JZRenalPath Profile Banner
Jonathan Zuckerman MD PhD Profile
Jonathan Zuckerman MD PhD

@JZRenalPath

Followers
5K
Following
6K
Media
942
Statuses
4K

Service Chief, Renal Pathology, UCLA Department of Pathology and Laboratory Medicine. Views are my own.

Los Angeles, CA
Joined July 2018
Don't wanna be here? Send us removal request.
@JZRenalPath
Jonathan Zuckerman MD PhD
3 days
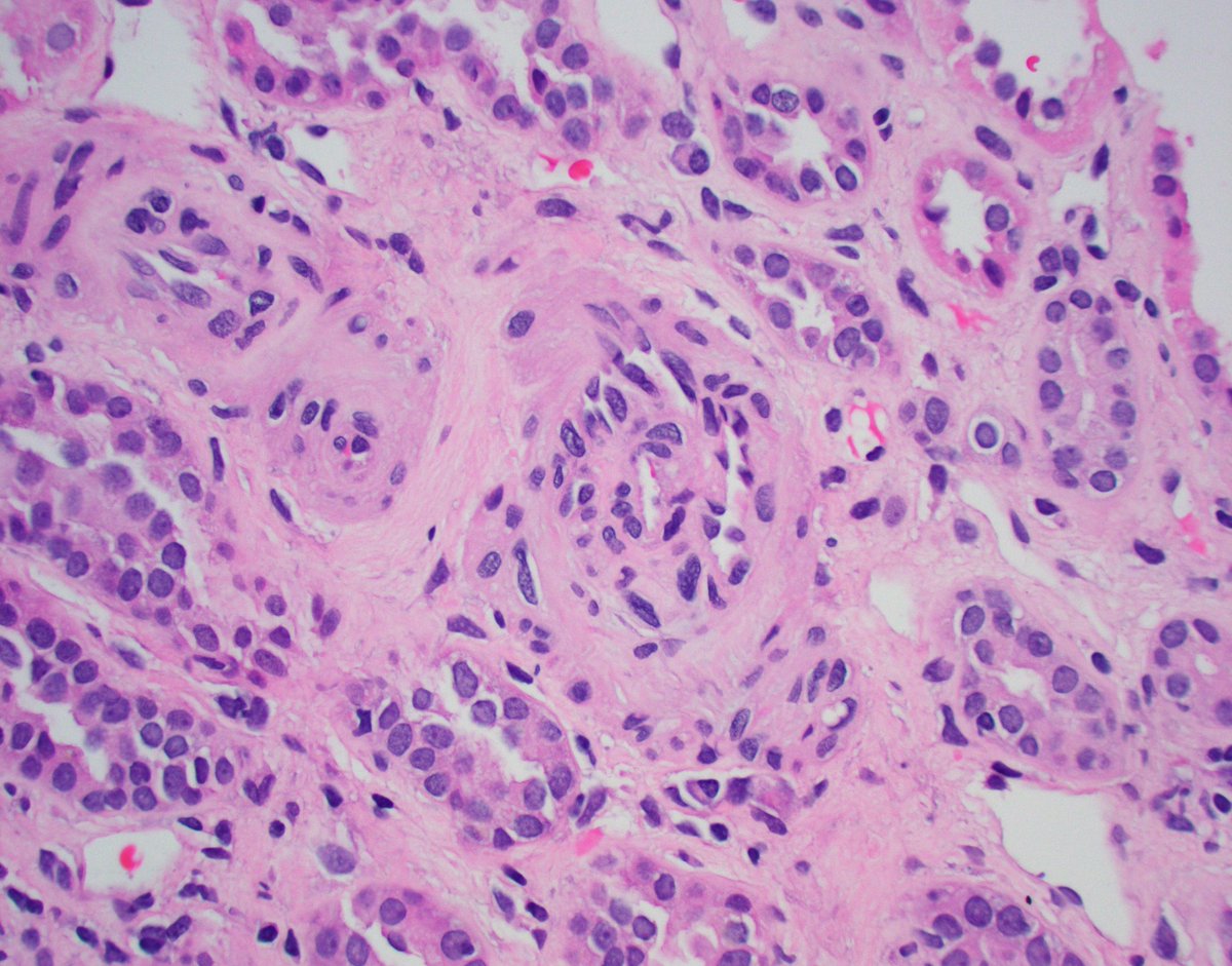
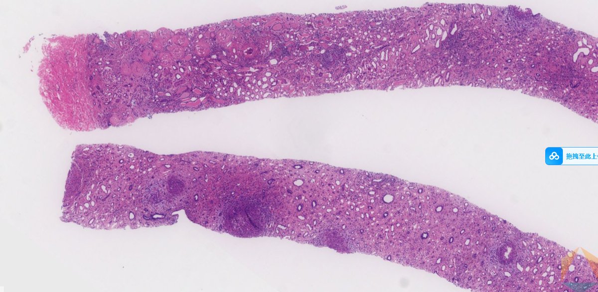
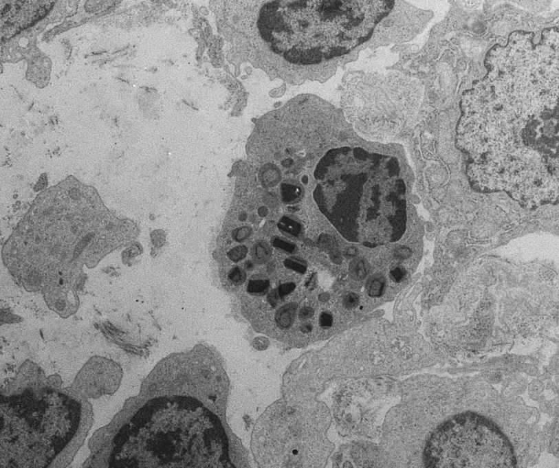
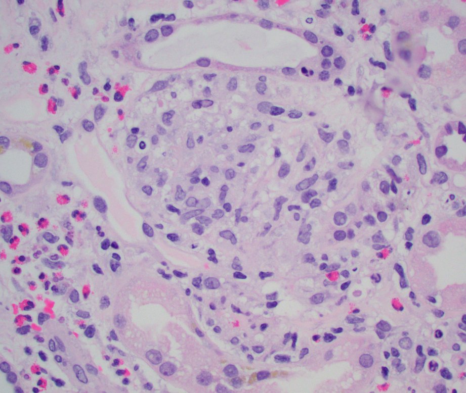
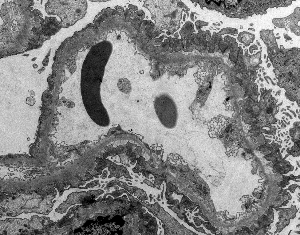
