realarainmd Profile Banner
Salman Arain Profile
Salman Arain

@realarainmd

Followers
2K
Following
3K
Media
667
Statuses
4K

Interventional Cardiologist | Fellowship Program Director | CTO + CHIP enthusiast | CLI | PAD | Intravascular Imaging

Houston, TX
Joined November 2024
Don't wanna be here? Send us removal request.
@realarainmd
Salman Arain
1 year
The Contrast Modulation revolution is here! I made this account to spread the word and share my experiences with this exciting and often misunderstood technique. It is NOT an alternative to conventional CTO PCI - but an adjunct. Please comment, critique, share! #contrast1st #HDR
2
12
64
@LAzzaliniMD
Lorenzo Azzalini
1 day
🗞️ Hot off the press: #STAR trial First randomized controlled trial comparing two different technical strategies in #CTO #PCI https://t.co/ufJNmNbO2e
15
29
74
@saraceciliamtz
Sara C. Martinez MD PhD
1 day
@realarainmd @stefan_harb I think inc NO/cGMP production may become a standard rx after these neointimal creations for the ❤️‍🩹 healing. Promote neo-endothelial function, decrease athero. Prolly why cardiac rehab/exerc works. Prolly why PDE5i decreases MACE. So fascinating.
1
1
4
@realarainmd
Salman Arain
2 days
Here is the rationale behind CB facilitated STAR. Be sure to read the post by @saraceciliamtz!
@realarainmd
Salman Arain
2 days
@saraceciliamtz Thank you Sara! Another rabbit hole to explore. 😀 Two experiences convinced me that arteries heal remarkably well once the atherosclerotic core is peeled from the adventitia: 1.A coronary endarterectomy video by @stefan_harb 2.Seeing branches re-enter the neo-lumen on f/u IVUS
1
1
5
@realarainmd
Salman Arain
2 days
@SripalBangalore @aspergian1 @stefan_harb @MauroCarlino3 @melsharabasssy @SarahFairley7 @KateKearney4 @A_B_Hall @esbrilakis @evandrofilhobr @rajivxgulati @mornei2011 @MichaelMegalyMD @DrBIqbal @Hragy @mmamas1973 @sbrugaletta @Laserrman @jedicath @SKuramitsu0511 @abadkhan2002 @DrSiyabMD I think one can identify 4 phenotypes based on symptomatic improvement. So for early (1 wk) and late (6 wk) f/u, here is a reasonable scheme: A. Yes + yes - no angio B. Yes + no - angio (or PET?) C. No + yes - no angio D. No + no - angio (or re-evaluate etiology of symptoms).
0
1
2
@realarainmd
Salman Arain
2 days
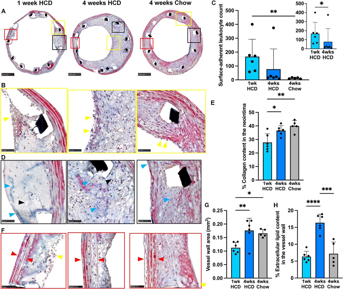
Fascinating figures from the paper! 🔑Human atherosclerosis models are hard to replicate in animals - neoatherosclerosis even more so. Late (>2 yrs) PCI “stent failure” is the Achilles heel of DES PCI. This dataset may help crack the code and come up with better solutions.
0
0
2
@realarainmd
Salman Arain
2 days
Simply brilliant stuff! I am mind blown at the technique as much as the findings. Thank you @Hragy for pointing me in this direction! Development of a Novel Murine Model of In‐Stent Neoatherosclerosis | Journal of the American Heart Association https://t.co/QFkzowwbbW
Tweet card summary image
ahajournals.org
1
1
5
@realarainmd
Salman Arain
2 days
Should asymptomatic or mildly symptomatic patients be scheduled for a repeat angio after ‘clinically successful’ STAR? 🤔 In light of INVEST CTO, our experience with STAR, and now CB facilitated STAR, the answer may well be no! An excellent question by @aspergian1! My thoughts
@aspergian1
Jack Hall
2 days
@realarainmd @stefan_harb @MauroCarlino3 @melsharabasssy @SarahFairley7 @KateKearney4 @A_B_Hall @SripalBangalore @esbrilakis @evandrofilhobr @rajivxgulati @mornei2011 @MichaelMegalyMD @DrBIqbal @Hragy @mmamas1973 @sbrugaletta @Laserrman @jedicath @SKuramitsu0511 @abadkhan2002 @DrSiyabMD Just playing the devil's advocate here: a medically refractory symptomatic patient w a CTO undergoes this procedure with similar result. They are now symptom free. Why the re-look? Why not continue following them and re-look with intent to stent if/when they become symptomatic?
