
AJNR
@TheAJNR
Followers
24K
Following
3K
Media
6K
Statuses
12K
The American Journal of Neuroradiology is a peer-reviewed journal focusing on diagnostic and interventional neuroradiology. Published by @TheASNR
Oak Brook, IL
Joined January 2013
@behnam_jazayeri @SNISinfo "More advanced imaging is typically used in practice to refine patient selection in the extended time window. Yet, our results suggest that beyond 6 hours, the choice of imaging technique may actually become less impactful on overall outcomes."
0
0
0
"MR Imaging versus Noncontrast CT for Selecting Patients with Acute Ischemic Stroke of Large Vessel Occlusion for Endovascular Thrombectomy: A Systematic Review and Meta-Analysis" https://t.co/i0fdGp0fZX
@behnam_jazayeri @SNISinfo #FellowsJournalClub
1
0
10
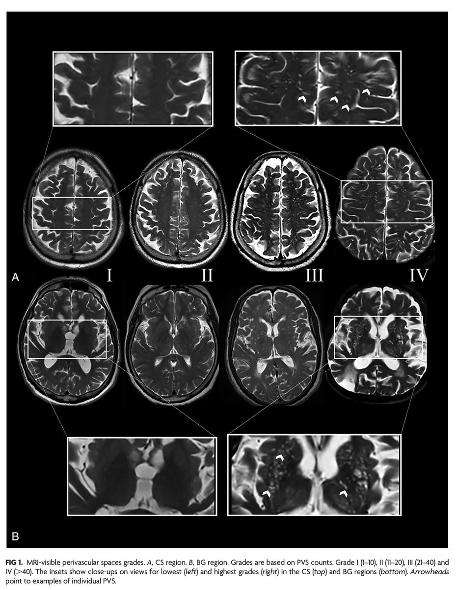
@bmcneurology "Our results indicate that an increased burden of PVS in the CS or the BG is associated with global injury of WM. There also appears to be regional effects of PVS on surrounding WM. The observations noted also would support a role for PVS as early markers of brain injury. "
0
0
1
"Association of MRI-Visible Perivascular Spaces with Early White Matter Injury" https://t.co/QUILpl4wDJ
@bmcneurology
1
6
25
@lucasabaITA "The results of our study show that Carotid Plaque-RADS can be applied to CTA imaging with a very good degree of reproducibility among readers of different levels of experience. Further studies are needed to test the interreader agreement among readers with similar experience."
0
1
2
"Carotid Plaque-RADS: Inter- and Intrareader Agreement and Learning Curve Analysis in CTA" https://t.co/T8gTEnxO18
@lucasabaITA
2
24
63
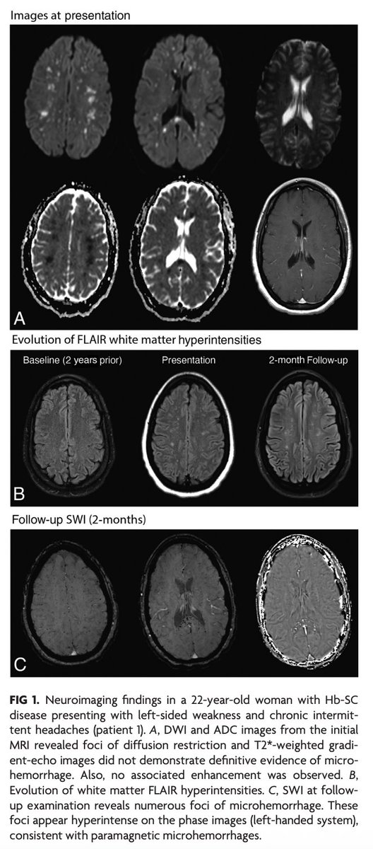
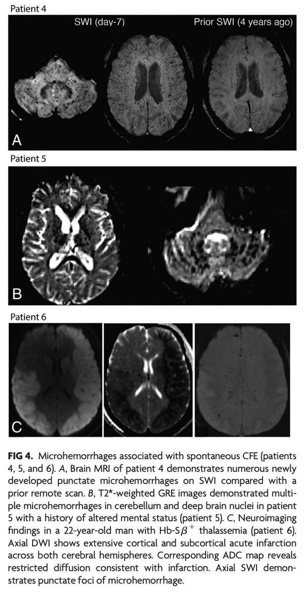
@Rshnzr @HosseiniHelia @zack4186 "CFE in sickle cell–related hemoglobinopathies is more common in complex hemoglobinopathies with otherwise milder disease course and is typically more fulminant compared with traumatic CFE. MRI findings follow a pattern with scattered foci of restricted diffusion, known as the
0
0
0
"Nontrauma-Associated Cerebral Fat Embolism Syndrome in Sickle Cell–Related Hemoglobinopathies: A Case Series and Systematic Review" https://t.co/mjcZ5AQXte
#FellowsJournalClub
@Rshnzr; @HosseiniHelia; @zack4186
2
13
41
"Histopathologic Analysis of 5 Patients with CSF-Venous Fistulas after Surgical Nerve Root Ligation and Resection" https://t.co/n5NnS669wF
@The_ASSR
2
9
24
This journal will focus on delivering high-quality, peer-reviewed, practice-oriented educational content to advance lifelong learning in neuroradiology. We warmly invite you to join one of upcoming town halls to share your thoughts and help shape this exciting initiative.
