
Behnas Malek F.Z
@malakbehnas
Followers
929
Following
7K
Media
77
Statuses
1K
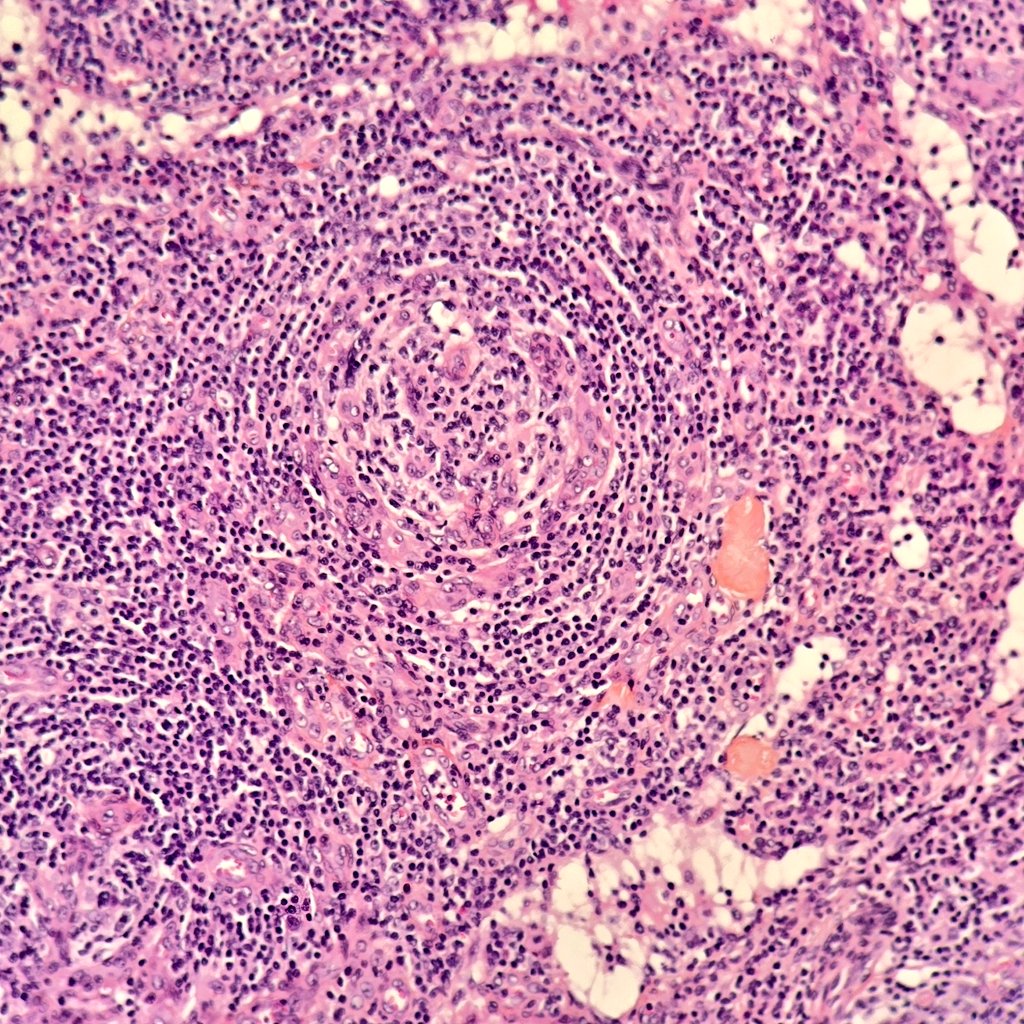
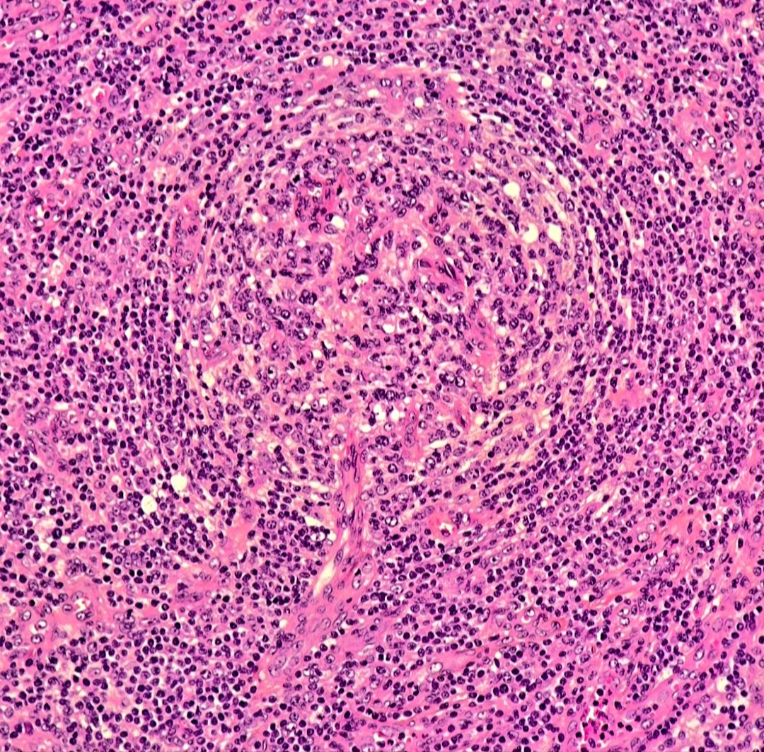
Two histological features of castleman disease : lollipop sign 🍭 (left) and onion skin appearance 🧅 (right) #xpath #pathology #PathTwitter
2
29
94
Rhabdomyoma ✨️ ▫️Rare,benign tumor of mature skeletal muscle 🔬Cells are round or polygonal with abundant eosinophilic fibrillar or granular cytoplasm with frequent cross striations No mitotic activity,no atypia 🧬+ for MyoD1,Myogenin & Desmin #Xpath #pathology #pathtwitter
0
7
31
7
28
107
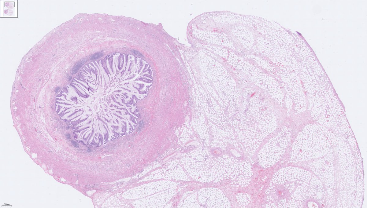
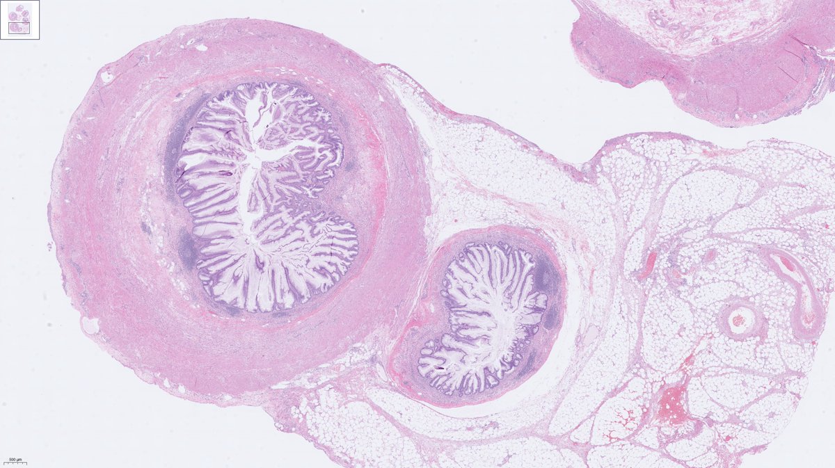
