GilbertTangMD Profile Banner
Dr. Gilbert Tang Profile
Dr. Gilbert Tang

@GilbertTangMD

Followers
12K
Following
14K
Media
1K
Statuses
6K

Interventional cardiac surgeon sharing the latest developments in transcatheter valve therapy; Leader; Educator. Editor-in-Chief #JACCCaseReports

New York
Joined June 2012
Don't wanna be here? Send us removal request.
@GilbertTangMD
Dr. Gilbert Tang
20 hours
JUST OUT following my series of #Tricuspid posts! Our @JAMACardio review on Contemporary Management of #TricuspidRegurgitation included the latest evidence on medical, surgical and transcatheter treatment. Congrats @benjisalter @kentso987 for leading the effort along with all
0
6
30
@GilbertTangMD
Dr. Gilbert Tang
1 day
A heartfelt thank you 🫶🏼🙏🏼to all our editors, reviewers, staff and esp authors for making #JACCCaseReports @JACCJournals a huge success in 2025. Our submissions and publications ⬆️ 150%, now the only @JACCJournals journal other than #JACC to publish weekly, represent 94+
@JACCJournals
JACC Journals
1 day
#JACCCaseReports Editor-in-Chief Dr. @GilbertTangMD extends his gratitude to our editorial board, authors, reviewers, staff, and readers, and we look forward to a wonderful holiday season ahead!
4
3
23
@teslaenergy
Tesla Energy
2 days
Stay ready for outages with Powerwall and Storm Watch during extreme weather.
0
37
235
@GilbertTangMD
Dr. Gilbert Tang
1 day
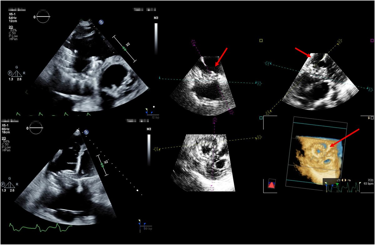
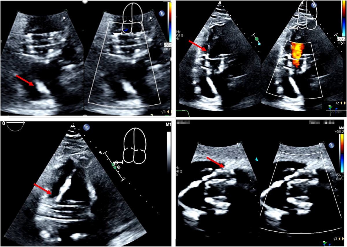
JUST OUT on actual ANATOMIC visualization of the 5-type morphological classification of #TricuspidValve anatomy published previously by @hahn_rt et al, now correlated with #Echo #TEE and schematic by @juliendreyfus1 et al. in #JACCIMG @JACCJournals . A MUST-READ and print-out
0
53
135
@GilbertTangMD
Dr. Gilbert Tang
1 day
0
0
2
@GilbertTangMD
Dr. Gilbert Tang
1 day
1
0
1
@GilbertTangMD
Dr. Gilbert Tang
1 day
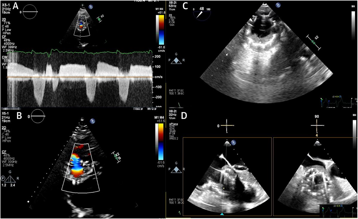
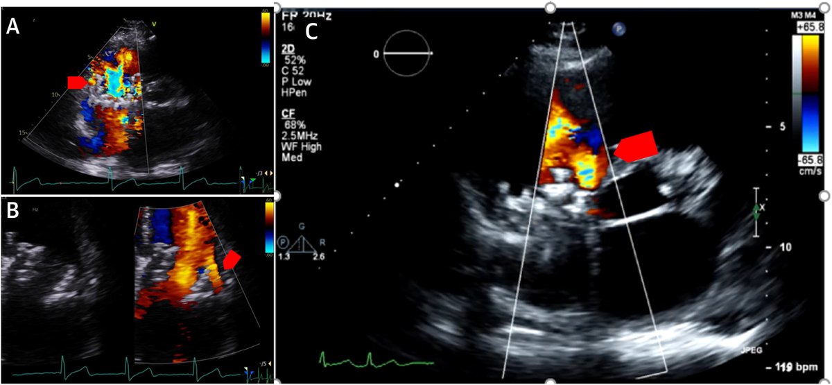
FANTASTIC MUST-READ #JACCIMG @JACCJournals SOTA review on Post #Evoque #TTVR Echo #TTE imaging. Comprehensive, practical! Download full paper here FREE for a LIMITED TIME! https://t.co/lfhJ0khJAw https://t.co/DgyCXnMOOF
1
18
51
@GilbertTangMD
Dr. Gilbert Tang
2 days
Welcome to our November 26 issue of #JACCCaseReports in @JACCJournals. https://t.co/4acX848Orp Full PDF here: https://t.co/GLjZ0ebM6Q A Heartfelt Thank You to Our Editorial Board and Reviewers! https://t.co/NsdyiV3gBf @MinnowWalsh @DeeDeeWangMD @hmkyale @Justine_Turco