So many eosinophils in this case of tubulointerstitial nephritis secondary to recent antibiotic administration. Few tiny granulomas as well. Eos seen in EM as well. #renalpath #pathtwitter #nephrology
0
16
61
@arkanalabs
Arkana Laboratories
5 days
The picture shows tissue submitted for routine immunofluorescence (fibrinogen stain is shown). Careful inspection confirms that this is an artery cross section which contains abnormal intraluminal tissue elements with numerous cleft-like spaces (see arrow). Although no immune
0
7
32
@ChangUCanSpare
Anthony Chang, MD (張賀文)
5 days
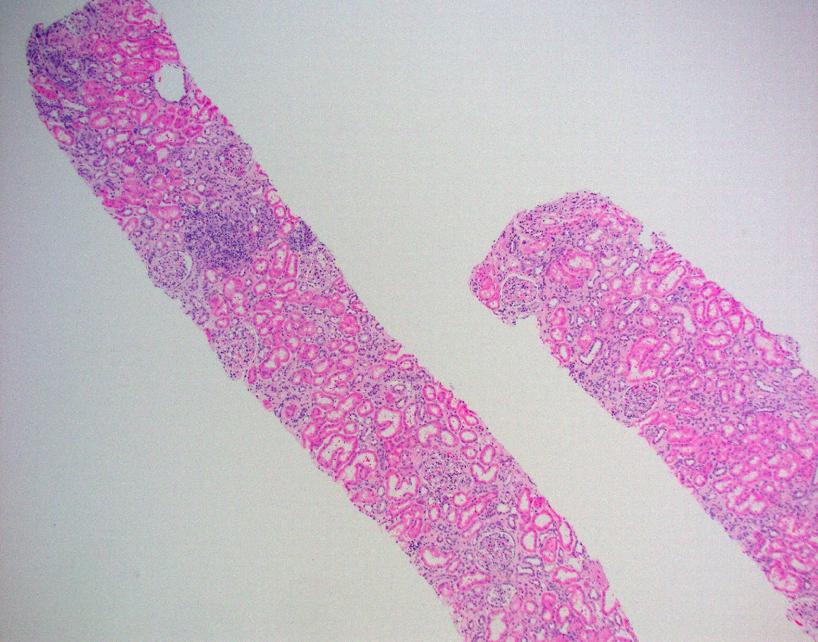
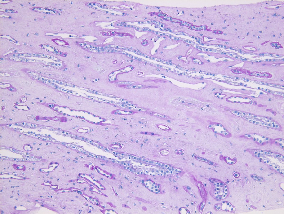
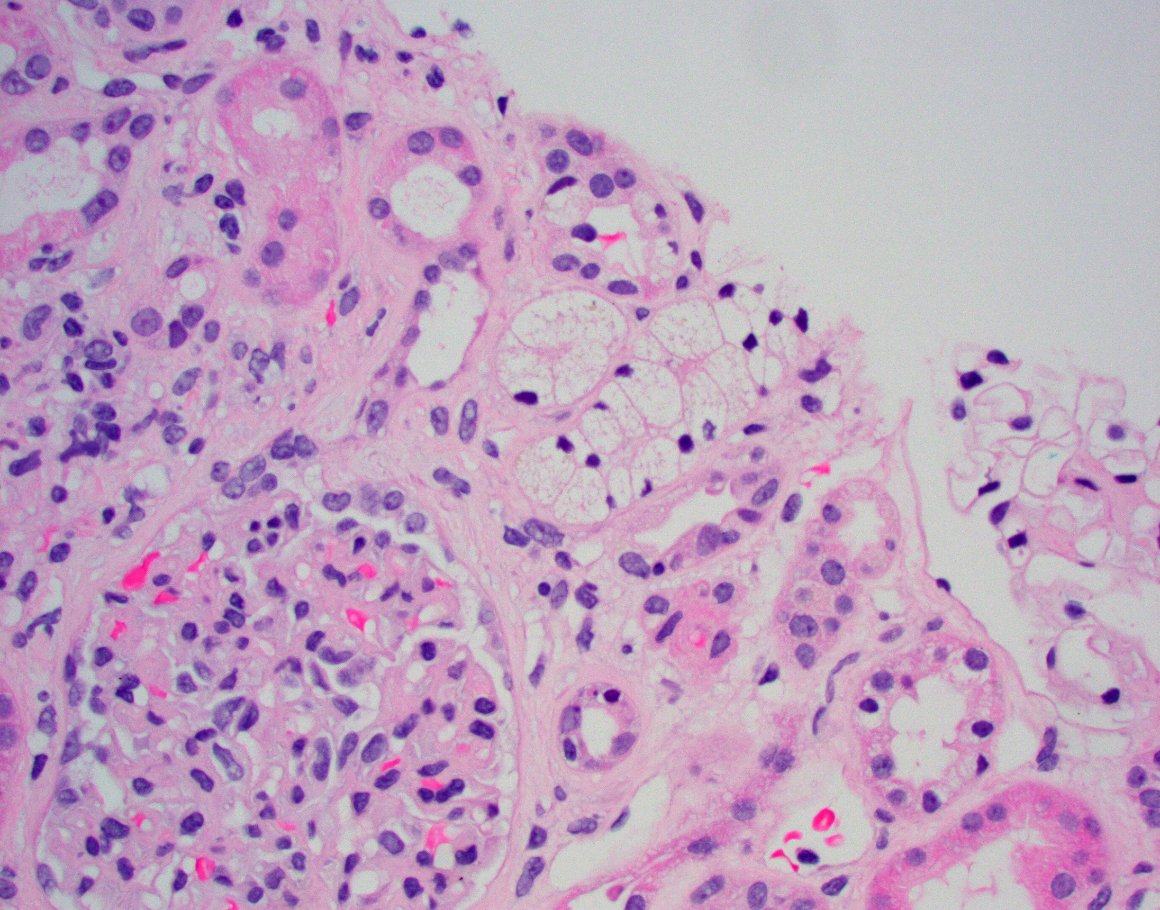