Low grade appendiceal mucinous neoplasm (LAMN) 🔬 ▫️lesion arising in appendix with low grade epithelial features & absence of infiltrative growth ▫️Often associated with: 1-atrophy of underlying lymphoid tissue 2-crypt loss 3-effacement of muscularis mucosae #GIpathology
1
33
117
🔬 LSIL ( low grade squamous intraepithelial lesion) Cervical squamous mucosa with koliocytes in the superficial upper layers with hyperchromatic nuclei, irregular nuclear membrane and perinuclear halo. #pathology #pathtwitter #pathologist
2
16
87
5
11
62
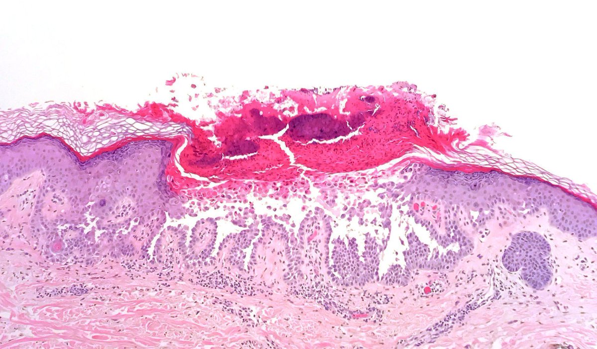
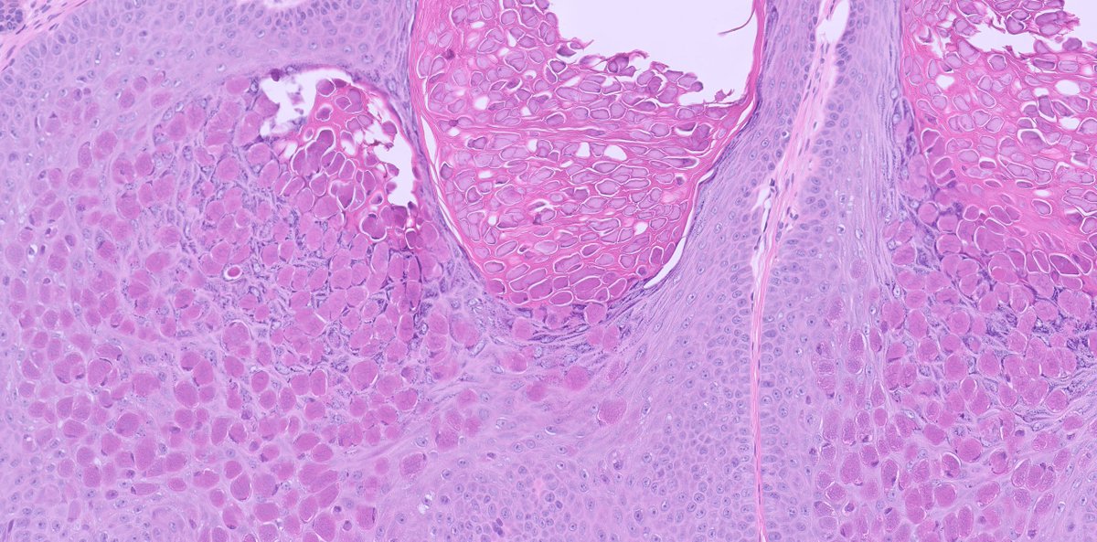
60 yo M. Multiple pruritic papules on trunk. Your diagnosis? Answer ✅ https://t.co/lFCVL1lKho More about this pattern: https://t.co/krp41giFRY
