 
            
              Cancer at Nature Portfolio
            
            @NatResCancer
Followers
                6K
              Following
                2K
              Media
                96
              Statuses
                4K
              The latest articles, covering all aspects of cancer research, and news from cancer-handling editors at Nature Portfolio journals.
              
              London, New York, Berlin, Shanghai
            
            
              
              Joined October 2017
            
            
           The I-SPY trial platform was designed to accelerate development of #neoadjuvant treatments for early-stage #breastcancer and provides a model for future response-adapted clinical trials. News & Views from @JavierCortesMD & colleagues  https://t.co/KZNBnLaL2Q 
          
          
            
            nature.com
              Nature Medicine - The I-SPY clinical trial platform was designed to accelerate clinical development of neoadjuvant treatments for early-stage breast cancer. Although it is not without limitations,...
            
                
                0
              
              
                
                2
              
              
                
                10
              
             In our latest #JournalClub, Chae & Chung (@snuh_official) discuss a study characterizing the differentiation & maturation of both tumour-resident and circulating B cells in patients with melanoma. 📖👉  https://t.co/lHGXc3Qn6e 
          
          
                
                0
              
              
                
                2
              
              
                
                2
              
             How can you increase the impact of your own research beyond the publication impact factor? 🤔 Our podcast guests @IACR_DIR, @FJCarmonas & Caroline Dive (@CRUKLungCentre) discuss this in episode 7 of The Cancer Researcher Podcast:  https://t.co/wKcsKyGIEp 
            #CancerResearch
          
          
                
                0
              
              
                
                3
              
              
                
                3
              
             Shifting from a profit-driven model to one that prioritizes affordability and access to advanced medicines for #patients. A timely and much needed Perspective by Melinda Kliegman and colleagues @igisci “A roadmap for affordable genetic medicines”  https://t.co/7UxaJgFfzR 
            @Nature
          
          
            
            nature.com
              Nature - Implementation of new pricing and business structures and improved licensing and manufacturing processes could reduce the per-patient cost of gene therapy tenfold.
            
                
                0
              
              
                
                2
              
              
                
                12
              
             .@mnileathlobhair et al. analyse the genomic landscape of testicular germ cell tumours using WGS data from the Genomics England 100,000 Genomes Project #CancerResearch #testicularcancer #testicularcancerawareness
            @NatResCancer
          
          
            
            nature.com
              Nature Communications - Testicular germ cell tumours (TGCT) are the most common cancers in young men. Here, the authors analyse the genomic landscape of TGCT using data from the Genomics England...
            
                
                2
              
              
                
                6
              
              
                
                10
              
             To celebrate 100+ years of the #WarburgEffect,@SpringerNature editors put together a collection of articles highlighting #CancerMetabolism research & its potential for the clinic.  https://t.co/ogi1NXr5N0 
            @BioMedCentral @NatureMedicine @NatureRevCancer @NaturePortfolio
          
          
            
            nature.com
              The field of cancer metabolism research is entering its 2nd century since the first description of the changes in metabolism of cancer cells by Otto Warburg ...
            
                
                0
              
              
                
                1
              
              
                
                3
              
             To celebrate 100+ years of the #WarburgEffect, #Cancer editors from @SpringerNature put together a collection of articles highlighting the breadth of #CancerMetabolism research & its potential for the clinic. @BioMedCentral @NatResCancer @NaturePortfolio
          
          
            
            nature.com
              The field of cancer metabolism research is entering its 2nd century since the first description of the changes in metabolism of cancer cells by Otto Warburg ...
            
                
                0
              
              
                
                16
              
              
                
                15
              
             .@MuijlwijkTara @DeRieneke @amsterdamumc @CancerCenterAms characterise a subgroup of copy number alteration-quiet #HeadAndNeckCancer using #genomics
            #CancerResearch @NatResCancer
          
          
            
            nature.com
              Nature Communications - HPV-negative head and neck squamous cell carcinomas (HNSCCs) are generally characterized by many copy number alterations (CNAs) and mutations. Here, the authors characterize...
            
                
                0
              
              
                
                4
              
              
                
                8
              
             Ghosh et al. analyse impact on protein expression, biochemical properties, and evolutionary conservation of all C-terminal nonstop extension mutations registered in the pan-cancer NonStopDB dataset #CancerResearch @NatResCancer
          
          
            
            nature.com
              Nature Communications - Nonstop extension mutations in cancer remain poorly characterized. Here, the authors test the impact of 2335 tumor-derived C-terminal nonstop extensions on protein...
            
                
                0
              
              
                
                2
              
              
                
                5
              
             To celebrate 100+ years of the #WarburgEffect, #Cancer editors from @SpringerNature put together a collection of articles highlighting the breadth of #CancerMetabolism research & its potential for the clinic. @BioMedCentral @NatResCancer @NaturePortfolio
          
          
            
            nature.com
              The field of cancer metabolism research is entering its 2nd century since the first description of the changes in metabolism of cancer cells by Otto Warburg ...
            