The paucity of tubular profiles in the renal medulla should raise the consideration of a hemoglobinopathy, especially in those with African ancestry, such as this patient. Notably, the cortex has much less tubular loss. RBC sickling occurs in the medulla where it's more hypoxic
2
10
19
@shary_tang
Shary Tang
6 days
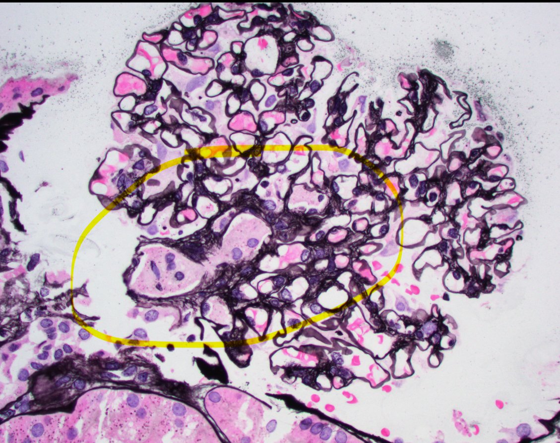
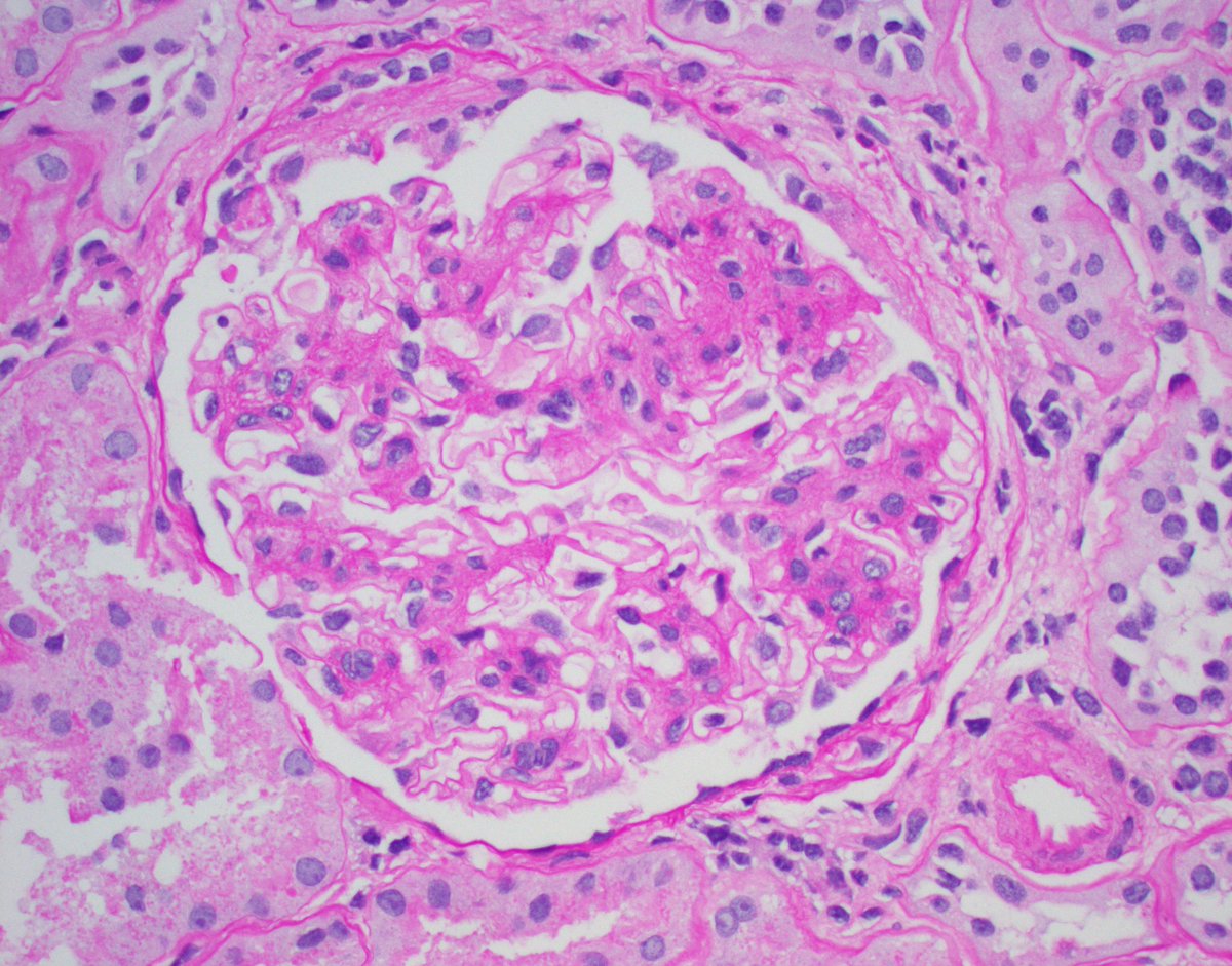
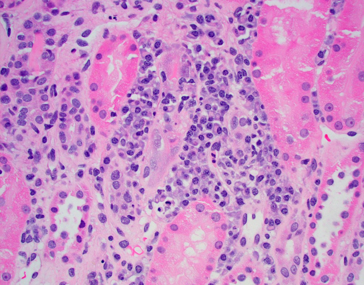
Granulomar IN: M, 18y, UP 1.5g, Scr 648umol/L, Hb77g/L, C3 0.8, increased IgG 22.7 (G1 14.8, G4 4.7), IgA 5.3. ANA-, ANCA-; no virus infection, no eye lesions, no related meds. LM: clear nodules mainly surrounding tubules, no giant cells, no caseous necrosis. Cause? #renalpath