#pathology #pathTwitter #dermpath #dermatology #dermatologia #dermtwitter
0
2
10
7
29
116
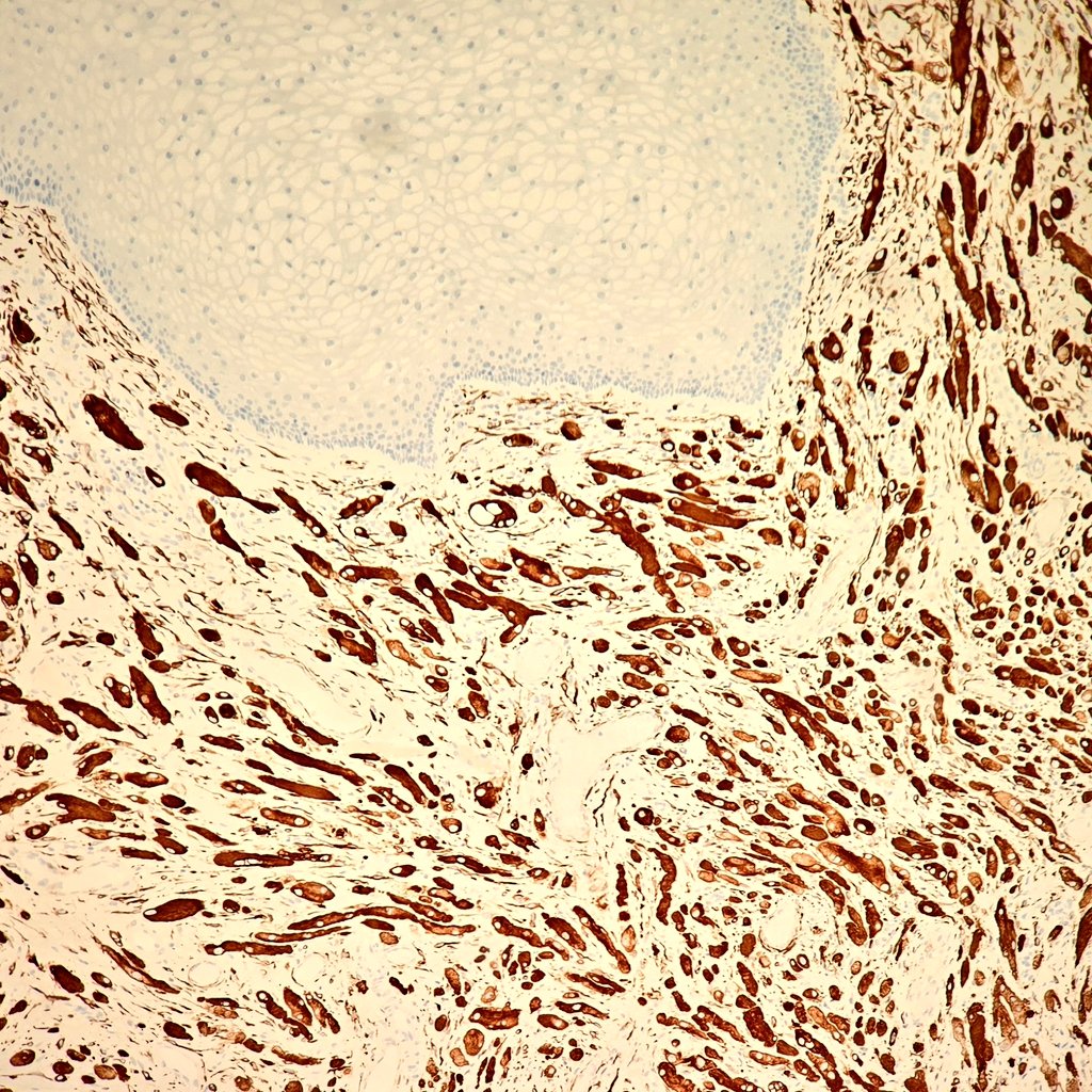
✨️Glomus tumor✨️ ▫️Well circumscribed mass composed of 3 components: glomus cells,vasculature and smooth muscle cell ▫️vessels surrounded by collars of uniform glomus cells forming nests & sheets ▫️+ for SMA,MSA,calponin, hcaldesmon,collagen type IV - for cytokeratin & S100
0
13
72
Appendicitis with an incidental serrated epithelial proliferation. The preferred terminology is "serrated polyp" rather than SSL as they have different genetics to their colonic counterparts. NB this is not LAMN as the muscularis mucosae is intact @Pathoutlines @RaulSGonzalezMD
5
32
91
