Mohit Turagam
@MohitTuragam
Followers
931
Following
3K
Media
22
Statuses
2K
Cardiac Electrophysiologist @mountsinaiNYC
NY, NY
Joined September 2012
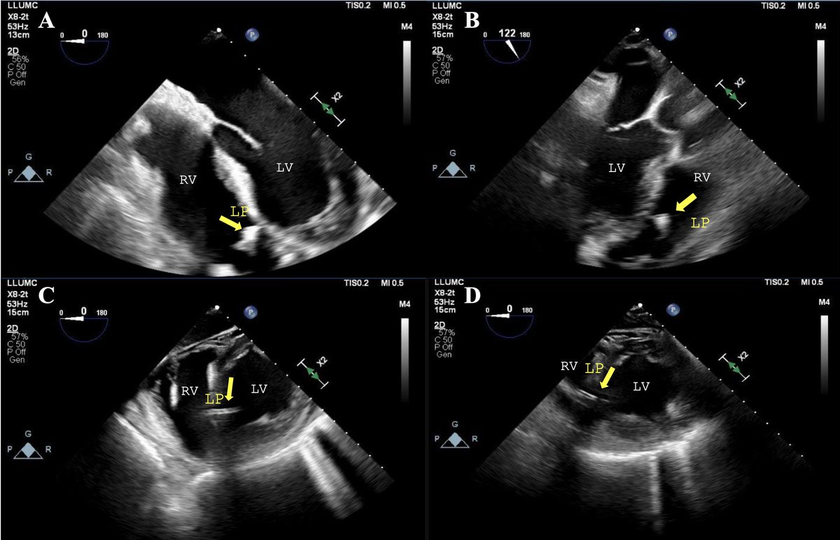
**Study 3: Step-by-step approach to ultrasound-guided leadless pacemaker implantation @DJ_Lakkireddy @MohitTuragam @jkewcharoen et al share a practical, image-guided protocol using TTE, ICE, or TEE to optimize LP placement and reduce contrast/radiation exposure. *Echo confirms
1
4
13
We are proud to announce that the Mount Sinai Fuster Heart Hospital’s cardiology faculty practice has received the 2024 Human Experience Pinnacle of Excellence Award® from Press Ganey for achieving high levels of excellence in patient experience: https://t.co/7hcGN7CKNd
0
3
15
🎙️#HRS2025 in-booth presentation with Drs. Frank Cuoco, @senthil_dorai & @MohitTuragam. Loved hearing their experiences with #LAAO devices & why they continue to choose our #Amplatzer #Amulet LAA Occluder. Important Safety Info: https://t.co/MurSZSaqkI
https://t.co/afLObXSjE0
1
1
7
🧑🎓All #EPeeps – Wednesday Morning, So Here we go with #2 (no particular order) of the Top 10-cited JHRM @Heartrhythm articles of 2024 *Next up is an exhaustive analysis of #PFA for #AFAblation by my good friend and all-round EP superstar @DhirajGuptaBHRS ** Cost, efficiency,
1
8
25
To those who want to know more about the Lancet commission: What is a Lancet commission? How are Lancet commissions achieved? What drives a Lancet commission? @TheLancet @ACCinTouch #ACC25 @JACCJournals @hmkyale @rallamee @Justine_Turco @docHJ @HeartOTXHeartMD @Stanley_Liu_MD
0
1
10
What better than music 🎶 - began the day at #ACC25 with an awesome band!! 👏 👏 @ACCinTouch @CathieBiga @ditchhaporia @MansiOberoi7 @asimshabbir54 @jadhav_pree @MohitTuragam
1
4
12
Congrats 🎉 to these amazing leaders for being recognized for their work & contributions to the cardiology space! #CRFPulseGala2024 Mariell Jessup-Pulse Setter Crusader Michael A. Mussallem-Pulse Setter Leader Peter Fitzgerald-Pulse Setter Trailblazer https://t.co/uJX6dV9mgT
1
5
23
Ischemic Stroke Severity and Mortality After Left Atrial Appendage Closure vs Non-warfarin Oral Anticoagulants in Patients with Prior Stroke @vivekreddymd @mohitturagam
https://t.co/2lbKAGeqwY
0
5
7
🌟 📌 Welcome to today's Inaugural Day 4 – RIO-US Focus, spotlighting innovations in the U.S.🌟 🕒 Time: 9 AM - 3 PM EST - ALL Virtual and FREE Day 4 Agenda https://t.co/Qu7dlBu8KE Join us today for another exciting lineup of case demonstrations, expert discussions, and
1
7
17
It was a fantastic day of discussions at the second annual LAAO Summit with @cellisvandyep and an incredible group of faculty. Collaboration between EP, structural IC, and structural imaging specialists is essential for advancing this platform. @AbbottCardio @Siddmann
3
4
33
Please don’t miss this. We need to talk about how hard our job is, stressors in the system that affect us, and how to keep ourselves happy and healthy. Oct 1! @SCAI