0
1
2
We are thrilled to announce the launch in early 2026 of AJNR: Clinical Practice, a new journal, as the next chapter of Neurographics within the AJNR family of journals.
1
2
8
@PennRadiology @CHOPRadiology @PennMedicine @ChildrensPhila @The_ASPNR "MVI offers a safe, convenient, noninvasive approach to neurovascular assessment that eliminates the need for ionizing radiation or sedation and positions MVI as a useful technique for screening and subsequent evaluations of neurovascular pathologies."
0
0
1
"An Atlas of Neonatal Neurovascular Imaging Anatomy as Depicted with Microvascular Imaging: The Intracranial Arteries" https://t.co/ixEobV68qC
@PennRadiology; @CHOPRadiology; @PennMedicine; @ChildrensPhila; @The_ASPNR
1
19
88
"The results of this study demonstrate neuroradiology fellowship PD consensus on interpretive volume expectations for neuroradiology fellows from 20 daily cases in the first half of the academic year increasing to 30 in the second half, corresponding with increases in fellow
0
2
4
"Expected Trainee Interpretive Volumes and Potential Threats to Neuroradiology Program Viability: A Survey of Neuroradiology Fellowship Program Directors" https://t.co/1TdCXYk4uB
ajnr.org
BACKGROUND AND PURPOSE: Nationally clinical volumes are rising, putting greater pressure on radiologists to read more and in turn jeopardizing the academic missions of many training programs. The...
1
6
6
@The_ASSR "Successful localization of CSF leaks on dynamic CT myelography requires a refined technical approach. In this video article, methods are presented to select and optimize patient position, as well as highlight potential pitfalls and strategies to augment utility in the setting of
0
4
8
"Technical Aspects of Dynamic CT Myelography: Optimizing Patient Positioning for the Detection of CSF Leaks" https://t.co/PiajYB33xj
@The_ASSR
ajnr.org
Successful localization of CSF leaks on dynamic CT myelography requires a refined technical approach. In this video article, methods are presented to select and optimize patient position, as well as...
1
14
24
"This study highlights significant functional and structural connectivity alterations within the LMN of preoperative and postoperative patients with TLE. Key findings revealed increased preoperative connectivity in the posterior cingulum and disrupted connections in memory and
0
1
3
"Language and Memory Network Alterations in Temporal Lobe Epilepsy: A Functional and Structural Connectivity Study" https://t.co/dpYYqNsZU8
1
3
8