BRAIN TUMORS - MOST COMMONS 1) Most common tumor of the brain: Metastasis secondary to Lungs > Breast 2) Most common primary CNS tumor: Glioma > Meningioma (1/3) #FOAMed #MedEd #MedTwitter #USMLE
#NEETPG @IhabFathiSulima #PathoPearls
6
278
1K
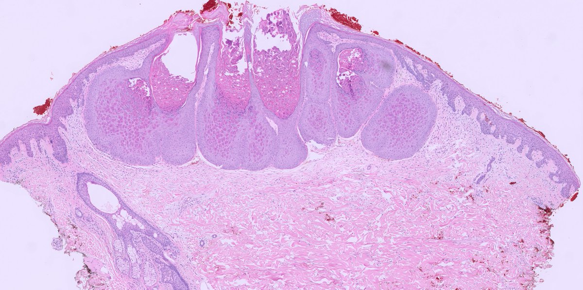
Syringocystadenoma papilliferum (SCAP) : ▫️Benign adnexal tumor ▫️cystic invaginations of the infundibular epithelium extending into the dermis with a double cell layer of inner columnar and outer cuboidal cells ▫️plasma cells are common in the stroma of each frond #dermopath
0
18
80
Le 13 octobre 2025 à 01:00 PM Paris La SFP organise un Webinaire Du test de dépistage du CCU à la biopsie diagnostique : les bonnes pratiques https://t.co/SZ4InBBWLF