1
7
20
@JZRenalPath
Jonathan Zuckerman MD PhD
6 days
Unfortunate but not rare IgAN presentation. Pt in their 30's, no PMHx, presented with HTN emergency, CKD, hematuria, proteinuria. Advanced IgAN with severe IFTA, focal active crescents (M1 E1 S1 T2 C1). Wish we could catch these cases earlier. #renalpath #pathtwitter #nephrology
4
21
77
@KMirza
Kamran Mirza MD PhD - کامران مرزا
11 days
#ASCP2025 Proud mentor moment! @cullen_lilley and @LJMiller_MD are taking the stage to show how pathology and the lab power every corner of healthcare. From quality to ethics to smart test use they are giving teams the playbook for better communication and real collaboration.
0
11
38
@Renalpathsoc
Renal Pathology Society
7 days
The RPS is inviting you to a webinar Spectrum of Transplant Rejection: Towards the Implementation of Activity and Chronicity Indices Tuesday, December 2, 2025 8:00 AM PST / 11:00 AM EST / 5:00 PM CET For more info & to register: https://t.co/HrCbWI9yCr #renalpath #PathTwitter
0
13
37
@JZRenalPath
Jonathan Zuckerman MD PhD
8 days
One of my favorite biopsy artifacts. Displaced tubular epithelial cells in glomerular capillary loops mimicking a thrombus. #renalpath #pathwitter #nephrology.
