a rete ridge #path #dermpath #dermatology #pathology
1
14
63
@JCandidoXavier
Jose Candido
2 months
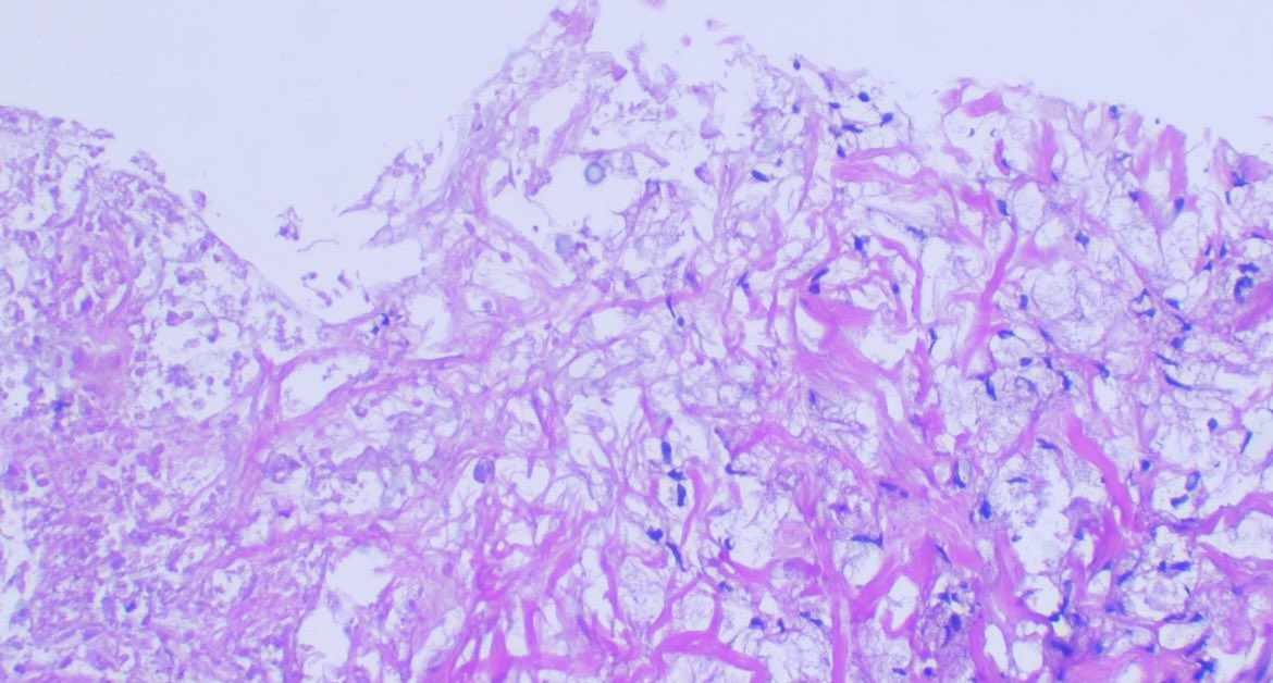
When the diagnosis comes from necrotic material: cryptococcosis is a serious and potentially fatal fungal disease caused by inhaling Cryptococcus yeasts #path #pathology #fungi #infectiousdiseases HE, mucicarmim, silver stain
0
5
22
@JCandidoXavier
Jose Candido
2 months
Pigmented Spitz or Reed nevus? Are they two diagnoses or is this just a semantic question? #path #derm #dermpath #dermatology
2
10
34
@JCandidoXavier
Jose Candido
3 months
@Notas_Patologia
NotasDePatologia
3 months
🩺 Melanocyte Colonization and Pigmentation of Breast Carcinoma 🧾 Definition Melanocyte colonization and pigmentation of breast carcinoma is a rare phenomenon characterized by the presence of non-neoplastic dendritic melanocytes, originating from the epidermis, colonizing
0
1
6
@JCandidoXavier
Jose Candido
3 months
Many faces of Hodgkin and Reed-Sternberg cells #path #medicine #lymphoma
0
27
98