Ce webinaire est accessible gratuitement aux membres et juniors de la SFP à jour de cotisation, d’adhésion 2025
us02web.zoom.us
Zoom is the leader in modern enterprise video communications, with an easy, reliable cloud platform for video and audio conferencing, chat, and webinars across mobile, desktop, and room systems. Zoom...
0
4
5
Hot off the press! https://t.co/q7YHr0TlLV Thanks to @TotalCytopath @smlungpathguy and @pepeheffernan for making this happen after a long time in the pipeline!
6
19
60
18
31
146
Attention everyone! Grab 40% off on pathology services using the code PATHOLOGY. This is your chance to save! Visit https://t.co/HzBOrq4159 for details! #Pathology #Coupon #SpecialOffer
0
5
10
Hard time remembering all those #hemepath immunostains/markers? This chart by Dr. Jeanette Ramos will help! Full chart free here: https://t.co/HnptGnGjcr.
#medstudents #pathTwitter #path2path #usmle #MedStudentTwitter #MedED #medtwitter #hematology #hemeonc #lymphoma #leukemia
1
1
14
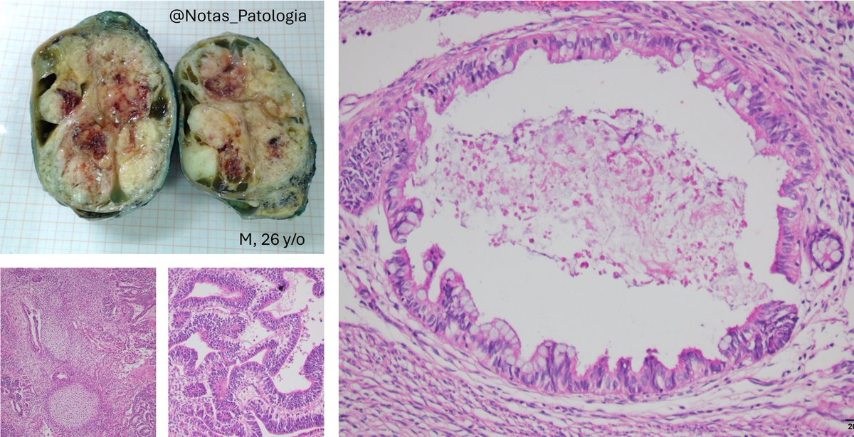
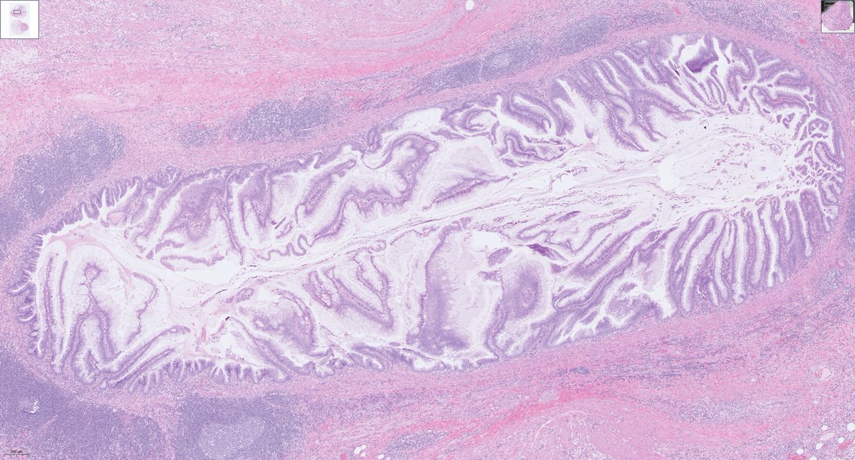
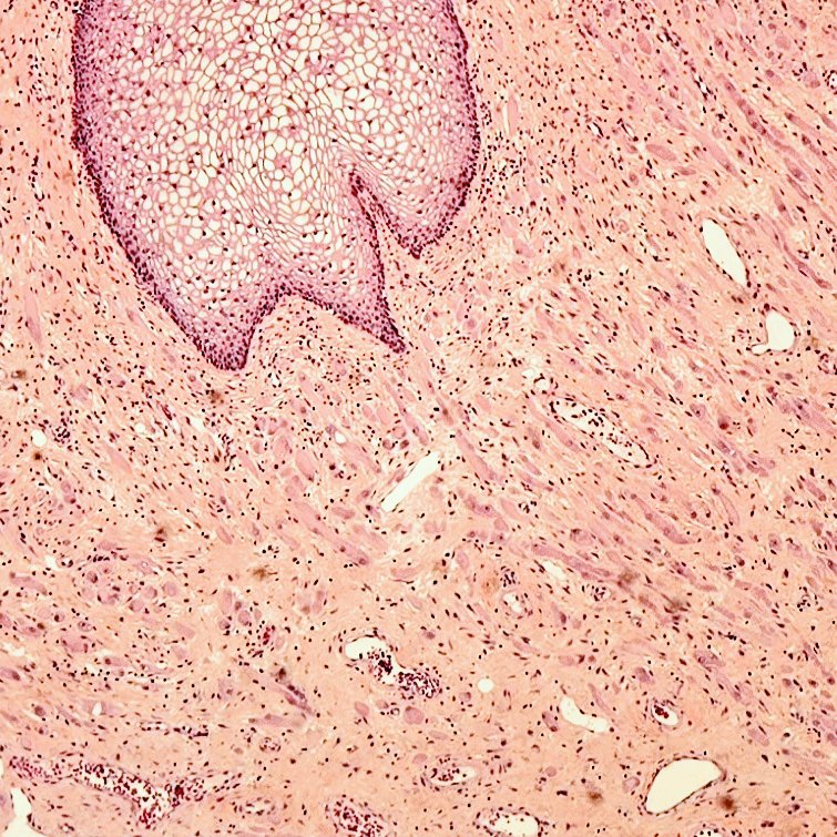
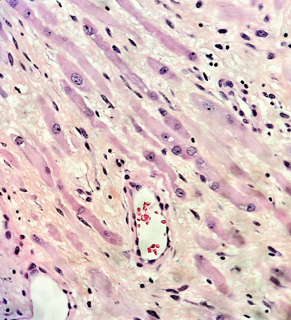
🧬 Postpubertal-Type Teratoma 📝 Definition Postpubertal-type teratoma is a malignant germ cell tumor derived from germ cell neoplasia in situ (GCNIS), composed of multiple tissue types arising from one or more germ layers (ectoderm, mesoderm, and endoderm). It may contain
2
17
50