NafeesaPath Profile Banner
Nafeesa Banu, MD, FRCPath Profile
Nafeesa Banu, MD, FRCPath

@NafeesaPath

Followers
540
Following
1K
Media
54
Statuses
1K

Specialist Anatomic & Clinical Pathologist, Life long learner

United Arab Emirates
Joined July 2022
Don't wanna be here? Send us removal request.
@NafeesaPath
Nafeesa Banu, MD, FRCPath
1 year
Cleared FRCPATH Part 2 histopathology exam . I would express my heartfelt gratitude to the amazing path twitter community for all the wonderful resources #pathtwitter #patheducation
8
1
53
@kis_lorand
Lorand Kis
7 years
1/ Thanks everyone ๐Ÿ™๐Ÿ™๐Ÿ™ great answers ๐Ÿ‘๐Ÿ‘ you are all too good!!!! Indeed this is MGA- microglandular adenosis, that today is considered a non-obligate precursor of some triple โ€“negative breast carcinomas.
3
65
137
@NafeesaPath
Nafeesa Banu, MD, FRCPath
2 months
0
1
1
@NafeesaPath
Nafeesa Banu, MD, FRCPath
2 months
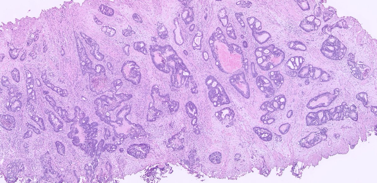
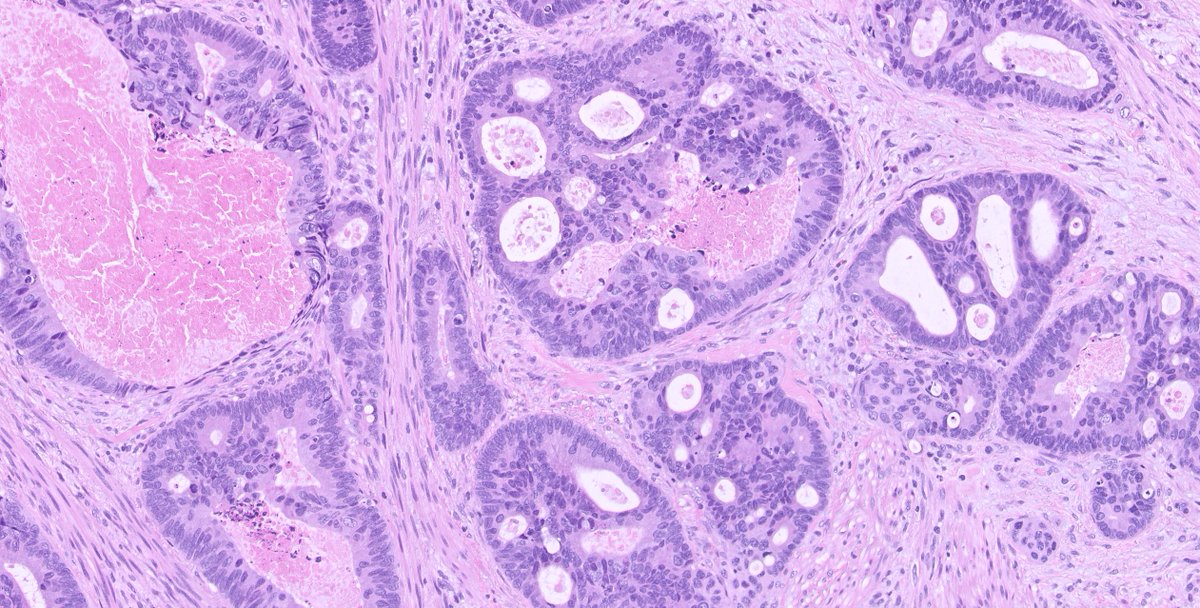
43 female, dilated CBD with stricture endoscopy: bulky bulging papilla with hyperplastic mucosal covering, which easily bleeds on touch, suggestive of an ampullary adenoma causing papillary distortion. Any thoughts on this ?#pathtwitter #GIpath