1
0
4
@realarainmd
Salman Arain
2 days
The Neo Lumen. Here is the IVUS 8 weeks after the initial modification. You can see the 3 channels: 1. TL remnant 2. Healed EP track 3. Partially healed dissection plane (location?) The combined areas greatly exceed that of the CTO!
0
0
1
@realarainmd
Salman Arain
2 days
@LAzzaliniMD The mechanisms underlying this phenomenon have not been defined - but I believe they are the same ones that underlie healing after coronary endarterectomy! 🤯
0
0
1
@realarainmd
Salman Arain
2 days
The formation of a double barrel ‘neo lumen’ HAS been described by @LAzzaliniMD et al. In fact, that is where I first learned that it is possible for the vessel wall to heal in this particular way. We have seen this in both CTOs and non-CTOs after CBA! From Lorenzo’s paper…
2
0
3
@realarainmd
Salman Arain
2 days
@stefan_harb @MauroCarlino3 @melsharabasssy @SarahFairley7 @KateKearney4 @A_B_Hall @SripalBangalore @esbrilakis @evandrofilhobr @rajivxgulati @mornei2011 @MichaelMegalyMD @DrBIqbal @Hragy @mmamas1973 @sbrugaletta @Laserrman @jedicath @SKuramitsu0511 @abadkhan2002 @DrSiyabMD Post Script. Here are two great papers that have allowed me to develop my philosophy of CB facilitated STAR. Read them! So many brilliant minds on these papers! 🤩 It’s a privilege to know many of them personally. https://t.co/JjATba62bD https://t.co/ed5nYdQIPj
2
2
10
@realarainmd
Salman Arain
2 days
What do we do differently?Simple - we dissect! More specifically, we perform cutting balloon PTA of the entire CTO! Use of IVUS is mandatory. This supports my belief that ALL dissected vessels heal - as long as flow is maintained! And just like that, a new STAR is born! 🤩🙏🏼
3
0
9
@realarainmd
Salman Arain
2 days
This is not the first time I have seen this. In fact, this is the desired outcome after every #CTOPCI that ends with a STAR. The pt. came to clinic for a 4 month follow up. She is completely angina free.😀 Here is the PET scan from last week! No inducible ischemia!
1
0
4
@realarainmd
Salman Arain
2 days
Here is the IVUS - one of the more notable one. It shows the various types of healing that can take place after STAR. The two that haven’t been described are formation of a lotus root and TL regression with formation of a new(!) channel.
3
0
9
@realarainmd
Salman Arain
2 days
The patient came back at 4 weeks with marked improvement in her symptoms. We scheduled her for a relook and definitive treatment with DES. This is the follow up angio! 😳 We performed IVUS and ended up treating the proximal stent by dilating it more.
1
0
4
@realarainmd
Salman Arain
2 days
A New (Kind Of) STAR Is Born! 48 year old woman with prior IWMI (@ age 36!) → Class II angina on OMT. Stress abnormal in the RCA distribution. CAG revealed RCA IS-CTO. Partner attempted #HDR unsuccessfully, and we ended up doing STAR + CB investment. What to do next?
2
5
38
@realarainmd
Salman Arain
5 days
Sunday Morning Musings - On Dissections #3 But what are we looking for on IVI? Here is what I seek - Sufficient Ca fractures - Dissections into the media - Lumen gain (30% or more) - Most important - NO IMH! SCAD is proof that even large dissections heal. The problem there
2
0
10
@realarainmd
Salman Arain
5 days
Sunday Morning Musings - On Dissections #2 Dissections that end in a pouch lead to IMH. 👉🏼 The problem with POBA is not that we dissect, but we don’t dissect enough! The solution may be the use of a CB to initiate the dissection + IVI to confirm it. https://t.co/XXpr9avX0s
1
0
5