parnian_habibi Profile Banner
Parnian habibi Profile
Parnian habibi

@parnian_habibi

Followers
62
Following
391
Media
2
Statuses
17

M.D.

Rochester
Joined April 2023
Don't wanna be here? Send us removal request.
@TheAJNR
AJNR
20 days
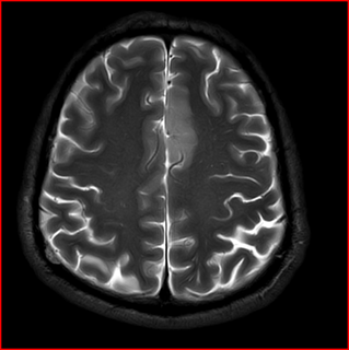
#AJNRcc >> October 30, 2025 >> What is the diagnosis for this 46-year-old man with seizures for more than 2 months. Submit your answer at https://t.co/FSqHPsLbMs.
5
15
84
@gelarehzadeh
gelareh-zadeh
20 days
We are recruiting to this study #GBM #BrainTumors A simple concept based on @mayoclinic #Platform showing benefits of monitoring & managing #sugar @MayoClinicNeuro
@gelarehzadeh
gelareh-zadeh
2 months
We are excited to be recruiting to a new clinical trial for #glioblastoma #GBM #braintumor available @MayoClinic @MayoClinicNeuro Testing whether regulating & monitoring #glucose #sugar does improve survival Simple #clinicaltrial #design
2
5
33
@parnian_habibi
Parnian habibi
23 days
You’re looking at a sellar/suprasellar mass with calcification and think, it must be craniopharyngioma. But it’s time to pause. Our @iantmark study found that 22% of pathology-proven giant pituitary macroadenomas showed peripheral calcifications on CT. https://t.co/FaORrDaPM3
ajnr.org
BACKGROUND AND PURPOSE: Large sellar/suprasellar masses containing calcifications are classically associated with craniopharyngiomas. In our practice, however, we have noticed that some giant...
1
0
10
@sara_salehi_MD
sara salehi MD.
1 month
When Radiology meets Agentic AI ,the real question becomes: Who’s ethically in charge? Our new paper dives into the ethics behind multi-agent AI systems: https://t.co/QTxbHxHDg5 My amazing coauthors @yashbir143 @parnian_habibi, and my mentor @Slowvak @MayoAILab @MDPIOpenAccess
Tweet card summary image
mdpi.com
Radiology is undergoing a paradigm shift from traditional single-function AI systems to sophisticated multi-agent networks capable of autonomous reasoning, coordinated decision-making, and adaptive...
3
8
23
@parnian_habibi
Parnian habibi
1 month
Today Dr. Waleed Brinjikji shared the fascinating story of how the idea of embolization for spinal CSF-venous fistulas first came about. It’s inspiring to work at Mayo Clinic, where pioneering innovations in CSF leak care continue to take shape.@MayoRadiology
0
1
18
@parnian_habibi
Parnian habibi
2 months
Excited to share our new Cell paper! 🧠 Using proteomics + computational modeling, we reveal how neuron–glia communication breaks down in Alzheimer’s and identify AHNAK as a potential driver. Happy to be a part of this collaborative effort!
@CellCellPress
Cell
2 months
Now online! Multiscale proteomic modeling reveals protein networks driving Alzheimer’s disease pathogenesis
2
0
6
@parnian_habibi
Parnian habibi
2 months
Took a break from ERAS application and spend a day building a house together. A reminder of the strength of teamwork and the joy of creating something lasting!🏡🏡 @MayoClinic .
@sara_salehi_MD
sara salehi MD.
2 months
The beauty of building a home lies in the sweat, the vision, and the pride at the end. Grateful to have been part of this journey! Thanks to @tworivershfh and @MayoClinic for this chance to create!
0
0
6
@learnneurorad
Divya Gunda
2 months
@iantmark, previous William T Hanafee Grant Award winner, illustrating the use of photon counting CT for challenging pituitary cases. @ASHNRSociety #ASHNR25
0
5
15
@parnian_habibi
Parnian habibi
2 months
Excited to share our latest publication in AJNR✨
@iantmark
Ian Mark
2 months
@parnian_habibi inaugural member of the #MarkLab studying #SIH #CSFLeaks with important work to highlight the challenges in diagnosis @MayoRadiology @issclsociety @csfleakinfo https://t.co/E9sLx9fv11
0
2
7
@insunchong
Insun Chong, MD
2 months
Check out the innovative work one of my neurosurgery colleagues, Dr. Meng Huang, is doing to advance minimally invasive spinal #CSFleak repairs! https://t.co/SNfmWnQBUk @MethodistHosp @HMNeurosurgery @spinalCSFleak
0
6
9
@parnian_habibi
Parnian habibi
3 months
MRI in spinal CSF leak often shows brain sagging, a finding that is frequently overlooked. Here, I depicted human-like creatures formed from CSF leaks, pulling the brain downward and causing sagging, which results in mammillopontine narrowing and cerebellar tonsil herniation.
@iantmark
Ian Mark
3 months
0
1
16
@parnian_habibi
Parnian habibi
4 months
🎉 Exciting News! 🎉 I'll be presenting at RSNA 2025! Ready to see you in Chicago! #RSNA25 https://t.co/fx9yFk2OLl
1
0
32
@iantmark
Ian Mark
6 months
1
19
56