1
17
65
@GrahamAbra
Graham Abra, MD
8 days
@JZRenalPath One of our fellows just presented an interesting MGMID case @ASNKidney Week
@GrahamAbra
Graham Abra, MD
20 days
This was a really interesting MGMID case Young man with CML with no positive rheum serologies or paraproteinemia who developed proteinuria while on dasatinib Biopsy showed MGMID, switched the dasatanib to bosutinib with onc and proteinuria resolved #KidneyWk
1
2
3
@JZRenalPath
Jonathan Zuckerman MD PhD
8 days
Unusual granular casts with annular appearance. Light chain, hemoglobin, myoglobin, chromogranin casts excluded. Patient on IV vancomycin. Suspicious for vancomycin cast nephropathy. https://t.co/WUG0cLnawH #renalpath #pathtwitter #nephrology
4
27
72
@JZRenalPath
Jonathan Zuckerman MD PhD
9 days
SAP stain is positive as well.
0
0
13
@JZRenalPath
Jonathan Zuckerman MD PhD
10 days
Typically occurs in young women with vague autoimmune history. Has not been associated with MGUS, plasma cell dyscrasias, or lymphomas. Deposits + for SAP. See references here: . https://t.co/CNa8qlPQkb https://t.co/qN4wxgDJp3
0
0
4
@JZRenalPath
Jonathan Zuckerman MD PhD
10 days