@SCAI WELLNESS webinar series coming to you starting October 1st!! Hear it from many busy ICs about how they keep wellness intact despite busy careers saving patients’ lives!! @Allison_Dupont @SrihariNaiduMD @HadyLichaaMD @dcscant @SNIqbal_MD @Herms2James
https://t.co/4zaizJXLZa
1
10
22
🚨Latest #FreeRead Article in @JICE_EP Catheter Ablation for Atrial Fibrillation in Patients with Prior LAAO devices 🧐📖 https://t.co/4bFTG8NeBM
@jkewcharoen, @drkuldeep_shah, @rahul3000, @TahmeedC, Davendra Ramsingh, @MohitTuragam, Ravi Mandapati, @DJ_Lakkireddy &
0
8
13
🫀Recanalized LA appendage after surgical ligation + bioprosthetic MVR 🫀LAA emptying velocity 3.2 m/sec, PG across recanalized LAA 42 mm Hg 🫀Similar examples in your labs? @iamritu
@echo_stepbystep
@WilliamZoghbi
@DavidWienerMD
@argulian
@ZainAsadEP
@sudarshanballa
3
11
31
Join the #Osmania #Gandhi #Kakatiya, and #Telangana Medical Association (#OGKTMA) annual convention in September in Orlando!! President Vinay Katukuri and his wife Neelima Katukuri are dear friends and great hosts!!! Link to agenda—> https://t.co/h8ret7BMBR
0
1
5
AF Ablation Using a Novel “Single-Shot” Map-and-Ablate Spherical Array Pulsed Field Ablation Catheter: 1-Year Outcomes of the First-in-Human PULSE-EU Trial @vivekreddymd @mohitturagam
https://t.co/alA0RLQ3e3
heartrhythmjournal.com
During pulsed field ablation (PFA), electrode-tissue proximity optimizes lesion quality. A novel “single-shot” map-and-ablate spherical multielectrode PFA array catheter that is able to verify...
0
7
28
The MANIFEST-17K study, largest registry of PFA, is now published in Nature Medicine! Congratulations to the entire MANIFEST-17k consortium for their contributions to this momentous study! @VivekReddyMD @MohitTuragam
https://t.co/E0B8qy4ttW
nature.com
Nature Medicine - In a post-approval study including more than 17,000 patients on the safety of pulsed field ablation, a new method for treatment of atrial fibrillation, the procedure was found to...
2
13
39
Dr. Samin Sharma shares “Top 10 clinical trials of coronary interventions 2023-24”!! #CCC2024 @Drroxmehran @adityadoc1 @ditchhaporia @DLBHATTMD @HeartBobH @MohitTuragam @SCAI @scaiwin @DrAnkitKPatel @GilbertTangMD @KHERA_MD @poojaotherwise @pkothapalliMD @DrMarthaGulati @dcscant
3
16
43
#CCC (Complex Coronary Cases)2024 symposium being kicked off by Drs. @Drroxmehran #SaminSharma & #AnnapurnaKini! #MarriottMarquis #NYC @adityadoc1 @MohitTuragam @ditchhaporia @HeartBobH @DrAnkitKPatel @DLBHATTMD #CardioTwitter #ACCEarlyCareer #ACCWIC #ACCFIT #ACCIC #Cardiotwitter
0
3
19
Immediately following the #LBCT presentation, #HRStv host @JCZerpa sat down with @MohitTuragam, to discuss Safety and Effectiveness of Pulsed Field Ablation for Atrial Fibrillation in Patients with Heart Failure: A MANIFEST-PF Registry Sub-analysis. See the full interview here ➡️
0
7
8
Congratulations @MohitTuragam on an exceptional late breaker presentation on the MANIFEST PF heart failure subanalysis at #HRS2024
0
4
14