Tweet card summary image
jacc.org
1
6
9
@GilbertTangMD
Dr. Gilbert Tang
2 days
2 weeks left to join our #NYTVS @NytvL on Thursday 12/11 @MountSinaiHeart @MountSinaiNYC @IcahnMountSinai. Experience 9 live cases, world-class faculty lectures, discussions and debates. REGISTER HERE NOW! https://t.co/A10ne28ewA @DoctorKini @KHERA_MD @StamatiosLerakis @LucySafi
0
4
14
@KiniThinkTank
KiniThinkTank
4 days
#KiniThinkTank is proud to share that Andriy Vengrenyuk presented “Utilizing an AI-assisted virtual agent for pre-procedural patient calling in the cardiac cath lab,” at the first-ever ESC Digital & AI Summit in Berlin and selected as the best moderated poster in its session.
1
5
5
@GilbertTangMD
Dr. Gilbert Tang
5 days
Congrats @AndriyVengrenyuk representing @DoctorKini #KTT @KiniThinkTank @MountSinaiHeart @MountSinaiNYC @IcahnMountSinai winning the best moderated ePoster session at the @escardio Digital and AI summit in Berlin on #Sofiya and AI guided enhancement in patient experience in
0
3
12
@GilbertTangMD
Dr. Gilbert Tang
6 days
Mild PVL after #TAVR is NO LONGER acceptable, especially in low/intermediate risk and younger patients. In #JACCINT @JACCJournals the OCEAN-TAVI registry showed long-term higher mortality and TAV failure even with mild PVL. Minimizing PVL when safe should be routine now. 2
2
41
130
@GilbertTangMD
Dr. Gilbert Tang
6 days
0
2
4
@GilbertTangMD
Dr. Gilbert Tang
6 days
0
0
0
@GilbertTangMD
Dr. Gilbert Tang
6 days
Outstanding 11/10 issue of #JACCINT @JACCJournals on #Tricuspid and #Mitral transcatheter interventions including M-TEER, T-TEER, #TMVR, #TTVRR, including #AltaValve 6m EFS outcomes, conduction disturbance mechanism post #TTVR, 3D annular changes post T-TEER, L and R heart
2
12
38
@GilbertTangMD
Dr. Gilbert Tang
9 days
Welcome to our November 19 issue of #JACCCaseReports in @JACCJournals. https://t.co/4acX848Orp Full PDF here: https://t.co/TiFiHnFsd6 @MinnowWalsh @DeeDeeWangMD @hmkyale @Justine_Turco Coronary, Peripheral and Structural Interventions Multivalvular Disease: A Call for
Tweet card summary image
jacc.org
0
5
17
@CircIntv
CircInterventions
12 days
Single TriClip Steerable Guide for Combined MitraClip and TriClip Transcatheter Edge-to-Edge Repair (STric-TEER): A Multicenter Registry presented @PCRonline #PCRLV and published simultaneously @AlexLee_MD @GilbertTangMD @EuroInterventio #EuroPCR https://t.co/biXFPaurrd
0
13
28