3
1
3
@NafeesaPath
Nafeesa Banu, MD, FRCPath
5 months
0
0
0
@NafeesaPath
Nafeesa Banu, MD, FRCPath
5 months
0
0
2
@NafeesaPath
Nafeesa Banu, MD, FRCPath
5 months
0
0
1
@NafeesaPath
Nafeesa Banu, MD, FRCPath
5 months
0
0
2
@NafeesaPath
Nafeesa Banu, MD, FRCPath
5 months
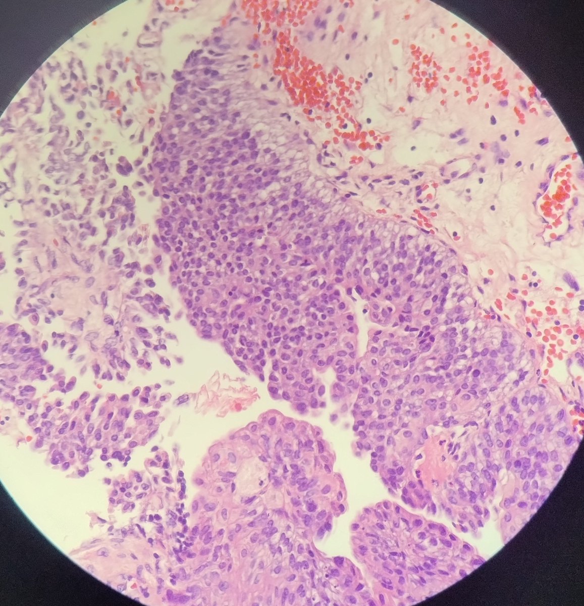
43 male , urinary bladder polypoidal mass. Is this tumor low grade papillary urothelial carcinoma . Focally I feel high grade.#pathtwitter #GUpath
7
5
14
@sza_jhcyto
Syed Z. Ali
6 months
The amazing โ€œpseudo-mesothelialโ€ appearance of a well-differentiated (lepidic) lung adenocarcinoma on FNA.
1
58
220
@NafeesaPath
Nafeesa Banu, MD, FRCPath
7 months
0
0
1
@NafeesaPath
Nafeesa Banu, MD, FRCPath
7 months
0
0
0
@NafeesaPath
Nafeesa Banu, MD, FRCPath
7 months
0
0
2
@NafeesaPath
Nafeesa Banu, MD, FRCPath
7 months
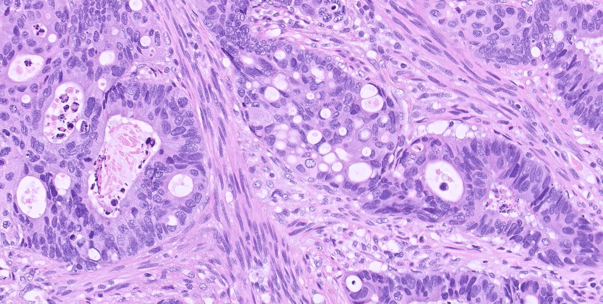
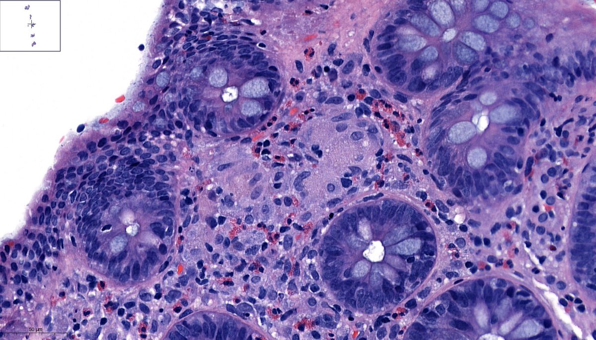
52 year old 5 mm rectal polyp, 25 cm from anal verge. First thought is hyperplastic polyp but the smooth muscle proliferation in stalk is making me think of a leiomyoma. GI path folks kindly opine.
