Explore tweets tagged as #AJNRcc
@TheAJNR
AJNR
1 day
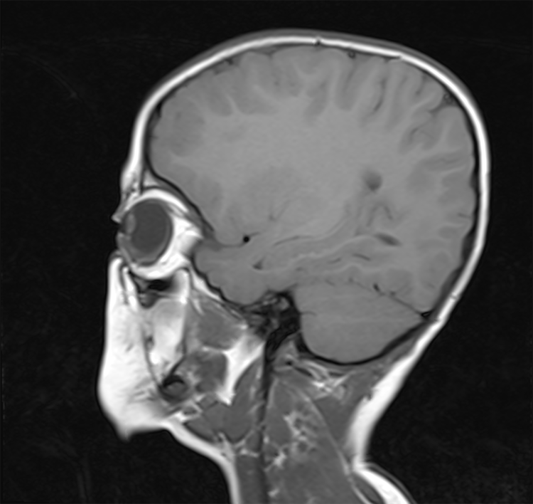
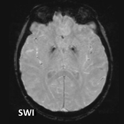
#AJNRcc >> November 20, 2025 >> What is the diagnosis for this 22-year-old woman with an insidious onset of diplopia, left ophthalmoparesis, trismus, and a history of root canal treatment with persistent left facial pain for 2 years. Submit your answer at https://t.co/L2j0hK0RCd.
1
4
27
@TheAJNR
AJNR
1 year
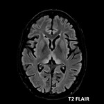
#AJNRcc >> July 22, 2024 >> What is the diagnosis for this 29-year-old pregnant woman with a 2-month history of hyperemesis gravidarum with sudden confusion, vision blurring, and altered consciousness over past 5 days? Submit your answer at https://t.co/604tEQiFye.
5
14
65
@TheAJNR
AJNR
22 days
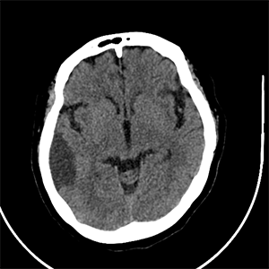
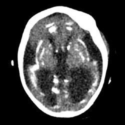
#AJNRcc >> October 30, 2025 >> What is the diagnosis for this 46-year-old man with seizures for more than 2 months. Submit your answer at https://t.co/FSqHPsLbMs.
5
15
84
@TheAJNR
AJNR
1 year
#AJNRcc >> November 11, 2024 >> What is the diagnosis for this 54-year-old woman admitted for paresthesia of the lower limbs with laboratory tests revealing an HIV infection? Submit your answer at https://t.co/6aANs07WZ8.
4
14
71
@TheAJNR
AJNR
1 year
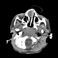
#AJNRcc >> September 23, 2024 >> What is the diagnosis for this 8-month-old infant with unilateral nasal obstruction? Submit your answer at https://t.co/Fh36yRvDdu.
0
9
23
@TheAJNR
AJNR
11 months
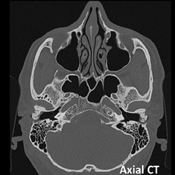
#AJNRcc >> December 23, 2024 >> What is the diagnosis for this 47 year-old man with insidious bilateral conductive hearing loss? Submit your answer at https://t.co/HMHAWnZYWF.
6
11
53
@TheAJNR
AJNR
1 year
#AJNRcc >> September 2, 2024 >> What is the diagnosis for this 5-month-old girl with microcephaly, swallowing dysfunction, and recurrent aspirations? Submit your answer at https://t.co/Kp6GpILe1k.
1
10
40
@TheAJNR
AJNR
1 year
#AJNRcc >> July 29, 2024 >> What is the diagnosis for this 82-year-old asymptomatic man who underwent lumbar catheter placement 6 hours prior to a lumbar MRI? Submit your answer at https://t.co/2nUopwIQQp.
1
6
12
@TheAJNR
AJNR
1 year
#AJNRcc >>November 4, 2024 >> What is the diagnosis for this 10-year-old child with generalized progressive dystonia, abnormal tongue movements, and swallowing disorders? Submit your answer at https://t.co/LfwAbyXayv.
2
8
31
@TheAJNR
AJNR
3 months
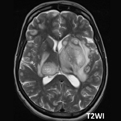
#AJNRcc >> August 22, 2025 >> What is the diagnosis for this 79-year-old woman who presents with acute onset of headache, ataxia, confusion, and dizziness for the past day? The patient has had intermittent sharp, right temporal headaches over the last few years. Submit your
1
8
36
@TheAJNR
AJNR
1 year
#AJNRcc >> September 30, 2024 >> What is the diagnosis for this 6-day-old neonate, born to consanguineous parents, with poor feeding, lethargy, and neonatal seizures? Submit your answer at https://t.co/hyvR8aYtDd.
1
6
12
@TheAJNR
AJNR
6 months
#AJNRcc >> June 9, 2025 >> What is the diagnosis for this 3-year-old boy presents with global developmental and language delay, strabismus, and optic disc congestion? Submit your answer at https://t.co/JMGSsYe4aH.
2
1
14