Diagnosis unmasked. Young F with 2g proteinuria, weak +dsDNA. Membranous pattern, IF with C3 dominant staining. Pronase IF --> IgG-k. Membranous-like glomerulopathy with masked monotypic IgG-k deposits. Considered to be autoimmune; not MGRS. #renalpath #pathtwitter #nephrology.
4
19
54
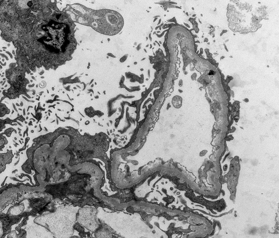
@JZRenalPath
Jonathan Zuckerman MD PhD
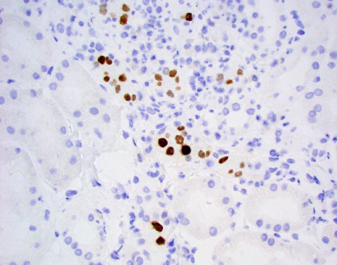
10 days
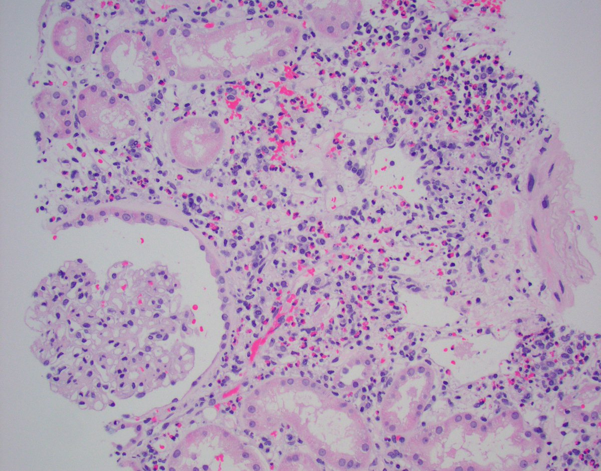
BK nephropathy Clues: - Heavy but focal tubulointerstitial inflammation - Increased plasma cells - Viral cytopathic change - Features of CNI toxicity ->over immunosuppression (isometric vacuolization shown here) -SV40 IHC confirmatory #renalpath #pathtwitter #nephrology
2
31
76
@roboonya
Boonyarit Cheunsuchon, MD
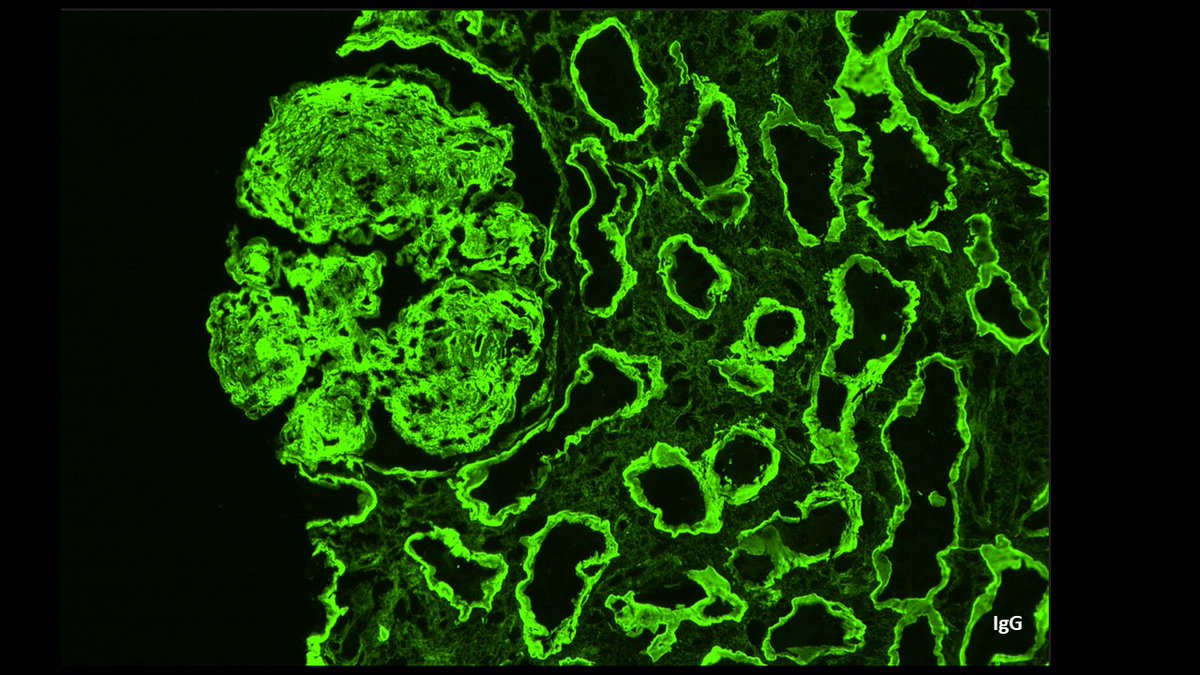
11 days
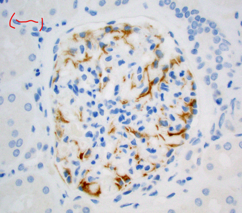
Linear staining in GBM, Bowman capsule, TBM in pt with heavy chain deposition disease. Granular/smudgy staining noted in mesangium
4
13
42
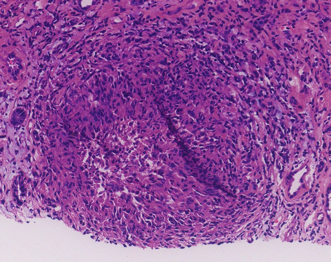
@JZRenalPath
Jonathan Zuckerman MD PhD
11 days
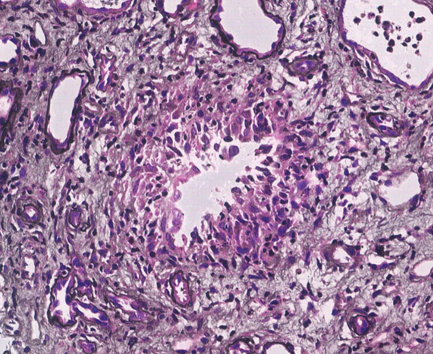
Arteriole with features of a old recanalized thombus in a transplant kidney biopsy. Multiple slit like vascular spaces within the fibrotic lumen. Not a lesion I see often. Pt had clinically diagnosed TMA a few months prior. #renalpath #pathtwitter #nephrology
