
Max Farnworth
@max_farnworth
Followers
585
Following
7K
Media
410
Statuses
4K
Fascinated by the evolution of the brain | Senior Research Associate at EBaB lab (University of Bristol) (he/him)
Bristol, UK
Joined June 2013
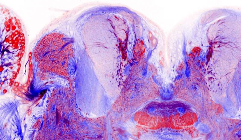
Really happy to share that our story on mosaic evolution in the internal mushroom body circuit in Heliconiini butterflies is now published @CurrentBiology. https://t.co/1tN41bt0rm
@EBaBlab #brainevolution @DZG_FG_Neurobio @neuroethology
cell.com
Farnworth et al. use anatomical and statistical means to examine how the internal circuitry of the mushroom bodies changed coincidently with a major increase in their volume in Heliconius butterfli...
6
26
76
#Ants hold a grudge – they remember who attacked them and fight back harder against those enemy colonies! Our new paper led by @bey_melanie is now published @CurrentBiology
https://t.co/Lajh6csnhi
1
9
27
Hominin brain size increase has emerged from within-species encephalization | PNAS. V pleased to be a small part of this project, led by @ThomasPuschel with Chris Venditti Samuel Nicholson and @banana__joker
pnas.org
The fact that rapid brain size increase was clearly a key aspect of human evolution has prompted many studies focusing on this phenomenon, and many...
2
13
33
tidyplots Time to say goodbye to ggplot2?🫡 "a significant reduction of code complexity" vs ggplot2 https://t.co/6wKFnRrjMn
@JanBroderEngler bioRxiv 2024 https://t.co/rqvyMsj5JK
12
308
1K
I've combined some of these together into a new #neuro #visualization "In the eye of a fly": Using the @FlyWireNews visual system wiring diagram, #Brian2 spiking #neuron simulator, and #blender. Information flow through the chiasms, across a topographic map.
1
19
75
I’m thrilled & honored to be starting a new lab @ the NIA!! 🤩🥹 The Computational & Evolutionary Neurogenomics Unit focuses on: • neurodegenerative diseases 🧓🏽 • sex-biased 🧠 aging • comparative neurobio 🐒🐁 We’re looking for postdocs! 👀 Pls RT! DM me for more info ��️
7
20
82
I've just explored the brand-new tidyplots package in R, and it’s impressive how effortlessly it enables you to create beautiful, publication-ready plots. Designed with scientific papers in mind, tidyplots lets you build, adjust, and refine plot components gradually, all with a
6
248
1K
New paper in @EvoDevo_BMC, led by @AMBLVit, on the early development of the German cockroach. Cool embryology and weird deviations from most of the well-studied insect models. Note teasers for an upcoming paper on the evolution of arthropod tagmosis. https://t.co/r1Mp0Q5Rxw
3
2
14
Trending in #Biology: https://t.co/qmOICTlHSi 1) Planktons & long-distance vertical migration (@CurrentBiology) 2) Memory skills in butterflies 3) Guard cells count environmental stimuli 4) Genetic variation: Asian elephants 5) Rangers & wildlife monitoring (@CommsBio)
0
2
7
Excited to share I will be joining @UniNeuchatel as an assistant professor early 2025. OFFER: 2 #PhDposition in the new lab. #1 is on zoo animals🐺🐒🦧 and saliva hormones, and #2 is on 🐠 cognition and brains 🧠 Deadline 20 Nov 2024 https://t.co/hMXkHATe6h Spread the word 🙏🏽
14
55
135
We are primed and ready to go for the 10-year celebration week! Our doors are open to the public from 3-6:30pm today! 🎉🥳🎉🥳🎉🥳🎉🥳🎉
0
4
14
In expansion microscopy, higher resolution is achieved by tuning the sample🦠, not the microscope. But it comes with some relevant drawbacks🤔. Learn more in our knowledge base: https://t.co/B8ra9z8RNr
#ExM #superresolution #abberiorknowledgebase #scienceexplained
0
2
9
🚀 Thrilled to announce #inTRACKtive: a web-based tool for exploring massive cell-tracking datasets, no software installation required! Just open your browser and dive into terabytes of developmental biology data. We used it to build the virtual https://t.co/gMAttbOwk1 of
3
57
201
“A species of tropical butterfly with unusually expanded brain structures displays a fascinating mosaic pattern of neural expansion linked to a cognitive innovation.” Dr. @Max_Farnworth from the @BristolUni’s School of Biological Sciences, lead author of the study, said: “We
0
3
8
Mosaic Brain Evolution Drives Learning in Tropical Butterfly Researchers have discovered that Heliconius butterflies exhibit mosaic brain evolution, where certain brain regions, particularly the mushroom bodies responsible for learning and memory, expand significantly. These
5
6
24
Thanks to two reviewers with very constructive suggestions! And congrats to Theodora for her first paper!
1
0
1
Excellent perspective on human brain evolution, by @mad_lancaster
@CellCellPress
https://t.co/y41aa1qF5t
cell.com
This perspective discusses the challenge of understanding what sets the human brain apart and proposes how the wealth of modern tools may allow for going from correlation to causation to understand...
1
11
36
Huge win. Ecuadorians have voted in a historic referendum to halt the development of all new oilwells in the Yasuní national park in the Amazon, one of the most biodiverse regions on the planet: https://t.co/u0fXL0pQZS Protect people and the planet. #ActOnClimate
31
2K
6K