6
1
5
@DrCycloPath
Charlie Herndon
1 year
This pap smear from a 35 yo woman with intermenstrual spotting demonstrates atypical __ cells. A) endometrial B) endocervical #CytoPath #PathTwitter #Pathology #GynPath
11
39
121
@drtimbracey
Tim Bracey
1 year
Microscopic colitis with giant cells. Female with autoimmune history and watery diarrhoea, negative micro and endoscopy normal. Unlike CD which has deep granulomas the giant cells in MCwGC are superficial and dispersed. Like CC and LC responds to budesonide. @drkeithsiau #GIPath
4
34
128
@thejourneymate
Felipe Templo Jr. ,MD, MBA ๐Ÿ•Š
1 year
Schematic Representation of Hallmarks in Malignant Salivary Gland Tumors ๐Ÿ”ฌ https://t.co/di6JjdzsDI
2
115
354
@kis_lorand
Lorand Kis
1 year
1/ A #GUpath case...TURB specimen with the following histology ๐Ÿ‘‡๐Ÿ‘‡๐Ÿ‘‡ Tumor at the urinary bladder neck. IHCs in the thread. Your dx? #pathology #PathTwitter
6
21
64
@NafeesaPath
Nafeesa Banu, MD, FRCPath
1 year
1
1
5
@NafeesaPath
Nafeesa Banu, MD, FRCPath
1 year
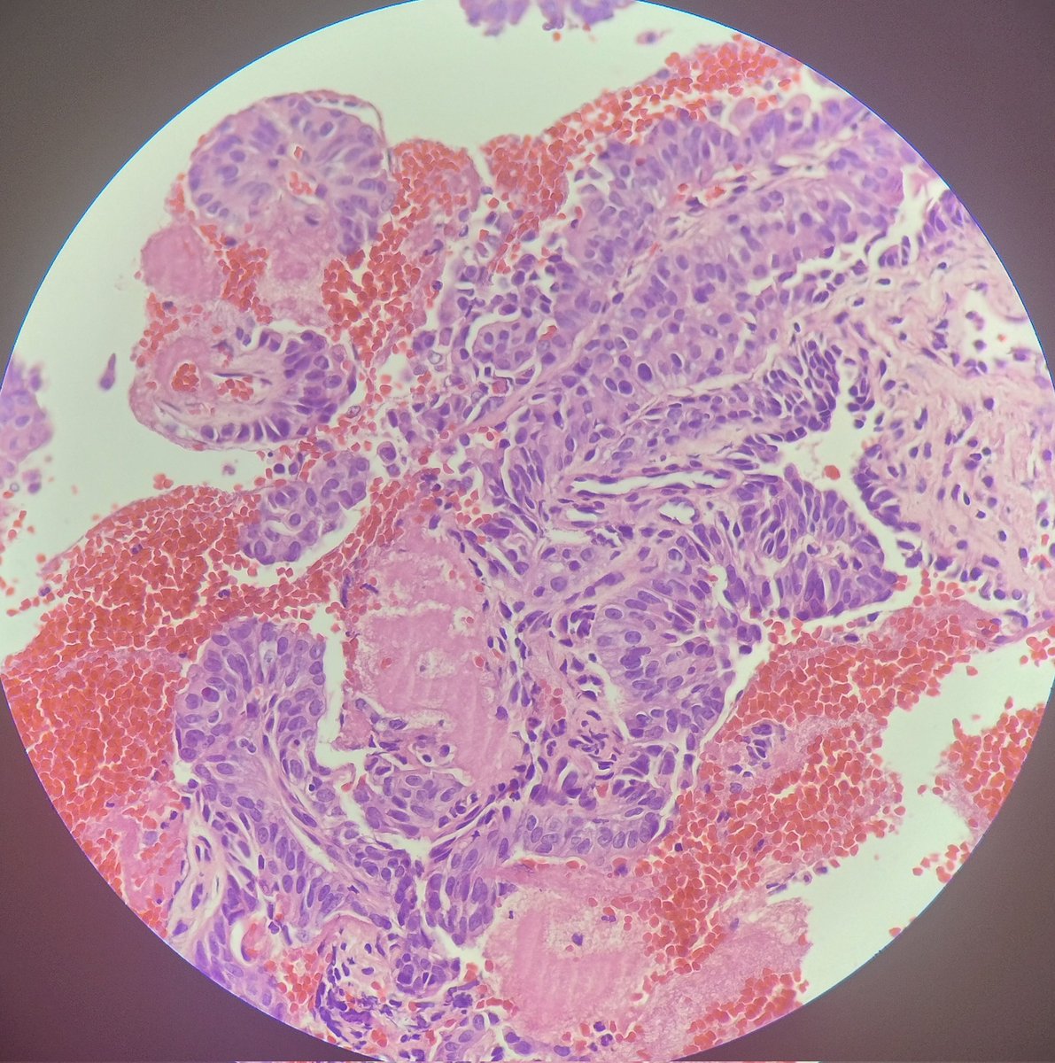
56/ M lung mass. Core biopsy from the lesion. CT and Xray findings attached . Kindly provide your valuable opinions. #pathtwitter #pulmonarypath
4
5
16