2
6
26
@JZRenalPath
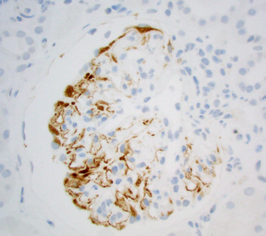
Jonathan Zuckerman MD PhD
12 days
NELL-1 IHC can also be tricky to interpret as there is significant podocyte cytoplasmic staining in the negative control. Must show granular capillary wall deposits which match deposits by IF and EM. #renalpath #pathwtitter #nephrology
1
10
37
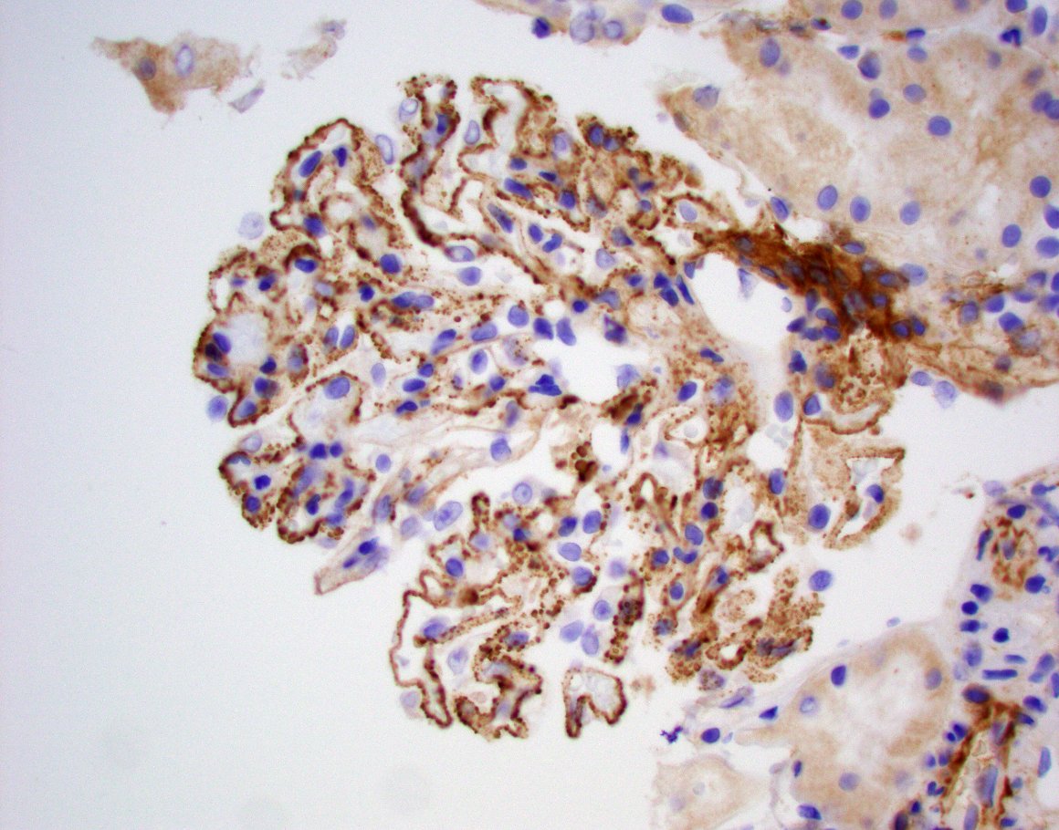
@JZRenalPath
Jonathan Zuckerman MD PhD
12 days
Illustrative example of a segmental membranous nephropathy pattern (segmental granular IgG staining) which is often seen with NELL-1+ (IHC) MN as in this case. Deposits present in only some loops by EM. #renalpath #pathtwitter #nephrology
2
5
24
@SethiRenalPath
Sanjeev Sethi
17 days
Dual-antigen MN - Clinical lab test of laser microdissection & mass spectrometry revealed 2 antigens in ~2.6% PLA2R negative MN - The antigens correspond to underlying disease - Further studies needed to study outcomes Dual-Antigen Membranous Nephropathy
Tweet card summary image
kidney-international.org
Most newly discovered membranous nephropathy (MN) antigens have been mutually exclusive, but there are rare cases of dual antigen MN based on immunohistochemistry (IHC)/immunofluorescence (IF) or...
2
32
69