                
                1
              
              
                
                11
              
              
                
                21
              
             A Review in @NatRevDrugDisc provides an overview of the dynamics of the nerve-cancer cell interplay and discusses the current preclinical and clinical evidence of the benefits of targeting the nervous system in cancer. 🔒  https://t.co/PmIfk0coqN 
          
          
                
                0
              
              
                
                17
              
              
                
                62
              
             Great turnout at the #CCE Clinical Trials & Translational Research reception in Barcelona! It was wonderful to see the working group come together to connect and network. Many thanks to all attendees ✨ #ESMO24 #ClinicalTrials #CCE_DART #BoBTrial
          
          
                
                1
              
              
                
                7
              
              
                
                21
              
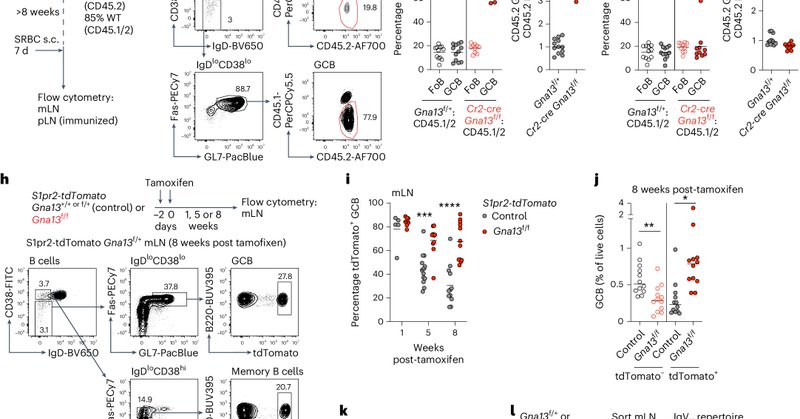
             Muppidi and colleagues find that loss of the G-protein Gα13 suppressed diffuse large B cell lymphoma formation in the mesenteric lymph nodes by limiting the effects of dietary nutrients. Read it here:  https://t.co/UoYRLifsUK 
             https://t.co/Kgx7h9iE3J 
          
          
            
            nature.com
              Nature Immunology - Muppidi and colleagues show that loss of Gα13 drives B cell lymphomas preferentially in the mesenteric lymph nodes. They find that Gα13 is required to counteract...
            
                
                0
              
              
                
                6
              
              
                
                14
              
             Marie and colleagues identify a population of tumorigenic Th17 cells in the intestine. Read it here:  https://t.co/Dy05XjTPEQ 
             https://t.co/eDZR0qCw5V 
          
          
            
            nature.com
              Nature Immunology - Here, the authors show that there is a pretumorigenic TH17 subset in the intestines that can convert to being tumorigenic under the control of KLF6 and that this process can be...
            
                
                0
              
              
                
                6
              
              
                
                16
              
             Whole-genome sequencing of more than 2,000 colorectal carcinoma samples provides a highly detailed view of the genomic landscape of colorectal cancer and identifies new driver mutations, according to a paper in @Nature.  https://t.co/dqNWmCtxaj 
          
          
                
                0
              
              
                
                46
              
              
                
                127
              
             A Comment article in @NatRevGastroHep discusses how the western lifestyles causes metaflammation, which might prime committed cell lineages to initiate colon tumorigenesis. At-risk individuals might include cases of early-onset colon cancer. 🔒  https://t.co/MkxshhHY9N 
          
          
                
                0
              
              
                
                10
              
              
                
                28
              
             There is an urgent need for more effective strategies to preselect patients for therapies, mitigating the risk of administering ineffective, potentially harmful drugs and speeding up the process for patients to receive the most effective treatment  https://t.co/aL86VDd37Y 
          
          
                
                0
              
              
                
                19
              
              
                
                45
              
             Published today! We found that cancer cells adapting to drug treatments don't simply switch from a sensitive to resistant state; instead there's a ‘resistance continuum’ of resistant phenotypes with epigenetically reprogrammed states. 🧵⬇️  https://t.co/Jgx79K3i3a 
            @Gustavo_SFranca
          
          
                
                32
              
              
                
                393
              
              
                
                2K
              
             Cancer organoids 2.0: modelling the complexity of the tumour immune microenvironment 
          
            
            nature.com
              Nature Reviews Cancer - In this Review, Polak, Zhang and Kuo discuss the currently available and rapidly evolving 3D tumour organoid models that capture the tumour immune microenvironment. They...
            
                
                1
              
              
                
                95
              
              
                
                303
              
             
             
             
             
             
             
             
             
             
             
             
            